JavaScript is disabled in your browser. Please enable JavaScript to view this website.
AB16148

Anti-MyoD1 antibody [5.2F]

3

(18 Reviews)

|

(57 Publications)

Mouse Monoclonal MYOD1 antibody. Suitable for sELISA, IHC-P and reacts with Mouse, Human samples. Cited in 57 publications. Immunogen corresponding to Synthetic Peptide within Mouse Myod1 aa 1-100.

View Alternative Names

BHLHC1, MYF3, MYOD, MYOD1, Myoblast determination protein 1, Class C basic helix-loop-helix protein 1, Myogenic factor 3, bHLHc1, Myf-3

2 Images
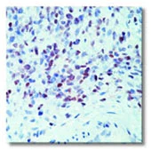
Immunohistochemistry (Formalin/PFA-fixed paraffin-embedded sections) - Anti-MyoD1 antibody [5.2F] (AB16148)
  • IHC-P

Unknown

Immunohistochemistry (Formalin/PFA-fixed paraffin-embedded sections) - Anti-MyoD1 antibody [5.2F] (AB16148)

Immunohistochemical staining using ab16148 at 2ug/ml on formalin fixed, paraffin embedded samples of human rhabdomyosarcoma.

Sandwich ELISA - Anti-MyoD1 antibody [5.2F] (AB16148)
  • sELISA

Unknown

Sandwich ELISA - Anti-MyoD1 antibody [5.2F] (AB16148)

Standard Curve for Myo-D; dilution range 1 pg/ml to 1 ug/ml using Capture Antibody Mouse monoclonal [5.2F] to MyoD1 (ab16148) at 5ug/ml and Detector Antibody Rabbit polyclonal to MyoD1 (ab64159) at 0.1ug/ml.

Key facts

Host species

Mouse

Clonality

Monoclonal

Clone number

5.2F

Isotype

IgG2a

Carrier free

No

Reacts with

Mouse, Human

Applications

sELISA, IHC-P

applications

Immunogen

Synthetic Peptide within Mouse Myod1 aa 1-100. The exact immunogen used to generate this antibody is proprietary information.

P10085

Specificity

This antibody does not cross react with Myogenin, Myf5, or Myf6.

Reactivity data

{ "title": "Reactivity Data", "filters": { "stats": ["", "Species", "Dilution Info", "Notes"], "tabs": { "all-applications": {"fullname" : "All Applications", "shortname": "All Applications"}, "sELISA" : {"fullname" : "Sandwich ELISA", "shortname":"sELISA"}, "IHCP" : {"fullname" : "Immunohistochemistry (Formalin/PFA-fixed paraffin-embedded sections)", "shortname":"IHC-P"} }, "product-promise": { "all": "all", "testedAndGuaranteed": "tested", "guaranteed": "expected", "predicted": "predicted", "notRecommended": "not-recommended" } }, "values": { "Human": { "sELISA-species-checked": "guaranteed", "sELISA-species-dilution-info": "", "sELISA-species-notes": "", "IHCP-species-checked": "testedAndGuaranteed", "IHCP-species-dilution-info": "2-4 µg/mL", "IHCP-species-notes": "<p></p>" }, "Mouse": { "sELISA-species-checked": "testedAndGuaranteed", "sELISA-species-dilution-info": "5 µg/mL", "sELISA-species-notes": "<p>For sandwich ELISA, use this antibody as Capture at 5 µg/ml with Rabbit polyclonal to MyoD1 (<a href='/en-us/products/primary-antibodies/myod1-antibody-ab64159'>ab64159</a>) as Detection.</p>", "IHCP-species-checked": "guaranteed", "IHCP-species-dilution-info": "", "IHCP-species-notes": "" }, "Chicken": { "sELISA-species-checked": "predicted", "sELISA-species-dilution-info": "", "sELISA-species-notes": "", "IHCP-species-checked": "predicted", "IHCP-species-dilution-info": "", "IHCP-species-notes": "" }, "Pig": { "sELISA-species-checked": "predicted", "sELISA-species-dilution-info": "", "sELISA-species-notes": "", "IHCP-species-checked": "predicted", "IHCP-species-dilution-info": "", "IHCP-species-notes": "" } } }

Have you thought about this alternative?

AB307805

Anti-MyoD1 antibody [HL1372]

0
0 Reviews
View product

We’re constantly upgrading our range to offer the highest quality products. We have selected this alternative product for your review because it gives improved performance, is easier and more convenient to use, or is available faster.

Properties and storage information

Form
Liquid
Purification technique
Affinity purification Immunogen
Storage buffer
Preservative: 0.08% Sodium azide Constituents: PBS
Shipped at conditions
Blue Ice
Appropriate short-term storage duration
1-2 weeks
Appropriate short-term storage conditions
+4°C
Appropriate long-term storage conditions
-20°C
Aliquoting information
Upon delivery aliquot
Storage information
Avoid freeze / thaw cycle

Supplementary information

This supplementary information is collated from multiple sources and compiled automatically.

MyoD1 also known as Myogenic Differentiation 1 is a master regulator of muscle differentiation. It functions mechanically as a transcription factor binding to DNA at specific sequences thereby activating the transcription of genes necessary for muscle tissue development. MyoD1 has a molecular weight of approximately 45 kDa. It is expressed in skeletal muscle tissues and also detected in some non-muscle tissues though at lower levels. MyoD1 is essential in the early stages of muscle cell lineage commitment.
Biological function summary

MyoD1 plays an important role in muscle differentiation by activating muscle-specific genes. It belongs to the myogenic regulatory factor family and often operates within a protein complex alongside Myf5 and myogenin aiding in the conversion of mesodermal stem cells into muscle cells. These partnerships enhance its ability to initiate the muscle-specific gene expression that drives myogenesis. MyoD1 acts like a molecular switch shifting cells into the pathway leading to muscle formation.

Pathways

MyoD1 is an integral component of myogenesis and muscle regeneration pathways. MyoD1 interacts with key pathway components such as Myf5 and MRF4 which reinforce MyoD1 activity in muscle tissue lineage determination and cell cycle arrest during differentiation. The activity of MyoD1 in these pathways highlights its role in skeletal muscle growth. MyoD1 also demonstrates functional redundancy with Myogenin as both share overlapping roles in these critical pathways.

MyoD1 is associated with muscular dystrophy and some sarcomas. Aberrant expression or mutations in MyoD1 can disrupt normal muscle differentiation contributing to muscle-related disorders like rhabdomyosarcoma a form of cancer comprising cells resembling skeletal muscle. Its relationship with other proteins like Myf5 further highlights its role in such pathological conditions as faults in these connections can amplify or alter disease progression.

Product protocols

For this product, it's our understanding that no specific protocols are required. You can visit:

Target data

Acts as a transcriptional activator that promotes transcription of muscle-specific target genes and plays a role in muscle differentiation. Together with MYF5 and MYOG, co-occupies muscle-specific gene promoter core region during myogenesis. Induces fibroblasts to differentiate into myoblasts. Interacts with and is inhibited by the twist protein. This interaction probably involves the basic domains of both proteins (By similarity).
See full target information MYOD1

Publications (57)

Recent publications for all applications. Explore the full list and refine your search

International journal of molecular sciences 24: PubMed37685986

2023

Effects of Tofacitinib on Muscle Remodeling in Experimental Rheumatoid Sarcopenia.

Applications

Unspecified application

Species

Unspecified reactive species

Ismael Bermejo-Álvarez,Sandra Pérez-Baos,Paula Gratal,Juan Pablo Medina,Raquel Largo,Gabriel Herrero-Beaumont,Aránzazu Mediero

Science robotics 8:eadd9369 PubMed36947599

2023

Anti-inflammatory therapy enables robot-actuated regeneration of aged muscle.

Applications

Unspecified application

Species

Unspecified reactive species

S L McNamara,B R Seo,B R Freedman,E B Roloson,J T Alvarez,C T O'Neill,H H Vandenburgh,C J Walsh,D J Mooney

Advances in clinical and experimental medicine : official organ Wroclaw Medical University 32:457-467 PubMed36398371

2022

Sulforaphane reduces lipopolysaccharide-induced inflammation and enhances myogenic differentiation of mouse embryonic myoblasts via the toll-like receptor 4 and NLRP3 pathways.

Applications

Unspecified application

Species

Unspecified reactive species

Manfeng Wang,Meiling Liu,Wanzhen Xu,Zongyan Teng,Xiaowei Wu,Lu Gan,Yina Zhang

FEBS open bio 12:2213-2226 PubMed36325691

2022

Myoblast-derived exosomes promote the repair and regeneration of injured skeletal muscle in mice.

Applications

Unspecified application

Species

Unspecified reactive species

Shusen Ji,Pei Ma,Xiaorui Cao,Juan Wang,Xiuju Yu,Xiaomao Luo,Jiayin Lu,Wei Hou,Zhijuan Zhang,Yi Yan,Yanjun Dong,Haidong Wang

Scientific reports 12:311 PubMed35013359

2022

Endothelial cells are an important source of BDNF in rat skeletal muscle.

Applications

Unspecified application

Species

Unspecified reactive species

Marina Cefis,Remi Chaney,Aurore Quirié,Clélia Santini,Christine Marie,Philippe Garnier,Anne Prigent-Tessier

Frontiers in cell and developmental biology 9:785380 PubMed34938736

2021

Transcriptome-wide -Methyladenosine Methylome Profiling Reveals mA Regulation of Skeletal Myoblast Differentiation in Cattle ().

Applications

Unspecified application

Species

Unspecified reactive species

Xinran Yang,Jianfang Wang,Xinhao Ma,Jiawei Du,Chugang Mei,Linsen Zan

International journal of molecular sciences 22: PubMed34884726

2021

Dickkopf-1 Inhibition Reactivates Wnt/β-Catenin Signaling in Rhabdomyosarcoma, Induces Myogenic Markers In Vitro and Impairs Tumor Cell Survival In Vivo.

Applications

Unspecified application

Species

Unspecified reactive species

Irina Giralt,Gabriel Gallo-Oller,Natalia Navarro,Patricia Zarzosa,Guillem Pons,Ainara Magdaleno,Miguel F Segura,Constantino Sábado,Raquel Hladun,Diego Arango,José Sánchez de Toledo,Lucas Moreno,Soledad Gallego,Josep Roma

Aging 13:22985-23003 PubMed34609951

2021

Vitellogenin 2 promotes muscle development and stimulates the browning of white fat.

Applications

Unspecified application

Species

Unspecified reactive species

Yilei Li,Xiaoli Sun,Yun Bai,Yunyan Ji,Huawei Ren,Xiuju Yu,Yi Yan,Xiaoyan He,Yanjun Dong,Liping Zhang,Xiaomao Luo,Haidong Wang

Genes 12: PubMed33922304

2021

Silver Nanoparticles as Modulators of Myogenesis-Related Gene Expression in Chicken Embryos.

Applications

Unspecified application

Species

Unspecified reactive species

Walaa A Husseiny,Abeer A I Hassanin,Adel A S El Nabtiti,Karim Khalil,Ahmed Elaswad

Bio-protocol 11:e3920 PubMed33732807

2021

Generation of the Compression-induced Dedifferentiated Adipocytes (CiDAs) Using Hypertonic Medium.

Applications

Unspecified application

Species

Unspecified reactive species

Yiwei Li,Angelo S Mao,Bo Ri Seo,Xing Zhao,Satish Kumar Gupta,Maorong Chen,Yu Long Han,Ting-Yu Shih,David J Mooney,Ming Guo
View all publications

Product promise

We are committed to supporting your work with high-quality reagents, and we're here for you every step of the way. In the unlikely event that one of our products does not perform as expected, you're protected by our Product Promise.
For full details, please see our Terms & Conditions

Associated Products

Select an associated product type
Alternative Product
Primary Antibodies

AB209976

Anti-MyoD1 antibody

primary-antibodies

myod1-antibody-ab209976

0

(0 reviews)

Alternative Product
Primary Antibodies

AB212662

Anti-MyoD1 antibody [5.8A] - BSA free

primary-antibodies

myod1-antibody-58a-bsa-free-ab212662

0

(1 reviews)

Alternative Product
Primary Antibodies

AB198251

Anti-MyoD1 antibody - C-terminal

primary-antibodies

myod1-antibody-c-terminal-ab198251

0

(0 reviews)

Alternative Product
Primary Antibodies

AB64159

Anti-MyoD1 antibody

primary-antibodies

myod1-antibody-ab64159

3

(3 reviews)

Alternative Product
Primary Antibodies

AB133627

Anti-MyoD1 antibody [EPR6653-131]

primary-antibodies

myod1-antibody-epr6653-131-ab133627

4

(11 reviews)

Alternative Product
Primary Antibodies

AB240073

Anti-MyoD1 antibody [EPR6653-131] - BSA and Azide free

primary-antibodies

myod1-antibody-epr6653-131-bsa-and-azide-free-ab240073

0

(0 reviews)

Alternative Product
Primary Antibodies

AB203383

Anti-MyoD1 antibody

primary-antibodies

myod1-antibody-ab203383

3

(3 reviews)

Please note: All products are 'FOR RESEARCH USE ONLY. NOT FOR USE IN DIAGNOSTIC OR THERAPEUTIC PROCEDURES'.

For licensing inquiries, please contact partnerships@abcam.com