JavaScript is disabled in your browser. Please enable JavaScript to view this website.
AB238025

Anti-MyoD1 antibody [rMYD712]

Be the first to review this product! Submit a review

|

(1 Publication)

Mouse Recombinant Monoclonal MYOD1 antibody. Suitable for Protein Array, IHC-P and reacts with Recombinant full length protein - Human, Human samples. Cited in 1 publication. Immunogen corresponding to Recombinant Full Length Protein corresponding to Human MYOD1.

View Alternative Names

BHLHC1, MYF3, MYOD, MYOD1, Myoblast determination protein 1, Class C basic helix-loop-helix protein 1, Myogenic factor 3, bHLHc1, Myf-3

2 Images
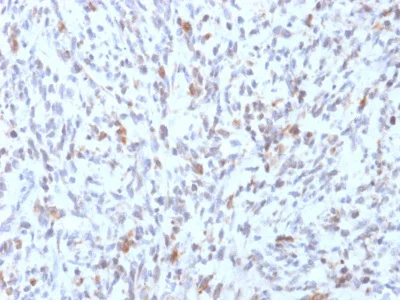
Immunohistochemistry (Formalin/PFA-fixed paraffin-embedded sections) - Anti-MyoD1 antibody [rMYD712] (AB238025)
  • IHC-P

Supplier Data

Immunohistochemistry (Formalin/PFA-fixed paraffin-embedded sections) - Anti-MyoD1 antibody [rMYD712] (AB238025)

Formalin-fixed, paraffin-embedded human Rhabdomyosarcoma tissue stained for MyoD1 using ab238025 at 2 μg/mL in immunohistochemical analysis.

Protein Array - Anti-MyoD1 antibody [rMYD712] (AB238025)
  • Protein Array

Unknown

Protein Array - Anti-MyoD1 antibody [rMYD712] (AB238025)

ab238025 was tested in protein array against over 19000 different full-length human proteins.
Z- and S- Score : The Z-score represents the strength of a signal that a monoclonal antibody (MAb) (in combination with a fluorescently-tagged anti-IgG secondary antibody) produces when binding to a particular protein on the HuProtTM array. Z-scores are described in units of standard deviations (SD's) above the mean value of all signals generated on that array. If targets on HuProtTM are arranged in descending order of the Z-score, the S-score is the difference (also in units of SD's) between the Z-score. S-score therefore represents the relative target specificity of a MAb to its intended target.
A MAb is specific to its intended target if the MAb has an S-score of at least 2.5. For example, if a MAb binds to protein X with a Z-score of 43 and to protein Y with a Z-score of 14, then the S-score for the binding of that MAb to protein X is equal to 29.

  • Carrier free

    Anti-MyoD1 antibody [rMYD712] - BSA and Azide free

Key facts

Host species

Mouse

Clonality

Monoclonal

Clone number

rMYD712

Isotype

IgG1

Light chain type

kappa

Carrier free

No

Reacts with

Human

Applications

Protein Array, IHC-P

applications

Immunogen

Recombinant Full Length Protein corresponding to Human MYOD1.

P15172

Reactivity data

{ "title": "Reactivity Data", "filters": { "stats": ["", "Species", "Dilution Info", "Notes"], "tabs": { "all-applications": {"fullname" : "All Applications", "shortname": "All Applications"}, "ProteinArray" : {"fullname" : "Protein Array", "shortname":"Protein Array"}, "IHCP" : {"fullname" : "Immunohistochemistry (Formalin/PFA-fixed paraffin-embedded sections)", "shortname":"IHC-P"} }, "product-promise": { "all": "all", "testedAndGuaranteed": "tested", "guaranteed": "expected", "predicted": "predicted", "notRecommended": "not-recommended" } }, "values": { "Human": { "ProteinArray-species-checked": "guaranteed", "ProteinArray-species-dilution-info": "", "ProteinArray-species-notes": "", "IHCP-species-checked": "testedAndGuaranteed", "IHCP-species-dilution-info": "1-2 µg/mL", "IHCP-species-notes": "<p>Primary incubation for 30 minutes at room temperature.</p><p>Staining of formalin-fixed tissues requires boiling tissue sections in 10mM Tris with 1mM EDTA, pH 9.0, for 10-20 minute followed by cooling at RT for 20 minutes.</p>" }, "Recombinant full length protein - Human": { "ProteinArray-species-checked": "testedAndGuaranteed", "ProteinArray-species-dilution-info": "", "ProteinArray-species-notes": "<p></p>", "IHCP-species-checked": "notRecommended", "IHCP-species-dilution-info": "", "IHCP-species-notes": "" } } }

Properties and storage information

Form
Liquid
Purification technique
Affinity purification Protein A/G
Purification notes
Purified from Bioreactor concentrate.
Storage buffer
pH: 7.2 - 7.4 Preservative: 0.05% Sodium azide Constituents: PBS, 0.05% BSA
Shipped at conditions
Blue Ice
Appropriate short-term storage duration
1-2 weeks
Appropriate short-term storage conditions
+4°C
Appropriate long-term storage conditions
-20°C
Aliquoting information
Upon delivery aliquot
Storage information
Avoid freeze / thaw cycle

Supplementary information

This supplementary information is collated from multiple sources and compiled automatically.

MyoD1 also known as Myogenic Differentiation 1 is a master regulator of muscle differentiation. It functions mechanically as a transcription factor binding to DNA at specific sequences thereby activating the transcription of genes necessary for muscle tissue development. MyoD1 has a molecular weight of approximately 45 kDa. It is expressed in skeletal muscle tissues and also detected in some non-muscle tissues though at lower levels. MyoD1 is essential in the early stages of muscle cell lineage commitment.
Biological function summary

MyoD1 plays an important role in muscle differentiation by activating muscle-specific genes. It belongs to the myogenic regulatory factor family and often operates within a protein complex alongside Myf5 and myogenin aiding in the conversion of mesodermal stem cells into muscle cells. These partnerships enhance its ability to initiate the muscle-specific gene expression that drives myogenesis. MyoD1 acts like a molecular switch shifting cells into the pathway leading to muscle formation.

Pathways

MyoD1 is an integral component of myogenesis and muscle regeneration pathways. MyoD1 interacts with key pathway components such as Myf5 and MRF4 which reinforce MyoD1 activity in muscle tissue lineage determination and cell cycle arrest during differentiation. The activity of MyoD1 in these pathways highlights its role in skeletal muscle growth. MyoD1 also demonstrates functional redundancy with Myogenin as both share overlapping roles in these critical pathways.

MyoD1 is associated with muscular dystrophy and some sarcomas. Aberrant expression or mutations in MyoD1 can disrupt normal muscle differentiation contributing to muscle-related disorders like rhabdomyosarcoma a form of cancer comprising cells resembling skeletal muscle. Its relationship with other proteins like Myf5 further highlights its role in such pathological conditions as faults in these connections can amplify or alter disease progression.

Product protocols

For this product, it's our understanding that no specific protocols are required. You can visit:

Target data

Acts as a transcriptional activator that promotes transcription of muscle-specific target genes and plays a role in muscle differentiation. Together with MYF5 and MYOG, co-occupies muscle-specific gene promoter core region during myogenesis. Induces fibroblasts to differentiate into myoblasts. Interacts with and is inhibited by the twist protein. This interaction probably involves the basic domains of both proteins (By similarity).
See full target information MYOD1

Publications (1)

Recent publications for all applications. Explore the full list and refine your search

Journal, genetic engineering & biotechnology 23:100496 PubMed40390503

2025

Co-expression of HIF1A with multi-drug transporters (P-GP, MRP1, and BCRP) in chemoresistant breast, colorectal, and ovarian cancer cells.

Applications

Unspecified application

Species

Unspecified reactive species

Sudipta Deb Nath,Md Tamzid Hossain Tanim,Md Mahmudul Hasan Akash,Mohammad Golam Mostafa,Abu Ashfaqur Sajib
View all publications

Product promise

We are committed to supporting your work with high-quality reagents, and we're here for you every step of the way. In the unlikely event that one of our products does not perform as expected, you're protected by our Product Promise.
For full details, please see our Terms & Conditions

Please note: All products are 'FOR RESEARCH USE ONLY. NOT FOR USE IN DIAGNOSTIC OR THERAPEUTIC PROCEDURES'.

For licensing inquiries, please contact partnerships@abcam.com