JavaScript is disabled in your browser. Please enable JavaScript to view this website.
AB1835

Anti-Myogenin antibody [F5D]

4

(10 Reviews)

|

(120 Publications)

Anti-Myogenin antibody [F5D] (ab1835) is a mouse monoclonal antibody detecting Myogenin in Western Blot, IHC-P, ICC/IF. Suitable for Human, Mouse.

- Over 90 publications
- Trusted since 2002

View Alternative Names

BHLHC3, MYF4, MYOG, Myogenin, Class C basic helix-loop-helix protein 3, Myogenic factor 4, bHLHc3, Myf-4

5 Images
Immunocytochemistry/ Immunofluorescence - Anti-Myogenin antibody [F5D] (AB1835)
  • ICC/IF

Lab

Immunocytochemistry/ Immunofluorescence - Anti-Myogenin antibody [F5D] (AB1835)

Immunofluorescence staining of Myogenin using ab1835 in ab277612, which were differentiated for 3 days post induction.

The cells were fixed with 4% formaldehyde (10 min), permeabilized with 0.1% PBS-Tween for 5 mins and then blocked with 1% BSA/10% normal goat serum/0.3M glycine in 0.1% PBS-Tween for 1h. The cells were then incubated overnight at +4°C with ab1835 at 1 µg/mL and ab6046, rabbit polyclonal to beta Tubulin, at 1/1000 dilution. Cells were then incubated with ab150117, Goat Anti-Mouse IgG H&L (Alexa Fluor® 488) preadsorbed at 1/1000 dilution (shown in green) and ab150088, Goat Anti-Rabbit IgG H&L (Alexa Fluor® 594) preadsorbed at 1/1000 dilution (shown in red). Nuclear DNA was labelled with DAPI (shown in blue).

Image was acquired with a high-content analyser (Operetta CLS, Perkin Elmer) and a maximum intensity projection of confocal sections is shown. Gamma is adjusted to 1.5 in all channels.

The antibody ab1835 gave comparable results using MeOH fixation (100%, 5 min).

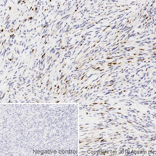
Immunohistochemistry (Formalin/PFA-fixed paraffin-embedded sections) - Anti-Myogenin antibody [F5D] (AB1835)
  • IHC-P

Lab

Immunohistochemistry (Formalin/PFA-fixed paraffin-embedded sections) - Anti-Myogenin antibody [F5D] (AB1835)

IHC image of Myogenin staining in a section of formalin-fixed paraffin-embedded normal Human Rhabdomyosarcoma* performed on a Leica BOND™ system using the standard Protocol F. The section was pre-treated using heat mediated antigen retrieval with sodium citrate buffer (pH6, epitope retrieval solution 1) for 20mins. The section was then incubated with ab1835, 5μg/ml, for 15 mins at room temperature and detected using an HRP conjugated compact polymer system. DAB was used as the chromogen. The section was then counterstained with haematoxylin and mounted with DPX. The inset secondary-only control image is taken from an identical assay without primary antibody. For other IHC staining systems (automated and non-automated) customers should optimize variable parameters such as antigen retrieval conditions, primary antibody concentration and antibody incubation times. *Tissue obtained from the Human Research Tissue Bank, supported by the NIHR Cambridge Biomedical Research Centre.

Immunohistochemistry (PFA perfusion fixed frozen sections) - Anti-Myogenin antibody [F5D] (AB1835)
  • IHC-FoFr

Collaborator

Immunohistochemistry (PFA perfusion fixed frozen sections) - Anti-Myogenin antibody [F5D] (AB1835)

Adult mouse muscle section stained with ab1835. The animals were perfused with 4% PFA. The sections were incubated in 5% normal donkey serum in 0.1% PBS- and triton X100 for 1h to permeabilise the cells and block non-specific protein-protein interactions. The sections were then incubated with the antibody (ab1835, 1μg/ml) overnight at +4°C. The secondary antibody Alexa Fluor® 568 donkey anti-mouse IgG (H+L) (red) was used at a 1/1000 dilution for 1h.

This image is courtesy of Ruma Raha-Chowdhury, University Of Cambridge, United Kingdom

Immunocytochemistry/ Immunofluorescence - Anti-Myogenin antibody [F5D] (AB1835)
  • ICC/IF

Lab

Immunocytochemistry/ Immunofluorescence - Anti-Myogenin antibody [F5D] (AB1835)

ab1835 staining Myogenin in undifferentiated C2C12 cells (top panel) and 2 days differentiated C2C12 cells (bottom panel).

The cells were fixed with 100% methanol (5 min), permeabilized with 0.1% Triton X-100 for 5 mins and then blocked with 1% BSA/10% normal goat serum/0.3M glycine in 0.1% PBS-Tween for 1h. The cells were then incubated with ab1835 at 1 μg/ml and ab6046, Rabbit polyclonal to beta Tubulin - Loading Control, at 1/1000 dilution overnight at 4°C. Cells were then incubated with ab150117, Goat Anti-Mouse IgG H&L (Alexa Fluor® 488) at 1/1000 dilution (shown in green) and ab150084, Goat polyclonal Secondary Antibody to Rabbit IgG - H&L (Alexa Fluor® 594) at 1/1000 dilution (shown in pseudocolor red). Nuclear DNA was labeled with DAPI (shown in blue).

Image was taken with a confocal microscope (Leica-Microsystems, TCS SP8).

Western blot - Anti-Myogenin antibody [F5D] (AB1835)
  • WB

Lab

Western blot - Anti-Myogenin antibody [F5D] (AB1835)

C2C12 cells were differentiated into myotubes as previously described in PMID : 26563778.

Lanes 1-7 : Merged signal (red and green). Green - ab1835 observed at 30kDa. Red - loading control ab181602 observed at 37kDa.

This blot was produced using a 4-12% Bis-tris under the MOPS buffer system. The gel was run at 200V for 55 minutes before being transferred onto a Nitrocellulose membrane at 30V for 70 minutes. The membrane was blocked for an hour using 3% milk before ab1835 and ab181602 (Rabbit anti GAPDH loading control), were incubated overnight at 4°C at a 1 in 400 dilution and 1/20000 dilution respectively. Antibody binding was detected using Goat anti-Mouse IgG H&L (IRDye® 800CW) preadsorbed (ab216772) and Goat Anti-Rabbit IgG H&L (IRDye® 680RD) preadsorbed (ab216777) secondary antibodies at 1/20000 dilution for 1 hour at room temperature before imaging.

All lanes:

Western blot - Anti-Myogenin antibody [F5D] (ab1835)

Lane 1:

Differentiated C2C12 whole cell lysate - Day 0 control at 20 µg

Lane 2:

Differentiated C2C12 whole cell lysate - Day 1 at 20 µg

Lane 3:

Differentiated C2C12 whole cell lysate - Day 2 at 20 µg

Lane 4:

Differentiated C2C12 whole cell lysate - Day 3 at 20 µg

Lane 5:

Differentiated C2C12 whole cell lysate - Day 4 at 20 µg

Lane 6:

Differentiated C2C12 whole cell lysate - Day 5 at 20 µg

Lane 7:

Differentiated C2C12 whole cell lysate - Day 6 at 20 µg

Predicted band size: 25 kDa

Observed band size: 34 kDa

false

Key facts

Host species

Mouse

Clonality

Monoclonal

Clone number

F5D

Isotype

IgG1

Light chain type

kappa

Carrier free

No

Reacts with

Mouse, Human

Applications

ICC/IF, IHC-FoFr, IHC-P, WB

applications

Immunogen

The exact immunogen used to generate this antibody is proprietary information.

Specificity

The immunogen used to raise this antibody has 100% homology with the Rat Myogenin protein. Some customers have successfully used this antibody on rat samples, however we have not been successful detecting Myogenin in this species in our own testing and therefore cannot guarantee rat reactivity. Please contact Abcam Scientific Support for more information.

Reactivity data

{ "title": "Reactivity Data", "filters": { "stats": ["", "Species", "Dilution Info", "Notes"], "tabs": { "all-applications": {"fullname" : "All Applications", "shortname": "All Applications"}, "ICCIF" : {"fullname" : "Immunocytochemistry/ Immunofluorescence", "shortname":"ICC/IF"}, "WB" : {"fullname" : "Western blot", "shortname":"WB"}, "IHCFoFr" : {"fullname" : "Immunohistochemistry (PFA perfusion fixed frozen sections)", "shortname":"IHC-FoFr"}, "IHCP" : {"fullname" : "Immunohistochemistry (Formalin/PFA-fixed paraffin-embedded sections)", "shortname":"IHC-P"} }, "product-promise": { "all": "all", "testedAndGuaranteed": "tested", "guaranteed": "expected", "predicted": "predicted", "notRecommended": "not-recommended" } }, "values": { "Human": { "ICCIF-species-checked": "testedAndGuaranteed", "ICCIF-species-dilution-info": "1-5 µg/mL", "ICCIF-species-notes": "<p></p>", "WB-species-checked": "guaranteed", "WB-species-dilution-info": "", "WB-species-notes": "", "IHCFoFr-species-checked": "guaranteed", "IHCFoFr-species-dilution-info": "", "IHCFoFr-species-notes": "", "IHCP-species-checked": "testedAndGuaranteed", "IHCP-species-dilution-info": "", "IHCP-species-notes": "<p></p>" }, "Mouse": { "ICCIF-species-checked": "testedAndGuaranteed", "ICCIF-species-dilution-info": "1-5 µg/mL", "ICCIF-species-notes": "<p></p>", "WB-species-checked": "testedAndGuaranteed", "WB-species-dilution-info": "1/250 - 1/500", "WB-species-notes": "<p>Abcam recommends using BSA as the blocking agent.</p>", "IHCFoFr-species-checked": "testedAndGuaranteed", "IHCFoFr-species-dilution-info": "", "IHCFoFr-species-notes": "<p></p>", "IHCP-species-checked": "guaranteed", "IHCP-species-dilution-info": "", "IHCP-species-notes": "" }, "Rat": { "ICCIF-species-checked": "predicted", "ICCIF-species-dilution-info": "", "ICCIF-species-notes": "", "WB-species-checked": "predicted", "WB-species-dilution-info": "", "WB-species-notes": "", "IHCFoFr-species-checked": "predicted", "IHCFoFr-species-dilution-info": "", "IHCFoFr-species-notes": "", "IHCP-species-checked": "predicted", "IHCP-species-dilution-info": "", "IHCP-species-notes": "" }, "Pig": { "ICCIF-species-checked": "predicted", "ICCIF-species-dilution-info": "", "ICCIF-species-notes": "", "WB-species-checked": "predicted", "WB-species-dilution-info": "", "WB-species-notes": "", "IHCFoFr-species-checked": "predicted", "IHCFoFr-species-dilution-info": "", "IHCFoFr-species-notes": "", "IHCP-species-checked": "predicted", "IHCP-species-dilution-info": "", "IHCP-species-notes": "" } } }

Product details

Product Specifications
Anti-Myogenin antibody [F5D] (ab1835) is a mouse monoclonal antibody and is validated for use in ICC/IF, IHC-FoFr, IHC-P, WB in human, mouse samples.
Anti-Myogenin antibody [F5D] (ab1835) specifically detects Myogenin (UniProt ID: P20428; Molecular weight: 33kDa) and is sold in 100 µg selling sizes.

Quality and Validation
Abcam's high quality validation processes ensure Anti-Myogenin antibody [F5D] (ab1835) has high sensitivity and specificity.
Anti-Myogenin antibody [F5D] (ab1835) has been cited over 95 times in peer reviewed journals and is trusted by the scientific community.
Anti-Myogenin antibody [F5D] (ab1835) has 10 independent reviews from customers.

Related Products
Conjugation-ready, carrier free format available for antibody clone F5D - ab231163.
Antibody clone F5D is also available pre-conjugated to a variety of labels for your convenience - Alexa Fluor® 488, Alexa Fluor® 647 (ab320062, ab320063).

Want a custom formulation?
This antibody clone is manufactured by Abcam. If you require a custom buffer formulation or conjugation for your experiments, please contact orders@abcam.com

Properties and storage information

Form
Liquid
Purification technique
Affinity purification
Storage buffer
Preservative: 0.02% Sodium azide Constituents: PBS, 6.97% L-Arginine
Shipped at conditions
Blue Ice
Appropriate short-term storage duration
1-2 weeks
Appropriate short-term storage conditions
+4°C
Appropriate long-term storage conditions
-20°C
Aliquoting information
Upon delivery aliquot
Storage information
Avoid freeze / thaw cycle

Product protocols

For this product, it's our understanding that no specific protocols are required. You can visit:

Target data

Acts as a transcriptional activator that promotes transcription of muscle-specific target genes and plays a role in muscle differentiation, cell cycle exit and muscle atrophy. Essential for the development of functional embryonic skeletal fiber muscle differentiation. However is dispensable for postnatal skeletal muscle growth; phosphorylation by CAMK2G inhibits its transcriptional activity in respons to muscle activity. Required for the recruitment of the FACT complex to muscle-specific promoter regions, thus promoting gene expression initiation. During terminal myoblast differentiation, plays a role as a strong activator of transcription at loci with an open chromatin structure previously initiated by MYOD1. Together with MYF5 and MYOD1, co-occupies muscle-specific gene promoter core regions during myogenesis. Cooperates also with myocyte-specific enhancer factor MEF2D and BRG1-dependent recruitment of SWI/SNF chromatin-remodeling enzymes to alter chromatin structure at myogenic late gene promoters. Facilitates cell cycle exit during terminal muscle differentiation through the up-regulation of miR-20a expression, which in turn represses genes involved in cell cycle progression. Binds to the E-box containing (E1) promoter region of the miR-20a gene. Plays also a role in preventing reversal of muscle cell differentiation. Contributes to the atrophy-related gene expression in adult denervated muscles. Induces fibroblasts to differentiate into myoblasts (By similarity).
See full target information MYOG

Publications (120)

Recent publications for all applications. Explore the full list and refine your search

Animal nutrition (Zhongguo xu mu shou yi xue hui) 22:363-374 PubMed40896477

2025

Indole-3-propionic acid enhances glycolytic myofiber formation in piglets through PI3K-mTOR activation and gut microbiota-driven tryptophan metabolic alteration.

Applications

Unspecified application

Species

Unspecified reactive species

Yezi Kong,Qi Wang,Jing Wang,Xiaoyu Qiu,Yong Yang,Jingbo Liu,Feiyun Yang,Renli Qi

International journal of molecular sciences 26: PubMed40869095

2025

Development of Emerin mRNA Lipid Nanoparticles to Rescue Myogenic Differentiation.

Applications

Unspecified application

Species

Unspecified reactive species

Nicholas Marano,Liza Elif Guner,Rachel S Riley,James M Holaska

Frontiers in cell and developmental biology 13:1615676 PubMed40823533

2025

Integrated analysis of miRNAs-mRNAs in skeletal muscle development revealed that novel-miR-766 affects myoblast differentiation and myofiber-type formation in sheep.

Applications

Unspecified application

Species

Unspecified reactive species

Zhenzhen Gu,WeiWei Duan,Chenxi Liu,Wenrong Li,Bin Han,Mingjun Liu

The Korean journal of physiology & pharmacology : official journal of the Korean Physiological Society and the Korean Society of Pharmacology 29:637-648 PubMed40701844

2025

Circular RNA circAtxn10 regulates skeletal muscle cell differentiation by targeting miR-143-3p and Chrna1.

Applications

Unspecified application

Species

Unspecified reactive species

Nakwon Choe,Anna Jeong,Hosouk Joung,Dongtak Jeong,Young-Kook Kim,Hyun Kook,Duk-Hwa Kwon

Scientific reports 15:17364 PubMed40389489

2025

Inhibitory effects of high extracellular L-glutamate concentrations on skeletal myogenesis.

Applications

Unspecified application

Species

Unspecified reactive species

Himiko Ban,Koji Nobe,Soushi Kobayashi

Theranostics 15:4446-4464 PubMed40225576

2025

RNF138 regulates skeletal muscle differentiation via the Wnt/β-catenin signaling pathway.

Applications

Unspecified application

Species

Unspecified reactive species

Wenhao Wang,Zhuohua Wang,Rourong Li,Weiyi Huang,Qiao Ling,Xiaoxiao Li,Zan Li,Manqi Cao,Zhihui Zhang,Qingrong Sun,Zhijuan Liang,Hua-An Zhang,Xuan Jiang,Chuwen Lin,Yaoqing Chen,Bo Zhao,Yu Zhao,Ji-An Pan,Xiaoxue Peng

Cell proliferation 58:e13809 PubMed39828423

2025

MUSTN1 Interaction With SMPX Regulates Muscle Development and Regeneration.

Applications

Unspecified application

Species

Unspecified reactive species

Yu Fu,Xin Hao,Peng Shang,Jingru Nie,Yangzom Chamba,Bo Zhang,Hao Zhang

Molecular medicine (Cambridge, Mass.) 30:185 PubMed39455931

2024

Skeletal myotubes expressing ALS mutant SOD1 induce pathogenic changes, impair mitochondrial axonal transport, and trigger motoneuron death.

Applications

Unspecified application

Species

Unspecified reactive species

Pablo Martínez,Mónica Silva,Sebastián Abarzúa,María Florencia Tevy,Enrique Jaimovich,Martha Constantine-Paton,Fernando J Bustos,Brigitte van Zundert

Cells 13: PubMed39404371

2024

ADAR1 Promotes Myogenic Proliferation and Differentiation of Goat Skeletal Muscle Satellite Cells.

Applications

Unspecified application

Species

Unspecified reactive species

Zihao Zhao,Miao Xiao,Xiaoli Xu,Meijun Song,Dinghui Dai,Siyuan Zhan,Jiaxue Cao,Jiazhong Guo,Tao Zhong,Linjie Wang,Li Li,Hongping Zhang

Zoological research 45:1261-1275 PubMed39397245

2024

LncRNA GTL2 regulates myoblast proliferation and differentiation via the PKA-CREB pathway in Duolang sheep.

Applications

Unspecified application

Species

Unspecified reactive species

Qian Chen,Jing-Jing Bao,He-Chun Zhang,Chang Huang,Qian Zhao,Ya-Bin Pu,Lin Jiang,Adel Hosseiny,Muhammad Ibrahim,Tanveer Hussain,Xiao-Hong He,Yue-Hui Ma,Qian-Jun Zhao
View all publications

Product promise

We are committed to supporting your work with high-quality reagents, and we're here for you every step of the way. In the unlikely event that one of our products does not perform as expected, you're protected by our Product Promise.
For full details, please see our Terms & Conditions

Please note: All products are 'FOR RESEARCH USE ONLY. NOT FOR USE IN DIAGNOSTIC OR THERAPEUTIC PROCEDURES'.

For licensing inquiries, please contact partnerships@abcam.com