JavaScript is disabled in your browser. Please enable JavaScript to view this website.
AB199017

Anti-Myogenin antibody [MGN185 + F5D]

Be the first to review this product! Submit a review

|

(3 Publications)

Mouse Multiclonal Myogenin antibody. Suitable for IHC-P and reacts with Human samples. Cited in 3 publications. Immunogen corresponding to Recombinant Fragment Protein within Human MYOG.

View Alternative Names

BHLHC3, MYF4, MYOG, Myogenin, Class C basic helix-loop-helix protein 3, Myogenic factor 4, bHLHc3, Myf-4

1 Images
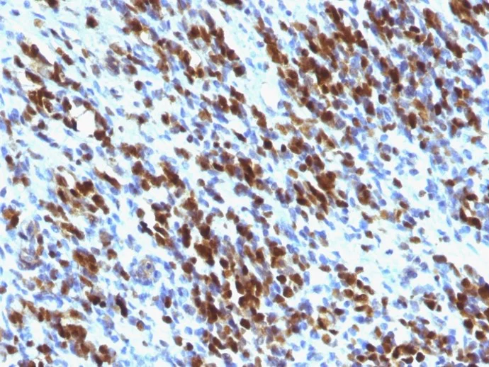
Immunohistochemistry (Formalin/PFA-fixed paraffin-embedded sections) - Anti-Myogenin antibody [MGN185 + F5D] (AB199017)
  • IHC-P

Supplier Data

Immunohistochemistry (Formalin/PFA-fixed paraffin-embedded sections) - Anti-Myogenin antibody [MGN185 + F5D] (AB199017)

Immunohistochemical analysis of formalin-fixed, paraffin-embedded human rhabdomyosarcoma labeling Myogenin with ab199017.

Key facts

Host species

Mouse

Clonality

Multiclonal

Clone number

MGN185 + F5D

Isotype

IgG1

Light chain type

kappa

Carrier free

No

Reacts with

Human

Applications

IHC-P

applications

Immunogen

The exact immunogen used to generate this antibody is proprietary information.

Recombinant Fragment Protein within Rat Myog aa 1-250. Database link P20428

Reactivity data

{ "title": "Reactivity Data", "filters": { "stats": ["", "Species", "Dilution Info", "Notes"], "tabs": { "all-applications": {"fullname" : "All Applications", "shortname": "All Applications"}, "IHCP" : {"fullname" : "Immunohistochemistry (Formalin/PFA-fixed paraffin-embedded sections)", "shortname":"IHC-P"} }, "product-promise": { "all": "all", "testedAndGuaranteed": "tested", "guaranteed": "expected", "predicted": "predicted", "notRecommended": "not-recommended" } }, "values": { "Human": { "IHCP-species-checked": "testedAndGuaranteed", "IHCP-species-dilution-info": "1-2 µg/mL", "IHCP-species-notes": "<p>Perform antigen retrieval for 45 min at 95°C followed by cooling at room temperature for 20 minutes.</p><p>Incubate with primary antibody for 30 minutes at room temperature.</p>" }, "Mouse": { "IHCP-species-checked": "predicted", "IHCP-species-dilution-info": "", "IHCP-species-notes": "" }, "Rat": { "IHCP-species-checked": "predicted", "IHCP-species-dilution-info": "", "IHCP-species-notes": "" }, "Cat": { "IHCP-species-checked": "predicted", "IHCP-species-dilution-info": "", "IHCP-species-notes": "" }, "Pig": { "IHCP-species-checked": "predicted", "IHCP-species-dilution-info": "", "IHCP-species-notes": "" } } }

Product details

What is an oligoclonal antibody?
This oligoclonal antibody is a cocktail of monoclonal antibodies that have been carefully selected. Oligoclonal antibodies have not only the specificity and batch-to-batch consistency of a monoclonal antibody, but also have the advantage of the sensitivity of a polyclonal antibody due to their ability to recognize multiple epitopes on an antigen.

Properties and storage information

Form
Liquid
Purification technique
Affinity purification Protein A/G
Purification notes
ab199017 was purified from Bioreactor Concentrate.
Storage buffer
pH: 7.2 - 7.4 Preservative: 0.05% Sodium azide Constituents: PBS, 0.05% BSA
Shipped at conditions
Blue Ice
Appropriate short-term storage duration
1-2 weeks
Appropriate short-term storage conditions
+4°C
Appropriate long-term storage conditions
-20°C
Aliquoting information
Upon delivery aliquot
Storage information
Avoid freeze / thaw cycle

Supplementary information

This supplementary information is collated from multiple sources and compiled automatically.

Myogenin also known as MYOG is a muscle-specific transcription factor that plays an important role in the regulation of muscle differentiation and development. It belongs to the MyoD family of basic helix-loop-helix proteins. Myogenin has a molecular weight of approximately 34 to 39 kDa. It is typically expressed in skeletal muscle tissues aiding in the transition from proliferating myoblasts to differentiated myotubes. Immunohistochemistry (IHC) methods often use myogenin antibodies like the 'myogenin anticuerpo' and 'F5D' to identify myogenin expression within tissue samples facilitating the understanding of muscle tissue organization and development.
Biological function summary

Myogenin functions in controlling the transcription of muscle-specific genes that are essential during myogenesis. This transcription factor forms heterodimers with E-proteins becoming part of DNA-binding complexes that activate the transcription of muscle-specific genes. Myogenin's presence is critical during muscle cell fusion and maturation signifying its importance in proper muscle tissue formation and maintenance. Myogenin staining is often used as a technique to study muscle differentiation in various experimental settings.

Pathways

Myogenin is integrated into the myogenic regulatory network where it activates genes involved in muscle fiber maturation. It participates in the MyoD regulatory pathway working alongside other myogenic regulatory factors like MyoD Myf5 and MRF4. These proteins create a coordinated network ensuring efficient muscle cell differentiation and growth. The cross-talk between myogenin and these factors highlights its role in the intricate web of gene regulation necessary for muscle development.

The altered expression or mutation of the myogenin gene has potential implications in muscular dystrophies and myopathies. For instance disruptions in myogenin activity can lead to impaired muscle repair and regeneration contributing to the pathology of conditions such as rhabdomyosarcoma. Within these contexts myogenin associates with other proteins like MyoD whose expression might also be altered further accentuating the disruption in normal muscle differentiation processes during disease states.

Product protocols

For this product, it's our understanding that no specific protocols are required. You can visit:

Target data

Acts as a transcriptional activator that promotes transcription of muscle-specific target genes and plays a role in muscle differentiation, cell cycle exit and muscle atrophy. Essential for the development of functional embryonic skeletal fiber muscle differentiation. However is dispensable for postnatal skeletal muscle growth; phosphorylation by CAMK2G inhibits its transcriptional activity in respons to muscle activity. Required for the recruitment of the FACT complex to muscle-specific promoter regions, thus promoting gene expression initiation. During terminal myoblast differentiation, plays a role as a strong activator of transcription at loci with an open chromatin structure previously initiated by MYOD1. Together with MYF5 and MYOD1, co-occupies muscle-specific gene promoter core regions during myogenesis. Cooperates also with myocyte-specific enhancer factor MEF2D and BRG1-dependent recruitment of SWI/SNF chromatin-remodeling enzymes to alter chromatin structure at myogenic late gene promoters. Facilitates cell cycle exit during terminal muscle differentiation through the up-regulation of miR-20a expression, which in turn represses genes involved in cell cycle progression. Binds to the E-box containing (E1) promoter region of the miR-20a gene. Plays also a role in preventing reversal of muscle cell differentiation. Contributes to the atrophy-related gene expression in adult denervated muscles. Induces fibroblasts to differentiate into myoblasts (By similarity).
See full target information MYOG

Publications (3)

Recent publications for all applications. Explore the full list and refine your search

BMC cancer 25:1507 PubMed41044515

2025

Effect of tumor draining lymph nodes in the formation and maturation of tertiary lymphoid structure in patients with lung adenocarcinoma.

Applications

Unspecified application

Species

Unspecified reactive species

Junxu Wen,Wenhua Yun,Xiaoyan Yin,Xiangjiao Meng

Nature protocols 15:421-449 PubMed31932771

2020

On-chip 3D neuromuscular model for drug screening and precision medicine in neuromuscular disease.

Applications

Unspecified application

Species

Unspecified reactive species

Tatsuya Osaki,Sebastien G M Uzel,Roger D Kamm

Journal of tissue engineering and regenerative medicine 12:e918-e936 PubMed28101909

2017

Efficient transdifferentiation of human dermal fibroblasts into skeletal muscle.

Applications

Unspecified application

Species

Unspecified reactive species

Selwa Mokhtar Boularaoui,Khaled M A Abdel-Raouf,Noaf Salah Ali Alwahab,Megan E Kondash,George A Truskey,Jeremy Choon Meng Teo,Nicolas Christoforou
View all publications

Product promise

We are committed to supporting your work with high-quality reagents, and we're here for you every step of the way. In the unlikely event that one of our products does not perform as expected, you're protected by our Product Promise.
For full details, please see our Terms & Conditions

Please note: All products are 'FOR RESEARCH USE ONLY. NOT FOR USE IN DIAGNOSTIC OR THERAPEUTIC PROCEDURES'.

For licensing inquiries, please contact partnerships@abcam.com