JavaScript is disabled in your browser. Please enable JavaScript to view this website.
AB194828

Anti-MYO1C antibody [EPR14771]

5

(1 Review)

|

(5 Publications)

Rabbit Recombinant Monoclonal MYO1C antibody. Suitable for WB, ICC/IF, Flow Cyt (Intra), IHC-P and reacts with Mouse, Rat, Human samples. Cited in 5 publications.

View Alternative Names

Unconventional myosin-Ic, Myosin I beta, MMI-beta, MMIb, MYO1C

5 Images
Flow Cytometry (Intracellular) - Anti-MYO1C antibody [EPR14771] (AB194828)
  • Flow Cyt (Intra)

Lab

Flow Cytometry (Intracellular) - Anti-MYO1C antibody [EPR14771] (AB194828)

Intracellular Flow Cytometry analysis of HeLa cells labelling MYO1C (red) with purified ab194828 at dilution of 1/80. The secondary antibody used was Alexa Fluorr® 488 goat-anti-rabbit IgG (1/2000). Cells were fixed with 4% paraformaldehyde and permeabilised with 90% methanol. Isotype control antibody was Rabbit monoclonal IgG (black). The blue line shows cells without incubation with primary antibody and secondary antibody.

Immunocytochemistry/ Immunofluorescence - Anti-MYO1C antibody [EPR14771] (AB194828)
  • ICC/IF

Supplier Data

Immunocytochemistry/ Immunofluorescence - Anti-MYO1C antibody [EPR14771] (AB194828)

Immunofluorescent analysis of A431 cells labeling MYO1C with ab194828 at 1/100 dilution. A Goat anti rabbit IgG (Alexa Fluor488) at 1/400 dilution (ab150077) was used as secondary antibody. Cells were fixed with 4% paraformaldehyde and permeabilized with 0.1% triton X-100. Counterstain : DAPI. Cytoplasm and nuclear on A431 cell line was observed.

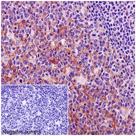
Immunohistochemistry (Formalin/PFA-fixed paraffin-embedded sections) - Anti-MYO1C antibody [EPR14771] (AB194828)
  • IHC-P

Supplier Data

Immunohistochemistry (Formalin/PFA-fixed paraffin-embedded sections) - Anti-MYO1C antibody [EPR14771] (AB194828)

Immunohistochemical analysis of paraffin-embedded Human tonsil tissue labeling MYO1C with ab194828 at 1/200 dilution (5μg/ml). A Goat Anti-Rabbit IgG H&L (HRP) at 1/500 dilution was used as secondary (ab97051). Counterstain : Hematoxylin.
Inset image : negative control obtained using PBS instead of ab194828. Cytoplasm staining on Human tonsil was observed.

Perform heat mediated antigen retrieval with Tris/EDTA buffer pH 9.0 before commencing with IHC staining protocol.

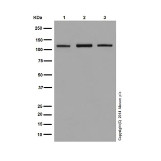
Western blot - Anti-MYO1C antibody [EPR14771] (AB194828)
  • WB

Supplier Data

Western blot - Anti-MYO1C antibody [EPR14771] (AB194828)

All lanes:

Western blot - Anti-MYO1C antibody [EPR14771] (ab194828) at 1/20000 dilution

Lane 1:

A431 cell lysate at 20 µg

Lane 2:

HT1080 cell lysate at 20 µg

Lane 3:

293T cell lysate at 20 µg

Secondary

All lanes:

Goat Anti-Rabbit IgG, (H+L), Peroxidase conjugated at 1/1000 dilution

Predicted band size: 122 kDa

false

Western blot - Anti-MYO1C antibody [EPR14771] (AB194828)
  • WB

Supplier Data

Western blot - Anti-MYO1C antibody [EPR14771] (AB194828)

All lanes:

Western blot - Anti-MYO1C antibody [EPR14771] (ab194828) at 1/2000 dilution

Lane 1:

Mouse heart lysate at 10 µg

Lane 2:

Rat heart lysate at 10 µg

Secondary

All lanes:

Goat Anti-Rabbit IgG, (H+L), Peroxidase conjugated at 1/1000 dilution

Predicted band size: 122 kDa

false

Key facts

Host species

Rabbit

Clonality

Monoclonal

Clone number

EPR14771

Isotype

IgG

Carrier free

No

Reacts with

Mouse, Rat, Human

Applications

ICC/IF, WB, IHC-P, Flow Cyt (Intra)

applications

Immunogen

The exact immunogen used to generate this antibody is proprietary information.

Reactivity data

{ "title": "Reactivity Data", "filters": { "stats": ["", "Species", "Dilution Info", "Notes"], "tabs": { "all-applications": {"fullname" : "All Applications", "shortname": "All Applications"}, "WB" : {"fullname" : "Western blot", "shortname":"WB"}, "ICCIF" : {"fullname" : "Immunocytochemistry/ Immunofluorescence", "shortname":"ICC/IF"}, "FlowCytIntra" : {"fullname" : "Flow Cytometry (Intracellular)", "shortname":"Flow Cyt (Intra)"}, "IHCP" : {"fullname" : "Immunohistochemistry (Formalin/PFA-fixed paraffin-embedded sections)", "shortname":"IHC-P"} }, "product-promise": { "all": "all", "testedAndGuaranteed": "tested", "guaranteed": "expected", "predicted": "predicted", "notRecommended": "not-recommended" } }, "values": { "Human": { "WB-species-checked": "testedAndGuaranteed", "WB-species-dilution-info": "1/1000 - 1/10000", "WB-species-notes": "<p></p>", "ICCIF-species-checked": "testedAndGuaranteed", "ICCIF-species-dilution-info": "1/100", "ICCIF-species-notes": "<p></p>", "FlowCytIntra-species-checked": "testedAndGuaranteed", "FlowCytIntra-species-dilution-info": "1/80", "FlowCytIntra-species-notes": "<p></p>", "IHCP-species-checked": "testedAndGuaranteed", "IHCP-species-dilution-info": "1/100 - 1/200", "IHCP-species-notes": "<p></p>" }, "Mouse": { "WB-species-checked": "testedAndGuaranteed", "WB-species-dilution-info": "1/1000 - 1/10000", "WB-species-notes": "<p></p>", "ICCIF-species-checked": "guaranteed", "ICCIF-species-dilution-info": "", "ICCIF-species-notes": "", "FlowCytIntra-species-checked": "guaranteed", "FlowCytIntra-species-dilution-info": "", "FlowCytIntra-species-notes": "", "IHCP-species-checked": "guaranteed", "IHCP-species-dilution-info": "", "IHCP-species-notes": "" }, "Rat": { "WB-species-checked": "testedAndGuaranteed", "WB-species-dilution-info": "1/1000 - 1/10000", "WB-species-notes": "<p></p>", "ICCIF-species-checked": "guaranteed", "ICCIF-species-dilution-info": "", "ICCIF-species-notes": "", "FlowCytIntra-species-checked": "guaranteed", "FlowCytIntra-species-dilution-info": "", "FlowCytIntra-species-notes": "", "IHCP-species-checked": "guaranteed", "IHCP-species-dilution-info": "", "IHCP-species-notes": "" } } }

Product details

Patented technology
Our RabMAb® technology is a patented hybridoma-based technology for making rabbit monoclonal antibodies. For details on our patents, please refer to RabMAb® patents.

What are the advantages of a recombinant monoclonal antibody?
This product is a recombinant monoclonal antibody, which offers several advantages including:

  • - High batch-to-batch consistency and reproducibility
  • - Improved sensitivity and specificity
  • - Long-term security of supply
  • - Animal-free batch production

For more information, read more on recombinant antibodies.

Properties and storage information

Form
Liquid
Purification technique
Affinity purification Protein A
Storage buffer
pH: 7.2 - 7.4 Preservative: 0.01% Sodium azide Constituents: PBS, 40% Glycerol (glycerin, glycerine), 0.05% BSA
Shipped at conditions
Blue Ice
Appropriate short-term storage duration
1-2 weeks
Appropriate short-term storage conditions
+4°C
Appropriate long-term storage conditions
-20°C
Aliquoting information
Upon delivery aliquot
Storage information
Avoid freeze / thaw cycle

Supplementary information

This supplementary information is collated from multiple sources and compiled automatically.

MYO1C also known as myosin IC is involved in intracellular transport. It works as a molecular motor that converts chemical energy into mechanical work playing a fundamental role in cellular processes. MYO1C has a molecular mass of approximately 122 kDa. It is ubiquitously expressed found in various tissues with a significant presence in the inner ear and kidneys and also in adipose tissue and platelets.
Biological function summary

The actions of MYO1C affect cellular movement and signal transduction. It cooperates with actin filaments forming part of the cytoskeletal complex. This complex aids in maintaining cellular shape and facilitating endocytosis and exocytosis. MYO1C's role is significant in cellular adaptation to stimuli and is part of chromatin dynamics influencing transcription regulation.

Pathways

MYO1C interacts with several key biological processes. It is notably involved in the insulin signaling pathway where it directly affects glucose uptake and metabolism. MYO1C also plays a part in the auditory signaling pathway contributing to hearing processes. Important related proteins in these pathways include actin which it closely associates with and GLUT4 a critical protein for glucose transport.

MYO1C's dysfunction can lead to certain health issues. It has been linked to hearing impairments as it plays a role in auditory function. Additionally MYO1C is relevant in metabolic disorders such as insulin resistance due to its involvement with insulin signaling. The protein is indirectly connected with MLCK which affects muscle function and insulin response in these contexts.

Product protocols

For this product, it's our understanding that no specific protocols are required. You can visit:

Target data

Myosins are actin-based motor molecules with ATPase activity. Unconventional myosins serve in intracellular movements. Their highly divergent tails are presumed to bind to membranous compartments, which would be moved relative to actin filaments. Involved in glucose transporter recycling in response to insulin by regulating movement of intracellular GLUT4-containing vesicles to the plasma membrane. Component of the hair cell's (the sensory cells of the inner ear) adaptation-motor complex. Acts as a mediator of adaptation of mechanoelectrical transduction in stereocilia of vestibular hair cells. Binds phosphoinositides and links the actin cytoskeleton to cellular membranes.. Isoform 3. Involved in regulation of transcription. Associated with transcriptional active ribosomal genes. Appears to cooperate with the WICH chromatin-remodeling complex to facilitate transcription. Necessary for the formation of the first phosphodiester bond during transcription initiation.
See full target information Unconventional myosin-Ic

Publications (5)

Recent publications for all applications. Explore the full list and refine your search

Nature communications 16:1801 PubMed39979305

2025

Actin-dependent α-catenin oligomerization contributes to adherens junction assembly.

Applications

Unspecified application

Species

Unspecified reactive species

Regina B Troyanovsky,Indrajyoti Indra,Sergey M Troyanovsky

Cell 186:3307-3324.e30 PubMed37385249

2023

Dynamic mapping of proteome trafficking within and between living cells by TransitID.

Applications

Unspecified application

Species

Unspecified reactive species

Wei Qin,Joleen S Cheah,Charles Xu,James Messing,Brian D Freibaum,Steven Boeynaems,J Paul Taylor,Namrata D Udeshi,Steven A Carr,Alice Y Ting

Aging 15:5514-5534 PubMed37335082

2023

hucMSCs treatment prevents pulmonary fibrosis by reducing circANKRD42-YAP1-mediated mechanical stiffness.

Applications

Unspecified application

Species

Unspecified reactive species

Haitong Zhang,Qi Zhu,Yunxia Ji,Meirong Wang,Qian Zhang,Weili Liu,Ruiqiong Li,Jinjin Zhang,Pan Xu,Xiaodong Song,Changjun Lv

Cell cycle (Georgetown, Tex.) 22:986-1004 PubMed36762777

2023

Metformin attenuates multiple myeloma cell proliferation and encourages apoptosis by suppressing METTL3-mediated m6A methylation of THRAP3, RBM25, and USP4.

Applications

Unspecified application

Species

Unspecified reactive species

Cong-Jie Chen,Jie-Yun Huang,Jian-Qing Huang,Jia-Yi Deng,Xiao-Hui Shangguan,Ai-Zhen Chen,Long-Tian Chen,Wei-Hao Wu

Cell death & disease 13:1035 PubMed36513634

2022

SMOC2 promotes aggressive behavior of fibroblast-like synoviocytes in rheumatoid arthritis through transcriptional and post-transcriptional regulating MYO1C.

Applications

Unspecified application

Species

Unspecified reactive species

Di Liu,Ruiru Li,Siqi Xu,Maohua Shi,Yu Kuang,Jingnan Wang,Chuyu Shen,Qian Qiu,Liuqin Liang,Youjun Xiao,Hanshi Xu
View all publications

Product promise

We are committed to supporting your work with high-quality reagents, and we're here for you every step of the way. In the unlikely event that one of our products does not perform as expected, you're protected by our Product Promise.
For full details, please see our Terms & Conditions

Please note: All products are 'FOR RESEARCH USE ONLY. NOT FOR USE IN DIAGNOSTIC OR THERAPEUTIC PROCEDURES'.

For licensing inquiries, please contact partnerships@abcam.com