JavaScript is disabled in your browser. Please enable JavaScript to view this website.
AB198251

Anti-MyoD1 antibody - C-terminal

Be the first to review this product! Submit a review

|

(3 Publications)

Rabbit Polyclonal MYOD1 antibody. C-terminal. Suitable for IHC-P and reacts with Human samples. Cited in 3 publications. Immunogen corresponding to Synthetic Peptide within Human MYOD1.

View Alternative Names

BHLHC1, MYF3, MYOD, MYOD1, Myoblast determination protein 1, Class C basic helix-loop-helix protein 1, Myogenic factor 3, bHLHc1, Myf-3

2 Images
Immunohistochemistry (Formalin/PFA-fixed paraffin-embedded sections) - Anti-MyoD1 antibody - C-terminal (AB198251)
  • IHC-P

Unknown

Immunohistochemistry (Formalin/PFA-fixed paraffin-embedded sections) - Anti-MyoD1 antibody - C-terminal (AB198251)

Immunohistochemical analysis of paraffin-embedded Human lung cancer tissue labeling MyoD1 with ab198251 at 1/20 dilution.

Immunohistochemistry (Formalin/PFA-fixed paraffin-embedded sections) - Anti-MyoD1 antibody - C-terminal (AB198251)
  • IHC-P

Supplier Data

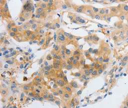
Immunohistochemistry (Formalin/PFA-fixed paraffin-embedded sections) - Anti-MyoD1 antibody - C-terminal (AB198251)

Immunohistochemical analysis of paraffin-embedded Human ovarian cancer tissue labeling MyoD1 with ab198251 at 1/20 dilution.

Key facts

Host species

Rabbit

Clonality

Polyclonal

Isotype

IgG

Carrier free

No

Reacts with

Human

Applications

IHC-P

applications

Immunogen

Synthetic Peptide within Human MYOD1. The exact immunogen used to generate this antibody is proprietary information.

P15172

Reactivity data

{ "title": "Reactivity Data", "filters": { "stats": ["", "Species", "Dilution Info", "Notes"], "tabs": { "all-applications": {"fullname" : "All Applications", "shortname": "All Applications"}, "IHCP" : {"fullname" : "Immunohistochemistry (Formalin/PFA-fixed paraffin-embedded sections)", "shortname":"IHC-P"} }, "product-promise": { "all": "all", "testedAndGuaranteed": "tested", "guaranteed": "expected", "predicted": "predicted", "notRecommended": "not-recommended" } }, "values": { "Human": { "IHCP-species-checked": "testedAndGuaranteed", "IHCP-species-dilution-info": "1/20 - 1/300", "IHCP-species-notes": "<p></p>" }, "Mouse": { "IHCP-species-checked": "predicted", "IHCP-species-dilution-info": "", "IHCP-species-notes": "" }, "Rat": { "IHCP-species-checked": "predicted", "IHCP-species-dilution-info": "", "IHCP-species-notes": "" } } }

Properties and storage information

Form
Liquid
Purification technique
Affinity purification Immunogen
Storage buffer
pH: 7.4 Preservative: 0.05% Sodium azide Constituents: PBS, 50% Glycerol (glycerin, glycerine)
Shipped at conditions
Blue Ice
Appropriate short-term storage duration
1-2 weeks
Appropriate short-term storage conditions
+4°C
Appropriate long-term storage conditions
-20°C
Aliquoting information
Upon delivery aliquot
Storage information
Avoid freeze / thaw cycle

Supplementary information

This supplementary information is collated from multiple sources and compiled automatically.

MyoD1 also known as Myogenic Differentiation 1 is a master regulator of muscle differentiation. It functions mechanically as a transcription factor binding to DNA at specific sequences thereby activating the transcription of genes necessary for muscle tissue development. MyoD1 has a molecular weight of approximately 45 kDa. It is expressed in skeletal muscle tissues and also detected in some non-muscle tissues though at lower levels. MyoD1 is essential in the early stages of muscle cell lineage commitment.
Biological function summary

MyoD1 plays an important role in muscle differentiation by activating muscle-specific genes. It belongs to the myogenic regulatory factor family and often operates within a protein complex alongside Myf5 and myogenin aiding in the conversion of mesodermal stem cells into muscle cells. These partnerships enhance its ability to initiate the muscle-specific gene expression that drives myogenesis. MyoD1 acts like a molecular switch shifting cells into the pathway leading to muscle formation.

Pathways

MyoD1 is an integral component of myogenesis and muscle regeneration pathways. MyoD1 interacts with key pathway components such as Myf5 and MRF4 which reinforce MyoD1 activity in muscle tissue lineage determination and cell cycle arrest during differentiation. The activity of MyoD1 in these pathways highlights its role in skeletal muscle growth. MyoD1 also demonstrates functional redundancy with Myogenin as both share overlapping roles in these critical pathways.

MyoD1 is associated with muscular dystrophy and some sarcomas. Aberrant expression or mutations in MyoD1 can disrupt normal muscle differentiation contributing to muscle-related disorders like rhabdomyosarcoma a form of cancer comprising cells resembling skeletal muscle. Its relationship with other proteins like Myf5 further highlights its role in such pathological conditions as faults in these connections can amplify or alter disease progression.

Product protocols

For this product, it's our understanding that no specific protocols are required. You can visit:

Target data

Acts as a transcriptional activator that promotes transcription of muscle-specific target genes and plays a role in muscle differentiation. Together with MYF5 and MYOG, co-occupies muscle-specific gene promoter core region during myogenesis. Induces fibroblasts to differentiate into myoblasts. Interacts with and is inhibited by the twist protein. This interaction probably involves the basic domains of both proteins (By similarity).
See full target information MYOD1

Publications (3)

Recent publications for all applications. Explore the full list and refine your search

Heliyon 10:e30603 PubMed38726149

2024

Tumor suppressor function of RBMS3 overexpression in EOC associated with immune cell infiltration.

Applications

Unspecified application

Species

Unspecified reactive species

Tian Yin,Ying Zhang,Yue Zhao,Xinyi Zhang,Shuqi Han,Yixiao Wang,Bo Yang

Molecular biology of the cell 31:1703-1713 PubMed32491970

2020

Three-dimensional niche stiffness synergizes with Wnt7a to modulate the extent of satellite cell symmetric self-renewal divisions.

Applications

Unspecified application

Species

Unspecified reactive species

Louise A Moyle,Richard Y Cheng,Haijiao Liu,Sadegh Davoudi,Silvia A Ferreira,Aliyah A Nissar,Yu Sun,Eileen Gentleman,Craig A Simmons,Penney M Gilbert

Cell stem cell 24:433-446.e7 PubMed30686765

2019

Aging Disrupts Muscle Stem Cell Function by Impairing Matricellular WISP1 Secretion from Fibro-Adipogenic Progenitors.

Applications

Unspecified application

Species

Unspecified reactive species

Laura Lukjanenko,Sonia Karaz,Pascal Stuelsatz,Uxia Gurriaran-Rodriguez,Joris Michaud,Gabriele Dammone,Federico Sizzano,Omid Mashinchian,Sara Ancel,Eugenia Migliavacca,Sophie Liot,Guillaume Jacot,Sylviane Metairon,Frederic Raymond,Patrick Descombes,Alessio Palini,Benedicte Chazaud,Michael A Rudnicki,C Florian Bentzinger,Jerome N Feige
View all publications

Product promise

We are committed to supporting your work with high-quality reagents, and we're here for you every step of the way. In the unlikely event that one of our products does not perform as expected, you're protected by our Product Promise.
For full details, please see our Terms & Conditions

Please note: All products are 'FOR RESEARCH USE ONLY. NOT FOR USE IN DIAGNOSTIC OR THERAPEUTIC PROCEDURES'.

For licensing inquiries, please contact partnerships@abcam.com