JavaScript is disabled in your browser. Please enable JavaScript to view this website.
AB133627

Anti-MyoD1 antibody [EPR6653-131]

  • RabMAb
  • Recombinant
  • Lab Essentials
  • Advanced Validation
  • What is this?

4

(11 Reviews)

|

(24 Publications)

Anti-MyoD1 antibody [EPR6653-131] (ab133627) is a rabbit monoclonal antibody detecting MyoD1 in Western Blot, IHC-P, ICC/IF. Suitable for Human.

- Biophysical QC for unrivalled batch-batch consistency
- Over 20 publications

View Alternative Names

BHLHC1, MYF3, MYOD, MYOD1, Myoblast determination protein 1, Class C basic helix-loop-helix protein 1, Myogenic factor 3, bHLHc1, Myf-3

9 Images
ChIC/CUT&RUN sequencing - Anti-MyoD1 antibody [EPR6653-131] (AB133627)
  • ChIC/CUT&RUN-seq

Supplier Data

ChIC/CUT&RUN sequencing - Anti-MyoD1 antibody [EPR6653-131] (AB133627)

ChIC/CUT&RUN was performed using a pAG-MNAse at a final concentration of 700 ng/mL, 2.5 x 10^5 RD (Human muscle rhabdomyosarcoma) cells and 5µg of ab133627 [EPR6653-131]. The resulting DNA was sequenced on the Illumina NovaSeq 6000 to a depth of 10 million reads. The negative IgG control ab172730 is also shown. Additional screenshots of mapped reads can be found in the Protocol booklet in the Product Protocol section. The University of Geneva owns patents relevant to ChIC (Chromatin Immuno-Cleavage) methods.

Immunohistochemistry (Formalin/PFA-fixed paraffin-embedded sections) - Anti-MyoD1 antibody [EPR6653-131] (AB133627)
  • IHC-P

Unknown

Immunohistochemistry (Formalin/PFA-fixed paraffin-embedded sections) - Anti-MyoD1 antibody [EPR6653-131] (AB133627)

ab133627 showing negative staining in Normal kidney tissue.

Perform heat mediated antigen retrieval with citrate buffer pH 6 before commencing with IHC staining protocol.

Immunohistochemistry (Formalin/PFA-fixed paraffin-embedded sections) - Anti-MyoD1 antibody [EPR6653-131] (AB133627)
  • IHC-P

Unknown

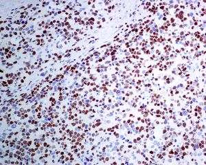
Immunohistochemistry (Formalin/PFA-fixed paraffin-embedded sections) - Anti-MyoD1 antibody [EPR6653-131] (AB133627)

Immunohistochemical analysis of MyoD1 in paraffin embedded Human rhabdomyosarcoma tissue, using ab133627 at a dilution of 1/250.

Perform heat mediated antigen retrieval with citrate buffer pH 6 before commencing with IHC staining protocol.

Immunocytochemistry/ Immunofluorescence - Anti-MyoD1 antibody [EPR6653-131] (AB133627)
  • ICC/IF

Supplier Data

Immunocytochemistry/ Immunofluorescence - Anti-MyoD1 antibody [EPR6653-131] (AB133627)

Immunocytochemical analysis of 4% paraformaldehyde fixed, 0.1% TritonX-100 permeabilised RD cell line labeling MyoD1 with ab133627 at 1/100 diltuon. ab150077 Goat Anti-Rabbit IgG H&L (Alexa Fluor® 488) was used as a secondary antibody at 1/1000 dilution. Counterstained with ab195889 Anti-alpha Tubulin mouse monoclonal antibody - Microtubule Marker (Alexa Fluor® 594). Nuclear staining : DAPI.

Confocal image showing nuclear staining in RD cell line
Negative control : HeLa (PMID : 17028574 )

Immunohistochemistry (Formalin/PFA-fixed paraffin-embedded sections) - Anti-MyoD1 antibody [EPR6653-131] (AB133627)
  • IHC-P

Unknown

Immunohistochemistry (Formalin/PFA-fixed paraffin-embedded sections) - Anti-MyoD1 antibody [EPR6653-131] (AB133627)

ab133627 showing negative staining in Thyroid gland carcinoma tissue.

Perform heat mediated antigen retrieval with citrate buffer pH 6 before commencing with IHC staining protocol.

Immunohistochemistry (Formalin/PFA-fixed paraffin-embedded sections) - Anti-MyoD1 antibody [EPR6653-131] (AB133627)
  • IHC-P

Unknown

Immunohistochemistry (Formalin/PFA-fixed paraffin-embedded sections) - Anti-MyoD1 antibody [EPR6653-131] (AB133627)

ab133627 showing negative staining in Skeletal muscle tissue.

Perform heat mediated antigen retrieval with citrate buffer pH 6 before commencing with IHC staining protocol.

Immunohistochemistry (Formalin/PFA-fixed paraffin-embedded sections) - Anti-MyoD1 antibody [EPR6653-131] (AB133627)
  • IHC-P

Unknown

Immunohistochemistry (Formalin/PFA-fixed paraffin-embedded sections) - Anti-MyoD1 antibody [EPR6653-131] (AB133627)

ab133627 showing negative staining in Normal heart tissue.

Perform heat mediated antigen retrieval with citrate buffer pH 6 before commencing with IHC staining protocol.

Western blot - Anti-MyoD1 antibody [EPR6653-131] (AB133627)
  • WB

Lab

Western blot - Anti-MyoD1 antibody [EPR6653-131] (AB133627)

This blot was produced using a 4-12% Bis-tris gel under the MOPS buffer system. The gel was run at 200V for 50 minutes before being transferred onto a Nitrocellulose membrane at 30V for 70 minutes. The membrane was then blocked for an hour using 3% Milk before being incubated with ab133627 overnight at 4°C. Antibody binding was detected using an anti-rabbit antibody conjugated to HRP, and visualised using ECL development solution ab133406.

ab133627 detects a band at 45 kDa, while this differs to its predicted molecular weight of 34 kDa, the banding pattern observed is consistent with what has been described in the literature PMID : 19352326.

All lanes:

Western blot - Anti-MyoD1 antibody [EPR6653-131] (ab133627) at 1/1000 dilution

Lane 1:

Rh30 (Human Rhabdomyosarcoma) Whole Cell Lysate at 5 µg

Lane 2:

Rh30 (Human Rhabdomyosarcoma) Whole Cell Lysate at 10 µg

Secondary

All lanes:

Goat polyclonal to Rabbit IgG - H&L - Pre-Adsorbed (HRP) at 1/50000 dilution

Predicted band size: 34 kDa

Observed band size: 45 kDa

true

Exposure time: 4min

Western blot - Anti-MyoD1 antibody [EPR6653-131] (AB133627)
  • WB

Supplier Data

Western blot - Anti-MyoD1 antibody [EPR6653-131] (AB133627)

Blocking and diluting buffer : 5% NFDM/TBST

Negative control : HEK-293, HeLa (PMID : 17028574 )

All lanes:

Western blot - Anti-MyoD1 antibody [EPR6653-131] (ab133627) at 1/1000 dilution

Lane 1:

RD (Human muscle rhabdomyosarcoma) whole cell lysate at 20 µg

Lane 2:

HEK-293 (human embryonic kidney epithelial cell) whole cell lysate at 20 µg

Lane 3:

HeLa (human cervix adenocarcinoma epithelial cell) whole cell lysate at 20 µg

Secondary

All lanes:

Western blot - Goat Anti-Rabbit IgG H&L (HRP) (<a href='/en-us/products/secondary-antibodies/goat-rabbit-igg-h-l-hrp-ab97051'>ab97051</a>) at 1/100000 dilution

Predicted band size: 34 kDa

Observed band size: 45 kDa

false

Exposure time: 37s

Key facts

Host species

Rabbit

Clonality

Monoclonal

Clone number

EPR6653-131

Isotype

IgG

Carrier free

No

Reacts with

Human

Applications

IHC-P, WB, ChIC/CUT&RUN-seq, ICC/IF

applications

Immunogen

The exact immunogen used to generate this antibody is proprietary information.

Reactivity data

{ "title": "Reactivity Data", "filters": { "stats": ["", "Species", "Dilution Info", "Notes"], "tabs": { "all-applications": {"fullname" : "All Applications", "shortname": "All Applications"}, "ChICCUTRUNseq" : {"fullname" : "ChIC/CUT&RUN sequencing", "shortname":"ChIC/CUT&RUN-seq"}, "IHCP" : {"fullname" : "Immunohistochemistry (Formalin/PFA-fixed paraffin-embedded sections)", "shortname":"IHC-P"}, "WB" : {"fullname" : "Western blot", "shortname":"WB"}, "ICCIF" : {"fullname" : "Immunocytochemistry/ Immunofluorescence", "shortname":"ICC/IF"} }, "product-promise": { "all": "all", "testedAndGuaranteed": "tested", "guaranteed": "expected", "predicted": "predicted", "notRecommended": "not-recommended" } }, "values": { "Human": { "ChICCUTRUNseq-species-checked": "testedAndGuaranteed", "ChICCUTRUNseq-species-dilution-info": "5 µg", "ChICCUTRUNseq-species-notes": "<p></p>", "IHCP-species-checked": "testedAndGuaranteed", "IHCP-species-dilution-info": "1/250 - 1/500", "IHCP-species-notes": "<p></p>", "WB-species-checked": "testedAndGuaranteed", "WB-species-dilution-info": "1/1000", "WB-species-notes": "<p>Abcam recommends using milk as the blocking agent.</p>", "ICCIF-species-checked": "testedAndGuaranteed", "ICCIF-species-dilution-info": "1/100", "ICCIF-species-notes": "<p></p>" } } }

Product details

What is this antibody validated in?
Anti-MyoD1 antibody [EPR6653-131] (ab133627) is a rabbit recombinant monoclonal antibody and is validated for use in Western Blot (WB), Immunohistochemistry (IHC-P), Immunocytochemistry/immunofluorescence (ICC/IF) in Human samples.

What is the molecular weight of MyoD1?
Anti-MyoD1 [EPR6653-131] (ab133627) specifically detects a band for MyoD1 (UniProt: P15172) at a molecular weight of 34kDa.

Trusted by the scientific community
Anti-MyoD1 [EPR6653-131] (ab133627) was first used in a scientific publication in 2012 and has been cited over 20 times in peer-reviewed journals.

Reviewed by scientists
Anti-MyoD1 [EPR6653-131] (ab133627) has over 10 independent reviews from customers.

Trial sizes available!
Test your antibody or perform pre-screening before committing to a larger quantity. Sold in 10µl. Discover our selection of trial-size antibodies.

Other related products
We have a range of other formats of antibody clone [EPR6653-131] also available for your convenience: ab133627, Carrier free - ab240073, Alexa Fluor® 488 - ab311001, Alexa Fluor® 647 - ab311127, Alexa Fluor® 594 - ab311759, Alexa Fluor® 568 - ab313039, Alexa Fluor® 555 - ab313240, Alexa Fluor® 750 - ab321061

Species reactivity
Mouse, Rat: We have preliminary internal testing data to indicate this antibody may not react with these species.
Please contact us for more information.

Patented technology
Our RabMAb® technology is a patented hybridoma-based technology for making rabbit monoclonal antibodies. For details on our patents, please refer to RabMAb® patents.

What are the advantages of a recombinant monoclonal antibody?
This product is a recombinant monoclonal antibody, which offers several advantages including:

  • - High batch-to-batch consistency and reproducibility
  • - Improved sensitivity and specificity
  • - Long-term security of supply
  • - Animal-free batch production

For more information, read more on recombinant antibodies.

Properties and storage information

Form
Liquid
Purification technique
Affinity purification Protein A
Storage buffer
pH: 7.2 - 7.4 Preservative: 0.01% Sodium azide Constituents: PBS, 40% Glycerol (glycerin, glycerine), 0.05% BSA
Shipped at conditions
Blue Ice
Appropriate short-term storage conditions
+4°C
Appropriate long-term storage conditions
-20°C
Storage information
Stable for 12 months at -20°C

Supplementary information

This supplementary information is collated from multiple sources and compiled automatically.

MyoD1 also known as Myogenic Differentiation 1 is a master regulator of muscle differentiation. It functions mechanically as a transcription factor binding to DNA at specific sequences thereby activating the transcription of genes necessary for muscle tissue development. MyoD1 has a molecular weight of approximately 45 kDa. It is expressed in skeletal muscle tissues and also detected in some non-muscle tissues though at lower levels. MyoD1 is essential in the early stages of muscle cell lineage commitment.
Biological function summary

MyoD1 plays an important role in muscle differentiation by activating muscle-specific genes. It belongs to the myogenic regulatory factor family and often operates within a protein complex alongside Myf5 and myogenin aiding in the conversion of mesodermal stem cells into muscle cells. These partnerships enhance its ability to initiate the muscle-specific gene expression that drives myogenesis. MyoD1 acts like a molecular switch shifting cells into the pathway leading to muscle formation.

Pathways

MyoD1 is an integral component of myogenesis and muscle regeneration pathways. MyoD1 interacts with key pathway components such as Myf5 and MRF4 which reinforce MyoD1 activity in muscle tissue lineage determination and cell cycle arrest during differentiation. The activity of MyoD1 in these pathways highlights its role in skeletal muscle growth. MyoD1 also demonstrates functional redundancy with Myogenin as both share overlapping roles in these critical pathways.

MyoD1 is associated with muscular dystrophy and some sarcomas. Aberrant expression or mutations in MyoD1 can disrupt normal muscle differentiation contributing to muscle-related disorders like rhabdomyosarcoma a form of cancer comprising cells resembling skeletal muscle. Its relationship with other proteins like Myf5 further highlights its role in such pathological conditions as faults in these connections can amplify or alter disease progression.

Product protocols

For this product, it's our understanding that no specific protocols are required. You can visit:

Target data

Acts as a transcriptional activator that promotes transcription of muscle-specific target genes and plays a role in muscle differentiation. Together with MYF5 and MYOG, co-occupies muscle-specific gene promoter core region during myogenesis. Induces fibroblasts to differentiate into myoblasts. Interacts with and is inhibited by the twist protein. This interaction probably involves the basic domains of both proteins (By similarity).
See full target information MYOD1

Publications (24)

Recent publications for all applications. Explore the full list and refine your search

Cell 186:5910-5924.e17 PubMed38070509

2023

A tridimensional atlas of the developing human head.

Applications

IHC - Wmt

Species

Human

Raphael Blain,Gérard Couly,Eimad Shotar,Joséphine Blévinal,Maryne Toupin,Anais Favre,Ali Abjaghou,Megumi Inoue,Edwin Hernández-Garzón,Frédéric Clarençon,Frédéric Chalmel,Séverine Mazaud-Guittot,Paolo Giacobini,Yorick Gitton,Alain Chédotal

Cell reports 42:112051 PubMed36729831

2023

Spatial compartmentalization of signaling imparts source-specific functions on secreted factors.

Applications

Unspecified application

Species

Unspecified reactive species

Elena Groppa,Paolo Martini,Nima Derakhshan,Marine Theret,Morten Ritso,Lin Wei Tung,Yu Xin Wang,Hesham Soliman,Mark Stephen Hamer,Laura Stankiewicz,Christine Eisner,Le Nevé Erwan,Chihkai Chang,Lin Yi,Jack H Yuan,Sunny Kong,Curtis Weng,Josephine Adams,Lucas Chang,Anne Peng,Helen M Blau,Chiara Romualdi,Fabio M V Rossi

eLife 11: PubMed36542062

2022

TGF-β signaling and Creb5 cooperatively regulate Fgf18 to control pharyngeal muscle development.

Applications

Unspecified application

Species

Unspecified reactive species

Jifan Feng,Xia Han,Yuan Yuan,Courtney Kyeong Cho,Eva Janečková,Tingwei Guo,Siddhika Pareek,Md Shaifur Rahman,Banghong Zheng,Jing Bi,Junjun Jing,Mingyi Zhang,Jian Xu,Thach-Vu Ho,Yang Chai

Cell and tissue research 391:545-560 PubMed36525128

2022

CPNE1 regulates myogenesis through the PERK-eIF2α pathway mediated by endoplasmic reticulum stress.

Applications

Unspecified application

Species

Unspecified reactive species

Lin Chen,Ling Pan,Yuexi Zeng,Xiaonan Zhu,Li You

Nature communications 13:7058 PubMed36411280

2022

Depletion of CD206 M2-like macrophages induces fibro-adipogenic progenitors activation and muscle regeneration.

Applications

Unspecified application

Species

Unspecified reactive species

Allah Nawaz,Muhammad Bilal,Shiho Fujisaka,Tomonobu Kado,Muhammad Rahil Aslam,Saeed Ahmed,Keisuke Okabe,Yoshiko Igarashi,Yoshiyuki Watanabe,Takahide Kuwano,Koichi Tsuneyama,Ayumi Nishimura,Yasuhiro Nishida,Seiji Yamamoto,Masakiyo Sasahara,Johji Imura,Hisashi Mori,Martin M Matzuk,Fujimi Kudo,Ichiro Manabe,Akiyoshi Uezumi,Takashi Nakagawa,Yumiko Oishi,Kazuyuki Tobe

Oncology letters 24:452 PubMed36380878

2022

Spindle cell sarcoma with resembling infantile fibrosarcoma morphologically: A case report and literature review.

Applications

Unspecified application

Species

Unspecified reactive species

Tomoko Fujikawa,Suguru Uemura,Makiko Yoshida,Sayaka Hyodo,Aiko Kozaki,Atsuro Saito,Kenji Kishimoto,Toshiaki Ishida,Takeshi Mori,Ayano Uematsu,Keiichi Morita,Tadashi Hatakeyama,Akihiro Tamura,Nobuyuki Yamamoto,Masato Komatsu,Toshinori Soejima,Daiichiro Hasegawa,Yoshiyuki Kosaka

Development (Cambridge, England) 149: PubMed36227576

2022

The transcription factors Foxf1 and Foxf2 integrate the SHH, HGF and TGFβ signaling pathways to drive tongue organogenesis.

Applications

Unspecified application

Species

Unspecified reactive species

Jingyue Xu,Han Liu,Yu Lan,Rulang Jiang

Ophthalmic research 66:301-306 PubMed36302348

2022

Differences in Inferior Oblique Muscle Satellite Cell Populations between Primary and Secondary Inferior Oblique Muscle Overaction.

Applications

Unspecified application

Species

Unspecified reactive species

Rui Hao,Yuchuan Wang,Liping Chen,Yang Liu,Wei Zhang

Methods in molecular biology (Clifton, N.J.) 2566:113-132 PubMed36152246

2022

Immunofluorescence Labeling of Skeletal Muscle in Development, Regeneration, and Disease.

Applications

Unspecified application

Species

Unspecified reactive species

Marie E Esper,Kasun Kodippili,Michael A Rudnicki

Science (New York, N.Y.) 377:666-669 PubMed35926054

2022

JMJD3 activated hyaluronan synthesis drives muscle regeneration in an inflammatory environment.

Applications

Unspecified application

Species

Unspecified reactive species

Kiran Nakka,Sarah Hachmer,Zeinab Mokhtari,Radmila Kovac,Hina Bandukwala,Clara Bernard,Yuefeng Li,Guojia Xie,Chengyu Liu,Magid Fallahi,Lynn A Megeney,Julien Gondin,Bénédicte Chazaud,Marjorie Brand,Xiaohui Zha,Kai Ge,F Jeffrey Dilworth
View all publications

Product promise

We are committed to supporting your work with high-quality reagents, and we're here for you every step of the way. In the unlikely event that one of our products does not perform as expected, you're protected by our Product Promise.
For full details, please see our Terms & Conditions
chicCutRunSequencingBooklet
en

Associated Products

Select an associated product type
Alternative Product
Reagents, Controls & Accessories

AB269261

Myo-D positive control ChIP primer pair

reagents

myo-d-positive-control-chip-primer-pair-ab269261

0

(0 reviews)

Alternative Product
Primary Antibodies

AB209976

Anti-MyoD1 antibody

primary-antibodies

myod1-antibody-ab209976

0

(0 reviews)

Alternative Product
Primary Antibodies

AB212662

Anti-MyoD1 antibody [5.8A] - BSA free

primary-antibodies

myod1-antibody-58a-bsa-free-ab212662

0

(1 reviews)

Alternative Product
Primary Antibodies

AB16148

Anti-MyoD1 antibody [5.2F]

primary-antibodies

myod1-antibody-52f-ab16148

3

(18 reviews)

Alternative Product
Primary Antibodies

AB198251

Anti-MyoD1 antibody - C-terminal

primary-antibodies

myod1-antibody-c-terminal-ab198251

0

(0 reviews)

Alternative Product
Primary Antibodies

AB64159

Anti-MyoD1 antibody

primary-antibodies

myod1-antibody-ab64159

3

(3 reviews)

Alternative Product
Primary Antibodies

AB240073

Anti-MyoD1 antibody [EPR6653-131] - BSA and Azide free

primary-antibodies

myod1-antibody-epr6653-131-bsa-and-azide-free-ab240073

0

(0 reviews)

Alternative Product
Primary Antibodies

AB203383

Anti-MyoD1 antibody

primary-antibodies

myod1-antibody-ab203383

3

(3 reviews)

Please note: All products are 'FOR RESEARCH USE ONLY. NOT FOR USE IN DIAGNOSTIC OR THERAPEUTIC PROCEDURES'.

For licensing inquiries, please contact partnerships@abcam.com