JavaScript is disabled in your browser. Please enable JavaScript to view this website.
AB232897

Anti-Myh14 antibody

Be the first to review this product! Submit a review

|

(2 Publications)

Rabbit Polyclonal MYH14 antibody. Suitable for WB, IHC-P and reacts with Rat, Human samples. Cited in 2 publications. Immunogen corresponding to Recombinant Fragment Protein within Human MYH14 aa 1050-1350.

View Alternative Names

KIAA2034, FP17425, MYH14, Myosin-14, Myosin heavy chain 14, Non-muscle myosin heavy chain IIc, NMHC II-C

5 Images
Immunohistochemistry (Formalin/PFA-fixed paraffin-embedded sections) - Anti-Myh14 antibody (AB232897)
  • IHC-P

Supplier Data

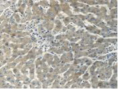
Immunohistochemistry (Formalin/PFA-fixed paraffin-embedded sections) - Anti-Myh14 antibody (AB232897)

Formalin-fixed, paraffin-embedded human liver cancer tissue stained for Myh14 using ab232897 at 20 μg/ml in immunohistochemical analysis. DAB staining.

Immunohistochemistry (Formalin/PFA-fixed paraffin-embedded sections) - Anti-Myh14 antibody (AB232897)
  • IHC-P

Supplier Data

Immunohistochemistry (Formalin/PFA-fixed paraffin-embedded sections) - Anti-Myh14 antibody (AB232897)

Formalin-fixed, paraffin-embedded human cerebrum tissue stained for Myh14 using ab232897 at 20 μg/ml in immunohistochemical analysis. DAB staining.

Immunohistochemistry (Formalin/PFA-fixed paraffin-embedded sections) - Anti-Myh14 antibody (AB232897)
  • IHC-P

Supplier Data

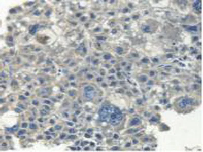
Immunohistochemistry (Formalin/PFA-fixed paraffin-embedded sections) - Anti-Myh14 antibody (AB232897)

Formalin-fixed, paraffin-embedded human liver tissue stained for Myh14 using ab232897 at 20 μg/ml in immunohistochemical analysis. DAB staining.

Western blot - Anti-Myh14 antibody (AB232897)
  • WB

Supplier Data

Western blot - Anti-Myh14 antibody (AB232897)

All lanes:

Western blot - Anti-Myh14 antibody (ab232897) at 1 µg/mL

All lanes:

Rat brain tissue lysate

Secondary

All lanes:

HRP-Linked Guinea pig anti-Rabbit at 1/2000 dilution

Predicted band size: 228 kDa

false

Western blot - Anti-Myh14 antibody (AB232897)
  • WB

Supplier Data

Western blot - Anti-Myh14 antibody (AB232897)

All lanes:

Western blot - Anti-Myh14 antibody (ab232897) at 1 µg/mL

All lanes:

Recombinant human Myh14 protein

Secondary

All lanes:

HRP-Linked Guinea pig anti-Rabbit at 1/2000 dilution

Predicted band size: 228 kDa

false

Key facts

Host species

Rabbit

Clonality

Polyclonal

Isotype

IgG

Carrier free

No

Reacts with

Rat, Human

Applications

WB, IHC-P

applications

Immunogen

Recombinant Fragment Protein within Human MYH14 aa 1050-1350. The exact immunogen used to generate this antibody is proprietary information.

Q7Z406

Reactivity data

{ "title": "Reactivity Data", "filters": { "stats": ["", "Species", "Dilution Info", "Notes"], "tabs": { "all-applications": {"fullname" : "All Applications", "shortname": "All Applications"}, "WB" : {"fullname" : "Western blot", "shortname":"WB"}, "IHCP" : {"fullname" : "Immunohistochemistry (Formalin/PFA-fixed paraffin-embedded sections)", "shortname":"IHC-P"} }, "product-promise": { "all": "all", "testedAndGuaranteed": "tested", "guaranteed": "expected", "predicted": "predicted", "notRecommended": "not-recommended" } }, "values": { "Human": { "WB-species-checked": "testedAndGuaranteed", "WB-species-dilution-info": "0.5-2 µg/mL", "WB-species-notes": "<p></p>", "IHCP-species-checked": "testedAndGuaranteed", "IHCP-species-dilution-info": "5-20 µg/mL", "IHCP-species-notes": "<p></p>" }, "Rat": { "WB-species-checked": "testedAndGuaranteed", "WB-species-dilution-info": "0.5-2 µg/mL", "WB-species-notes": "<p></p>", "IHCP-species-checked": "guaranteed", "IHCP-species-dilution-info": "", "IHCP-species-notes": "" } } }

Properties and storage information

Form
Liquid
Purification technique
Affinity purification Protein A
Purification notes
Antigen-specific affinity chromatography followed by Protein A affinity chromatography.
Storage buffer
pH: 7.4 Preservative: 0.011% Proclin 300 Constituents: PBS, 55.77% Glycerol (glycerin, glycerine)
Shipped at conditions
Blue Ice
Appropriate short-term storage duration
1-2 weeks
Appropriate short-term storage conditions
+4°C
Appropriate long-term storage conditions
-20°C
Aliquoting information
Upon delivery aliquot
Storage information
Avoid freeze / thaw cycle

Supplementary information

This supplementary information is collated from multiple sources and compiled automatically.

The protein Myh14 also known as myosin-14 and non-muscle myosin heavy chain IIC is a member of the myosin superfamily of motor proteins. This protein is approximately 227 kDa in mass and plays an important role in cellular motility by facilitating actin-based transport processes. Myh14 is expressed in various tissues including the heart spleen and cerebellum suggesting its involvement in diverse physiological processes.
Biological function summary

Myh14 functions in the cytoskeleton interacting with actin filaments to contribute to processes like cell shape changes and migration. It acts as a part of the non-muscle myosin IIC complex working in tandem with other cytoskeletal elements to provide structural integrity and tension within cells. This activity supports various cellular mechanisms that require precise mechanical movement and stability.

Pathways

Myh14 plays a role in the Rho GTPase signaling pathway and actin cytoskeleton regulation. These pathways are important for cell adhesion and motility influencing how cells interact and communicate in their environments. Myh14's actions are closely related to proteins such as actin and other myosin family members which collectively maintain cytoskeletal dynamics and cellular responses to external signals.

Myh14 has been linked to sensorineural hearing loss and ischemic stroke. Its relationship with disorders involving the auditory system connects it to proteins like Myh9 another myosin family member associated with similar conditions. In cardiovascular pathology alterations in Myh14 expression may affect cellular responses during tissue damage such as those observed in stroke linking it to physiological processes and potential therapeutic targets.

Product protocols

For this product, it's our understanding that no specific protocols are required. You can visit:

Target data

Cellular myosin that appears to play a role in cytokinesis, cell shape, and specialized functions such as secretion and capping.
See full target information MYH14

Publications (2)

Recent publications for all applications. Explore the full list and refine your search

Journal of personalized medicine 14: PubMed38673008

2024

Alteration of the Expression and Functional Activities of Myosin II Isoforms in Enlarged Hyperplastic Prostates.

Applications

Unspecified application

Species

Unspecified reactive species

Xiao Wang,Weixiang He,Hui Chen,Rui Yang,Hongmei Su,Michael E DiSanto,Xinhua Zhang

Aging 13:23739-23756 PubMed34689137

2021

Loganin substantially ameliorates molecular deficits, pathologies and cognitive impairment in a mouse model of Alzheimer's disease.

Applications

Unspecified application

Species

Unspecified reactive species

Lulin Nie,Kaiwu He,Fengzhu Xie,Shifeng Xiao,Shupeng Li,Jia Xu,Kaiqin Zhang,Chen Yang,Li Zhou,Jianjun Liu,Liangyu Zou,Xifei Yang
View all publications

Product promise

We are committed to supporting your work with high-quality reagents, and we're here for you every step of the way. In the unlikely event that one of our products does not perform as expected, you're protected by our Product Promise.
For full details, please see our Terms & Conditions

Please note: All products are 'FOR RESEARCH USE ONLY. NOT FOR USE IN DIAGNOSTIC OR THERAPEUTIC PROCEDURES'.

For licensing inquiries, please contact partnerships@abcam.com