JavaScript is disabled in your browser. Please enable JavaScript to view this website.
AB250868

Anti-MYH6 + Slow Skeletal Myosin Heavy chain antibody [EPR10891(2)] - BSA and Azide free

  • BOND RX™ Validated
  • Recombinant
  • Advanced Validation
  • RabMAb
  • What is this?

Be the first to review this product! Submit a review

|

(1 Publication)

Rabbit Recombinant Monoclonal MYH6 antibody. Carrier free. Suitable for mIHC, WB, IHC-P and reacts with Human, Mouse, Rat samples. Cited in 1 publication.

View Alternative Names

MYHCA, MYH6, Myosin-6, Myosin heavy chain 6, MyHC-alpha

5 Images
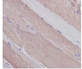
Immunohistochemistry (Formalin/PFA-fixed paraffin-embedded sections) - Anti-MYH6 + Slow Skeletal Myosin Heavy chain antibody [EPR10891(2)] - BSA and Azide free (AB250868)
  • IHC-P

Supplier Data

Immunohistochemistry (Formalin/PFA-fixed paraffin-embedded sections) - Anti-MYH6 + Slow Skeletal Myosin Heavy chain antibody [EPR10891(2)] - BSA and Azide free (AB250868)

This data was developed using ab185967, the same antibody clone in a different buffer formulation. Immunohistochemical analysis of paraffin embedded Human skeletal muscle tissue labeling Slow Skeletal Myosin Heavy chain with ab185967 at 1/2000 dilution. Counterstained with Hematoxylin. Perform heat mediated antigen retrieval with EDTA buffer pH 9 before commencing with IHC staining protocol.

Multiplex immunohistochemistry - Anti-MYH6 + Slow Skeletal Myosin Heavy chain antibody [EPR10891(2)] - BSA and Azide free (AB250868)
  • mIHC

Supplier Data

Multiplex immunohistochemistry - Anti-MYH6 + Slow Skeletal Myosin Heavy chain antibody [EPR10891(2)] - BSA and Azide free (AB250868)

Fluorescence multiplex immunohistochemical analysis of the human skeletal muscle (Formalin/PFA-fixed paraffin-embedded sections). Panel A : merged staining of anti-delta Sarcoglycan (ab137101, red; Opal™690), anti-MYH2 (ab264036, cyan; Opal™520) and anti-MYH6 + Slow Skeletal Myosin Heavy chain (ab250868, gray; Opal™570) on human skeletal muscle. Panel B : anti-MYH2 stained on the fast twitch type 2A fibers. Panel C : anti-MYH6 + Slow Skeletal Myosin Heavy chain stained on skeletal muscle fiber subtypes. Panel D : anti-delta Sarcoglycan stained on membrane of skeletal muscle. Opal Polymer HRP Ms + Rb was used as a secondary antibody. The section was incubated in three rounds of staining : in the order of ab137101 at 1/1000 dilution (1.043 μg/ml), ab264036 at 1/1000 dilution (1.116 μg/ml) and ab250868 1/5000 dilution (0.209 μg/ml) for 30 mins at room temperature. Each round was followed by a separate fluorescent tyramide signal amplification system. DAPI (blue) was used as a nuclear counter stain. The immunostaining was performed on a Leica Biosystems BOND® RX instrument with an Opal™ 4-color kit. Image acquisition was performed with Leica SP8 confocal microscope. Heat mediated antigen retrieval with Tris-EDTA buffer (pH 9.0, epitope retrieval solution2) for 20 mins.

Western blot - Anti-MYH6 + Slow Skeletal Myosin Heavy chain antibody [EPR10891(2)] - BSA and Azide free (AB250868)
  • WB

Lab

Western blot - Anti-MYH6 + Slow Skeletal Myosin Heavy chain antibody [EPR10891(2)] - BSA and Azide free (AB250868)

This data was developed using ab185967, the same antibody clone in a different buffer formulation.

This blot was produced using a 4-12% Bis-tris gel under the MOPS buffer system. The gel was run at 200V for 50 minutes before being transferred onto a Nitrocellulose membrane at 30V for 70 minutes. The membrane was then blocked for an hour using Licor blocking buffer before being incubated with ab185967 overnight at 4°C. Antibody binding was detected using Goat anti Rabbit IR680 at a 1 : 10,000 dilution for 1hr at room temperature and then imaged using the Licor Odyssey CLx.

All lanes:

Western blot - Anti-MYH6 + Slow Skeletal Myosin Heavy chain antibody [EPR10891(2)] (<a href='/en-us/products/primary-antibodies/myh6-slow-skeletal-myosin-heavy-chain-antibody-epr108912-ab185967'>ab185967</a>) at 1/500 dilution

Lane 1:

Human adult heart lysate at 20 µg

Lane 2:

Mouse heart lysate at 20 µg

Lane 3:

Rat heart lysate at 20 µg

Secondary

All lanes:

Goat anti Rabbit IR680 at 1/10000 dilution

Predicted band size: 36 kDa,41 kDa

false

Western blot - Anti-MYH6 + Slow Skeletal Myosin Heavy chain antibody [EPR10891(2)] - BSA and Azide free (AB250868)
  • WB

Unknown

Western blot - Anti-MYH6 + Slow Skeletal Myosin Heavy chain antibody [EPR10891(2)] - BSA and Azide free (AB250868)

ab185967 could recognize both Myosin 6 and 7 protein

All lanes:

Western blot - Anti-MYH6 + Slow Skeletal Myosin Heavy chain antibody [EPR10891(2)] (<a href='/en-us/products/primary-antibodies/myh6-slow-skeletal-myosin-heavy-chain-antibody-epr108912-ab185967'>ab185967</a>) at 1/1000 dilution

All lanes:

His tagged recombinant Human Myosin-6 protein(aa 1193-1337) at 0.01 µg

Secondary

All lanes:

Western blot - Goat Anti-Rabbit IgG H&L (HRP) (<a href='/en-us/products/secondary-antibodies/goat-rabbit-igg-h-l-hrp-ab97051'>ab97051</a>) at 1/20000 dilution

false

Western blot - Anti-MYH6 + Slow Skeletal Myosin Heavy chain antibody [EPR10891(2)] - BSA and Azide free (AB250868)
  • WB

Unknown

Western blot - Anti-MYH6 + Slow Skeletal Myosin Heavy chain antibody [EPR10891(2)] - BSA and Azide free (AB250868)

ab185967 could recognize both Myosin 6 and 7 protein

All lanes:

Western blot - Anti-MYH6 + Slow Skeletal Myosin Heavy chain antibody [EPR10891(2)] (<a href='/en-us/products/primary-antibodies/myh6-slow-skeletal-myosin-heavy-chain-antibody-epr108912-ab185967'>ab185967</a>) at 1/1000 dilution

All lanes:

His tagged recombinant Human Myosin-7 protein(aa 1191-1335) at 0.01 µg

Secondary

All lanes:

Western blot - Goat Anti-Rabbit IgG H&L (HRP) (<a href='/en-us/products/secondary-antibodies/goat-rabbit-igg-h-l-hrp-ab97051'>ab97051</a>) at 1/20000 dilution

false

  • Unconjugated

    Anti-MYH6 + Slow Skeletal Myosin Heavy chain antibody [EPR10891(2)]

Key facts

Host species

Rabbit

Clonality

Monoclonal

Clone number

EPR10891(2)

Isotype

IgG

Carrier free

Yes

Reacts with

Mouse, Rat, Human

Applications

WB, mIHC, IHC-P

applications

Immunogen

The exact immunogen used to generate this antibody is proprietary information.

Specificity

The immunogen used for this product shares 78%,76%,76%,76%,72%homology with Myosin 2 1 3 8 4, respectively. Cross-reactivity with these proteins has not been confirmed experimentally.

Reactivity data

{ "title": "Reactivity Data", "filters": { "stats": ["", "Species", "Dilution Info", "Notes"], "tabs": { "all-applications": {"fullname" : "All Applications", "shortname": "All Applications"}, "mIHC" : {"fullname" : "Multiplex immunohistochemistry", "shortname":"mIHC"}, "WB" : {"fullname" : "Western blot", "shortname":"WB"}, "IHCP" : {"fullname" : "Immunohistochemistry (Formalin/PFA-fixed paraffin-embedded sections)", "shortname":"IHC-P"} }, "product-promise": { "all": "all", "testedAndGuaranteed": "tested", "guaranteed": "expected", "predicted": "predicted", "notRecommended": "not-recommended" } }, "values": { "Human": { "mIHC-species-checked": "testedAndGuaranteed", "mIHC-species-dilution-info": "0.209 µg/mL", "mIHC-species-notes": "<p></p>", "WB-species-checked": "testedAndGuaranteed", "WB-species-dilution-info": "", "WB-species-notes": "<p></p>", "IHCP-species-checked": "testedAndGuaranteed", "IHCP-species-dilution-info": "", "IHCP-species-notes": "<p></p>" }, "Mouse": { "mIHC-species-checked": "guaranteed", "mIHC-species-dilution-info": "", "mIHC-species-notes": "", "WB-species-checked": "testedAndGuaranteed", "WB-species-dilution-info": "", "WB-species-notes": "<p></p>", "IHCP-species-checked": "guaranteed", "IHCP-species-dilution-info": "", "IHCP-species-notes": "" }, "Rat": { "mIHC-species-checked": "guaranteed", "mIHC-species-dilution-info": "", "mIHC-species-notes": "", "WB-species-checked": "testedAndGuaranteed", "WB-species-dilution-info": "", "WB-species-notes": "<p></p>", "IHCP-species-checked": "guaranteed", "IHCP-species-dilution-info": "", "IHCP-species-notes": "" } } }

Product details

ab250868 is the carrier-free version of ab185967.

Patented technology
Our RabMAb® technology is a patented hybridoma-based technology for making rabbit monoclonal antibodies. For details on our patents, please refer to RabMAb® patents.

What are the advantages of a recombinant monoclonal antibody?
This product is a recombinant monoclonal antibody, which offers several advantages including:

  • - High batch-to-batch consistency and reproducibility
  • - Improved sensitivity and specificity
  • - Long-term security of supply
  • - Animal-free batch production

For more information, read more on recombinant antibodies.

Conjugation ready
Our carrier-free antibodies are typically supplied in a PBS-only formulation, purified and free of BSA, sodium azide and glycerol. This conjugation-ready format is designed for use with fluorochromes, metal isotopes, oligonucleotides, and enzymes, which makes them ideal for antibody labelling, functional and cell-based assays, flow-based assays (e.g. mass cytometry) and Multiplex Imaging applications.

Use our conjugation kits for antibody conjugates that are ready-to-use in as little as 20 minutes with 1 minute hands-on-time and 100% antibody recovery: available for fluorescent dyes, HRP, biotin and gold.

Compatibility
This product is compatible with the Maxpar® Antibody Labeling Kit from Fluidigm, without the need for antibody preparation. Maxpar® is a trademark of Fluidigm Canada Inc.

Properties and storage information

Form
Liquid
Purification technique
Affinity purification Protein A
Storage buffer
pH: 7.2 - 7.4 Constituents: PBS
Shipped at conditions
Blue Ice
Appropriate short-term storage conditions
+4°C
Appropriate long-term storage conditions
+4°C
Storage information
Do Not Freeze

Product protocols

For this product, it's our understanding that no specific protocols are required. You can visit:

Target data

Muscle contraction.
See full target information MYH6

Additional targets

MYH7

Publications (1)

Recent publications for all applications. Explore the full list and refine your search

Journal of radiation research 64:833-841 PubMed37439405

2023

Expression of TMEM59L associated with radiosensitive in glioblastoma.

Applications

Unspecified application

Species

Unspecified reactive species

Dezhi Gao,Peng Wang,Lin Zhi,Shibin Sun,Xiaoguang Qiu,Yanwei Liu
View all publications

Product promise

We are committed to supporting your work with high-quality reagents, and we're here for you every step of the way. In the unlikely event that one of our products does not perform as expected, you're protected by our Product Promise.
For full details, please see our Terms & Conditions

Please note: All products are 'FOR RESEARCH USE ONLY. NOT FOR USE IN DIAGNOSTIC OR THERAPEUTIC PROCEDURES'.

For licensing inquiries, please contact partnerships@abcam.com