JavaScript is disabled in your browser. Please enable JavaScript to view this website.
AB251338

Anti-MYOM1 antibody [EPR17322] - BSA and Azide free

Be the first to review this product! Submit a review

|

(1 Publication)

Rabbit Recombinant Monoclonal MYOM1 antibody. Carrier free. Suitable for WB, IHC-P and reacts with Mouse, Rat, Human samples. Cited in 1 publication.

View Alternative Names

Myomesin-1, 190 kDa connectin-associated protein, 190 kDa titin-associated protein, Myomesin family member 1, MYOM1

7 Images
Immunohistochemistry (Formalin/PFA-fixed paraffin-embedded sections) - Anti-MYOM1 antibody [EPR17322] - BSA and Azide free (AB251338)
  • IHC-P

Supplier Data

Immunohistochemistry (Formalin/PFA-fixed paraffin-embedded sections) - Anti-MYOM1 antibody [EPR17322] - BSA and Azide free (AB251338)

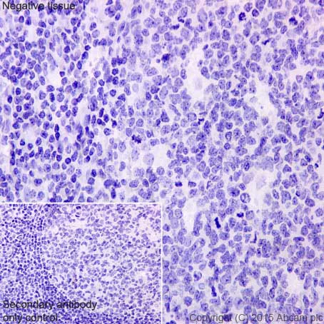
This data was developed using ab201228, the same antibody clone in a different buffer formulation.

Immunohistochemical analysis of paraffin-embedded Human tonsil tissue labeling MYOM1 with ab201228 at 1/400 dilution, followed by Goat Anti-Rabbit IgG H&L (HRP) (ab97051) secondary antibody at 1/500 dilution. Human tonsil tissue is a negative control for MYOM1. Counter stained with Hematoxylin.

Secondary antibody only control : Used PBS instead of primary antibody, secondary antibody is Goat Anti-Rabbit IgG H&L (HRP) (ab97051) at 1/500 dilution.

Perform heat mediated antigen retrieval with Tris/EDTA buffer pH 9.0 before commencing with IHC staining protocol.

Immunohistochemistry (Formalin/PFA-fixed paraffin-embedded sections) - Anti-MYOM1 antibody [EPR17322] - BSA and Azide free (AB251338)
  • IHC-P

Supplier Data

Immunohistochemistry (Formalin/PFA-fixed paraffin-embedded sections) - Anti-MYOM1 antibody [EPR17322] - BSA and Azide free (AB251338)

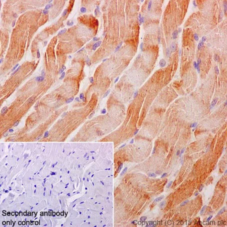
This data was developed using ab201228, the same antibody clone in a different buffer formulation.

Immunohistochemical analysis of paraffin-embedded Human skeletal muscle tissue labeling MYOM1 with ab201228 at 1/400 dilution, followed by Goat Anti-Rabbit IgG H&L (HRP) (ab97051) secondary antibody at 1/500 dilution. Cytoplasmic staining on Human skeletal muscle tissue is observed. Counter stained with Hematoxylin.

Secondary antibody only control : Used PBS instead of primary antibody, secondary antibody is Goat Anti-Rabbit IgG H&L (HRP) (ab97051) at 1/500 dilution.

Perform heat mediated antigen retrieval with Tris/EDTA buffer pH 9.0 before commencing with IHC staining protocol.

Immunohistochemistry (Formalin/PFA-fixed paraffin-embedded sections) - Anti-MYOM1 antibody [EPR17322] - BSA and Azide free (AB251338)
  • IHC-P

Supplier Data

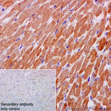
Immunohistochemistry (Formalin/PFA-fixed paraffin-embedded sections) - Anti-MYOM1 antibody [EPR17322] - BSA and Azide free (AB251338)

This data was developed using ab201228, the same antibody clone in a different buffer formulation.

Immunohistochemical analysis of paraffin-embedded Mouse skeletal muscle tissue labeling MYOM1 with ab201228 at 1/400 dilution, followed by Goat Anti-Rabbit IgG H&L (HRP) (ab97051) secondary antibody at 1/500 dilution. Cytoplasmic staining on mouse skeletal muscle tissue is observed. Counter stained with Hematoxylin.

Secondary antibody only control : Used PBS instead of primary antibody, secondary antibody is Goat Anti-Rabbit IgG H&L (HRP) (ab97051) at 1/500 dilution.

Perform heat mediated antigen retrieval with Tris/EDTA buffer pH 9.0 before commencing with IHC staining protocol.

Immunohistochemistry (Formalin/PFA-fixed paraffin-embedded sections) - Anti-MYOM1 antibody [EPR17322] - BSA and Azide free (AB251338)
  • IHC-P

Supplier Data

Immunohistochemistry (Formalin/PFA-fixed paraffin-embedded sections) - Anti-MYOM1 antibody [EPR17322] - BSA and Azide free (AB251338)

This data was developed using ab201228, the same antibody clone in a different buffer formulation.

Immunohistochemical analysis of paraffin-embedded Rat skeletal muscle tissue labeling MYOM1 with ab201228 at 1/400 dilution, followed by Goat Anti-Rabbit IgG H&L (HRP) (ab97051) secondary antibody at 1/500 dilution. Cytoplasmic staining on rat skeletal muscle tissue is observed. Counter stained with Hematoxylin.

Secondary antibody only control : Used PBS instead of primary antibody, secondary antibody is Goat Anti-Rabbit IgG H&L (HRP) (ab97051) at 1/500 dilution.

Perform heat mediated antigen retrieval with Tris/EDTA buffer pH 9.0 before commencing with IHC staining protocol.

Western blot - Anti-MYOM1 antibody [EPR17322] - BSA and Azide free (AB251338)
  • WB

Supplier Data

Western blot - Anti-MYOM1 antibody [EPR17322] - BSA and Azide free (AB251338)

This data was developed using ab201228, the same antibody clone in a different buffer formulation.

Blocking and dilution buffer : 5% NFDM/TBST.

All lanes:

Western blot - Anti-MYOM1 antibody [EPR17322] (<a href='/en-us/products/primary-antibodies/myom1-antibody-epr17322-ab201228'>ab201228</a>) at 1/20000 dilution

All lanes:

Human fetal heart tissue lysate at 10 µg

Secondary

All lanes:

Goat Anti-Rabbit IgG, (H+L), Peroxidase conjugated at 1/1000 dilution

Predicted band size: 188 kDa

Observed band size: 188 kDa

false

Exposure time: 3min

Western blot - Anti-MYOM1 antibody [EPR17322] - BSA and Azide free (AB251338)
  • WB

Supplier Data

Western blot - Anti-MYOM1 antibody [EPR17322] - BSA and Azide free (AB251338)

This data was developed using ab201228, the same antibody clone in a different buffer formulation.

Blocking and dilution buffer : 5% NFDM/TBST.

All lanes:

Western blot - Anti-MYOM1 antibody [EPR17322] (<a href='/en-us/products/primary-antibodies/myom1-antibody-epr17322-ab201228'>ab201228</a>) at 1/20000 dilution

Lane 1:

Mouse heart lysate at 20 µg

Lane 2:

Mouse muscle lysate at 20 µg

Secondary

All lanes:

Goat Anti-Rabbit IgG, (H+L), Peroxidase conjugated at 1/1000 dilution

Predicted band size: 188 kDa

Observed band size: 188 kDa

false

Exposure time: 1min

Western blot - Anti-MYOM1 antibody [EPR17322] - BSA and Azide free (AB251338)
  • WB

Supplier Data

Western blot - Anti-MYOM1 antibody [EPR17322] - BSA and Azide free (AB251338)

This data was developed using ab201228, the same antibody clone in a different buffer formulation.

Blocking and dilution buffer : 5% NFDM/TBST.

All lanes:

Western blot - Anti-MYOM1 antibody [EPR17322] (<a href='/en-us/products/primary-antibodies/myom1-antibody-epr17322-ab201228'>ab201228</a>) at 1/20000 dilution

Lane 1:

Rat heart lysate at 20 µg

Lane 2:

Rat brain lysate at 20 µg

Lane 3:

Rat kidney lysate at 20 µg

Lane 4:

C6 (Rat glial tumor cells) whole cell lysate at 20 µg

Lane 5:

PC-12 (Rat adrenal gland pheochromocytoma) whole cell lysate at 20 µg

Secondary

All lanes:

Goat Anti-Rabbit IgG, (H+L), Peroxidase conjugated at 1/1000 dilution

Predicted band size: 188 kDa

Observed band size: 188 kDa

false

Exposure time: 15s

Key facts

Host species

Rabbit

Clonality

Monoclonal

Clone number

EPR17322

Isotype

IgG

Carrier free

Yes

Reacts with

Mouse, Rat, Human

Applications

WB, IHC-P

applications

Immunogen

The exact immunogen used to generate this antibody is proprietary information.

Reactivity data

{ "title": "Reactivity Data", "filters": { "stats": ["", "Species", "Dilution Info", "Notes"], "tabs": { "all-applications": {"fullname" : "All Applications", "shortname": "All Applications"}, "WB" : {"fullname" : "Western blot", "shortname":"WB"}, "IHCP" : {"fullname" : "Immunohistochemistry (Formalin/PFA-fixed paraffin-embedded sections)", "shortname":"IHC-P"} }, "product-promise": { "all": "all", "testedAndGuaranteed": "tested", "guaranteed": "expected", "predicted": "predicted", "notRecommended": "not-recommended" } }, "values": { "Human": { "WB-species-checked": "testedAndGuaranteed", "WB-species-dilution-info": "", "WB-species-notes": "<p></p>", "IHCP-species-checked": "testedAndGuaranteed", "IHCP-species-dilution-info": "", "IHCP-species-notes": "<p></p>" }, "Mouse": { "WB-species-checked": "testedAndGuaranteed", "WB-species-dilution-info": "", "WB-species-notes": "<p></p>", "IHCP-species-checked": "testedAndGuaranteed", "IHCP-species-dilution-info": "", "IHCP-species-notes": "<p></p>" }, "Rat": { "WB-species-checked": "testedAndGuaranteed", "WB-species-dilution-info": "", "WB-species-notes": "<p></p>", "IHCP-species-checked": "testedAndGuaranteed", "IHCP-species-dilution-info": "", "IHCP-species-notes": "<p></p>" } } }

Product details

ab251338 is the carrier-free version of ab201228.

Patented technology
Our RabMAb® technology is a patented hybridoma-based technology for making rabbit monoclonal antibodies. For details on our patents, please refer to RabMAb® patents.

What are the advantages of a recombinant monoclonal antibody?
This product is a recombinant monoclonal antibody, which offers several advantages including:

  • - High batch-to-batch consistency and reproducibility
  • - Improved sensitivity and specificity
  • - Long-term security of supply
  • - Animal-free batch production

For more information, read more on recombinant antibodies.

Conjugation ready
Our carrier-free antibodies are typically supplied in a PBS-only formulation, purified and free of BSA, sodium azide and glycerol. This conjugation-ready format is designed for use with fluorochromes, metal isotopes, oligonucleotides, and enzymes, which makes them ideal for antibody labelling, functional and cell-based assays, flow-based assays (e.g. mass cytometry) and Multiplex Imaging applications.

Use our conjugation kits for antibody conjugates that are ready-to-use in as little as 20 minutes with 1 minute hands-on-time and 100% antibody recovery: available for fluorescent dyes, HRP, biotin and gold.

Compatibility
This product is compatible with the Maxpar® Antibody Labeling Kit from Fluidigm, without the need for antibody preparation. Maxpar® is a trademark of Fluidigm Canada Inc.

Properties and storage information

Form
Liquid
Storage buffer
pH: 7.2 - 7.4 Constituents: PBS
Shipped at conditions
Blue Ice
Appropriate short-term storage conditions
+4°C
Appropriate long-term storage conditions
+4°C
Storage information
Do Not Freeze

Supplementary information

This supplementary information is collated from multiple sources and compiled automatically.

MYOM1 also known as myomesin 1 is a protein with a molecular mass of approximately 185 kDa. It plays a mechanical role in muscle cells where it contributes to the M-band region of the sarcomere. MYOM1 is important in the structural integrity and elasticity of the myofibrils. Expression of this protein is specifically seen in cardiac and skeletal muscle tissues indicating its significance in muscle function.
Biological function summary

The function of MYOM1 involves its contribution to sarcomere organization and stability. It acts as a scaffold in the M-band where it forms complexes with other sarcomeric proteins. These complexes include titin and muscle-specific kinase 1 which help maintain sarcomere structure during muscle contraction and stretch. MYOM1's interaction with these proteins is essential for muscle elasticity and proper muscle function.

Pathways

MYOM1 operates within the muscle contraction pathway and the sarcomere organization pathway. It interacts closely with titin which is a giant protein essential for muscle elasticity and with beta-catenin a protein involved in cell signaling and cytoskeleton organization. The interaction and the pathways help maintain muscle function and structural integrity ensuring proper muscle responses to physiological demands.

MYOM1 is linked to the development of myopathies particularly myosin storage myopathy and hypertrophic cardiomyopathy. These conditions are associated with mutations or malfunctions in proteins such as titin and myosin which are part of MYOM1's network. Understanding the connection between MYOM1 and these proteins helps in unraveling the pathology of these muscle disorders presenting potential targets for therapeutic interventions.

Product protocols

For this product, it's our understanding that no specific protocols are required. You can visit:

Target data

Major component of the vertebrate myofibrillar M band. Binds myosin, titin, and light meromyosin. This binding is dose dependent.
See full target information MYOM1

Publications (1)

Recent publications for all applications. Explore the full list and refine your search

Journal of nanobiotechnology 22:800 PubMed39731111

2024

Role of PCBP2 in regulating nanovesicles loaded with curcumin to mitigate neuroferroptosis in neural damage caused by heat stroke.

Applications

Unspecified application

Species

Unspecified reactive species

Fei Guo,Yizhan Wu,Guangjun Wang,Jiangwei Liu
View all publications

Product promise

We are committed to supporting your work with high-quality reagents, and we're here for you every step of the way. In the unlikely event that one of our products does not perform as expected, you're protected by our Product Promise.
For full details, please see our Terms & Conditions

Please note: All products are 'FOR RESEARCH USE ONLY. NOT FOR USE IN DIAGNOSTIC OR THERAPEUTIC PROCEDURES'.

For licensing inquiries, please contact partnerships@abcam.com