JavaScript is disabled in your browser. Please enable JavaScript to view this website.
AB323377

Anti-MyoD1 antibody [EPR29627-738]

  • BOND RX™ Validated
  • Recombinant
  • 20ul selling size
  • RabMAb
  • What is this?

Be the first to review this product! Submit a review

|

(0 Publication)

Rabbit Recombinant Monoclonal MYOD1 antibody. Suitable for IHC-P, WB and reacts with Mouse, Human, Recombinant fragment - Mouse samples.

View Alternative Names

Myod, Myod1, Myoblast determination protein 1

7 Images
Immunohistochemistry (Formalin/PFA-fixed paraffin-embedded sections) - Anti-MyoD1 antibody [EPR29627-738] (AB323377)
  • IHC-P

Supplier Data

Immunohistochemistry (Formalin/PFA-fixed paraffin-embedded sections) - Anti-MyoD1 antibody [EPR29627-738] (AB323377)

Immunohistochemical analysis of paraffin-embedded Mouse E12 embryo tissue labeling MyoD1 with ab323377 at 1/100 (5.06 ug/ml) dilution, followed by a ready to use LeicaDS9800 (Bond™ Polymer Refine Detection).

Positive staining on skeletal muscle of mouse E12 embryo. The section was incubated with ab323377 for 30 mins at room temperature.
The immunostaining was performed on a Leica Biosystems BOND® RX instrument

Counterstained with Hematoxylin.

Secondary antibody only control : Secondary antibody is a ready to use LeicaDS9800 (Bond™ Polymer Refine Detection).

Heat mediated antigen retrieval was performed with Tris-EDTA buffer (pH 9.0, Epitope Retrieval Solution2) for 20 mins

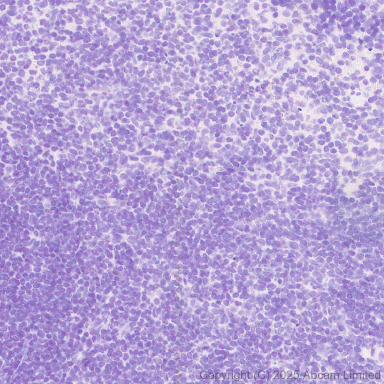
Immunohistochemistry (Formalin/PFA-fixed paraffin-embedded sections) - Anti-MyoD1 antibody [EPR29627-738] (AB323377)
  • IHC-P

Supplier Data

Immunohistochemistry (Formalin/PFA-fixed paraffin-embedded sections) - Anti-MyoD1 antibody [EPR29627-738] (AB323377)

Immunohistochemical analysis of paraffin-embedded Mouse spleen tissue labeling MyoD1 with ab323377 at 1/100 (5.06 ug/ml) dilution, followed by a ready to use LeicaDS9800 (Bond™ Polymer Refine Detection).

Negative control : no staining on mouse spleen. The section was incubated with ab323377 for 30 mins at room temperature.
The immunostaining was performed on a Leica Biosystems BOND® RX instrument

Counterstained with Hematoxylin.

Secondary antibody only control : Secondary antibody is a ready to use LeicaDS9800 (Bond™ Polymer Refine Detection).

Heat mediated antigen retrieval was performed with Tris-EDTA buffer (pH 9.0, Epitope Retrieval Solution2) for 20 mins

Western blot - Anti-MyoD1 antibody [EPR29627-738] (AB323377)
  • WB

Supplier Data

Western blot - Anti-MyoD1 antibody [EPR29627-738] (AB323377)

Blocking and diluting buffer and concentration : 5% NFDM/TBST.

Negative control : HeLa (PMID : 17028574 )

In Western blot, Anti-GAPDH antibody [EPR16891] - Loading Control (ab181602) staining at 1/200000 dilution.

All lanes:

Western blot - Anti-MyoD1 antibody [EPR29627-738] (ab323377) at 1/1000 dilution

Lane 1:

Mouse E14 forelimb tissue lysate at 40 µg

Lane 2:

Mouse E14 hindlimb tissue lysate at 40 µg

Lane 3:

Mouse embryo tissue lysate at 40 µg

Lane 4:

RD(human muscle mtinucleated spindle-shaped cell) whole lysate at 40 µg

Lane 5:

HeLa (human cervical adenocarcinoma epithelial cell) whole lysate at 40 µg

Secondary

All lanes:

Western blot - Goat Anti-Rabbit IgG H&L (HRP) (<a href='/en-us/products/secondary-antibodies/goat-rabbit-igg-h-l-hrp-ab97051'>ab97051</a>) at 1/100000 dilution

Observed band size: 47 kDa,36 kDa

false

Exposure time: 180s

Western blot - Anti-MyoD1 antibody [EPR29627-738] (AB323377)
  • WB

Supplier Data

Western blot - Anti-MyoD1 antibody [EPR29627-738] (AB323377)

Blocking and diluting buffer and concentration : 5% NFDM/TBST.

The expression of MyoD1 is downregulated in response to C2C12 differentiation for 5 days treatment(DOI : 10.4236/cellbio.2013.23016)

In Western blot, Anti-GAPDH antibody [EPR16891] - Loading Control (ab181602) staining at 1/200000 dilution.

All lanes:

Western blot - Anti-MyoD1 antibody [EPR29627-738] (ab323377) at 1/1000 dilution

Lane 1:

Untreated C2C12 (mouse myoblast) whole cell lysate at 20 µg

Lane 2:

C2C12 differentiation to muscle for 5 days whole cell lysate at 20 µg

Secondary

All lanes:

Western blot - Goat Anti-Rabbit IgG H&L (HRP) (<a href='/en-us/products/secondary-antibodies/goat-rabbit-igg-h-l-hrp-ab97051'>ab97051</a>) at 1/20000 dilution

Observed band size: 47 kDa,36 kDa

false

Exposure time: 37s

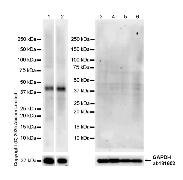
Western blot - Anti-MyoD1 antibody [EPR29627-738] (AB323377)
  • WB

Supplier Data

Western blot - Anti-MyoD1 antibody [EPR29627-738] (AB323377)

Blocking and diluting buffer and concentration : 5% NFDM/TBST.

Negative control : brain, heart, kidney, spleen(HPA data)

This blot was developed using a high-sensitivity ECL substrate, allowing for the detection of proteins in the mid-femtogram range.

In Western blot, Anti-GAPDH antibody [EPR16891] - Loading Control (ab181602) staining at 1/200000 dilution.

All lanes:

Western blot - Anti-MyoD1 antibody [EPR29627-738] (ab323377) at 1/1000 dilution

Lane 1:

Mouse E12 embryo tissue lysate at 20 µg

Lane 2:

Mouse E14 embryo tissue lysate at 20 µg

Lane 3:

Mouse brain tissue lysate at 20 µg

Lane 4:

Mouse heart tissue lysate at 20 µg

Lane 5:

Mouse kidney tissue lysate at 20 µg

Lane 6:

Mouse spleen tissue lysate at 20 µg

Secondary

All lanes:

Western blot - Goat Anti-Rabbit IgG H&L (HRP) (<a href='/en-us/products/secondary-antibodies/goat-rabbit-igg-h-l-hrp-ab97051'>ab97051</a>) at 1/20000 dilution

Observed band size: 47 kDa,36 kDa

true

Exposure time: 125s

Immunohistochemistry (Formalin/PFA-fixed paraffin-embedded sections) - Anti-MyoD1 antibody [EPR29627-738] (AB323377)
  • IHC-P

Supplier Data

Immunohistochemistry (Formalin/PFA-fixed paraffin-embedded sections) - Anti-MyoD1 antibody [EPR29627-738] (AB323377)

Immunohistochemical analysis of paraffin-embedded Mouse cardiac muscle tissue labeling MyoD1 with ab323377 at 1/100 (5.06 ug/ml) dilution, followed by a ready to use LeicaDS9800 (Bond™ Polymer Refine Detection).

Negative control : no staining on mouse cardiac muscle. The section was incubated with ab323377 for 30 mins at room temperature.
The immunostaining was performed on a Leica Biosystems BOND® RX instrument

Counterstained with Hematoxylin.

Secondary antibody only control : Secondary antibody is a ready to use LeicaDS9800 (Bond™ Polymer Refine Detection).

Heat mediated antigen retrieval was performed with Tris-EDTA buffer (pH 9.0, Epitope Retrieval Solution2) for 20 mins

Western blot - Anti-MyoD1 antibody [EPR29627-738] (AB323377)
  • WB

Supplier Data

Western blot - Anti-MyoD1 antibody [EPR29627-738] (AB323377)

Blocking and diluting buffer and concentration : 5% NFDM/TBST.

This antibody does not cross-react with mouse MYF5, MYF6 or MYOG.

In Western blot, Anti-6X His tag® antibody [EPR20547] - ChIP Grade (ab213204) staining at 1/5000 dilution.

All lanes:

Western blot - Anti-MyoD1 antibody [EPR29627-738] (ab323377) at 1/1000 dilution

Lane 1:

His-tagged mouse MYOD1 recombinant protein at 10 ng

Lane 2:

His-tagged mouse MYF5 recombinant protein at 10 ng

Lane 3:

His-tagged mouse MYF6 recombinant protein at 10 ng

Lane 4:

His-tagged mouse MYOG recombinant protein at 10 ng

Secondary

All lanes:

Western blot - Goat Anti-Rabbit IgG H&L (HRP) (<a href='/en-us/products/secondary-antibodies/goat-rabbit-igg-h-l-hrp-ab97051'>ab97051</a>) at 1/100000 dilution

Observed band size: 20 kDa,40 kDa

false

Exposure time: 37s

Key facts

Host species

Rabbit

Clonality

Monoclonal

Clone number

EPR29627-738

Isotype

IgG

Carrier free

No

Reacts with

Mouse, Human

Applications

WB, IHC-P

applications

Immunogen

The exact immunogen used to generate this antibody is proprietary information.

Reactivity data

{ "title": "Reactivity Data", "filters": { "stats": ["", "Species", "Dilution Info", "Notes"], "tabs": { "all-applications": {"fullname" : "All Applications", "shortname": "All Applications"}, "IHCP" : {"fullname" : "Immunohistochemistry (Formalin/PFA-fixed paraffin-embedded sections)", "shortname":"IHC-P"}, "WB" : {"fullname" : "Western blot", "shortname":"WB"}, "ICCIF" : {"fullname" : "Immunocytochemistry/ Immunofluorescence", "shortname":"ICC/IF"} }, "product-promise": { "all": "all", "testedAndGuaranteed": "tested", "guaranteed": "expected", "predicted": "predicted", "notRecommended": "not-recommended" } }, "values": { "Human": { "IHCP-species-checked": "guaranteed", "IHCP-species-dilution-info": "", "IHCP-species-notes": "", "WB-species-checked": "testedAndGuaranteed", "WB-species-dilution-info": "1/1000", "WB-species-notes": "<p></p>", "ICCIF-species-checked": "notRecommended", "ICCIF-species-dilution-info": "", "ICCIF-species-notes": "" }, "Mouse": { "IHCP-species-checked": "testedAndGuaranteed", "IHCP-species-dilution-info": "1/100", "IHCP-species-notes": "<p></p> Perform heat-mediated antigen retrieval with Tris/EDTA buffer pH 9.0 before commencing with IHC staining protocol.", "WB-species-checked": "testedAndGuaranteed", "WB-species-dilution-info": "1/1000", "WB-species-notes": "<p></p>", "ICCIF-species-checked": "notRecommended", "ICCIF-species-dilution-info": "", "ICCIF-species-notes": "<p></p>" }, "Recombinant fragment - Mouse": { "IHCP-species-checked": "notRecommended", "IHCP-species-dilution-info": "", "IHCP-species-notes": "", "WB-species-checked": "testedAndGuaranteed", "WB-species-dilution-info": "1/1000", "WB-species-notes": "<p></p>", "ICCIF-species-checked": "notRecommended", "ICCIF-species-dilution-info": "", "ICCIF-species-notes": "" } } }

Product details

Patented technology
Our RabMAb® technology is a patented hybridoma-based technology for making rabbit monoclonal antibodies. For details on our patents, please refer to RabMAb® patents.

What are the advantages of a recombinant monoclonal antibody?
This product is a recombinant monoclonal antibody, which offers several advantages including:

  • - High batch-to-batch consistency and reproducibility
  • - Improved sensitivity and specificity
  • - Long-term security of supply
  • - Animal-free batch production

For more information, read more on recombinant antibodies.

Properties and storage information

Form
Liquid
Purification technique
Affinity purification Protein A
Storage buffer
pH: 7.2 - 7.4 Preservative: 0.01% Sodium azide Constituents: PBS, 40% Glycerol (glycerin, glycerine), 0.05% BSA
Shipped at conditions
Blue Ice
Appropriate short-term storage duration
1-2 weeks
Appropriate short-term storage conditions
+4°C
Appropriate long-term storage conditions
-20°C
Aliquoting information
Upon delivery aliquot
Storage information
Avoid freeze / thaw cycle

Product protocols

For this product, it's our understanding that no specific protocols are required. You can visit:

Target data

Acts as a transcriptional activator that promotes transcription of muscle-specific target genes and plays a role in muscle differentiation (PubMed : 16901893). Together with MYF5 and MYOG, co-occupies muscle-specific gene promoter core region during myogenesis. Induces fibroblasts to differentiate into myoblasts. Interacts with and is inhibited by the twist protein. This interaction probably involves the basic domains of both proteins (PubMed : 21798092, PubMed : 3175662).
See full target information Myod1

Product promise

We are committed to supporting your work with high-quality reagents, and we're here for you every step of the way. In the unlikely event that one of our products does not perform as expected, you're protected by our Product Promise.
For full details, please see our Terms & Conditions

Please note: All products are 'FOR RESEARCH USE ONLY. NOT FOR USE IN DIAGNOSTIC OR THERAPEUTIC PROCEDURES'.

For licensing inquiries, please contact partnerships@abcam.com