JavaScript is disabled in your browser. Please enable JavaScript to view this website.
AB124800

Anti-Myogenin antibody [EPR4789]

5

(3 Reviews)

|

(74 Publications)

Anti-Myogenin antibody [EPR4789] (ab124800) is a rabbit monoclonal antibody detecting Myogenin in Western Blot, IHC-P, ICC/IF. Suitable for Human, Mouse, Rat.

- Biophysical QC for unrivalled batch-batch consistency
- Over 50 publications

View Alternative Names

BHLHC3, MYF4, MYOG, Myogenin, Class C basic helix-loop-helix protein 3, Myogenic factor 4, bHLHc3, Myf-4

5 Images
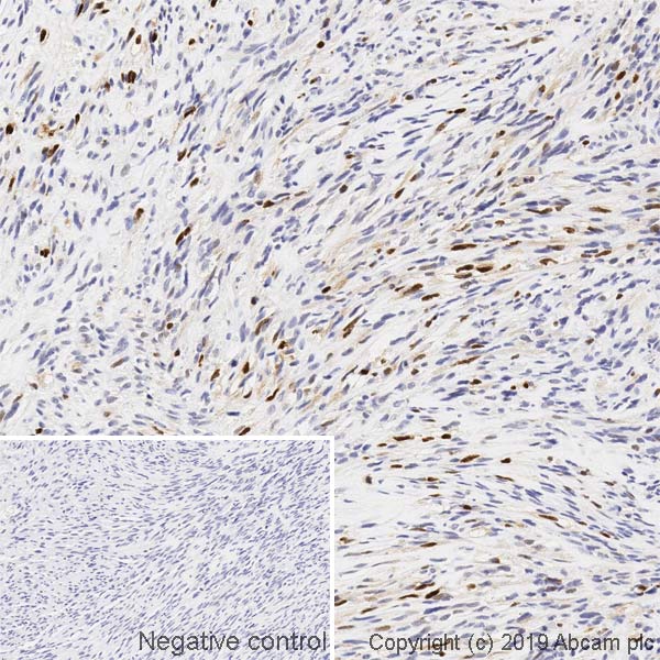
Immunohistochemistry (Formalin/PFA-fixed paraffin-embedded sections) - Anti-Myogenin antibody [EPR4789] (AB124800)
  • IHC-P

Lab

Immunohistochemistry (Formalin/PFA-fixed paraffin-embedded sections) - Anti-Myogenin antibody [EPR4789] (AB124800)

Immunohistochemical analysis of formalin fixed paraffin embedded human rhabdomyosarcoma labelling myogenin with ab124800 at a concentration of 0.5µg/ml. The immunostaining was performed on a Ventana DISCOVERY ULTRA (Roche Tissue Diagnostics) instrument with a OptiView DAB IHC Detection Kit. Heat mediated antigen retrieval was performed with DISCOVERY cell conditioning solution (CC1) 100°C, pH8.5 for 32mins.

ab124800 Anti-Myogenin antibody [EPR4789] was incubated for 16mins at 37°C. Sections were counterstained with Hematoxylin II. Image inset shows absence of staining in secondary antibody only control.

Customers are encouraged to optimise antigen retrieval conditions, antibody concentration, incubation times and temperature for best results in their own IHC assay workflow (automated and manual).

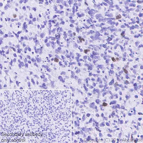
Immunohistochemistry (Formalin/PFA-fixed paraffin-embedded sections) - Anti-Myogenin antibody [EPR4789] (AB124800)
  • IHC-P

Unknown

Immunohistochemistry (Formalin/PFA-fixed paraffin-embedded sections) - Anti-Myogenin antibody [EPR4789] (AB124800)

Immunohistochemistry (Formalin/PFA-fixed paraffin-embedded sections) analysis of Human rhabdomyosarcoma tissue sections labeling Myogenin with Purified ab124800 at 1 : 500 dilution (1.08 µg/ml). Heat mediated antigen retrieval was performed using using ab93684 (Tris/EDTA buffer, pH 9.0)ImmunoHistoProbe one step HRP Polymer (ready to use)was used as the secondary antibody.Negative control : PBS instead of the primary antibody.Hematoxylinwas used as a counterstain

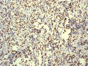
Immunohistochemistry (Formalin/PFA-fixed paraffin-embedded sections) - Anti-Myogenin antibody [EPR4789] (AB124800)
  • IHC-P

Unknown

Immunohistochemistry (Formalin/PFA-fixed paraffin-embedded sections) - Anti-Myogenin antibody [EPR4789] (AB124800)

Unpurified ab124800, at a 1/100 dilution, staining Myogenin in paraffin embedded Human rhabdomyosarcoma tissue by Immunohistochemistry.

Perform heat mediated antigen retrieval via the pressure cooker method before commencing with IHC staining protocol.

Western blot - Anti-Myogenin antibody [EPR4789] (AB124800)
  • WB

Lab

Western blot - Anti-Myogenin antibody [EPR4789] (AB124800)

Blocking and diluting buffer : 5% NFDM/TBST.

This antibody has low affinity on skeletal muscle samples. Please increase protein or antibody amount to get satisfied results.
Myogenin expression is upregulated in C2C12 cells during differentiation process induced by horse serum treatment (PMID : 26563778).

All lanes:

Western blot - Anti-Myogenin antibody [EPR4789] (ab124800) at 0.5 µg/mL

Lane 1:

Human fetal skeletal muscle lysates at 15 µg

Lane 2:

Rat fetal skeletal muscle lysates at 15 µg

Lane 3:

Mouse fetal skeletal muscle lysates at 15 µg

Lane 4:

C2C12 (Mouse myoblasts myoblast) whole cell lysates at 15 µg

Lane 5:

C2C12 (Mouse myoblasts myoblast) treated with 2% horse serum whole cell lysates at 15 µg

Secondary

All lanes:

Western blot - Goat Anti-Rabbit IgG H&L (HRP) (<a href='/en-us/products/secondary-antibodies/goat-rabbit-igg-h-l-hrp-ab97051'>ab97051</a>) at 1/20000 dilution

Predicted band size: 25 kDa

false

Immunocytochemistry/ Immunofluorescence - Anti-Myogenin antibody [EPR4789] (AB124800)
  • ICC/IF

Lab

Immunocytochemistry/ Immunofluorescence - Anti-Myogenin antibody [EPR4789] (AB124800)

Immunofluorescence staining of Myogenin using ab124800 in ab277612, which were differentiated for 3 days post induction.

The cells were fixed with 4% formaldehyde (10 min), permeabilized with 0.1% PBS-Tween for 5 mins and then blocked with 1% BSA/10% normal goat serum/0.3M glycine in 0.1% PBS-Tween for 1h. The cells were then incubated overnight at +4°C with ab124800 at 0.5 µg/mL and ab7291, Mouse monoclonal [DM1A] to alpha Tubulin, at 1/1000 dilution. Cells were then incubated with ab150081, Goat Anti-Rabbit IgG H&L (Alexa Fluor® 488) preadsorbed at 1/1000 dilution (shown in green) and ab150120, Goat Anti-Mouse IgG H&L (Alexa Fluor® 594) preadsorbed at 1/1000 dilution (shown in red). Nuclear DNA was labelled with DAPI (shown in blue).

Image was acquired with a high-content analyser (Operetta CLS, Perkin Elmer) and a maximum intensity projection of confocal sections is shown. Gamma is adjusted to 1.5 in all channels.

The antibody ab124800 gave comparable results using MeOH fixation (100%, 5 min).

Key facts

Host species

Rabbit

Clonality

Monoclonal

Clone number

EPR4789

Isotype

IgG

Carrier free

No

Reacts with

Mouse, Rat, Human

Applications

IHC-P, WB, ICC/IF

applications

Immunogen

The exact immunogen used to generate this antibody is proprietary information.

Specificity

This antibody has low affinity on skeletal muscle samples in WB. Please increase protein or antibody amount to get satisfied results.

Reactivity data

{ "title": "Reactivity Data", "filters": { "stats": ["", "Species", "Dilution Info", "Notes"], "tabs": { "all-applications": {"fullname" : "All Applications", "shortname": "All Applications"}, "IHCP" : {"fullname" : "Immunohistochemistry (Formalin/PFA-fixed paraffin-embedded sections)", "shortname":"IHC-P"}, "ICCIF" : {"fullname" : "Immunocytochemistry/ Immunofluorescence", "shortname":"ICC/IF"}, "IP" : {"fullname" : "Immunoprecipitation", "shortname":"IP"}, "WB" : {"fullname" : "Western blot", "shortname":"WB"} }, "product-promise": { "all": "all", "testedAndGuaranteed": "tested", "guaranteed": "expected", "predicted": "predicted", "notRecommended": "not-recommended" } }, "values": { "Human": { "IHCP-species-checked": "testedAndGuaranteed", "IHCP-species-dilution-info": "1/500", "IHCP-species-notes": "<p><strong>For unpurified use at 1/100 - 1/250.</strong></p><p>The mouse and rat recommendation is based on the WB results. We do not guarantee IHC-P for mouse and rat.</p> Perform heat-mediated antigen retrieval via the pressure cooker method before commencing with IHC staining protocol.", "ICCIF-species-checked": "testedAndGuaranteed", "ICCIF-species-dilution-info": "0.5-5 µg/mL", "ICCIF-species-notes": "<p></p>", "IP-species-checked": "notRecommended", "IP-species-dilution-info": "", "IP-species-notes": "<p></p>", "WB-species-checked": "guaranteed", "WB-species-dilution-info": "", "WB-species-notes": "" }, "Mouse": { "IHCP-species-checked": "notRecommended", "IHCP-species-dilution-info": "", "IHCP-species-notes": "<p></p>", "ICCIF-species-checked": "guaranteed", "ICCIF-species-dilution-info": "", "ICCIF-species-notes": "", "IP-species-checked": "notRecommended", "IP-species-dilution-info": "", "IP-species-notes": "<p></p>", "WB-species-checked": "testedAndGuaranteed", "WB-species-dilution-info": "1/200", "WB-species-notes": "<p><strong>For unpurified use at 1/1000 - 1/10000.</strong></p><p>This antibody has low affinity on skeletal muscle samples in WB. Please increase protein or antibody amount to get satisfied results.</p>" }, "Rat": { "IHCP-species-checked": "notRecommended", "IHCP-species-dilution-info": "", "IHCP-species-notes": "<p></p>", "ICCIF-species-checked": "guaranteed", "ICCIF-species-dilution-info": "", "ICCIF-species-notes": "", "IP-species-checked": "notRecommended", "IP-species-dilution-info": "", "IP-species-notes": "<p></p>", "WB-species-checked": "testedAndGuaranteed", "WB-species-dilution-info": "1/200", "WB-species-notes": "<p><strong>For unpurified use at 1/1000 - 1/10000.</strong></p><p>This antibody has low affinity on skeletal muscle samples in WB. Please increase protein or antibody amount to get satisfied results.</p>" } } }

Product details

Product Specifications
Anti-Myogenin antibody [EPR4789] (ab124800) was developed by Abcam using patented rabbit monoclonal antibody technology and is validated for use in ICC/IF, IHC-P, WB in human, mouse, rat samples.
Anti-Myogenin antibody [EPR4789] (ab124800) specifically detects Myogenin (UniProt ID: P15173; Molecular weight: 25kDa) and is sold in 100 µL and 1 mL selling sizes.

Quality and Validation
Abcam's high quality manufacturing and validation processes ensure Anti-Myogenin antibody [EPR4789] (ab124800) has high sensitivity and specificity alongside high lot-to-lot consistency and reproducibility.
Anti-Myogenin antibody [EPR4789] (ab124800) has been cited over 54 times in peer reviewed journals and is trusted by the scientific community.


Related Products
Antibody clone EPR4789 is also available pre-conjugated to a variety of labels for your convenience - Alexa Fluor® 594, Alexa Fluor® 555 (ab311756, ab313237).

Patented technology
Our RabMAb® technology is a patented hybridoma-based technology for making rabbit monoclonal antibodies. For details on our patents, please refer to RabMAb® patents.

What are the advantages of a recombinant monoclonal antibody?
This product is a recombinant monoclonal antibody, which offers several advantages including:

  • - High batch-to-batch consistency and reproducibility
  • - Improved sensitivity and specificity
  • - Long-term security of supply
  • - Animal-free batch production

For more information, read more on recombinant antibodies.

Shipping conditions update: ambient shipping

This product will be delivered at ambient temperature instead of chilled – this is by design. Extensive stability testing confirmed that our products are suitable for shipment under ambient conditions and maintain expected quality.

Why the change?

It’s part of our commitment to more sustainable packaging solutions, with ambient deliveries using eco-friendly materials such as recyclable cardboard instead of polystyrene.

What you need to know

  • Ambient shipments come with a flyer explaining the below.
  • No ice will be included in ambient shipments, but mixed orders (ambient and cold-chain items) will still arrive with ice packs to protect temperature-sensitive products.
  • Warranty coverage remains fully valid, aligned with our validated shipping method.
  • Please store the product as per the datasheet instructions upon receipt.

Find out more - https://www.abcam.com/en-us/support/shipping-storage-support/ambient-shipping

Properties and storage information

Form
Liquid
Purification technique
Affinity purification Protein A
Storage buffer
pH: 7.2 - 7.4 Preservative: 0.01% Sodium azide Constituents: PBS, 40% Glycerol (glycerin, glycerine), 0.05% BSA
Shipped at conditions
Conditional Ambient
Appropriate short-term storage duration
1-2 weeks
Appropriate short-term storage conditions
+4°C
Appropriate long-term storage conditions
-20°C
Aliquoting information
Upon delivery aliquot
Storage information
Avoid freeze / thaw cycle

Supplementary information

This supplementary information is collated from multiple sources and compiled automatically.

Myogenin also known as MYOG is a muscle-specific transcription factor that plays an important role in the regulation of muscle differentiation and development. It belongs to the MyoD family of basic helix-loop-helix proteins. Myogenin has a molecular weight of approximately 34 to 39 kDa. It is typically expressed in skeletal muscle tissues aiding in the transition from proliferating myoblasts to differentiated myotubes. Immunohistochemistry (IHC) methods often use myogenin antibodies like the 'myogenin anticuerpo' and 'F5D' to identify myogenin expression within tissue samples facilitating the understanding of muscle tissue organization and development.
Biological function summary

Myogenin functions in controlling the transcription of muscle-specific genes that are essential during myogenesis. This transcription factor forms heterodimers with E-proteins becoming part of DNA-binding complexes that activate the transcription of muscle-specific genes. Myogenin's presence is critical during muscle cell fusion and maturation signifying its importance in proper muscle tissue formation and maintenance. Myogenin staining is often used as a technique to study muscle differentiation in various experimental settings.

Pathways

Myogenin is integrated into the myogenic regulatory network where it activates genes involved in muscle fiber maturation. It participates in the MyoD regulatory pathway working alongside other myogenic regulatory factors like MyoD Myf5 and MRF4. These proteins create a coordinated network ensuring efficient muscle cell differentiation and growth. The cross-talk between myogenin and these factors highlights its role in the intricate web of gene regulation necessary for muscle development.

The altered expression or mutation of the myogenin gene has potential implications in muscular dystrophies and myopathies. For instance disruptions in myogenin activity can lead to impaired muscle repair and regeneration contributing to the pathology of conditions such as rhabdomyosarcoma. Within these contexts myogenin associates with other proteins like MyoD whose expression might also be altered further accentuating the disruption in normal muscle differentiation processes during disease states.

Product protocols

For this product, it's our understanding that no specific protocols are required. You can visit:

Target data

Acts as a transcriptional activator that promotes transcription of muscle-specific target genes and plays a role in muscle differentiation, cell cycle exit and muscle atrophy. Essential for the development of functional embryonic skeletal fiber muscle differentiation. However is dispensable for postnatal skeletal muscle growth; phosphorylation by CAMK2G inhibits its transcriptional activity in respons to muscle activity. Required for the recruitment of the FACT complex to muscle-specific promoter regions, thus promoting gene expression initiation. During terminal myoblast differentiation, plays a role as a strong activator of transcription at loci with an open chromatin structure previously initiated by MYOD1. Together with MYF5 and MYOD1, co-occupies muscle-specific gene promoter core regions during myogenesis. Cooperates also with myocyte-specific enhancer factor MEF2D and BRG1-dependent recruitment of SWI/SNF chromatin-remodeling enzymes to alter chromatin structure at myogenic late gene promoters. Facilitates cell cycle exit during terminal muscle differentiation through the up-regulation of miR-20a expression, which in turn represses genes involved in cell cycle progression. Binds to the E-box containing (E1) promoter region of the miR-20a gene. Plays also a role in preventing reversal of muscle cell differentiation. Contributes to the atrophy-related gene expression in adult denervated muscles. Induces fibroblasts to differentiate into myoblasts (By similarity).
See full target information MYOG

Publications (74)

Recent publications for all applications. Explore the full list and refine your search

Histology and histopathology :18991 PubMed40985203

2025

Asiatic acid alleviates dexamethasone-induced muscle atrophy through regulating the Sirt1/PGC-1α/FOXO3 pathway.

Applications

Unspecified application

Species

Unspecified reactive species

Dongfang Ji,Mingxin Cui,Chao Tian,Kaili Chen,Jing Shao

Frontiers in ophthalmology 5:1618276 PubMed40831712

2025

MyoD is required for the differentiation of Myo/Nog cell progenitors of myofibroblasts in explants of human lens tissue.

Applications

Unspecified application

Species

Unspecified reactive species

Jacquelyn Gerhart,Mara Crispin,Brian Heist,Keith Mathers,Joseph Infanti,David Venuti,Joseph F Richards,Steven Morency,Cathy Hatcher,Mindy George-Weinstein

Cells 14: PubMed40801582

2025

Long-Term Engraftment and Satellite Cell Expansion from Human PSC Teratoma-Derived Myogenic Progenitors.

Applications

Unspecified application

Species

Unspecified reactive species

Zahra Khosrowpour,Nivedha Ramaswamy,Elise N Engquist,Berkay Dincer,Alisha M Shah,Hossam A N Soliman,Natalya A Goloviznina,Peter I Karachunski,Michael Kyba

Nature communications 16:5578 PubMed40595516

2025

Bioactive lipid mediator class switching regulates myogenic cell progression and muscle regeneration.

Applications

Unspecified application

Species

Unspecified reactive species

Paul Fabre,Thomas Molina,Jessica Larose,Karine Greffard,Gregory Généreux-Gamache,Alyson Deprez,Inès Mokhtari,Ornella Pellerito,Elise Duchesne,Junio Dort,Jean-François Bilodeau,Nicolas A Dumont

Nature communications 16:3190 PubMed40180928

2025

Muscle fiber Myc is dispensable for muscle growth and its forced expression severely perturbs homeostasis.

Applications

Unspecified application

Species

Unspecified reactive species

Daniel J Ham,Michelangelo Semeraro,Bianca M Berger,Timothy J McGowan,Shuo Lin,Eleonora Maino,Filippo Oliveri,Markus A Rüegg

Cell death discovery 11:23 PubMed39863573

2025

Rapid iPSC-derived neuromuscular junction model uncovers motor neuron dominance in amyotrophic lateral sclerosis cytopathy.

Applications

Unspecified application

Species

Unspecified reactive species

Hsiao-Chien Ting,Yun-Ting Guo,Hong-Lin Su,Yu-Shuan Chen,Shinn-Zong Lin,Horng-Jyh Harn,Chia-Yu Chang

FASEB bioAdvances 7:e1481 PubMed39781426

2025

Diacylglycerol kinase δ is required for skeletal muscle development and regeneration.

Applications

Unspecified application

Species

Unspecified reactive species

Hiromichi Sakai,Chiaki Murakami,Mayumi Takechi,Takeshi Urano,Fumio Sakane

The Journal of biological chemistry 300:107842 PubMed39357823

2024

Calpain-5 regulates muscle-specific protein expression and nuclear positioning during myoblast differentiation.

Applications

Unspecified application

Species

Unspecified reactive species

Nobuhiro Morishima,Yoshihiro Ito

Molecular biomedicine 5:31 PubMed39117956

2024

Inhibition of Sesn2 has negative regulatory effects on the myogenic differentiation of C2C12 myoblasts.

Applications

Unspecified application

Species

Unspecified reactive species

Zubiao Song,Qing Lin,Jiahui Liang,Weixi Zhang

Biomedicine & pharmacotherapy = Biomedecine & pharmacotherapie 176:116920 PubMed38876054

2024

Novel drug targets and molecular mechanisms for sarcopenia based on systems biology.

Applications

Unspecified application

Species

Unspecified reactive species

Atakan Burak Ceyhan,Mehmet Ozcan,Woonghee Kim,Xiangyu Li,Ozlem Altay,Cheng Zhang,Adil Mardinoglu
View all publications

Product promise

We are committed to supporting your work with high-quality reagents, and we're here for you every step of the way. In the unlikely event that one of our products does not perform as expected, you're protected by our Product Promise.
For full details, please see our Terms & Conditions

Please note: All products are 'FOR RESEARCH USE ONLY. NOT FOR USE IN DIAGNOSTIC OR THERAPEUTIC PROCEDURES'.

For licensing inquiries, please contact partnerships@abcam.com