JavaScript is disabled in your browser. Please enable JavaScript to view this website.
AB264517

Anti-Myogenin antibody [F5D] - BSA and Azide free

Be the first to review this product! Submit a review

|

(2 Publications)

Mouse Monoclonal Myogenin antibody. Carrier free. Suitable for WB, IHC-FoFr, ICC/IF, IHC-P and reacts with Mouse, Human samples. Cited in 2 publications.

View Alternative Names

Myogenin, Myog

5 Images
Immunocytochemistry/ Immunofluorescence - Anti-Myogenin antibody [F5D] - BSA and Azide free (AB264517)
  • ICC/IF

Lab

Immunocytochemistry/ Immunofluorescence - Anti-Myogenin antibody [F5D] - BSA and Azide free (AB264517)

Immunofluorescence staining of Myogenin using ab1835 in ioSkeletal Myocytes - Human iPSC-Derived Skeletal Myocytes (ab277612), which were differentiated for 3 days post induction.

The cells were fixed with 4% formaldehyde (10 min), permeabilized with 0.1% PBS-Tween for 5 mins and then blocked with 1% BSA/10% normal goat serum/0.3M glycine in 0.1% PBS-Tween for 1h. The cells were then incubated overnight at +4°C with ab1835 at 1 μg/mL and ab6046, rabbit polyclonal to beta Tubulin, at 1/1000 dilution. Cells were then incubated with ab150117, Goat Anti-Mouse IgG H&L (Alexa Fluor® 488) preadsorbed at 1/1000 dilution (shown in green) and ab150088, Goat Anti-Rabbit IgG H&L (Alexa Fluor® 594) preadsorbed at 1/1000 dilution (shown in red). Nuclear DNA was labelled with DAPI (shown in blue).

Image was acquired with a high-content analyser (Operetta CLS, Perkin Elmer) and a maximum intensity projection of confocal sections is shown. Gamma is adjusted to 1.5 in all channels.

The antibody ab1835 gave comparable results using MeOH fixation (100%, 5 min).

This data was developed using the same antibody clone in a different buffer formulation containing PBS and sodium azide (ab1835).

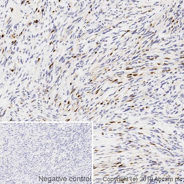
Immunohistochemistry (Formalin/PFA-fixed paraffin-embedded sections) - Anti-Myogenin antibody [F5D] - BSA and Azide free (AB264517)
  • IHC-P

Lab

Immunohistochemistry (Formalin/PFA-fixed paraffin-embedded sections) - Anti-Myogenin antibody [F5D] - BSA and Azide free (AB264517)

IHC image of Myogenin staining in a section of formalin-fixed paraffin-embedded normal Human Rhabdomyosarcoma* performed on a Leica BOND™ system using the standard Protocol F. The section was pre-treated using heat mediated antigen retrieval with sodium citrate buffer (pH6, epitope retrieval solution 1) for 20mins. The section was then incubated with ab1835, 5μg/ml, for 15 mins at room temperature and detected using an HRP conjugated compact polymer system. DAB was used as the chromogen. The section was then counterstained with haematoxylin and mounted with DPX. The inset secondary-only control image is taken from an identical assay without primary antibody. For other IHC staining systems (automated and non-automated) customers should optimize variable parameters such as antigen retrieval conditions, primary antibody concentration and antibody incubation times. *Tissue obtained from the Human Research Tissue Bank, supported by the NIHR Cambridge Biomedical Research Centre.

This data was developed using the same antibody clone in a different buffer formulation containing PBS and sodium azide (ab1835).

Immunohistochemistry (PFA perfusion fixed frozen sections) - Anti-Myogenin antibody [F5D] - BSA and Azide free (AB264517)
  • IHC-FoFr

Collaborator

Immunohistochemistry (PFA perfusion fixed frozen sections) - Anti-Myogenin antibody [F5D] - BSA and Azide free (AB264517)

Adult mouse muscle section stained with ab1835. The animals were perfused with 4% PFA. The sections were incubated in 5% normal donkey serum in 0.1% PBS- and triton X100 for 1h to permeabilise the cells and block non-specific protein-protein interactions. The sections were then incubated with the antibody (ab1835, 1μg/ml) overnight at +4°C. The secondary antibody Alexa Fluor® 568 donkey anti-mouse IgG (H+L) (red) was used at a 1/1000 dilution for 1h.

This data was developed using the same antibody clone in a different buffer formulation containing PBS and sodium azide (ab1835).

This image is courtesy of Ruma Raha-Chowdhury, University Of Cambridge, United Kingdom

Immunocytochemistry/ Immunofluorescence - Anti-Myogenin antibody [F5D] - BSA and Azide free (AB264517)
  • ICC/IF

Lab

Immunocytochemistry/ Immunofluorescence - Anti-Myogenin antibody [F5D] - BSA and Azide free (AB264517)

ab1835 staining Myogenin in undifferentiated C2C12 cells (top panel) and 2 days differentiated C2C12 cells (bottom panel).

The cells were fixed with 100% methanol (5 min), permeabilized with 0.1% Triton X-100 for 5 mins and then blocked with 1% BSA/10% normal goat serum/0.3M glycine in 0.1% PBS-Tween for 1h. The cells were then incubated with ab1835 at 1 μg/ml and ab6046, Rabbit polyclonal to beta Tubulin - Loading Control, at 1/1000 dilution overnight at 4°C. Cells were then incubated with ab150117, Goat Anti-Mouse IgG H&L (Alexa Fluor® 488) at 1/1000 dilution (shown in green) and ab150084, Goat polyclonal Secondary Antibody to Rabbit IgG - H&L (Alexa Fluor® 594) at 1/1000 dilution (shown in pseudocolor red). Nuclear DNA was labeled with DAPI (shown in blue).

Image was taken with a confocal microscope (Leica-Microsystems, TCS SP8).

This data was developed using the same antibody clone in a different buffer formulation containing PBS and sodium azide (ab1835).

Western blot - Anti-Myogenin antibody [F5D] - BSA and Azide free (AB264517)
  • WB

Lab

Western blot - Anti-Myogenin antibody [F5D] - BSA and Azide free (AB264517)

C2C12 cells were differentiated into myotubes as previously described in PMID : 26563778.

Lanes 1-7 : Merged signal (red and green). Green - ab1835 observed at 30kDa. Red - loading control ab181602 observed at 37kDa.

This blot was produced using a 4-12% Bis-tris under the MOPS buffer system. The gel was run at 200V for 55 minutes before being transferred onto a Nitrocellulose membrane at 30V for 70 minutes. The membrane was blocked for an hour using 3% milk before ab1835 and ab181602 (Rabbit anti GAPDH loading control), were incubated overnight at 4°C at a 1 in 400 dilution and 1/20000 dilution respectively. Antibody binding was detected using Goat anti-Mouse IgG H&L (IRDye® 800CW) preadsorbed (ab216772) and Goat Anti-Rabbit IgG H&L (IRDye® 680RD) preadsorbed (ab216777) secondary antibodies at 1/20000 dilution for 1 hour at room temperature before imaging.

This data was developed using the same antibody clone in a different buffer formulation containing PBS and sodium azide (ab1835).

All lanes:

Western blot - Anti-Myogenin antibody [F5D] - BSA and Azide free (ab264517)

Lane 1:

Differentiated C2C12 whole cell lysate - Day 0 control at 20 µg

Lane 2:

Differentiated C2C12 whole cell lysate - Day 1 control at 20 µg

Lane 3:

Differentiated C2C12 whole cell lysate - Day 2 control at 20 µg

Lane 4:

Differentiated C2C12 whole cell lysate - Day 3 control at 20 µg

Lane 5:

Differentiated C2C12 whole cell lysate - Day 4 control at 20 µg

Lane 6:

Differentiated C2C12 whole cell lysate - Day 5 control at 20 µg

Lane 7:

Differentiated C2C12 whole cell lysate - Day 6 control at 20 µg

Predicted band size: 25 kDa

Observed band size: 34 kDa

false

Key facts

Host species

Mouse

Clonality

Monoclonal

Clone number

F5D

Isotype

IgG1

Light chain type

kappa

Carrier free

Yes

Reacts with

Mouse, Human

Applications

ICC/IF, WB, IHC-P, IHC-FoFr

applications

Immunogen

The exact immunogen used to generate this antibody is proprietary information.

Specificity

The immunogen used to raise this antibody has 100% homology with the Rat Myogenin protein. Some customers have successfully used this antibody on rat samples, however we have not been successful detecting Myogenin in this species in our own testing and therefore cannot guarantee rat reactivity. Please contact Abcam Scientific Support for more information.

Reactivity data

{ "title": "Reactivity Data", "filters": { "stats": ["", "Species", "Dilution Info", "Notes"], "tabs": { "all-applications": {"fullname" : "All Applications", "shortname": "All Applications"}, "WB" : {"fullname" : "Western blot", "shortname":"WB"}, "IHCFoFr" : {"fullname" : "Immunohistochemistry (PFA perfusion fixed frozen sections)", "shortname":"IHC-FoFr"}, "ICCIF" : {"fullname" : "Immunocytochemistry/ Immunofluorescence", "shortname":"ICC/IF"}, "IHCP" : {"fullname" : "Immunohistochemistry (Formalin/PFA-fixed paraffin-embedded sections)", "shortname":"IHC-P"} }, "product-promise": { "all": "all", "testedAndGuaranteed": "tested", "guaranteed": "expected", "predicted": "predicted", "notRecommended": "not-recommended" } }, "values": { "Human": { "WB-species-checked": "guaranteed", "WB-species-dilution-info": "", "WB-species-notes": "", "IHCFoFr-species-checked": "guaranteed", "IHCFoFr-species-dilution-info": "", "IHCFoFr-species-notes": "", "ICCIF-species-checked": "testedAndGuaranteed", "ICCIF-species-dilution-info": "", "ICCIF-species-notes": "<p></p>", "IHCP-species-checked": "testedAndGuaranteed", "IHCP-species-dilution-info": "", "IHCP-species-notes": "<p></p>" }, "Mouse": { "WB-species-checked": "testedAndGuaranteed", "WB-species-dilution-info": "", "WB-species-notes": "<p>Abcam recommends using BSA as the blocking agent.</p>", "IHCFoFr-species-checked": "testedAndGuaranteed", "IHCFoFr-species-dilution-info": "", "IHCFoFr-species-notes": "<p></p>", "ICCIF-species-checked": "testedAndGuaranteed", "ICCIF-species-dilution-info": "", "ICCIF-species-notes": "<p></p>", "IHCP-species-checked": "guaranteed", "IHCP-species-dilution-info": "", "IHCP-species-notes": "" }, "Rat": { "WB-species-checked": "predicted", "WB-species-dilution-info": "", "WB-species-notes": "", "IHCFoFr-species-checked": "predicted", "IHCFoFr-species-dilution-info": "", "IHCFoFr-species-notes": "", "ICCIF-species-checked": "predicted", "ICCIF-species-dilution-info": "", "ICCIF-species-notes": "", "IHCP-species-checked": "predicted", "IHCP-species-dilution-info": "", "IHCP-species-notes": "" }, "Pig": { "WB-species-checked": "predicted", "WB-species-dilution-info": "", "WB-species-notes": "", "IHCFoFr-species-checked": "predicted", "IHCFoFr-species-dilution-info": "", "IHCFoFr-species-notes": "", "ICCIF-species-checked": "predicted", "ICCIF-species-dilution-info": "", "ICCIF-species-notes": "", "IHCP-species-checked": "predicted", "IHCP-species-dilution-info": "", "IHCP-species-notes": "" } } }

Product details

ab264517 is the carrier-free version of ab1835.

Want a custom formulation?
This antibody clone is manufactured by Abcam. If you require a custom buffer formulation or conjugation for your experiments, please contact orders@abcam.com

Conjugation ready
Our carrier-free antibodies are typically supplied in a PBS-only formulation, purified and free of BSA, sodium azide and glycerol. This conjugation-ready format is designed for use with fluorochromes, metal isotopes, oligonucleotides, and enzymes, which makes them ideal for antibody labelling, functional and cell-based assays, flow-based assays (e.g. mass cytometry) and Multiplex Imaging applications.

Use our conjugation kits for antibody conjugates that are ready-to-use in as little as 20 minutes with 1 minute hands-on-time and 100% antibody recovery: available for fluorescent dyes, HRP, biotin and gold.

Compatibility
This product is compatible with the Maxpar® Antibody Labeling Kit from Fluidigm, without the need for antibody preparation. Maxpar® is a trademark of Fluidigm Canada Inc.

Properties and storage information

Form
Liquid
Purification technique
Affinity purification
Storage buffer
Constituents: PBS
Shipped at conditions
Blue Ice
Appropriate short-term storage conditions
+4°C
Appropriate long-term storage conditions
+4°C
Storage information
Do Not Freeze

Supplementary information

This supplementary information is collated from multiple sources and compiled automatically.

Myogenin also known as MYOG is a muscle-specific transcription factor that plays an important role in the regulation of muscle differentiation and development. It belongs to the MyoD family of basic helix-loop-helix proteins. Myogenin has a molecular weight of approximately 34 to 39 kDa. It is typically expressed in skeletal muscle tissues aiding in the transition from proliferating myoblasts to differentiated myotubes. Immunohistochemistry (IHC) methods often use myogenin antibodies like the 'myogenin anticuerpo' and 'F5D' to identify myogenin expression within tissue samples facilitating the understanding of muscle tissue organization and development.
Biological function summary

Myogenin functions in controlling the transcription of muscle-specific genes that are essential during myogenesis. This transcription factor forms heterodimers with E-proteins becoming part of DNA-binding complexes that activate the transcription of muscle-specific genes. Myogenin's presence is critical during muscle cell fusion and maturation signifying its importance in proper muscle tissue formation and maintenance. Myogenin staining is often used as a technique to study muscle differentiation in various experimental settings.

Pathways

Myogenin is integrated into the myogenic regulatory network where it activates genes involved in muscle fiber maturation. It participates in the MyoD regulatory pathway working alongside other myogenic regulatory factors like MyoD Myf5 and MRF4. These proteins create a coordinated network ensuring efficient muscle cell differentiation and growth. The cross-talk between myogenin and these factors highlights its role in the intricate web of gene regulation necessary for muscle development.

The altered expression or mutation of the myogenin gene has potential implications in muscular dystrophies and myopathies. For instance disruptions in myogenin activity can lead to impaired muscle repair and regeneration contributing to the pathology of conditions such as rhabdomyosarcoma. Within these contexts myogenin associates with other proteins like MyoD whose expression might also be altered further accentuating the disruption in normal muscle differentiation processes during disease states.

Product protocols

For this product, it's our understanding that no specific protocols are required. You can visit:

Target data

Acts as a transcriptional activator that promotes transcription of muscle-specific target genes and plays a role in muscle differentiation, cell cycle exit and muscle atrophy. Essential for the development of functional embryonic skeletal fiber muscle differentiation. However is dispensable for postnatal skeletal muscle growth; phosphorylation by CAMK2G inhibits its transcriptional activity in respons to muscle activity. Required for the recruitment of the FACT complex to muscle-specific promoter regions, thus promoting gene expression initiation. During terminal myoblast differentiation, plays a role as a strong activator of transcription at loci with an open chromatin structure previously initiated by MYOD1. Together with MYF5 and MYOD1, co-occupies muscle-specific gene promoter core regions during myogenesis. Cooperates also with myocyte-specific enhancer factor MEF2D and BRG1-dependent recruitment of SWI/SNF chromatin-remodeling enzymes to alter chromatin structure at myogenic late gene promoters. Facilitates cell cycle exit during terminal muscle differentiation through the up-regulation of miR-20a expression, which in turn represses genes involved in cell cycle progression. Binds to the E-box containing (E1) promoter region of the miR-20a gene. Plays also a role in preventing reversal of muscle cell differentiation. Contributes to the atrophy-related gene expression in adult denervated muscles. Induces fibroblasts to differentiate into myoblasts.
See full target information Myog

Publications (2)

Recent publications for all applications. Explore the full list and refine your search

Stem cell research & therapy 16:510 PubMed41013592

2025

Culture of pluripotent stem cells in microscale droplets modulates differentiation and tissue patterning towards organoids on chip.

Applications

Unspecified application

Species

Unspecified reactive species

Nadia Vertti-Quintero,Clara Delahousse,Andrey Aristov,Tatiana Traboulsi,Jack-Christophe Cossec,Charles N Baroud,Sébastien Sart

Scientific reports 15:12719 PubMed40223147

2025

Controlled delivery of PRP from decellularized extracellular matrix enhances skeletal muscle regeneration.

Applications

Unspecified application

Species

Unspecified reactive species

Saeideh Erfanian,Farhad Mostafaei,Fatemeh Ajalloueian,Hossein Baharvand,Sarah Rajabi,Mohammad Kazemi Ashtiani
View all publications

Product promise

We are committed to supporting your work with high-quality reagents, and we're here for you every step of the way. In the unlikely event that one of our products does not perform as expected, you're protected by our Product Promise.
For full details, please see our Terms & Conditions

Please note: All products are 'FOR RESEARCH USE ONLY. NOT FOR USE IN DIAGNOSTIC OR THERAPEUTIC PROCEDURES'.

For licensing inquiries, please contact partnerships@abcam.com