JavaScript is disabled in your browser. Please enable JavaScript to view this website.
AB205374

Anti-MYL7 antibody

Be the first to review this product! Submit a review

|

(2 Publications)

Rabbit Polyclonal MYL7 antibody. Suitable for WB, IHC-P and reacts with Human samples. Cited in 2 publications. Immunogen corresponding to Recombinant Fragment Protein within Human MYL7 aa 1 to C-terminus.

View Alternative Names

MYL2A, MYLC2A, MYL7, MLC-2a, MLC2a, Myosin light chain 2a, Myosin regulatory light chain 7

2 Images
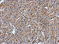
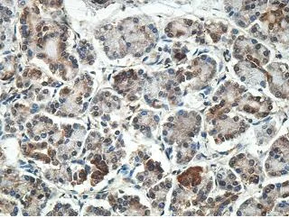
Immunohistochemistry (Formalin/PFA-fixed paraffin-embedded sections) - Anti-MYL7 antibody (AB205374)
  • IHC-P

Supplier Data

Immunohistochemistry (Formalin/PFA-fixed paraffin-embedded sections) - Anti-MYL7 antibody (AB205374)

Immunohistochemical analysis of formalin fixed paraffin embedded fetal pancreas labeling MYL7 with ab205374 at 1/100.

Western blot - Anti-MYL7 antibody (AB205374)
  • WB

Supplier Data

Western blot - Anti-MYL7 antibody (AB205374)

All lanes:

Western blot - Anti-MYL7 antibody (ab205374) at 1/500 dilution

All lanes:

HepG2 lysate

Predicted band size: 19 kDa

false

Key facts

Host species

Rabbit

Clonality

Polyclonal

Isotype

IgG

Carrier free

No

Reacts with

Human

Applications

IHC-P, WB

applications

Immunogen

Recombinant Fragment Protein within Human MYL7 aa 1 to C-terminus. The exact immunogen used to generate this antibody is proprietary information.

Q01449

Reactivity data

{ "title": "Reactivity Data", "filters": { "stats": ["", "Species", "Dilution Info", "Notes"], "tabs": { "all-applications": {"fullname" : "All Applications", "shortname": "All Applications"}, "WB" : {"fullname" : "Western blot", "shortname":"WB"}, "IHCP" : {"fullname" : "Immunohistochemistry (Formalin/PFA-fixed paraffin-embedded sections)", "shortname":"IHC-P"} }, "product-promise": { "all": "all", "testedAndGuaranteed": "tested", "guaranteed": "expected", "predicted": "predicted", "notRecommended": "not-recommended" } }, "values": { "Human": { "WB-species-checked": "testedAndGuaranteed", "WB-species-dilution-info": "1/200 - 1/1000", "WB-species-notes": "<p></p>", "IHCP-species-checked": "testedAndGuaranteed", "IHCP-species-dilution-info": "", "IHCP-species-notes": "<p></p>" }, "Mouse": { "WB-species-checked": "predicted", "WB-species-dilution-info": "", "WB-species-notes": "", "IHCP-species-checked": "predicted", "IHCP-species-dilution-info": "", "IHCP-species-notes": "" }, "Rat": { "WB-species-checked": "predicted", "WB-species-dilution-info": "", "WB-species-notes": "", "IHCP-species-checked": "predicted", "IHCP-species-dilution-info": "", "IHCP-species-notes": "" } } }

Properties and storage information

Form
Lyophilized
Reconstitution
reconstitute with water at 200µL
Purification technique
Affinity purification Immunogen
Storage buffer
pH: 7.2 Preservative: 0.02% Sodium azide Constituents: PBS, 1% BSA
Shipped at conditions
Blue Ice
Appropriate short-term storage duration
1-2 weeks
Appropriate short-term storage conditions
+4°C
Appropriate long-term storage conditions
-20°C
Aliquoting information
Upon delivery aliquot
Storage information
Avoid freeze / thaw cycle

Product protocols

For this product, it's our understanding that no specific protocols are required. You can visit:

Publications (2)

Recent publications for all applications. Explore the full list and refine your search

Stem cell research & therapy 16:234 PubMed40346697

2025

Functional analysis of JPH2-knockout cardiomyocytes identifies ECCD as a novel indicator in a human cardiac modelJPH2.

Applications

Unspecified application

Species

Unspecified reactive species

Tianwei Guo,Hongyue Wang,Fujian Wu,Wenjing Lu,Min Zhu,Shuhong Ma,Yongshuai Zhang,Yuting Yan,Meng Zhou,Didaer Talanaite,Siyu Liu,Man Qi,Feng Lan,Xujie Liu

Journal of animal science and biotechnology 10:29 PubMed31011422

2019

Effects of restrictions on maternal feed intake on the immune indexes of umbilical cord blood and liver Toll-like receptor signaling pathways in fetal goats during pregnancy.

Applications

Unspecified application

Species

Unspecified reactive species

Wenxun Chen,Qiongxian Yan,Hong Yang,Xiaoling Zhou,Zhiliang Tan
View all publications

Product promise

We are committed to supporting your work with high-quality reagents, and we're here for you every step of the way. In the unlikely event that one of our products does not perform as expected, you're protected by our Product Promise.
For full details, please see our Terms & Conditions

Please note: All products are 'FOR RESEARCH USE ONLY. NOT FOR USE IN DIAGNOSTIC OR THERAPEUTIC PROCEDURES'.

For licensing inquiries, please contact partnerships@abcam.com