JavaScript is disabled in your browser. Please enable JavaScript to view this website.
AB318198

Anti-Myocilin antibody [EPR28799-15] - BSA and Azide free

Be the first to review this product! Submit a review

|

(0 Publication)

Rabbit Recombinant Monoclonal Myocilin antibody. Carrier free. Suitable for WB, ICC/IF, Flow Cyt (Intra) and reacts with Human, Mouse, Rat samples.

View Alternative Names

GLC1A, TIGR, MYOC, Myocilin, Myocilin 55 kDa subunit, Trabecular meshwork-induced glucocorticoid response protein

9 Images
Flow Cytometry (Intracellular) - Anti-Myocilin antibody [EPR28799-15] - BSA and Azide free (AB318198)
  • Flow Cyt (Intra)

Supplier Data

Flow Cytometry (Intracellular) - Anti-Myocilin antibody [EPR28799-15] - BSA and Azide free (AB318198)

This data was developed using ab318197, the same antibody clone in a different buffer formulation.

Flow cytometric analysis of 4% paraformaldehyde fixed 90% methanol permeabilized HeLa (human cervical adenocarcinoma epithelial cell) cells labelling Myocilin with ab318197 at 1/500 dilution (0.1ug) / Magenta compared with a Rabbit monoclonal IgG (ab172730) (Black) isotype control and an unlabelled control (cells without incubation with primary antibody and secondary antibody) (Blue).

Goat Anti-Rabbit IgG (Alexa Fluor® 488, ab150081) at 1/5000 dilution was used as the secondary antibody.

Immunocytochemistry/ Immunofluorescence - Anti-Myocilin antibody [EPR28799-15] - BSA and Azide free (AB318198)
  • ICC/IF

Supplier Data

Immunocytochemistry/ Immunofluorescence - Anti-Myocilin antibody [EPR28799-15] - BSA and Azide free (AB318198)

This data was developed using ab318197, the same antibody clone in a different buffer formulation.

Immunofluorescent analysis of 4% Paraformaldehyde-fixed, 0.1% TritonX-100 permeabilized HeLa (human cervical adenocarcinoma epithelial cell) cells labelling Myocilin with ab318197 at 1/500 (1.016 ug/ml) dilution, followed by ab150081 Goat Anti-Rabbit IgG H&L (Alexa Fluor® 488) preadsorbed antibody at 1/1000 2 ug/ml dilution (Green).

Confocal image showing cytoplasmic staining in HeLa cell line (shown in green). The counterstain was observed in magenta. Nuclear DNA was labeled with DAPI (shown in blue). Image was taken with a confocal microscope (Leica-Microsystems, TCS SP8).

ab195889 Anti-alpha Tubulin mouse monoclonal antibody - Microtubule Marker (Alexa Fluor® 594) was used to counterstain tubulin at 1/200 2.5ug/ml dilution (Magenta). The Nuclear counterstain was DAPI (Blue).

Secondary antibody only control : Secondary antibody is ab150081 Goat Anti-Rabbit IgG H&L (Alexa Fluor® 488) preadsorbed at 1/1000 2 ug/ml dilution.

Flow Cytometry (Intracellular) - Anti-Myocilin antibody [EPR28799-15] - BSA and Azide free (AB318198)
  • Flow Cyt (Intra)

Supplier Data

Flow Cytometry (Intracellular) - Anti-Myocilin antibody [EPR28799-15] - BSA and Azide free (AB318198)

This data was developed using ab318197, the same antibody clone in a different buffer formulation.

Flow cytometric analysis of 4% paraformaldehyde fixed 90% methanol permeabilized Mouse retina cells labelling Myocilin with ab318197 at 1/50 dilution (1ug) / Right compared with a Rabbit monoclonal IgG (ab172730) / Left isotype contro.

Goat Anti-Rabbit IgG (Alexa Fluor® 488, ab150081) at 1/5000 dilution was used as the secondary antibody.

Immunocytochemistry/ Immunofluorescence - Anti-Myocilin antibody [EPR28799-15] - BSA and Azide free (AB318198)
  • ICC/IF

Supplier Data

Immunocytochemistry/ Immunofluorescence - Anti-Myocilin antibody [EPR28799-15] - BSA and Azide free (AB318198)

This data was developed using ab318197, the same antibody clone in a different buffer formulation.

Immunofluorescent analysis of 4% Paraformaldehyde-fixed, 0.1% TritonX-100 permeabilized rat primary retina cells labelling Myocilin with ab318197 at 1/500 (1.016 ug/ml) dilution, followed by ab150081 Goat Anti-Rabbit IgG H&L (Alexa Fluor® 488) preadsorbed antibody at 1/1000 2 ug/ml dilution (Green).

Confocal image showing cytoplasmic staining in rat primary retina (shown in green). The counterstain was observed in magenta. Nuclear DNA was labeled with DAPI (shown in blue).
Confocal scanning Z step was set as 0.3 µm followed by image processing with maximum Z projection.
The image was taken with a confocal microscope (Leica-Microsystems, TCS SP8).

ab11267 Anti-MAP2 mouse monoclonal antibody was used to counterstain tubulin at 1/500 4 ug/ml dilution (Magenta). The Nuclear counterstain was DAPI (Blue).

-ve control 1 : ab318197 at 1/500 (1.016 ug/ml) dilution, followed by ab150120 Goat Anti-Mouse IgG H&L (Alexa Fluor® 594) at 1/1000 2 ug/mL dilution.
-ve control 2 : ab11267 1/500 4ug/ml dilution, followed by ab150081 Goat Anti-Rabbit IgG H&L (Alexa Fluor® 488) preadsorbed at 1/1000 2 ug/mL dilution.

Flow Cytometry (Intracellular) - Anti-Myocilin antibody [EPR28799-15] - BSA and Azide free (AB318198)
  • Flow Cyt (Intra)

Supplier Data

Flow Cytometry (Intracellular) - Anti-Myocilin antibody [EPR28799-15] - BSA and Azide free (AB318198)

This data was developed using ab318197, the same antibody clone in a different buffer formulation.

Flow cytometric analysis of 4% paraformaldehyde fixed 90% methanol permeabilized Rat retina cells labelling Myocilin with ab318197 at 1/50 dilution (1ug) / Right compared with a Rabbit monoclonal IgG (ab172730) / Left isotype contro.

Goat Anti-Rabbit IgG (Alexa Fluor® 488, ab150081) at 1/5000 dilution was used as the secondary antibody.

Immunocytochemistry/ Immunofluorescence - Anti-Myocilin antibody [EPR28799-15] - BSA and Azide free (AB318198)
  • ICC/IF

Supplier Data

Immunocytochemistry/ Immunofluorescence - Anti-Myocilin antibody [EPR28799-15] - BSA and Azide free (AB318198)

This data was developed using ab318197, the same antibody clone in a different buffer formulation.

Immunofluorescent analysis of 4% Paraformaldehyde-fixed, 0.1% TritonX-100 permeabilized mouse primary retina cells labelling Myocilin with ab318197 at 1/500 (1.016 ug/ml) dilution, followed by ab150081 Goat Anti-Rabbit IgG H&L (Alexa Fluor® 488) preadsorbed antibody at 1/1000 2 ug/ml dilution (Green).

Confocal image showing cytoplasmic staining in mouse primary retina (shown in green). The counterstain was observed in magenta. Nuclear DNA was labeled with DAPI (shown in blue).
Confocal scanning Z step was set as 0.3 µm followed by image processing with maximum Z projection.
The image was taken with a confocal microscope (Leica-Microsystems, TCS SP8).

ab11267 Anti-MAP2 mouse monoclonal antibody was used to counterstain tubulin at 1/500 4 ug/ml dilution (Magenta). The Nuclear counterstain was DAPI (Blue).

-ve control 1 : ab318197 at 1/500 (1.016 ug/ml) dilution, followed by ab150120 Goat Anti-Mouse IgG H&L (Alexa Fluor® 594) at 1/1000 2 ug/mL dilution.
-ve control 2 : ab11267 1/500 4ug/ml dilution, followed by ab150081 Goat Anti-Rabbit IgG H&L (Alexa Fluor® 488) preadsorbed at 1/1000 2 ug/mL dilution.

Western blot - Anti-Myocilin antibody [EPR28799-15] - BSA and Azide free (AB318198)
  • WB

Supplier Data

Western blot - Anti-Myocilin antibody [EPR28799-15] - BSA and Azide free (AB318198)

This data was developed using ab318197, the same antibody clone in a different buffer formulation.

Low expression : Human spleen and liver (PMID : 10320784).

The bands beneath the target band (20~37 kDa) are likely to be degraded target fragments.

In Western blot, Anti-GAPDH antibody [EPR16891] - Loading Control (ab181602) staining at 1/200000 dilution.

All lanes:

Western blot - Anti-Myocilin antibody [EPR28799-15] (<a href='/en-us/products/primary-antibodies/myocilin-antibody-epr28799-15-ab318197'>ab318197</a>) at 1/1000 dilution

Lane 1:

Human eyeball tissue lysate at 20 µg

Lane 2:

Human testis tissue lysate at 20 µg

Lane 3:

Human spleen tissue lysate at 20 µg

Lane 4:

Human liver tissue lysate at 20 µg

Secondary

All lanes:

Western blot - Goat Anti-Rabbit IgG H&L (HRP) (<a href='/en-us/products/secondary-antibodies/goat-rabbit-igg-h-l-hrp-ab97051'>ab97051</a>) at 1/100000 dilution

Observed band size: 55 kDa,36 kDa

false

Exposure time: 103s

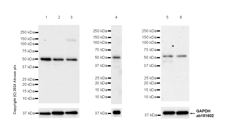
Western blot - Anti-Myocilin antibody [EPR28799-15] - BSA and Azide free (AB318198)
  • WB

Supplier Data

Western blot - Anti-Myocilin antibody [EPR28799-15] - BSA and Azide free (AB318198)

This data was developed using ab318197, the same antibody clone in a different buffer formulation.

The identity of the higher MW band at approximately 150kDa (Lane 3) is unknown.

In Western blot, Anti-GAPDH antibody [EPR16891] - Loading Control (ab181602) staining at 1/200000 dilution.

Exposure time : Lane 1-3 : 92 seconds; Lane 4-6 : 180 seconds

All lanes:

Western blot - Anti-Myocilin antibody [EPR28799-15] (<a href='/en-us/products/primary-antibodies/myocilin-antibody-epr28799-15-ab318197'>ab318197</a>) at 1/1000 dilution

Lane 1:

Neuro-2a (mouse neuroblastoma neuroblast) whole fresh cell lysate at 20 µg

Lane 2:

U-87 MG (human glioblastoma-astrocytoma epithelial cell) whole fresh cell lysate at 20 µg

Lane 3:

SH-SY5Y (human neuroblastoma epithelial cell) whole fresh cell lysate at 20 µg

Lane 4:

HeLa (human cervical adenocarcinoma epithelial cell) whole cell lysate at 20 µg

Lane 5:

MCF7 (human breast adenocarcinoma epithelial cell) whole cell lysate at 20 µg

Lane 6:

C2C12 (mouse myoblast) whole cell lysate at 20 µg

Secondary

All lanes:

Western blot - Goat Anti-Rabbit IgG H&L (HRP) (<a href='/en-us/products/secondary-antibodies/goat-rabbit-igg-h-l-hrp-ab97051'>ab97051</a>) at 1/100000 dilution

Observed band size: 55 kDa,36 kDa

false

Western blot - Anti-Myocilin antibody [EPR28799-15] - BSA and Azide free (AB318198)
  • WB

Supplier Data

Western blot - Anti-Myocilin antibody [EPR28799-15] - BSA and Azide free (AB318198)

This data was developed using ab318197, the same antibody clone in a different buffer formulation.

Low expression : Mouse and rat liver (PMID : 10320784).

The identity of the lower MW band at approximately 37kDa (Lane 3) is unknown.

In Western blot, Anti-GAPDH antibody [EPR16891] - Loading Control (ab181602) staining at 1/200000 dilution.

All lanes:

Western blot - Anti-Myocilin antibody [EPR28799-15] (<a href='/en-us/products/primary-antibodies/myocilin-antibody-epr28799-15-ab318197'>ab318197</a>) at 1/1000 dilution

Lane 1:

Mouse retina tissue lysate at 20 µg

Lane 2:

Mouse testis tissue lysate at 20 µg

Lane 3:

Mouse liver tissue lysate at 20 µg

Lane 4:

Rat retina tissue lysate at 20 µg

Lane 5:

Rat testis tissue lysate at 20 µg

Lane 6:

Rat liver tissue lysate at 20 µg

Secondary

All lanes:

Western blot - Goat Anti-Rabbit IgG H&L (HRP) (<a href='/en-us/products/secondary-antibodies/goat-rabbit-igg-h-l-hrp-ab97051'>ab97051</a>) at 1/100000 dilution

Observed band size: 55 kDa,36 kDa

false

Exposure time: 92s

Key facts

Host species

Rabbit

Clonality

Monoclonal

Clone number

EPR28799-15

Isotype

IgG

Carrier free

Yes

Reacts with

Human, Mouse, Rat

Applications

ICC/IF, Flow Cyt (Intra), WB

applications

Immunogen

The exact immunogen used to generate this antibody is proprietary information.

Reactivity data

{ "title": "Reactivity Data", "filters": { "stats": ["", "Species", "Dilution Info", "Notes"], "tabs": { "all-applications": {"fullname" : "All Applications", "shortname": "All Applications"}, "WB" : {"fullname" : "Western blot", "shortname":"WB"}, "ICCIF" : {"fullname" : "Immunocytochemistry/ Immunofluorescence", "shortname":"ICC/IF"}, "FlowCytIntra" : {"fullname" : "Flow Cytometry (Intracellular)", "shortname":"Flow Cyt (Intra)"}, "IP" : {"fullname" : "Immunoprecipitation", "shortname":"IP"}, "IHCP" : {"fullname" : "Immunohistochemistry (Formalin/PFA-fixed paraffin-embedded sections)", "shortname":"IHC-P"} }, "product-promise": { "all": "all", "testedAndGuaranteed": "tested", "guaranteed": "expected", "predicted": "predicted", "notRecommended": "not-recommended" } }, "values": { "Human": { "WB-species-checked": "testedAndGuaranteed", "WB-species-dilution-info": "", "WB-species-notes": "<p></p>", "ICCIF-species-checked": "testedAndGuaranteed", "ICCIF-species-dilution-info": "", "ICCIF-species-notes": "<p></p>", "FlowCytIntra-species-checked": "testedAndGuaranteed", "FlowCytIntra-species-dilution-info": "", "FlowCytIntra-species-notes": "<p></p>", "IP-species-checked": "notRecommended", "IP-species-dilution-info": "", "IP-species-notes": "<p></p>", "IHCP-species-checked": "notRecommended", "IHCP-species-dilution-info": "", "IHCP-species-notes": "<p></p>" }, "Mouse": { "WB-species-checked": "testedAndGuaranteed", "WB-species-dilution-info": "", "WB-species-notes": "<p></p>", "ICCIF-species-checked": "testedAndGuaranteed", "ICCIF-species-dilution-info": "", "ICCIF-species-notes": "<p></p>", "FlowCytIntra-species-checked": "testedAndGuaranteed", "FlowCytIntra-species-dilution-info": "", "FlowCytIntra-species-notes": "<p></p>", "IP-species-checked": "notRecommended", "IP-species-dilution-info": "", "IP-species-notes": "", "IHCP-species-checked": "notRecommended", "IHCP-species-dilution-info": "", "IHCP-species-notes": "<p></p>" }, "Rat": { "WB-species-checked": "testedAndGuaranteed", "WB-species-dilution-info": "", "WB-species-notes": "<p></p>", "ICCIF-species-checked": "testedAndGuaranteed", "ICCIF-species-dilution-info": "", "ICCIF-species-notes": "<p></p>", "FlowCytIntra-species-checked": "testedAndGuaranteed", "FlowCytIntra-species-dilution-info": "", "FlowCytIntra-species-notes": "<p></p>", "IP-species-checked": "notRecommended", "IP-species-dilution-info": "", "IP-species-notes": "", "IHCP-species-checked": "notRecommended", "IHCP-species-dilution-info": "", "IHCP-species-notes": "<p></p>" } } }

Product details

ab318198 is the carrier-free version of ab318197.

Patented technology
Our RabMAb® technology is a patented hybridoma-based technology for making rabbit monoclonal antibodies. For details on our patents, please refer to RabMAb® patents.

What are the advantages of a recombinant monoclonal antibody?
This product is a recombinant monoclonal antibody, which offers several advantages including:

  • - High batch-to-batch consistency and reproducibility
  • - Improved sensitivity and specificity
  • - Long-term security of supply
  • - Animal-free batch production

For more information, read more on recombinant antibodies.

Conjugation ready
Our carrier-free antibodies are typically supplied in a PBS-only formulation, purified and free of BSA, sodium azide and glycerol. This conjugation-ready format is designed for use with fluorochromes, metal isotopes, oligonucleotides, and enzymes, which makes them ideal for antibody labelling, functional and cell-based assays, flow-based assays (e.g. mass cytometry) and Multiplex Imaging applications.

Use our conjugation kits for antibody conjugates that are ready-to-use in as little as 20 minutes with 1 minute hands-on-time and 100% antibody recovery: available for fluorescent dyes, HRP, biotin and gold.

Compatibility
This product is compatible with the Maxpar® Antibody Labeling Kit from Fluidigm, without the need for antibody preparation. Maxpar® is a trademark of Fluidigm Canada Inc.

Properties and storage information

Form
Liquid
Purification technique
Affinity purification Protein A
Storage buffer
pH: 7.2 - 7.4 Constituents: PBS
Shipped at conditions
Blue Ice
Appropriate short-term storage conditions
+4°C
Appropriate long-term storage conditions
+4°C

Supplementary information

This supplementary information is collated from multiple sources and compiled automatically.

Myocilin also known as Trabecular Meshwork Inducible Glucocorticoid Response protein (TIGR) is a protein mainly involved in ocular processes. It weighs about 55 kDa and contains several key domains including a leucine zipper motif and an olfactomedin-like domain. Myocilin is abundantly expressed in the trabecular meshwork of the eye skeletal muscle heart and brain. The protein appears in both intracellular and secreted forms and undergoes glycosylation.
Biological function summary

This protein plays an important role in the regulation of intraocular pressure by influencing the outflow of aqueous humor through the trabecular meshwork. It is also known to be part of a protein complex that interacts with other extracellular matrix components to maintain the structural integrity of tissues. Beyond the eye Myocilin similarly contributes to cellular processes in other tissues assisting in maintaining cellular structure and integrity.

Pathways

Myocilin functions within the Wnt signaling pathway and extracellular matrix-receptor interaction pathway. These pathways are significant in regulating cell growth adhesion and differentiation in various tissues. In the Wnt signaling pathway Myocilin interacts with proteins such as Frizzled receptors affecting the downstream effects on cell behavior and fate. In the extracellular matrix pathway Myocilin associates with collagens and laminins influencing tissue architecture and dynamics.

Myocilin plays a significant role in glaucoma and Myocilin-related ocular hypertension. Glaucoma often involves elevated intraocular pressure due to impaired aqueous humor outflow in which mutated Myocilin may not function properly affecting cellular interactions and contributing to disease progression. Links have been identified with proteins like optineurin in the context of glaucoma where these proteins can collectively influence disease pathophysiology and lead to optic nerve damage if dysregulated.

Product protocols

For this product, it's our understanding that no specific protocols are required. You can visit:

Target data

Secreted glycoprotein regulating the activation of different signaling pathways in adjacent cells to control different processes including cell adhesion, cell-matrix adhesion, cytoskeleton organization and cell migration. Promotes substrate adhesion, spreading and formation of focal contacts. Negatively regulates cell-matrix adhesion and stress fiber assembly through Rho protein signal transduction. Modulates the organization of actin cytoskeleton by stimulating the formation of stress fibers through interactions with components of Wnt signaling pathways. Promotes cell migration through activation of PTK2 and the downstream phosphatidylinositol 3-kinase signaling. Plays a role in bone formation and promotes osteoblast differentiation in a dose-dependent manner through mitogen-activated protein kinase signaling. Mediates myelination in the peripheral nervous system through ERBB2/ERBB3 signaling. Plays a role as a regulator of muscle hypertrophy through the components of dystrophin-associated protein complex. Involved in positive regulation of mitochondrial depolarization. Plays a role in neurite outgrowth. May participate in the obstruction of fluid outflow in the trabecular meshwork.
See full target information MYOC

Product promise

We are committed to supporting your work with high-quality reagents, and we're here for you every step of the way. In the unlikely event that one of our products does not perform as expected, you're protected by our Product Promise.
For full details, please see our Terms & Conditions

Please note: All products are 'FOR RESEARCH USE ONLY. NOT FOR USE IN DIAGNOSTIC OR THERAPEUTIC PROCEDURES'.

For licensing inquiries, please contact partnerships@abcam.com