JavaScript is disabled in your browser. Please enable JavaScript to view this website.
AB191393

Anti-MYL9 antibody [EPR13012(2)]

  • 20ul selling size
  • RabMAb
  • Recombinant
  • KO Validated
  • What is this?

Be the first to review this product! Submit a review

|

(10 Publications)

Rabbit Recombinant Monoclonal MYL9 antibody. Suitable for IP, WB, IHC-P and reacts with Human, Rat, Mouse samples. Cited in 10 publications.

View Alternative Names

MLC2, MRLC1, MYRL2, MYL9, Myosin regulatory light polypeptide 9, 20 kDa myosin light chain, MLC-2C, Myosin RLC, Myosin regulatory light chain 9, Myosin regulatory light chain MRLC1, LC20

9 Images
Immunohistochemistry (Formalin/PFA-fixed paraffin-embedded sections) - Anti-MYL9 antibody [EPR13012(2)] (AB191393)
  • IHC-P

Supplier Data

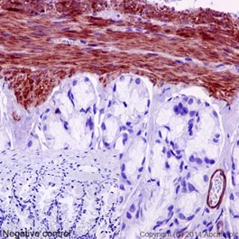
Immunohistochemistry (Formalin/PFA-fixed paraffin-embedded sections) - Anti-MYL9 antibody [EPR13012(2)] (AB191393)

Immunohistochemical analysis of paraffin-embedded Human colon tissue labeling MYL9 with ab191393 at 1/700 dilution followed by pre-diluted HRP Polymer for Rabbit IgG secondary antibody and counter-stained with Hematoxylin. Inset : Negative control : using PBS instead of primary antibody.

Perform heat mediated antigen retrieval with Tris/EDTA buffer pH 9.0 before commencing with IHC staining protocol.

Immunohistochemistry (Formalin/PFA-fixed paraffin-embedded sections) - Anti-MYL9 antibody [EPR13012(2)] (AB191393)
  • IHC-P

Supplier Data

Immunohistochemistry (Formalin/PFA-fixed paraffin-embedded sections) - Anti-MYL9 antibody [EPR13012(2)] (AB191393)

Immunohistochemical analysis of paraffin-embedded Rat colon tissue labeling MYL9 with ab191393 at 1/700 dilution followed by pre-diluted HRP Polymer for Rabbit IgG secondary antibody and counter-stained with Hematoxylin. Inset : Negative control : using PBS instead of primary antibody.

Perform heat mediated antigen retrieval with Tris/EDTA buffer pH 9.0 before commencing with IHC staining protocol.

Western blot - Anti-MYL9 antibody [EPR13012(2)] (AB191393)
  • WB

Lab

Western blot - Anti-MYL9 antibody [EPR13012(2)] (AB191393)

Lanes 1-4 : Merged signal (red and green). Green - ab191393 observed at 20 kDa. Red - loading control ab8245 observed at 37 kDa.

ab191393 Anti-MYL9 antibody [EPR13012(2)] was shown to specifically react with MYL9 in wild-type HeLa cells. Loss of signal was observed when knockout cell line ab266036 (knockout cell lysate ab256999) was used. Wild-type and MYL9 knockout samples were subjected to SDS-PAGE. ab191393 and Anti-GAPDH antibody [6C5] - Loading Control (ab8245) were incubated overnight at 4°C at 1 in 1000 dilution and 1 in 20000 dilution respectively. Blots were developed with Goat anti-Rabbit IgG H&L (IRDye® 800CW) preadsorbed (ab216773) and Goat anti-Mouse IgG H&L (IRDye® 680RD) preadsorbed (ab216776) secondary antibodies at 1 in 20000 dilution for 1 hour at room temperature before imaging.

All lanes:

Western blot - Anti-MYL9 antibody [EPR13012(2)] (ab191393) at 1/1000 dilution

Lane 1:

Wild-type HeLa cell lysate at 20 µg

Lane 2:

Western blot - Human MYL9 knockout HeLa cell lysate (<a href='/en-us/products/cell-lysates/human-myl9-knockout-hela-cell-lysate-ab256999'>ab256999</a>) at 20 µg

Lane 3:

Human colon cell lysate at 20 µg

Lane 4:

Daudi cell lysate at 20 µg

Secondary

Lanes 1 - 4:

Western blot - Goat anti-Rabbit IgG H&L (IRDye® 800CW) preadsorbed (<a href='/en-us/products/secondary-antibodies/goat-rabbit-igg-h-l-irdye-800cw-preadsorbed-ab216773'>ab216773</a>) at 1/20000 dilution

Lanes 1 - 4:

Western blot - Goat anti-Mouse IgG H&L (IRDye® 680RD) preadsorbed (<a href='/en-us/products/secondary-antibodies/goat-mouse-igg-h-l-irdye-680rd-preadsorbed-ab216776'>ab216776</a>) at 1/20000 dilution

Predicted band size: 20 kDa

Observed band size: 20 kDa,37 kDa

false

Western blot - Anti-MYL9 antibody [EPR13012(2)] (AB191393)
  • WB

Supplier Data

Western blot - Anti-MYL9 antibody [EPR13012(2)] (AB191393)

All lanes:

Western blot - Anti-MYL9 antibody [EPR13012(2)] (ab191393) at 1/1000 dilution

Lane 1:

Human stomach lysate at 20 µg

Lane 2:

Human colon cancer lysate at 20 µg

Lane 3:

Human uterus lysate at 20 µg

Secondary

All lanes:

Goat Anti-Rabbit IgG, (H+L),Peroxidase conjugated at 1/1000 dilution

Predicted band size: 20 kDa

false

Western blot - Anti-MYL9 antibody [EPR13012(2)] (AB191393)
  • WB

Supplier Data

Western blot - Anti-MYL9 antibody [EPR13012(2)] (AB191393)

All lanes:

Western blot - Anti-MYL9 antibody [EPR13012(2)] (ab191393) at 1/1000 dilution

Lane 1:

C6 cell lysate at 10 µg

Lane 2:

PC12 cell lysate at 10 µg

Lane 3:

NIH 3T3 cell lysate at 10 µg

Secondary

All lanes:

Goat Anti-Rabbit IgG, (H+L),Peroxidase conjugated at 1/1000 dilution

Predicted band size: 20 kDa

false

Western blot - Anti-MYL9 antibody [EPR13012(2)] (AB191393)
  • WB

Supplier Data

Western blot - Anti-MYL9 antibody [EPR13012(2)] (AB191393)

The identity of the higher MW bands are unknown.

In Western blot, Anti-Histone H3 antibody [EPR16987] - Nuclear Marker and ChIP Grade (ab176842) staining at 1/100000 dilution.

In Western blot, Anti-MYL9 antibody [EPR13012 (2)] (ab191393) staining at 1/1000 dilution.

All lanes:

Western blot - Anti-MYL9 (pS20) + MYL12A (pS19) + MYL12B (pS20) antibody [EPR27203-65] (<a href='/en-us/products/primary-antibodies/myl9-ps20-myl12a-ps19-myl12b-ps20-antibody-epr27203-65-ab316750'>ab316750</a>) at 1/1000 dilution

Lane 1:

Untreated HeLa (human epithelial cell line from cervical adenocarcinoma) whole cell lysate (untreated membrane) at 45 µg with 5% NFDM/TBST

Lane 2:

HeLa treated with 100ng/ml Calyculin A for 15 minutes, whole cell lysate (untreated membrane) at 45 µg with 5% NFDM/TBST

Lane 3:

Untreated HeLa (human epithelial cell line from cervical adenocarcinoma) whole cell lysate (alkaline phosphatase treated membrane) at 45 µg with 5% NFDM/TBST

Lane 4:

HeLa treated with 100ng/ml Calyculin A for 15 minutes, whole cell lysate (alkaline phosphatase treated membrane) at 45 µg with 5% NFDM/TBST

Secondary

All lanes:

Western blot - Goat Anti-Rabbit IgG H&L (HRP) (<a href='/en-us/products/secondary-antibodies/goat-rabbit-igg-h-l-hrp-ab97051'>ab97051</a>) at 1/20000 dilution

Observed band size: 20 kDa,15 kDa

false

Exposure time: 70s

Immunoprecipitation - Anti-MYL9 antibody [EPR13012(2)] (AB191393)
  • IP

Supplier Data

Immunoprecipitation - Anti-MYL9 antibody [EPR13012(2)] (AB191393)

Western blot analysis of immunoprecipitation pellet from Human stomach lysate immunoprecipitated using ab191393 at 1/40 dilution (lane 1) or PBS control (lane 2).
Secondary : Anti-Rabbit IgG (HRP), specific to the non-reduced form of IgG at 1/1500 dilution.

All lanes:

Immunoprecipitation - Anti-MYL9 antibody [EPR13012(2)] (ab191393)

Predicted band size: 20 kDa

false

Western blot - Anti-MYL9 antibody [EPR13012(2)] (AB191393)
  • WB

Supplier Data

Western blot - Anti-MYL9 antibody [EPR13012(2)] (AB191393)

All lanes:

Western blot - Anti-MYL9 antibody [EPR13012(2)] (ab191393) at 1/5000 dilution

All lanes:

rat stomach lysate at 10 µg

Secondary

All lanes:

Goat Anti-Rabbit IgG, (H+L),Peroxidase conjugated at 1/1000 dilution

Predicted band size: 20 kDa

false

Western blot - Anti-MYL9 antibody [EPR13012(2)] (AB191393)
  • WB

Supplier Data

Western blot - Anti-MYL9 antibody [EPR13012(2)] (AB191393)

In Western blot, Anti-GAPDH antibody [EPR16891] - Loading Control (ab181602) staining at 1/200000 dilution.

In Western blot, Anti-6X His tag® antibody [EPR20547] - ChIP Grade (ab213204) staining at 1/5000 dilution.

In Western blot, Anti-MYL9 antibody [EPR13012 (2)] (ab191393) staining at 1/1000 dilution.

All lanes:

Western blot - Anti-MYL9 (pS20) + MYL12A (pS19) + MYL12B (pS20) antibody [EPR27203-65] (<a href='/en-us/products/primary-antibodies/myl9-ps20-myl12a-ps19-myl12b-ps20-antibody-epr27203-65-ab316750'>ab316750</a>) at 1/1000 dilution

Lane 1:

293T (human embryonic kidney epithelial cell) cells transfected with human MYL9 expression vector containing a myc-His-tag® then treated with 100/ml calyculin for 15 minutes, whole cell lysate at 20 µg with 5% NFDM/TBST

Lane 2:

293T (human embryonic kidney epithelial cell) cells transfected with human MYL9 (S20A mutant) expression vector containing a myc-His-tag® then treated with 100/ml calyculin for 15 minutes, whole cell lysate at 20 µg with 5% NFDM/TBST

Secondary

All lanes:

Western blot - Goat Anti-Rabbit IgG H&L (HRP) (<a href='/en-us/products/secondary-antibodies/goat-rabbit-igg-h-l-hrp-ab97051'>ab97051</a>) at 1/20000 dilution

Observed band size: 25 kDa,36 kDa

false

Exposure time: 180s

Key facts

Host species

Rabbit

Clonality

Monoclonal

Clone number

EPR13012(2)

Isotype

IgG

Carrier free

No

Reacts with

Mouse, Rat, Human

Applications

IHC-P, WB, IP

applications

Immunogen

The exact immunogen used to generate this antibody is proprietary information.

Reactivity data

{ "title": "Reactivity Data", "filters": { "stats": ["", "Species", "Dilution Info", "Notes"], "tabs": { "all-applications": {"fullname" : "All Applications", "shortname": "All Applications"}, "IP" : {"fullname" : "Immunoprecipitation", "shortname":"IP"}, "WB" : {"fullname" : "Western blot", "shortname":"WB"}, "IHCP" : {"fullname" : "Immunohistochemistry (Formalin/PFA-fixed paraffin-embedded sections)", "shortname":"IHC-P"} }, "product-promise": { "all": "all", "testedAndGuaranteed": "tested", "guaranteed": "expected", "predicted": "predicted", "notRecommended": "not-recommended" } }, "values": { "Human": { "IP-species-checked": "testedAndGuaranteed", "IP-species-dilution-info": "1/40", "IP-species-notes": "<p></p>", "WB-species-checked": "testedAndGuaranteed", "WB-species-dilution-info": "1/1000 - 1/2000", "WB-species-notes": "<p></p>", "IHCP-species-checked": "testedAndGuaranteed", "IHCP-species-dilution-info": "1/350 - 1/700", "IHCP-species-notes": "<p></p>" }, "Mouse": { "IP-species-checked": "guaranteed", "IP-species-dilution-info": "", "IP-species-notes": "", "WB-species-checked": "testedAndGuaranteed", "WB-species-dilution-info": "1/1000 - 1/2000", "WB-species-notes": "<p></p>", "IHCP-species-checked": "guaranteed", "IHCP-species-dilution-info": "", "IHCP-species-notes": "" }, "Rat": { "IP-species-checked": "guaranteed", "IP-species-dilution-info": "", "IP-species-notes": "", "WB-species-checked": "testedAndGuaranteed", "WB-species-dilution-info": "1/1000 - 1/2000", "WB-species-notes": "<p></p>", "IHCP-species-checked": "testedAndGuaranteed", "IHCP-species-dilution-info": "1/350 - 1/700", "IHCP-species-notes": "<p></p>" } } }

Product details

Patented technology
Our RabMAb® technology is a patented hybridoma-based technology for making rabbit monoclonal antibodies. For details on our patents, please refer to RabMAb® patents.

What are the advantages of a recombinant monoclonal antibody?
This product is a recombinant monoclonal antibody, which offers several advantages including:

  • - High batch-to-batch consistency and reproducibility
  • - Improved sensitivity and specificity
  • - Long-term security of supply
  • - Animal-free batch production

For more information, read more on recombinant antibodies.

Properties and storage information

Form
Liquid
Purification technique
Affinity purification Protein A
Storage buffer
pH: 7.2 - 7.4 Preservative: 0.01% Sodium azide Constituents: PBS, 40% Glycerol (glycerin, glycerine), 0.05% BSA
Shipped at conditions
Blue Ice
Appropriate short-term storage duration
1-2 weeks
Appropriate short-term storage conditions
+4°C
Appropriate long-term storage conditions
-20°C
Aliquoting information
Upon delivery aliquot
Storage information
Avoid freeze / thaw cycle

Product protocols

For this product, it's our understanding that no specific protocols are required. You can visit:

Target data

Myosin regulatory subunit that plays an important role in regulation of both smooth muscle and nonmuscle cell contractile activity via its phosphorylation. Implicated in cytokinesis, receptor capping, and cell locomotion (PubMed : 11942626, PubMed : 2526655). In myoblasts, may regulate PIEZO1-dependent cortical actomyosin assembly involved in myotube formation (By similarity).
See full target information MYL9

Publications (10)

Recent publications for all applications. Explore the full list and refine your search

Nature communications 16:5457 PubMed40593547

2025

cTAGE5 is essential for adipogenesis and adipose tissue development.

Applications

Unspecified application

Species

Unspecified reactive species

Junwan Fan,Tiantian Ma,Xiaoping Ren,Zhilin Chang,Dan Zhang,Yi Wang,Shiyao Cheng,Xin Qi,Kehui Liu,Yan Wang,Yaqing Wang,Zhiheng Xu,Wenyan He

Journal of the Association for Research in Otolaryngology : JARO 26:225-238 PubMed40240732

2025

Influence of Myosin Regulatory Light Chain and Myosin Light Chain Kinase on the Physiological Function of Inner Ear Hair Cells.

Applications

Unspecified application

Species

Unspecified reactive species

Ryohei Oya,Kwang Min Woo,Brian Fabella,R G Alonso,Paloma Bravo,A J Hudspeth

Cell biochemistry and biophysics 82:127-137 PubMed37801199

2023

LAMB3 Promotes Myofibrogenesis and Cytoskeletal Reorganization in Endometrial Stromal Cells via the RhoA/ROCK1/MYL9 Pathway.

Applications

Unspecified application

Species

Unspecified reactive species

Xiaomei Qin,Bin Zeng,Suren R Sooranna,Mujun Li

Genes 14: PubMed37239403

2023

TRNT-1 Deficiency Is Associated with Loss of tRNA Integrity and Imbalance of Distinct Proteins.

Applications

Unspecified application

Species

Unspecified reactive species

Thet Fatica,Turaya Naas,Urszula Liwak,Hannah Slaa,Maryam Souaid,Brianna Frangione,Ribal Kattini,Antoine Gaudreau-Lapierre,Laura Trinkle-Mulcahy,Pranesh Chakraborty,Martin Holcik

Cell death discovery 8:425 PubMed36273228

2022

DDX17 promotes the growth and metastasis of lung adenocarcinoma.

Applications

Unspecified application

Species

Unspecified reactive species

Xiaohui Liu,Lu Li,Chengjie Geng,Shiyuan Wen,Cuiqiong Zhang,Chunmiao Deng,Xuejuan Gao,Gong Zhang,Qing-Yu He,Langxia Liu

Cardiovascular research 118:1564-1582 PubMed33757117

2021

Anxa1 in smooth muscle cells protects against acute aortic dissection.

Applications

Unspecified application

Species

Unspecified reactive species

Changping Zhou,Zhiyong Lin,Huanhuan Cao,Yue Chen,Jingxuan Li,Xiaofeng Zhuang,Dong Ma,Liang Ji,Wei Li,Suowen Xu,Bing Pan,Lemin Zheng

Oncology reports 45: PubMed33760214

2021

HPV E7 affects the function of cervical cancer cells via the TAL1/lnc‑EBIC/KLHDC7B axis.

Applications

Unspecified application

Species

Unspecified reactive species

Jun Wang,Feiyan Xiang,Xiang Liu,Xiang Ma,Xiaonan Cai,Yuan Yang,Xin Shen,Chunhui Yuan,Yun Xiang,Han Xiao

Frontiers in physiology 11:593966 PubMed33424621

2020

Distinct Roles of Smooth Muscle and Non-muscle Myosin Light Chain-Mediated Smooth Muscle Contraction.

Applications

Unspecified application

Species

Unspecified reactive species

Jie Sun,Yan-Ning Qiao,Tao Tao,Wei Zhao,Li-Sha Wei,Ye-Qiong Li,Wei Wang,Ye Wang,Yu-Wei Zhou,Yan-Yan Zheng,Xin Chen,Hong-Chun Pan,Xue-Na Zhang,Min-Sheng Zhu

Molecular medicine reports 20:5050-5058 PubMed31638214

2019

Effects of β‑hydroxybutyric acid and ghrelin on the motility and inflammation of gastric antral smooth muscle cells involving the regulation of growth hormone secretagogue receptor.

Applications

Unspecified application

Species

Unspecified reactive species

Xiaolin Hu,Li You,Changhua Hu,Juan Wu,Min Ai,Xiaoyan He,Wenjie Huang,Zonghui Wu

PloS one 12:e0175280 PubMed28388691

2017

Expression and prognostic significance of MYL9 in esophageal squamous cell carcinoma.

Applications

IHC-P

Species

Human

Jian-Hua Wang,Lan Zhang,Shu-Ting Huang,Jing Xu,Yun Zhou,Xing-Juan Yu,Rong-Zhen Luo,Zhe-Sheng Wen,Wei-Hua Jia,Min Zheng
View all publications

Product promise

We are committed to supporting your work with high-quality reagents, and we're here for you every step of the way. In the unlikely event that one of our products does not perform as expected, you're protected by our Product Promise.
For full details, please see our Terms & Conditions

Please note: All products are 'FOR RESEARCH USE ONLY. NOT FOR USE IN DIAGNOSTIC OR THERAPEUTIC PROCEDURES'.

For licensing inquiries, please contact partnerships@abcam.com