JavaScript is disabled in your browser. Please enable JavaScript to view this website.
AB231530

Anti-Myoglobin antibody

Be the first to review this product! Submit a review

|

(2 Publications)

Rabbit Polyclonal Myoglobin antibody. Suitable for WB, IHC-P and reacts with Cow samples. Cited in 2 publications. Immunogen corresponding to Recombinant Full Length Protein corresponding to Cow MB.

View Alternative Names

Myoglobin, Nitrite reductase MB, Pseudoperoxidase MB, MB

4 Images
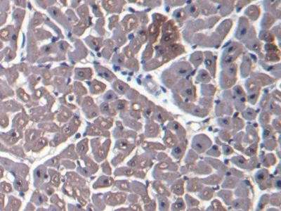
Immunohistochemistry (Formalin/PFA-fixed paraffin-embedded sections) - Anti-Myoglobin antibody (AB231530)
  • IHC-P

Supplier Data

Immunohistochemistry (Formalin/PFA-fixed paraffin-embedded sections) - Anti-Myoglobin antibody (AB231530)

Paraffin-embedded cow cardiac muscle tissue stained for Myoglobin using ab231530 at 20 μg/mL in immunohistochemical analysis. DAB staining.

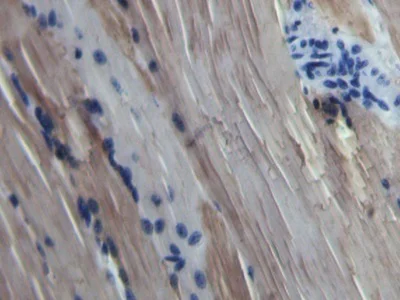
Immunohistochemistry (Formalin/PFA-fixed paraffin-embedded sections) - Anti-Myoglobin antibody (AB231530)
  • IHC-P

Supplier Data

Immunohistochemistry (Formalin/PFA-fixed paraffin-embedded sections) - Anti-Myoglobin antibody (AB231530)

Paraffin-embedded cow skeletal muscle tissue stained for Myoglobin using ab231530 at 20 μg/mL in immunohistochemical analysis. DAB staining.

Western blot - Anti-Myoglobin antibody (AB231530)
  • WB

Supplier Data

Western blot - Anti-Myoglobin antibody (AB231530)

All lanes:

Western blot - Anti-Myoglobin antibody (ab231530) at 1 µg/mL

All lanes:

Recombinant cow Myoglobin protein

Secondary

All lanes:

HRP-linked guinea pig anti-rabbit at 1/2000 dilution

Predicted band size: 17 kDa

false

Western blot - Anti-Myoglobin antibody (AB231530)
  • WB

Supplier Data

Western blot - Anti-Myoglobin antibody (AB231530)

All lanes:

Western blot - Anti-Myoglobin antibody (ab231530) at 1 µg/mL

Lane 1:

Cow heart lysate

Lane 2:

Cow skeletal muscle lysate

Secondary

All lanes:

HRP-linked guinea pig anti-rabbit at 1/2000 dilution

Predicted band size: 17 kDa,9 kDa

false

Key facts

Host species

Rabbit

Clonality

Polyclonal

Isotype

IgG

Carrier free

No

Reacts with

Cow

Applications

WB, IHC-P

applications

Immunogen

Recombinant Full Length Protein corresponding to Cow MB.

P02192

Reactivity data

{ "title": "Reactivity Data", "filters": { "stats": ["", "Species", "Dilution Info", "Notes"], "tabs": { "all-applications": {"fullname" : "All Applications", "shortname": "All Applications"}, "WB" : {"fullname" : "Western blot", "shortname":"WB"}, "IHCP" : {"fullname" : "Immunohistochemistry (Formalin/PFA-fixed paraffin-embedded sections)", "shortname":"IHC-P"} }, "product-promise": { "all": "all", "testedAndGuaranteed": "tested", "guaranteed": "expected", "predicted": "predicted", "notRecommended": "not-recommended" } }, "values": { "Cow": { "WB-species-checked": "testedAndGuaranteed", "WB-species-dilution-info": "0.5-2 µg/mL", "WB-species-notes": "<p></p>", "IHCP-species-checked": "testedAndGuaranteed", "IHCP-species-dilution-info": "5-20 µg/mL", "IHCP-species-notes": "<p></p>" }, "Goat": { "WB-species-checked": "predicted", "WB-species-dilution-info": "", "WB-species-notes": "", "IHCP-species-checked": "predicted", "IHCP-species-dilution-info": "", "IHCP-species-notes": "" }, "Sheep": { "WB-species-checked": "predicted", "WB-species-dilution-info": "", "WB-species-notes": "", "IHCP-species-checked": "predicted", "IHCP-species-dilution-info": "", "IHCP-species-notes": "" } } }

Properties and storage information

Form
Liquid
Purification technique
Affinity purification Immunogen
Purification notes
ab231530 was purified by antigen-specific affinity chromatography followed by Protein A affinity chromatography.
Storage buffer
pH: 7.4 Preservative: 0.011% Proclin 300 Constituents: PBS, 55.77% Glycerol (glycerin, glycerine)
Shipped at conditions
Blue Ice
Appropriate short-term storage duration
1-2 weeks
Appropriate short-term storage conditions
+4°C
Appropriate long-term storage conditions
-20°C
Aliquoting information
Upon delivery aliquot
Storage information
Avoid freeze / thaw cycle

Supplementary information

This supplementary information is collated from multiple sources and compiled automatically.

Myoglobin also known as MB is a small globular protein with a molecular weight of approximately 17 kDa. It functions as an oxygen-binding protein and is expressed mainly in cardiac and skeletal muscle tissue where it facilitates oxygen storage and transport. The myoglobin protein plays an important role in maintaining the oxygen supply needed during muscular contraction and intense physical activity.
Biological function summary

Myoglobin in muscle cells acts to store oxygen which provides a rapid release when required during muscle contraction. Myoglobin serves as a monomer and does not form part of a complex. Its structure allows it to temporarily store and relay oxygen where it is most required enhancing the often abrupt demands of muscles for oxygen. The ability of myoglobin to bind oxygen and release it under hypoxic conditions is central to its biological role in vertebrates.

Pathways

The function of myoglobin in aerobic respiration in muscles involves its participation in the oxygen transport pathway. This protein closely interacts with hemoglobin to mobilize oxygen effectively to mitochondria during muscle contraction. Unlike hemoglobin myoglobin has a hyperbolic oxygen dissociation curve which allows it to provide oxygen at lower partial pressures contributing significantly to the efficient metabolism during hypoxia or intense muscular exertion.

Myoglobin plays a significant role in conditions such as rhabdomyolysis and myocardial infarction. Rhabdomyolysis a syndrome caused by muscle injury results in the release of myoglobin into the bloodstream. Myoglobin detection kits including myoglobin ELISA are essential tools for the diagnosis of these conditions. Moreover its rapid increase in plasma levels after heart muscle damage enables its use as an early marker for myocardial infarction. Myoglobin's interaction with proteins like creatine kinase provides valuable information on muscle damage and cardiac events.

Product protocols

For this product, it's our understanding that no specific protocols are required. You can visit:

Target data

Monomeric heme protein which primary function is to store oxygen and facilitate its diffusion within muscle tissues. Reversibly binds oxygen through a pentacoordinated heme iron and enables its timely and efficient release as needed during periods of heightened demand. Depending on the oxidative conditions of tissues and cells, and in addition to its ability to bind oxygen, it also has a nitrite reductase activity whereby it regulates the production of bioactive nitric oxide. Under stress conditions, like hypoxia and anoxia, it also protects cells against reactive oxygen species thanks to its pseudoperoxidase activity.
See full target information MB

Publications (2)

Recent publications for all applications. Explore the full list and refine your search

The Journal of clinical investigation 131: PubMed34499625

2021

Recipient APOL1 risk alleles associate with death-censored renal allograft survival and rejection episodes.

Applications

Unspecified application

Species

Unspecified reactive species

Zhongyang Zhang,Zeguo Sun,Jia Fu,Qisheng Lin,Khadija Banu,Kinsuk Chauhan,Marina Planoutene,Chengguo Wei,Fadi Salem,Zhengzi Yi,Ruijie Liu,Paolo Cravedi,Haoxiang Cheng,Ke Hao,Philip J O'Connell,Shuta Ishibe,Weijia Zhang,Steven G Coca,Ian W Gibson,Robert B Colvin,John Cijiang He,Peter S Heeger,Barbara Murphy,Madhav C Menon

Journal of animal science 98: PubMed32171017

2020

Mitochondrial oxygen consumption in early postmortem permeabilized skeletal muscle fibers is influenced by cattle breed.

Applications

Unspecified application

Species

Unspecified reactive species

Patricia M Ramos,Chengcheng Li,Mauricio A Elzo,Stephanie E Wohlgemuth,Tracy L Scheffler
View all publications

Product promise

We are committed to supporting your work with high-quality reagents, and we're here for you every step of the way. In the unlikely event that one of our products does not perform as expected, you're protected by our Product Promise.
For full details, please see our Terms & Conditions

Please note: All products are 'FOR RESEARCH USE ONLY. NOT FOR USE IN DIAGNOSTIC OR THERAPEUTIC PROCEDURES'.

For licensing inquiries, please contact partnerships@abcam.com