JavaScript is disabled in your browser. Please enable JavaScript to view this website.
AB154518

Anti-MYO1A antibody

Be the first to review this product! Submit a review

|

(1 Publication)

Rabbit Polyclonal MYO1A antibody. Suitable for WB, IHC-P and reacts with Human samples. Cited in 1 publication. Immunogen corresponding to Recombinant Fragment Protein within Human MYO1A aa 250-550.

View Alternative Names

MYHL, MYO1A, Unconventional myosin-Ia, Brush border myosin I, Myosin I heavy chain, BBM-I, BBMI, MIHC

2 Images
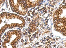
Immunohistochemistry (Formalin/PFA-fixed paraffin-embedded sections) - Anti-MYO1A antibody (AB154518)
  • IHC-P

Unknown

Immunohistochemistry (Formalin/PFA-fixed paraffin-embedded sections) - Anti-MYO1A antibody (AB154518)

Immunohistochemical analysis of paraffin-embedded Human colon carcinoma, labeling MYO1A using ab154518 at 1/500 dilution.

Western blot - Anti-MYO1A antibody (AB154518)
  • WB

Unknown

Western blot - Anti-MYO1A antibody (AB154518)

5% SDS PAGE

All lanes:

Western blot - Anti-MYO1A antibody (ab154518) at 1/2000 dilution

Lane 1:

Jurkat whole cell lysate at 30 µg

Lane 2:

Raji whole cell lysate at 30 µg

Lane 3:

K562 whole cell lysate at 30 µg

Lane 4:

NCI H929 whole cell lysate at 30 µg

Predicted band size: 118 kDa

false

Key facts

Host species

Rabbit

Clonality

Polyclonal

Isotype

IgG

Carrier free

No

Reacts with

Human

Applications

IHC-P, WB

applications

Immunogen

Recombinant Fragment Protein within Human MYO1A aa 250-550. The exact immunogen used to generate this antibody is proprietary information.

Q9UBC5

Reactivity data

{ "title": "Reactivity Data", "filters": { "stats": ["", "Species", "Dilution Info", "Notes"], "tabs": { "all-applications": {"fullname" : "All Applications", "shortname": "All Applications"}, "WB" : {"fullname" : "Western blot", "shortname":"WB"}, "IHCP" : {"fullname" : "Immunohistochemistry (Formalin/PFA-fixed paraffin-embedded sections)", "shortname":"IHC-P"} }, "product-promise": { "all": "all", "testedAndGuaranteed": "tested", "guaranteed": "expected", "predicted": "predicted", "notRecommended": "not-recommended" } }, "values": { "Human": { "WB-species-checked": "testedAndGuaranteed", "WB-species-dilution-info": "1/500 - 1/3000", "WB-species-notes": "<p></p>", "IHCP-species-checked": "testedAndGuaranteed", "IHCP-species-dilution-info": "1/100 - 1/1000", "IHCP-species-notes": "<p></p>" }, "Mouse": { "WB-species-checked": "predicted", "WB-species-dilution-info": "", "WB-species-notes": "", "IHCP-species-checked": "predicted", "IHCP-species-dilution-info": "", "IHCP-species-notes": "" } } }

Properties and storage information

Form
Liquid
Purification technique
Affinity purification Immunogen
Storage buffer
pH: 7 Preservative: 0.01% Thimerosal (merthiolate) Constituents: 20% Glycerol (glycerin, glycerine), 1.21% Tris, 0.75% Glycine
Shipped at conditions
Blue Ice
Appropriate short-term storage conditions
+4°C
Appropriate long-term storage conditions
-20°C
Aliquoting information
Upon delivery aliquot
Storage information
Avoid freeze / thaw cycle

Supplementary information

This supplementary information is collated from multiple sources and compiled automatically.

MYO1A also known as Myosin IA is a non-muscle myosin protein. It weighs approximately 130 kDa. This protein functions as an actin-based motor molecule that uses ATP hydrolysis for movement and plays a role in cellular processes such as membrane trafficking and maintaining cell shape. MYO1A is expressed in several tissues most abundantly in the intestinal epithelial cells where it is critical for the distribution of microvilli and transporting cargo along the actin filaments.
Biological function summary

MYO1A contributes to intestinal epithelial integrity and brush border assembly as a part of the cytoskeleton. It operates in concert with other actin-binding proteins to stabilize the microvillar structure and is not a part of a larger complex. By coupling actin dynamics with cellular signaling MYO1A facilitates the organization and renewal of the apical structures in epithelial cells therefore supporting vital transport and barrier functions.

Pathways

MYO1A plays a significant role in the cytoskeleton organization pathway and the transport of molecules in epithelial cells. It interacts with actin filaments and is functionally related to proteins such as EPS8 which regulates actin dynamics contributing to cell shape modulation and signal transduction. Its involvement in these pathways enables coordinated actions essential for cellular homeostasis in epithelial tissues.

MYO1A mutations are linked with hearing loss indicating its importance in auditory mechanisms. It also relates to colorectal cancer due to its role in maintaining cell polarity and structure in epithelial tissues. In the context of these diseases MYO1A’s interaction with other proteins such as actin and its coordinating regulators like EPS8 may affect cellular functions leading to disease states.

Product protocols

For this product, it's our understanding that no specific protocols are required. You can visit:

Target data

Involved in directing the movement of organelles along actin filaments.
See full target information MYO1A

Publications (1)

Recent publications for all applications. Explore the full list and refine your search

Journal of immunology research 2023:3804605 PubMed37767202

2023

Super Enhancer Regulatory Gene FYB1 Promotes the Progression of T Cell Acute Lymphoblastic Leukemia by Activating IGLL1.

Applications

Unspecified application

Species

Unspecified reactive species

Kunlong Zhang,Jun Lu,Fang Fang,Yongping Zhang,Juanjuan Yu,Yanfang Tao,Wenyuan Liu,Lihui Lu,Zimu Zhang,Xinran Chu,Jianwei Wang,Xiaolu Li,Yuanyuan Tian,Zhiheng Li,Qian Li,Xu Sang,Li Ma,Ningling Wang,Jian Pan,Shaoyan Hu
View all publications

Product promise

We are committed to supporting your work with high-quality reagents, and we're here for you every step of the way. In the unlikely event that one of our products does not perform as expected, you're protected by our Product Promise.
For full details, please see our Terms & Conditions

Please note: All products are 'FOR RESEARCH USE ONLY. NOT FOR USE IN DIAGNOSTIC OR THERAPEUTIC PROCEDURES'.

For licensing inquiries, please contact partnerships@abcam.com