JavaScript is disabled in your browser. Please enable JavaScript to view this website.
AB205618

Anti-MYOM1 antibody [EPR17322-9]

Be the first to review this product! Submit a review

|

(1 Publication)

Rabbit Recombinant Monoclonal MYOM1 antibody. Suitable for WB, IHC-P and reacts with Mouse, Rat, Human samples. Cited in 1 publication.

View Alternative Names

Myomesin-1, 190 kDa connectin-associated protein, 190 kDa titin-associated protein, Myomesin family member 1, MYOM1

7 Images
Western blot - Anti-MYOM1 antibody [EPR17322-9] (AB205618)
  • WB

Supplier Data

Western blot - Anti-MYOM1 antibody [EPR17322-9] (AB205618)

Blocking/dilution buffer : 5% NFDM/TBST.

All lanes:

Western blot - Anti-MYOM1 antibody [EPR17322-9] (ab205618) at 1/5000 dilution

Lane 1:

Mouse heart lysate at 10 µg

Lane 2:

Mouse muscle lysate at 10 µg

Secondary

All lanes:

Western blot - Goat Anti-Rabbit IgG H&L (HRP) (<a href='/en-us/products/secondary-antibodies/goat-rabbit-igg-h-l-hrp-ab97051'>ab97051</a>) at 1/100000 dilution

Predicted band size: 188 kDa

Observed band size: 188 kDa

false

Exposure time: 5s

Western blot - Anti-MYOM1 antibody [EPR17322-9] (AB205618)
  • WB

Supplier Data

Western blot - Anti-MYOM1 antibody [EPR17322-9] (AB205618)

Blocking/dilution buffer : 5% NFDM/TBST.

All lanes:

Western blot - Anti-MYOM1 antibody [EPR17322-9] (ab205618) at 1/5000 dilution

All lanes:

Human fetal heart lysate at 10 µg

Secondary

All lanes:

Anti-Rabbit IgG (HRP), specific to the non-reduced form of IgG at 1/10000 dilution

Predicted band size: 188 kDa

Observed band size: 188 kDa

false

Exposure time: 2min

Western blot - Anti-MYOM1 antibody [EPR17322-9] (AB205618)
  • WB

Supplier Data

Western blot - Anti-MYOM1 antibody [EPR17322-9] (AB205618)

Blocking/dilution buffer : 5% NFDM/TBST.

All lanes:

Western blot - Anti-MYOM1 antibody [EPR17322-9] (ab205618) at 1/5000 dilution

Lane 1:

Rat heart tissue lysate at 10 µg

Lane 2:

Rat brain tissue lysate at 10 µg

Lane 3:

Rat kidney tissue lysate at 10 µg

Lane 4:

C6 (Rat glial tumor cells) whole cell lysate at 10 µg

Lane 5:

PC-12 (Rat adrenal gland pheochromocytoma) whole cell lysate at 10 µg

Secondary

All lanes:

Goat Anti-Rabbit IgG, (H+L), Peroxidase conjugated at 1/100000 dilution

Predicted band size: 188 kDa

Observed band size: 188 kDa

false

Exposure time: 5s

Immunohistochemistry (Formalin/PFA-fixed paraffin-embedded sections) - Anti-MYOM1 antibody [EPR17322-9] (AB205618)
  • IHC-P

Supplier Data

Immunohistochemistry (Formalin/PFA-fixed paraffin-embedded sections) - Anti-MYOM1 antibody [EPR17322-9] (AB205618)

Immunohistochemical analysis of paraffin-embedded Human cardiac muscle tissue labeling MYOM1 with ab205618 at 1/50 dilution followed by Goat Anti-Rabbit IgG H&L (HRP) (ab97051) at 1/500 dilution. Cytoplasmic staining on human cardiac muscle tissue is observed. Counter stained with Hematoxylin.
Secondary antibody only control : Used PBS instead of primary ab secondary ab is Goat Anti-Rabbit IgG H&L (HRP) (ab97051).

Perform heat mediated antigen retrieval with Tris/EDTA buffer pH 9.0 before commencing with IHC staining protocol.

Immunohistochemistry (Formalin/PFA-fixed paraffin-embedded sections) - Anti-MYOM1 antibody [EPR17322-9] (AB205618)
  • IHC-P

Supplier Data

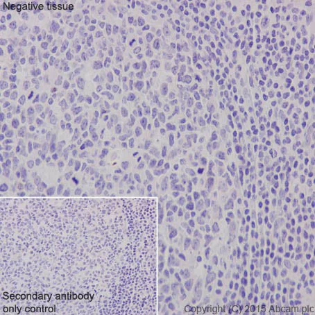
Immunohistochemistry (Formalin/PFA-fixed paraffin-embedded sections) - Anti-MYOM1 antibody [EPR17322-9] (AB205618)

Immunohistochemical analysis of paraffin-embedded human tonsil tissue labeling MYOM1 with ab205618 at 1/50 dilution followed by Goat Anti-Rabbit IgG H&L (HRP) (ab97051) at 1/500 dilution. No staining on human tonsil tissue is observed. Counter stained with Hematoxylin.
Secondary antibody only control : Used PBS instead of primary ab secondary ab is Goat Anti-Rabbit IgG H&L (HRP) (ab97051).

Perform heat mediated antigen retrieval with Tris/EDTA buffer pH 9.0 before commencing with IHC staining protocol.

Immunohistochemistry (Formalin/PFA-fixed paraffin-embedded sections) - Anti-MYOM1 antibody [EPR17322-9] (AB205618)
  • IHC-P

Supplier Data

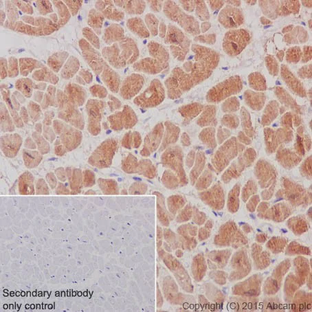
Immunohistochemistry (Formalin/PFA-fixed paraffin-embedded sections) - Anti-MYOM1 antibody [EPR17322-9] (AB205618)

Immunohistochemical analysis of paraffin-embedded mouse cardiac muscle tissue labeling MYOM1 with ab205618 at 1/50 dilution followed by Goat Anti-Rabbit IgG H&L (HRP) (ab97051) at 1/500 dilution. Cytoplasmic staining on mouse cardiac muscle tissue is observed. Counter stained with Hematoxylin.
Secondary antibody only control : Used PBS instead of primary ab secondary ab is Goat Anti-Rabbit IgG H&L (HRP) (ab97051).

Perform heat mediated antigen retrieval with Tris/EDTA buffer pH 9.0 before commencing with IHC staining protocol.

Immunohistochemistry (Formalin/PFA-fixed paraffin-embedded sections) - Anti-MYOM1 antibody [EPR17322-9] (AB205618)
  • IHC-P

Supplier Data

Immunohistochemistry (Formalin/PFA-fixed paraffin-embedded sections) - Anti-MYOM1 antibody [EPR17322-9] (AB205618)

Immunohistochemical analysis of paraffin-embedded rat skeletal muscle tissue labeling MYOM1 with ab205618 at 1/50 dilution followed by Goat Anti-Rabbit IgG H&L (HRP) (ab97051) at 1/500 dilution. Cytoplasmic staining on rat skeletal muscle tissue is observed. Counter stained with Hematoxylin.
Secondary antibody only control : Used PBS instead of primary ab secondary ab is Goat Anti-Rabbit IgG H&L (HRP) (ab97051).

Perform heat mediated antigen retrieval with Tris/EDTA buffer pH 9.0 before commencing with IHC staining protocol.

  • Carrier free

    Anti-MYOM1 antibody [EPR17322-9] - BSA and Azide free

Key facts

Host species

Rabbit

Clonality

Monoclonal

Clone number

EPR17322-9

Isotype

IgG

Carrier free

No

Reacts with

Mouse, Rat, Human

Applications

WB, IHC-P

applications

Immunogen

The exact immunogen used to generate this antibody is proprietary information.

Reactivity data

{ "title": "Reactivity Data", "filters": { "stats": ["", "Species", "Dilution Info", "Notes"], "tabs": { "all-applications": {"fullname" : "All Applications", "shortname": "All Applications"}, "WB" : {"fullname" : "Western blot", "shortname":"WB"}, "IHCP" : {"fullname" : "Immunohistochemistry (Formalin/PFA-fixed paraffin-embedded sections)", "shortname":"IHC-P"} }, "product-promise": { "all": "all", "testedAndGuaranteed": "tested", "guaranteed": "expected", "predicted": "predicted", "notRecommended": "not-recommended" } }, "values": { "Human": { "WB-species-checked": "testedAndGuaranteed", "WB-species-dilution-info": "1/5000", "WB-species-notes": "<p></p> Perform heat-mediated antigen retrieval with Tris/EDTA buffer pH 9.0 before commencing with IHC staining protocol.", "IHCP-species-checked": "testedAndGuaranteed", "IHCP-species-dilution-info": "1/50", "IHCP-species-notes": "<p></p> Perform heat-mediated antigen retrieval with Tris/EDTA buffer pH 9.0 before commencing with IHC staining protocol." }, "Mouse": { "WB-species-checked": "testedAndGuaranteed", "WB-species-dilution-info": "1/5000", "WB-species-notes": "<p></p> Perform heat-mediated antigen retrieval with Tris/EDTA buffer pH 9.0 before commencing with IHC staining protocol.", "IHCP-species-checked": "testedAndGuaranteed", "IHCP-species-dilution-info": "1/50", "IHCP-species-notes": "<p></p> Perform heat-mediated antigen retrieval with Tris/EDTA buffer pH 9.0 before commencing with IHC staining protocol." }, "Rat": { "WB-species-checked": "testedAndGuaranteed", "WB-species-dilution-info": "1/5000", "WB-species-notes": "<p></p> Perform heat-mediated antigen retrieval with Tris/EDTA buffer pH 9.0 before commencing with IHC staining protocol.", "IHCP-species-checked": "testedAndGuaranteed", "IHCP-species-dilution-info": "1/50", "IHCP-species-notes": "<p></p> Perform heat-mediated antigen retrieval with Tris/EDTA buffer pH 9.0 before commencing with IHC staining protocol." } } }

Product details

Patented technology
Our RabMAb® technology is a patented hybridoma-based technology for making rabbit monoclonal antibodies. For details on our patents, please refer to RabMAb® patents.

What are the advantages of a recombinant monoclonal antibody?
This product is a recombinant monoclonal antibody, which offers several advantages including:

  • - High batch-to-batch consistency and reproducibility
  • - Improved sensitivity and specificity
  • - Long-term security of supply
  • - Animal-free batch production

For more information, read more on recombinant antibodies.

Properties and storage information

Form
Liquid
Purification technique
Affinity purification Protein A
Storage buffer
pH: 7.2 - 7.4 Preservative: 0.01% Sodium azide Constituents: PBS, 40% Glycerol (glycerin, glycerine), 0.05% BSA
Shipped at conditions
Blue Ice
Appropriate short-term storage duration
1-2 weeks
Appropriate short-term storage conditions
+4°C
Appropriate long-term storage conditions
-20°C
Aliquoting information
Upon delivery aliquot
Storage information
Avoid freeze / thaw cycle

Supplementary information

This supplementary information is collated from multiple sources and compiled automatically.

MYOM1 also known as myomesin 1 is a protein with a molecular mass of approximately 185 kDa. It plays a mechanical role in muscle cells where it contributes to the M-band region of the sarcomere. MYOM1 is important in the structural integrity and elasticity of the myofibrils. Expression of this protein is specifically seen in cardiac and skeletal muscle tissues indicating its significance in muscle function.
Biological function summary

The function of MYOM1 involves its contribution to sarcomere organization and stability. It acts as a scaffold in the M-band where it forms complexes with other sarcomeric proteins. These complexes include titin and muscle-specific kinase 1 which help maintain sarcomere structure during muscle contraction and stretch. MYOM1's interaction with these proteins is essential for muscle elasticity and proper muscle function.

Pathways

MYOM1 operates within the muscle contraction pathway and the sarcomere organization pathway. It interacts closely with titin which is a giant protein essential for muscle elasticity and with beta-catenin a protein involved in cell signaling and cytoskeleton organization. The interaction and the pathways help maintain muscle function and structural integrity ensuring proper muscle responses to physiological demands.

MYOM1 is linked to the development of myopathies particularly myosin storage myopathy and hypertrophic cardiomyopathy. These conditions are associated with mutations or malfunctions in proteins such as titin and myosin which are part of MYOM1's network. Understanding the connection between MYOM1 and these proteins helps in unraveling the pathology of these muscle disorders presenting potential targets for therapeutic interventions.

Product protocols

For this product, it's our understanding that no specific protocols are required. You can visit:

Target data

Major component of the vertebrate myofibrillar M band. Binds myosin, titin, and light meromyosin. This binding is dose dependent.
See full target information MYOM1

Publications (1)

Recent publications for all applications. Explore the full list and refine your search

PloS one 13:e0206801 PubMed30395621

2018

Mutant myocilin impacts sarcomere ultrastructure in mouse gastrocnemius muscle.

Applications

Unspecified application

Species

Unspecified reactive species

Jeffrey M Lynch,Andrew J Dolman,Chenying Guo,Katie Dolan,Chuanxi Xiang,Samir Reda,Bing Li,Ganesh Prasanna
View all publications

Product promise

We are committed to supporting your work with high-quality reagents, and we're here for you every step of the way. In the unlikely event that one of our products does not perform as expected, you're protected by our Product Promise.
For full details, please see our Terms & Conditions

Associated Products

Select an associated product type
Alternative Product
Primary Antibodies

AB201228

Anti-MYOM1 antibody [EPR17322]

primary-antibodies

myom1-antibody-epr17322-ab201228

5

(1 reviews)

Please note: All products are 'FOR RESEARCH USE ONLY. NOT FOR USE IN DIAGNOSTIC OR THERAPEUTIC PROCEDURES'.

For licensing inquiries, please contact partnerships@abcam.com