JavaScript is disabled in your browser. Please enable JavaScript to view this website.
AB64161

Anti-MYL9 antibody

5

(1 Review)

|

(5 Publications)

Rabbit Polyclonal MYL9 antibody. Suitable for WB, IHC-P and reacts with Recombinant full length protein - Human, Human samples. Cited in 5 publications. Immunogen corresponding to Synthetic Peptide within Human MYL9 aa 1-50.

View Alternative Names

MLC2, MRLC1, MYRL2, MYL9, Myosin regulatory light polypeptide 9, 20 kDa myosin light chain, MLC-2C, Myosin RLC, Myosin regulatory light chain 9, Myosin regulatory light chain MRLC1, LC20

2 Images
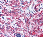
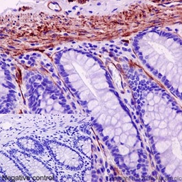
Immunohistochemistry (Formalin/PFA-fixed paraffin-embedded sections) - Anti-MYL9 antibody (AB64161)
  • IHC-P

Supplier Data

Immunohistochemistry (Formalin/PFA-fixed paraffin-embedded sections) - Anti-MYL9 antibody (AB64161)

ab64161 at 2.5μg/ml staining MYL9 in Colon, Human Smooth Muscle by Immunohistochemistry, Formalin-fixed, paraffin-embedded tissue.

Western blot - Anti-MYL9 antibody (AB64161)
  • WB

Unknown

Western blot - Anti-MYL9 antibody (AB64161)

All lanes:

Western blot - Anti-MYL9 antibody (ab64161) at 1/2000 dilution

All lanes:

Western blot - Recombinant Human MYL9 protein (His tag N-Terminus) (<a href='/en-us/products/proteins-peptides/recombinant-human-myl9-protein-ab104014'>ab104014</a>) at 0.1 µg

Secondary

All lanes:

Western blot - Goat Anti-Rabbit IgG H&L (HRP) preadsorbed (<a href='/en-us/products/secondary-antibodies/goat-rabbit-igg-h-l-hrp-preadsorbed-ab97080'>ab97080</a>) at 1/5000 dilution

Predicted band size: 20 kDa

true

Exposure time: 4min

Key facts

Host species

Rabbit

Clonality

Polyclonal

Isotype

IgG

Carrier free

No

Reacts with

Human

Applications

IHC-P, WB

applications

Immunogen

Synthetic Peptide within Human MYL9 aa 1-50. The exact immunogen used to generate this antibody is proprietary information.

P24844

Reactivity data

{ "title": "Reactivity Data", "filters": { "stats": ["", "Species", "Dilution Info", "Notes"], "tabs": { "all-applications": {"fullname" : "All Applications", "shortname": "All Applications"}, "WB" : {"fullname" : "Western blot", "shortname":"WB"}, "IHCP" : {"fullname" : "Immunohistochemistry (Formalin/PFA-fixed paraffin-embedded sections)", "shortname":"IHC-P"} }, "product-promise": { "all": "all", "testedAndGuaranteed": "tested", "guaranteed": "expected", "predicted": "predicted", "notRecommended": "not-recommended" } }, "values": { "Human": { "WB-species-checked": "guaranteed", "WB-species-dilution-info": "", "WB-species-notes": "", "IHCP-species-checked": "testedAndGuaranteed", "IHCP-species-dilution-info": "2.5 µg/mL", "IHCP-species-notes": "<p></p>" }, "Bird": { "WB-species-checked": "predicted", "WB-species-dilution-info": "", "WB-species-notes": "", "IHCP-species-checked": "predicted", "IHCP-species-dilution-info": "", "IHCP-species-notes": "" }, "Mammals": { "WB-species-checked": "predicted", "WB-species-dilution-info": "", "WB-species-notes": "", "IHCP-species-checked": "predicted", "IHCP-species-dilution-info": "", "IHCP-species-notes": "" }, "Recombinant full length protein - Human": { "WB-species-checked": "testedAndGuaranteed", "WB-species-dilution-info": "1/500 - 1/2000", "WB-species-notes": "<p></p>", "IHCP-species-checked": "notRecommended", "IHCP-species-dilution-info": "", "IHCP-species-notes": "" } } }

Properties and storage information

Form
Liquid
Purification technique
Affinity purification Immunogen
Storage buffer
pH: 7.2 Preservative: 0.01% Sodium azide Constituents: 0.87% Sodium chloride, 0.42% Tripotassium orthophosphate
Shipped at conditions
Blue Ice
Appropriate short-term storage conditions
+4°C
Appropriate long-term storage conditions
-20°C
Aliquoting information
Upon delivery aliquot
Storage information
Avoid freeze / thaw cycle

Product protocols

For this product, it's our understanding that no specific protocols are required. You can visit:

Target data

Myosin regulatory subunit that plays an important role in regulation of both smooth muscle and nonmuscle cell contractile activity via its phosphorylation. Implicated in cytokinesis, receptor capping, and cell locomotion (PubMed : 11942626, PubMed : 2526655). In myoblasts, may regulate PIEZO1-dependent cortical actomyosin assembly involved in myotube formation (By similarity).
See full target information MYL9

Publications (5)

Recent publications for all applications. Explore the full list and refine your search

Frontiers in oncology 13:1168772 PubMed37251946

2023

Identification of the hub genes associated with prostate cancer tumorigenesis.

Applications

Unspecified application

Species

Unspecified reactive species

Honghui Zhu,Qi Lin,Xiaomin Gao,Xixi Huang

Clinics and research in hepatology and gastroenter 44:101-114 PubMed31255531

2019

Long non-coding RNA MBNL1-AS1 regulates proliferation, migration, and invasion of cancer stem cells in colon cancer by interacting with MYL9 via sponging microRNA-412-3p.

Applications

Unspecified application

Species

Unspecified reactive species

Kongxi Zhu,Yunxia Wang,Lan Liu,Shuai Li,Weihua Yu

Human molecular genetics 28:1429-1444 PubMed30566624

2018

Impact of Fgf10 deficiency on pulmonary vasculature formation in a mouse model of bronchopulmonary dysplasia.

Applications

Unspecified application

Species

Unspecified reactive species

Cho-Ming Chao,Alena Moiseenko,Djuro Kosanovic,Stefano Rivetti,Elie El Agha,Jochen Wilhelm,Marian Kampschulte,Faady Yahya,Harald Ehrhardt,Klaus-Peter Zimmer,Guillermo Barreto,Albert A Rizvanov,Ralph T Schermuly,Irwin Reiss,Rory E Morty,Robbert J Rottier,Saverio Bellusci,Jin-San Zhang

Journal of cellular physiology 233:8884-8895 PubMed29851084

2018

Elevated transforming growth factor β signaling activation in β-actin-knockout mouse embryonic fibroblasts enhances myofibroblast features.

Applications

Unspecified application

Species

Unspecified reactive species

Xin Xie,Piergiorgio Percipalle

Molecular human reproduction 18:265-79 PubMed22155728

2011

Phasic contractions of isolated human myometrium are associated with Rho-kinase (ROCK)-dependent phosphorylation of myosin phosphatase-targeting subunit (MYPT1).

Applications

WB

Species

Unspecified reactive species

Claire A Hudson,Kate J Heesom,Andrés López Bernal
View all publications

Product promise

We are committed to supporting your work with high-quality reagents, and we're here for you every step of the way. In the unlikely event that one of our products does not perform as expected, you're protected by our Product Promise.
For full details, please see our Terms & Conditions

Please note: All products are 'FOR RESEARCH USE ONLY. NOT FOR USE IN DIAGNOSTIC OR THERAPEUTIC PROCEDURES'.

For licensing inquiries, please contact partnerships@abcam.com