JavaScript is disabled in your browser. Please enable JavaScript to view this website.
AB93665

Anti-Myeloperoxidase antibody [SP72]

Be the first to review this product! Submit a review

|

(3 Publications)

Rabbit Recombinant Monoclonal Myeloperoxidase antibody. Suitable for Flow Cyt (Intra), IHC-P and reacts with Human samples. Cited in 3 publications.

View Alternative Names

Myeloperoxidase, MPO

4 Images
Immunohistochemistry (Formalin/PFA-fixed paraffin-embedded sections) - Anti-Myeloperoxidase antibody [SP72] (AB93665)
  • IHC-P

Unknown

Immunohistochemistry (Formalin/PFA-fixed paraffin-embedded sections) - Anti-Myeloperoxidase antibody [SP72] (AB93665)

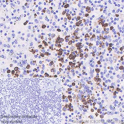
Immunohistochemistry (Formalin/PFA-fixed paraffin-embedded sections) analysis of Human spleen tissue sections labeling Myeloperoxidase with ab93665 at 1/100 dilution (2.49 μg/ml). Heat mediated antigen retrieval with sodium citrate buffer (pH 6.0, epitope retrieval solution 1) for 10mins. Rabbit specific IHC polymer detection kit HRP/DAB (ab209101) was used as the secondary antibody. Hematoxylin was used as a counterstain. Positive staining on human spleen, performed on a Leica Biosystems BOND™ RX instrument.
The section was incubated with ab93665 for 30 mins at room temperature.

Immunohistochemistry (Formalin/PFA-fixed paraffin-embedded sections) - Anti-Myeloperoxidase antibody [SP72] (AB93665)
  • IHC-P

Unknown

Immunohistochemistry (Formalin/PFA-fixed paraffin-embedded sections) - Anti-Myeloperoxidase antibody [SP72] (AB93665)

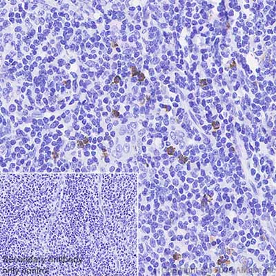
Immunohistochemistry (Formalin/PFA-fixed paraffin-embedded sections) analysis of Human tonsil
tissue sections labeling Myeloperoxidase with ab93665 at 1/100 dilution (2.49 μg/ml). Heat mediated antigen retrieval with sodium citrate buffer (pH 6.0, epitope retrieval solution 1) for 10mins. Rabbit specific IHC polymer detection kit HRP/DAB (ab209101) was used as the secondary antibody. Hematoxylin was used as a counterstain. Sporadically positive staining on human tonsil, performed on a Leica Biosystems BOND™ RX instrument.
The section was incubated with ab93665 for 30 mins at room temperature.

Flow Cytometry (Intracellular) - Anti-Myeloperoxidase antibody [SP72] (AB93665)
  • Flow Cyt (Intra)

Unknown

Flow Cytometry (Intracellular) - Anti-Myeloperoxidase antibody [SP72] (AB93665)

Overlay histogram showing HeLa cells stained with ab93665 (red line). The cells were fixed with 80% methanol (5 min) and then permeabilized with 0.1% PBS-Tween for 20 min. The cells were then incubated in 1x PBS / 10% normal goat serum / 0.3M glycine to block non-specific protein-protein interactions followed by the antibody (ab93665, 1/100 dilution) for 30 min at 22°C. The secondary antibody used was DyLight® 488 goat anti-rabbit IgG (H+L) (ab96899) at 1/500 dilution for 30 min at 22°C. Isotype control antibody (black line) was rabbit IgG (monoclonal) (1μg/1x106 cells) used under the same conditions. Acquisition of >5,000 events was performed.

Flow Cytometry (Intracellular) - Anti-Myeloperoxidase antibody [SP72] (AB93665)
  • Flow Cyt (Intra)

Lab

Flow Cytometry (Intracellular) - Anti-Myeloperoxidase antibody [SP72] (AB93665)

Flow cytometry overlay histogram showing left HL-60 positive cells and right negative HeLa stained with ab93665 (red line). The cells were fixed with 80% methanol (5 min) and then permeabilised with 0.1% PBS-Triton X-100 for 15 min. The cells were then incubated in 1x PBS containing 10% normal goat serum to block non-specific protein-protein interaction followed by the antibody (ab93665) (1x 106 in 100μl at 0.2μg/ml (1/10750)) for 30min at 22°C.

The secondary antibody Goat Anti-Rabbit IgG H&L (Alexa Fluor® 488) preadsorbed was incubated at 1/4000 for 30min at 22°C

Isotype control antibody (black line) was Recombinant Rabbit IgG, monoclonal [EPR25A] - Isotype Control used at the same concentration and conditions as the primary antibody. Unlabelled sample (blue line) was also used as a control.

Acquisition of >5000 events were collected using a 50 mW Blue laser (488nm) and 525/40 bandpass filter.

This antibody gave a positive signal in HL-60 Fixed with 4% formaldehyde (10 min) / permeabilised with 0.1% PBS-Triton X-100 for 15 min under the same conditions.

  • 665 Alexa Fluor® 647

    Alexa Fluor® 647 Anti-Myeloperoxidase antibody [SP72]

  • Carrier free

    Anti-Myeloperoxidase antibody [SP72] - BSA and Azide free

  • 578 PE

    PE Anti-Myeloperoxidase antibody [SP72]

  • 660 APC

    APC Anti-Myeloperoxidase antibody [SP72]

  • 617 Alexa Fluor® 594

    Alexa Fluor® 594 Anti-Myeloperoxidase antibody [SP72]

  • 603 Alexa Fluor® 568

    Alexa Fluor® 568 Anti-Myeloperoxidase antibody [SP72]

  • 565 Alexa Fluor® 555

    Alexa Fluor® 555 Anti-Myeloperoxidase antibody [SP72]

  • HRP

    HRP Anti-Myeloperoxidase antibody [SP72]

  • 519 Alexa Fluor® 488

    Alexa Fluor® 488 Anti-Myeloperoxidase antibody [SP72]

  • 775 Alexa Fluor® 750

    Alexa Fluor® 750 Anti-Myeloperoxidase antibody [SP72]

Key facts

Host species

Rabbit

Clonality

Monoclonal

Clone number

SP72

Isotype

IgG

Carrier free

No

Reacts with

Human

Applications

Flow Cyt (Intra), IHC-P

applications

Immunogen

The exact immunogen used to generate this antibody is proprietary information.

Epitope

C terminus

Reactivity data

{ "title": "Reactivity Data", "filters": { "stats": ["", "Species", "Dilution Info", "Notes"], "tabs": { "all-applications": {"fullname" : "All Applications", "shortname": "All Applications"}, "ICCIF" : {"fullname" : "Immunocytochemistry/ Immunofluorescence", "shortname":"ICC/IF"}, "FlowCytIntra" : {"fullname" : "Flow Cytometry (Intracellular)", "shortname":"Flow Cyt (Intra)"}, "IHCP" : {"fullname" : "Immunohistochemistry (Formalin/PFA-fixed paraffin-embedded sections)", "shortname":"IHC-P"} }, "product-promise": { "all": "all", "testedAndGuaranteed": "tested", "guaranteed": "expected", "predicted": "predicted", "notRecommended": "not-recommended" } }, "values": { "Human": { "ICCIF-species-checked": "notRecommended", "ICCIF-species-dilution-info": "", "ICCIF-species-notes": "<p></p>", "FlowCytIntra-species-checked": "testedAndGuaranteed", "FlowCytIntra-species-dilution-info": "1/100", "FlowCytIntra-species-notes": "<p><a href='/en-us/products/primary-antibodies/rabbit-igg-monoclonal-epr25a-isotype-control-ab172730'>ab172730</a> - Rabbit monoclonal IgG, is suitable for use as an isotype control with this antibody.</p>", "IHCP-species-checked": "testedAndGuaranteed", "IHCP-species-dilution-info": "1/100", "IHCP-species-notes": "<p>30 minutes at room temperature. Perform heat mediated antigen retrieval before commencing with IHC staining protocol.Boil tissue section in 10mM citrate buffer, pH 6.0 for 10 minutes followed by cooling at room temperature for 20 minutes.</p>" } } }

Product details

Patented technology
Our RabMAb® technology is a patented hybridoma-based technology for making rabbit monoclonal antibodies. For details on our patents, please refer to RabMAb® patents.

What are the advantages of a recombinant monoclonal antibody?
This product is a recombinant monoclonal antibody, which offers several advantages including:

  • - High batch-to-batch consistency and reproducibility
  • - Improved sensitivity and specificity
  • - Long-term security of supply
  • - Animal-free batch production

For more information, read more on recombinant antibodies.

Properties and storage information

Form
Liquid
Purification technique
Affinity purification Protein A
Storage buffer
pH: 7.2 - 7.4 Preservative: 0.1% Sodium azide Constituents: PBS, 1% BSA
Shipped at conditions
Blue Ice
Appropriate short-term storage conditions
+4°C
Appropriate long-term storage conditions
+4°C

Supplementary information

This supplementary information is collated from multiple sources and compiled automatically.

Myeloperoxidase also called MPO is an enzyme that plays a critical role in the body's immune response. This protein has a mass of approximately 150 kDa and exists as a dimer composed of heavy and light polypeptide chains. Myeloperoxidase is prominently expressed in neutrophils and monocytes which are types of white blood cells important for combating infections. The enzyme catalyzes the production of hypochlorous acid and other reactive substances by utilizing hydrogen peroxide and chloride ions. These reactive substances help in neutralizing pathogens during the immune response.
Biological function summary

The generation of reactive oxygen species by myeloperoxidase is essential for microbicidal activity. Myeloperoxidase functions as part of the antimicrobial system in the phagosome which is the intracellular compartment where pathogens are degraded. This enzyme works in conjunction with other components of the immune system such as NADPH oxidase. By generating hypochlorous acid MPO contributes to the oxidative burst a rapid release of reactive oxygen species during the response to pathogens.

Pathways

Myeloperoxidase integrates into the immune defense and inflammatory pathways. In particular it is associated with the neutrophil degranulation pathway where it releases its enzymatic contents to fight off microbes. MPO also interacts with proteins involved in oxidative stress processes such as superoxide dismutase which moderates levels of reactive oxygen species in cells. These interactions ensure balance in the immune response preventing excessive tissue damage during inflammation.

Dysregulated MPO activity can contribute to the development of diseases. For instance myeloperoxidase is linked with atherosclerosis a cardiovascular condition where inflammation and oxidative stress lead to plaque formation in the arteries. It also associates with vasculitis an autoimmune disorder causing inflammation of blood vessels. Both disorders can relate to the inflammatory pathways that involve MPO and proteins like C-reactive protein which serves as a marker of inflammation. Understanding MPO's role in these conditions is important for effective therapeutic interventions.

Product protocols

For this product, it's our understanding that no specific protocols are required. You can visit:

Target data

Part of the host defense system of polymorphonuclear leukocytes. It is responsible for microbicidal activity against a wide range of organisms. In the stimulated PMN, MPO catalyzes the production of hypohalous acids, primarily hypochlorous acid in physiologic situations, and other toxic intermediates that greatly enhance PMN microbicidal activity (PubMed : 9922160). Mediates the proteolytic cleavage of alpha-1-microglobulin to form t-alpha-1-microglobulin, which potently inhibits oxidation of low-density lipoprotein particles and limits vascular damage (PubMed : 25698971).
See full target information MPO

Publications (3)

Recent publications for all applications. Explore the full list and refine your search

Clinical cancer research : an official journal of the American Association for Cancer Research 27:5961-5978 PubMed34407972

2021

Upregulation of C/EBPα Inhibits Suppressive Activity of Myeloid Cells and Potentiates Antitumor Response in Mice and Patients with Cancer.

Applications

Unspecified application

Species

Unspecified reactive species

Ayumi Hashimoto,Debashis Sarker,Vikash Reebye,Sheba Jarvis,Mikael H Sodergren,Andrew Kossenkov,Emilio Sanseviero,Nina Raulf,Jenni Vasara,Pinelopi Andrikakou,Tim Meyer,Kai-Wen Huang,Ruth Plummer,Cheng E Chee,Duncan Spalding,Madhava Pai,Shahid Khan,David J Pinato,Rohini Sharma,Bristi Basu,Daniel Palmer,Yuk-Ting Ma,Jeff Evans,Robert Habib,Anna Martirosyan,Naouel Elasri,Adeline Reynaud,John J Rossi,Mark Cobbold,Nagy A Habib,Dmitry I Gabrilovich

The Journal of experimental medicine 216:350-368 PubMed30647120

2019

Midkine drives cardiac inflammation by promoting neutrophil trafficking and NETosis in myocarditis.

Applications

Unspecified application

Species

Unspecified reactive species

Ludwig T Weckbach,Ulrich Grabmaier,Andreas Uhl,Sebastian Gess,Felicitas Boehm,Annette Zehrer,Robert Pick,Melanie Salvermoser,Thomas Czermak,Joachim Pircher,Noah Sorrelle,Mary Migliorini,Dudley K Strickland,Karin Klingel,Volker Brinkmann,Ulrike Abu Abed,Urs Eriksson,Steffen Massberg,Stefan Brunner,Barbara Walzog

Journal of cellular biochemistry 119:8763-8772 PubMed30126001

2018

MicroRNA-150-5p affects cell proliferation, apoptosis, and EMT by regulation of the BRAF mutation in papillary thyroid cancer cells.

Applications

Unspecified application

Species

Unspecified reactive species

Ruihong Yan,Tianzheng Yang,Hongyan Zhai,Zhenhu Zhou,Lei Gao,Yuhong Li
View all publications

Product promise

We are committed to supporting your work with high-quality reagents, and we're here for you every step of the way. In the unlikely event that one of our products does not perform as expected, you're protected by our Product Promise.
For full details, please see our Terms & Conditions

Please note: All products are 'FOR RESEARCH USE ONLY. NOT FOR USE IN DIAGNOSTIC OR THERAPEUTIC PROCEDURES'.

For licensing inquiries, please contact partnerships@abcam.com