JavaScript is disabled in your browser. Please enable JavaScript to view this website.
AB194356

Anti-MYO1B antibody [EPR16223]

5

(1 Review)

|

(13 Publications)

Rabbit Recombinant Monoclonal MYO1B antibody. Suitable for WB, IHC-P and reacts with Mouse, Human, Rat samples. Cited in 13 publications.

View Alternative Names

Unconventional myosin-Ib, MYH-1c, Myosin I alpha, MMI-alpha, MMIa, MYO1B

4 Images
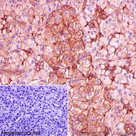
Immunohistochemistry (Formalin/PFA-fixed paraffin-embedded sections) - Anti-MYO1B antibody [EPR16223] (AB194356)
  • IHC-P

Supplier Data

Immunohistochemistry (Formalin/PFA-fixed paraffin-embedded sections) - Anti-MYO1B antibody [EPR16223] (AB194356)

Immunohistochemical analysis of paraffin-embedded Human pancreas tissue labeling MYO1B with ab194356 at 1/500 dilution, followed by Goat Anti-Rabbit IgG H&L (HRP) (ab97051) at 1/500 dilution. Counter stained with Hematoxylin.

Perform heat mediated antigen retrieval with Tris/EDTA buffer pH 9.0 before commencing with IHC staining protocol.

Immunohistochemistry (Formalin/PFA-fixed paraffin-embedded sections) - Anti-MYO1B antibody [EPR16223] (AB194356)
  • IHC-P

Supplier Data

Immunohistochemistry (Formalin/PFA-fixed paraffin-embedded sections) - Anti-MYO1B antibody [EPR16223] (AB194356)

Immunohistochemical analysis of paraffin-embedded rat liver tissue labeling MYO1B with ab194356 at 1/500 dilution, followed by Goat Anti-Rabbit IgG H&L (HRP) (ab97051) at 1/500 dilution. Counter stained with Hematoxylin.

Perform heat mediated antigen retrieval with Tris/EDTA buffer pH 9.0 before commencing with IHC staining protocol.

Western blot - Anti-MYO1B antibody [EPR16223] (AB194356)
  • WB

Supplier Data

Western blot - Anti-MYO1B antibody [EPR16223] (AB194356)

Blocking/Dilution buffer : 5% NFDM/TBST.

All lanes:

Western blot - Anti-MYO1B antibody [EPR16223] (ab194356) at 1/10000 dilution

Lane 1:

Human fetal kidney lysate at 20 µg

Lane 2:

293 cell lysate at 20 µg

Lane 3:

A431 cell lysate at 20 µg

Secondary

All lanes:

Goat Anti-Rabbit IgG, (H+L), Peroxidase conjugated at 1/1000 dilution

Predicted band size: 132 kDa

Observed band size: 132 kDa

false

Western blot - Anti-MYO1B antibody [EPR16223] (AB194356)
  • WB

Supplier Data

Western blot - Anti-MYO1B antibody [EPR16223] (AB194356)

Blocking/Dilution buffer : 5% NFDM/TBST.

All lanes:

Western blot - Anti-MYO1B antibody [EPR16223] (ab194356) at 1/2000 dilution

Lane 1:

Mouse heart lysate at 10 µg

Lane 2:

Rat heart lysate at 10 µg

Lane 3:

C6 cell lysate at 10 µg

Secondary

All lanes:

Goat Anti-Rabbit IgG, (H+L), Peroxidase conjugated at 1/1000 dilution

Predicted band size: 132 kDa

Observed band size: 132 kDa

false

Key facts

Host species

Rabbit

Clonality

Monoclonal

Clone number

EPR16223

Isotype

IgG

Carrier free

No

Reacts with

Mouse, Rat, Human

Applications

WB, IHC-P

applications

Immunogen

The exact immunogen used to generate this antibody is proprietary information.

Reactivity data

{ "title": "Reactivity Data", "filters": { "stats": ["", "Species", "Dilution Info", "Notes"], "tabs": { "all-applications": {"fullname" : "All Applications", "shortname": "All Applications"}, "WB" : {"fullname" : "Western blot", "shortname":"WB"}, "IHCP" : {"fullname" : "Immunohistochemistry (Formalin/PFA-fixed paraffin-embedded sections)", "shortname":"IHC-P"} }, "product-promise": { "all": "all", "testedAndGuaranteed": "tested", "guaranteed": "expected", "predicted": "predicted", "notRecommended": "not-recommended" } }, "values": { "Human": { "WB-species-checked": "testedAndGuaranteed", "WB-species-dilution-info": "1/1000 - 1/10000", "WB-species-notes": "<p></p>", "IHCP-species-checked": "testedAndGuaranteed", "IHCP-species-dilution-info": "1/250 - 1/500", "IHCP-species-notes": "<p></p>" }, "Mouse": { "WB-species-checked": "testedAndGuaranteed", "WB-species-dilution-info": "1/1000 - 1/10000", "WB-species-notes": "<p></p>", "IHCP-species-checked": "guaranteed", "IHCP-species-dilution-info": "", "IHCP-species-notes": "" }, "Rat": { "WB-species-checked": "guaranteed", "WB-species-dilution-info": "", "WB-species-notes": "", "IHCP-species-checked": "testedAndGuaranteed", "IHCP-species-dilution-info": "1/250 - 1/500", "IHCP-species-notes": "<p></p>" } } }

Product details

Patented technology
Our RabMAb® technology is a patented hybridoma-based technology for making rabbit monoclonal antibodies. For details on our patents, please refer to RabMAb® patents.

What are the advantages of a recombinant monoclonal antibody?
This product is a recombinant monoclonal antibody, which offers several advantages including:

  • - High batch-to-batch consistency and reproducibility
  • - Improved sensitivity and specificity
  • - Long-term security of supply
  • - Animal-free batch production

For more information, read more on recombinant antibodies.

Properties and storage information

Form
Liquid
Purification technique
Affinity purification Protein A
Storage buffer
pH: 7.2 - 7.4 Preservative: 0.01% Sodium azide Constituents: PBS, 40% Glycerol (glycerin, glycerine), 0.05% BSA
Shipped at conditions
Blue Ice
Appropriate short-term storage duration
1-2 weeks
Appropriate short-term storage conditions
+4°C
Appropriate long-term storage conditions
-20°C
Aliquoting information
Upon delivery aliquot
Storage information
Avoid freeze / thaw cycle

Supplementary information

This supplementary information is collated from multiple sources and compiled automatically.

MYO1B also known as Myosin IB belongs to the myosin superfamily. It weighs approximately 123 kDa. MYO1B functions as an actin-binding protein with ATPase activity contributing to cellular processes like membrane tension and transport. This protein is expressed in various tissues including brain intestines and kidneys. It plays a role in dynamic cellular environments where it influences membrane dynamics and trafficking.
Biological function summary

MYO1B participates in cellular processes by associating with actin filaments. MYO1B contributes to vesicular transport and cell cortex regulation. It acts as a monomer and does not form complexes with other myosins. MYO1B's ability to interact with plasma membrane and microfilaments facilitates movement and stabilization tasks essential for maintaining cellular structure and function.

Pathways

MYO1B interacts with dynamic cellular events involving actin remodeling and intracellular transport. The protein plays roles in the actin cytoskeleton pathway and is linked to the regulation of endocytosis. MYO1B interacts with proteins like actin and other myosins which support its functions within the pathways and ensure effective cellular responses to environmental cues.

Researchers have associated MYO1B with conditions like deafness and some cancers. The protein's influence on cell membrane dynamics and movement may link it to hearing-related disorders. Its dysregulation or alterations can affect cellular behavior contributing to tumorigenic pathways. In cancer research MYO1B interacts with proteins such as cadherins showing potential pathways that can be important in disease progression and therapy targets.

Product protocols

For this product, it's our understanding that no specific protocols are required. You can visit:

Target data

Motor protein that may participate in process critical to neuronal development and function such as cell migration, neurite outgrowth and vesicular transport.
See full target information Unconventional myosin-Ib

Publications (13)

Recent publications for all applications. Explore the full list and refine your search

Cancer cell international 25:235 PubMed40555979

2025

A novel mesothelioma molecular classification based on malignant cell differentiation.

Applications

Unspecified application

Species

Unspecified reactive species

Jun Liu,Yifan Liu,Yuwei Lu,Wei Zhang,Jiale Yan,Bingnan Lu,Yuntao Yao,Shuyuan Xian,Donghao Lyu,Jiaying Shi,Yuanan Li,Xinru Wu,Chenguang Bai,Jie Zhang,Yuan Zhang

Clinical, cosmetic and investigational dermatology 18:989-998 PubMed40296866

2025

Myosin 1b Inhibits the Phenotype of HemECs to Affect the Progression of Infantile Hemangiomas.

Applications

Unspecified application

Species

Unspecified reactive species

Nanxi Li,Xiangan Gong,Zhongying Cao,Zhiyu Li,Luying Wang,Ran Huo,Cong Fu

The Journal of biological chemistry 300:107807 PubMed39307302

2024

Aberrant overexpression of myosin 1b in glioblastoma promotes angiogenesis via VEGF-myc-myosin 1b-Piezo1 axis.

Applications

Unspecified application

Species

Unspecified reactive species

Weifeng Lv,Fan Yang,Zhengmao Ge,Lele Xin,Lingxue Zhang,Yaohong Zhai,Xian Liu,Qingdong Guo,Xinggang Mao,Peng Luo,Lei Zhang,Xiaofan Jiang,Yanyu Zhang

Science advances 9:eadg6693 PubMed37611092

2023

A MYCN-independent mechanism mediating secretome reprogramming and metastasis in -amplified neuroblastoma.

Applications

Unspecified application

Species

Unspecified reactive species

Hai-Feng Zhang,Alberto Delaidelli,Sumreen Javed,Busra Turgu,Taylor Morrison,Christopher S Hughes,Xiaqiu Yang,Manideep Pachva,Michael M Lizardo,Gurdeep Singh,Jennifer Hoffmann,Yue Zhou Huang,Khushbu Patel,Rawan Shraim,Sonia H Y Kung,Gregg B Morin,Samuel Aparicio,Daniel Martinez,John M Maris,Kristopher R Bosse,Karla C Williams,Poul H Sorensen

Oxidative medicine and cellular longevity 2023:4654083 PubMed36654782

2023

Myo1b Promotes Premature Endothelial Senescence and Dysfunction via Suppressing Autophagy: Implications for Vascular Aging.

Applications

Unspecified application

Species

Unspecified reactive species

Yi Yu,Yuanyuan Ren,Zi Li,Yang Li,Yirong Li,Yan Zhang,Runlin Gui,Yue Cui,Lu Qian,Yuyan Xiong

Analytical cellular pathology (Amsterdam) 2022:5187304 PubMed36458211

2022

Myosin 1b Participated in the Modulation of Hypoxia/Reoxygenation-Caused H9c2 Cell Apoptosis and Autophagy.

Applications

Unspecified application

Species

Unspecified reactive species

Jing Xu,Jin Huang,Xiaojie He,Mingshuang Hu,Shan Su,Ping Liu

Annals of translational medicine 9:1543 PubMed34790749

2021

MYO1B enhances colorectal cancer metastasis by promoting the F-actin rearrangement and focal adhesion assembly via RhoA/ROCK/FAK signaling.

Applications

Unspecified application

Species

Unspecified reactive species

Lang Xie,Hongyun Huang,Zheng Zheng,Qian Yang,Shubo Wang,Yaoxu Chen,Jinlong Yu,Chunhui Cui

JCI insight 6: PubMed34228647

2021

Key molecular alterations in endothelial cells in human glioblastoma uncovered through single-cell RNA sequencing.

Applications

Unspecified application

Species

Unspecified reactive species

Yuan Xie,Liqun He,Roberta Lugano,Yanyu Zhang,Haiyan Cao,Qiyuan He,Min Chao,Boxuan Liu,Qingze Cao,Jianhao Wang,Yang Jiao,Yaqin Hu,Liying Han,Yong Zhang,Hua Huang,Lene Uhrbom,Christer Betsholtz,Liang Wang,Anna Dimberg,Lei Zhang

Molecular biology of the cell 32:1210-1220 PubMed33826361

2021

In pancreatic β-cells myosin 1b regulates glucose-stimulated insulin secretion by modulating an early step in insulin granule trafficking from the Golgi.

Applications

Unspecified application

Species

Unspecified reactive species

Hiroshi Tokuo,Shigeru Komaba,Lynne M Coluccio

iScience 19:39-53 PubMed31349190

2019

Myosin 1b Regulates Nuclear AKT Activation by Preventing Localization of PTEN in the Nucleus.

Applications

Unspecified application

Species

Unspecified reactive species

Yi Yu,Yuyan Xiong,Diogo Ladeiras,Zhihong Yang,Xiu-Fen Ming
View all publications

Product promise

We are committed to supporting your work with high-quality reagents, and we're here for you every step of the way. In the unlikely event that one of our products does not perform as expected, you're protected by our Product Promise.
For full details, please see our Terms & Conditions

Please note: All products are 'FOR RESEARCH USE ONLY. NOT FOR USE IN DIAGNOSTIC OR THERAPEUTIC PROCEDURES'.

For licensing inquiries, please contact partnerships@abcam.com