JavaScript is disabled in your browser. Please enable JavaScript to view this website.
AB37484

Anti-Myosin heavy chain antibody [A4.1025]

Be the first to review this product! Submit a review

|

(20 Publications)

Anti-Myosin heavy chain antibody [A4.1025] (ab37484) is a mouse monoclonal antibody detecting myosin heavy chains 1,2,3,4,5,6,7 and 8 in Western Blot, IHC-P, IHC-Fr, ICC/IF. Suitable for Human, Mouse, Rat.

- Trusted since 2006

View Alternative Names

Myosin-1, Myosin heavy chain 1, Myosin heavy chain 2x, Myosin heavy chain IIx/d, MyHC-2x, MyHC-IIx/d, MYH1

10 Images
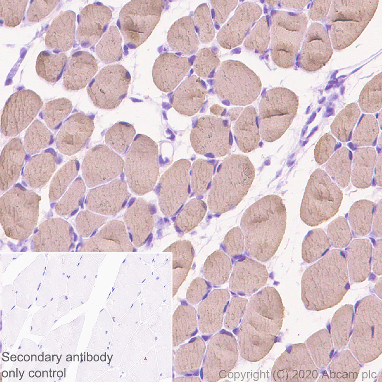
Immunohistochemistry (Formalin/PFA-fixed paraffin-embedded sections) - Anti-Myosin heavy chain antibody [A4.1025] (AB37484)
  • IHC-P

Unknown

Immunohistochemistry (Formalin/PFA-fixed paraffin-embedded sections) - Anti-Myosin heavy chain antibody [A4.1025] (AB37484)

Immunohistochemical analysis of paraffin-embedded human skeletal muscle tissue labeling Myosin (MYH1/2) with ab37484 at 0.807 μg/ml, followed by ready to use Goat Anti-mouse IgG H&L (HRP polymer) (ab214879). Cytoplasmic staining on human skeletal muscle. The section was incubated with ab37484 for 30 mins at room temperature. The immunostaining was performed on a Leica Biosystems BOND® RX instrument. Counterstained with Hematoxylin.

Secondary antibody only control : Secondary antibody is ready to use Goat Anti-mouse IgG H&L (HRP polymer) (ab214879).

Heat mediated antigen retrieval with Tris-EDTA buffer (pH 9.0, epitope retrieval solution2) for 20 mins.

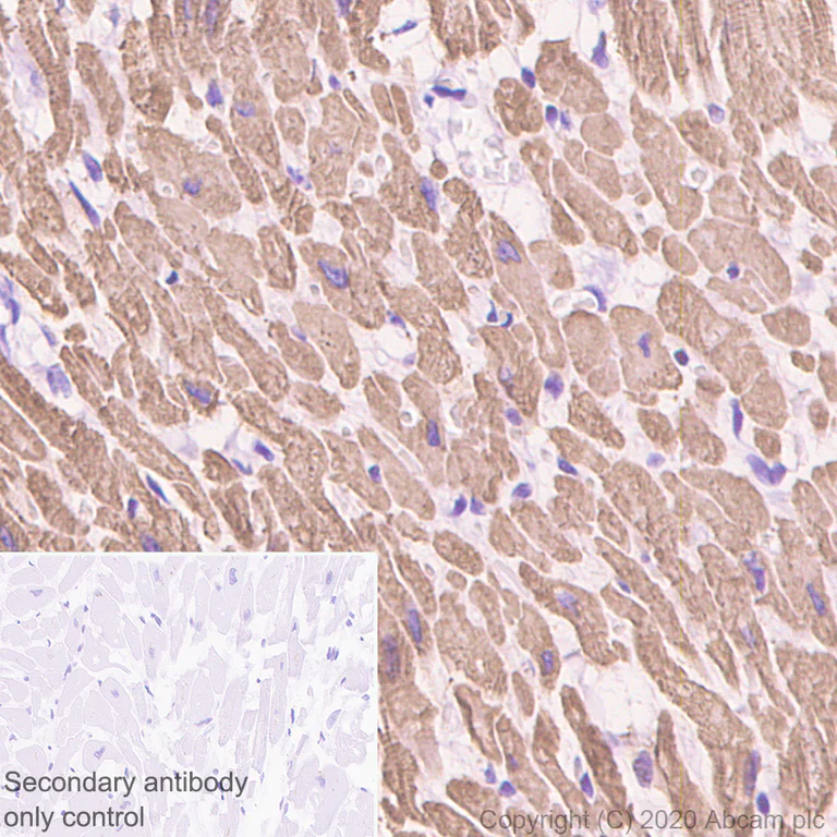
Immunohistochemistry (Formalin/PFA-fixed paraffin-embedded sections) - Anti-Myosin heavy chain antibody [A4.1025] (AB37484)
  • IHC-P

Unknown

Immunohistochemistry (Formalin/PFA-fixed paraffin-embedded sections) - Anti-Myosin heavy chain antibody [A4.1025] (AB37484)

Immunohistochemical analysis of paraffin-embedded human cardiac muscle tissue labeling Myosin (MYH1/2) with ab37484 at 0.807 μg/ml, followed by ready to use Goat Anti-mouse IgG H&L (HRP polymer) (ab214879). Cytoplasmic staining on human cardiac muscle. The section was incubated with ab37484 for 30 mins at room temperature. The immunostaining was performed on a Leica Biosystems BOND® RX instrument. Counterstained with Hematoxylin.

Secondary antibody only control : Secondary antibody is ready to use Goat Anti-mouse IgG H&L (HRP polymer) (ab214879).

Heat mediated antigen retrieval with Tris-EDTA buffer (pH 9.0, epitope retrieval solution2) for 20 mins.

Immunocytochemistry/ Immunofluorescence - Anti-Myosin heavy chain antibody [A4.1025] (AB37484)
  • ICC/IF

Unknown

Immunocytochemistry/ Immunofluorescence - Anti-Myosin heavy chain antibody [A4.1025] (AB37484)

Immunofluorescent analysis of 4% Paraformaldehyde-fixed, 0.1% Triton X-100 permeabilized C2C12 cells labelling Myosin (MYH1/2) with ab37484 at 3.228 μg/ml, followed by ab150113 Goat Anti-mouse IgG H&L (Alexa Fluor® 488) antibody at 1/1000 dilution (2μg/ml) (Green). Confocal image showing cytoplasmic staining in differentiated (treated) C2C12 cells. ab179513 Anti-beta Tubulin rabbit monoclonal antibody was used to counterstain tubulin at 1/200 dilution (2.5μg/ml), followed by ab150080 Goat Anti-Rabbit IgG H&L (Alexa Fluor® 594) at a 1/500 dilution (4μg/ml) (Red). The nuclear counterstain was DAPI (Blue).

Secondary antibody only control : ab150113 Goat Anti-mouse IgG H&L (Alexa Fluor® 488) antibody at 1/1000 dilution (2μg/ml).

Immunohistochemistry (Formalin/PFA-fixed paraffin-embedded sections) - Anti-Myosin heavy chain antibody [A4.1025] (AB37484)
  • IHC-P

Unknown

Immunohistochemistry (Formalin/PFA-fixed paraffin-embedded sections) - Anti-Myosin heavy chain antibody [A4.1025] (AB37484)

Immunohistochemical analysis of paraffin-embedded rat skeletal muscle tissue labeling Myosin (MYH1/2) with ab37484 at 0.807 μg/ml, followed by ready to use Goat Anti-mouse IgG H&L (HRP polymer) (ab214879). Cytoplasmic staining on rat skeletal muscle. The section was incubated with ab37484 for 30 mins at room temperature. The immunostaining was performed on a Leica Biosystems BOND® RX instrument. Counterstained with Hematoxylin.

Secondary antibody only control : Secondary antibody is ready to use Goat Anti-mouse IgG H&L (HRP polymer) (ab214879).

Heat mediated antigen retrieval with Tris-EDTA buffer (pH 9.0, epitope retrieval solution2) for 20 mins.

Immunohistochemistry (Formalin/PFA-fixed paraffin-embedded sections) - Anti-Myosin heavy chain antibody [A4.1025] (AB37484)
  • IHC-P

Unknown

Immunohistochemistry (Formalin/PFA-fixed paraffin-embedded sections) - Anti-Myosin heavy chain antibody [A4.1025] (AB37484)

Immunohistochemical analysis of paraffin-embedded mouse skeletal muscle tissue labeling Myosin (MYH1/2) with ab37484 at 0.807 μg/ml, followed by ready to use Goat Anti-mouse IgG H&L (HRP polymer) (ab214879). Cytoplasmic staining on mouse skeletal muscle. The section was incubated with ab37484 for 30 mins at room temperature. The immunostaining was performed on a Leica Biosystems BOND® RX instrument. Counterstained with Hematoxylin.

Secondary antibody only control : Secondary antibody is ready to use Goat Anti-mouse IgG H&L (HRP polymer) (ab214879).

Heat mediated antigen retrieval with Tris-EDTA buffer (pH 9.0, epitope retrieval solution2) for 20 mins.

Immunohistochemistry (Frozen sections) - Anti-Myosin heavy chain antibody [A4.1025] (AB37484)
  • IHC-Fr

Unknown

Immunohistochemistry (Frozen sections) - Anti-Myosin heavy chain antibody [A4.1025] (AB37484)

Immunohistochemical analysis of 4% PFA-fixed, 0.2% Triton X-100 permeabilized frozen rat skeletal muscle tissue labeling Myosin (MYH1/2) with ab37484 at 16.14 μg/ml followed by ab150113 Goat Anti-mouse IgG H&L (Alexa Fluor® 488) at 1/1000 dilution (Green). Positive staining on rat skeletal muscle is observed. The nuclear counterstain was DAPI (Blue).

Secondary antibody control : Secondary antibody is ab150113 Goat Anti-mouse IgG H&L (Alexa Fluor® 488) at 1/1000 dilution.

Heat mediated antigen retrieval using sodium citrate buffer (10mM citrate pH 6.0 + 0.05% Tween-20).

Immunohistochemistry (Frozen sections) - Anti-Myosin heavy chain antibody [A4.1025] (AB37484)
  • IHC-Fr

Unknown

Immunohistochemistry (Frozen sections) - Anti-Myosin heavy chain antibody [A4.1025] (AB37484)

Immunohistochemical analysis of 4% PFA-fixed, 0.2% Triton X-100 permeabilized frozen mouse skeletal muscle tissue labeling Myosin (MYH1/2) with ab37484 at 16.14 μg/ml followed by ab150113 Goat Anti-mouse IgG H&L (Alexa Fluor® 488) at 1/1000 dilution (Green). Positive staining on mouse skeletal muscle is observed. The nuclear counterstain was DAPI (Blue).

Secondary antibody control : Secondary antibody is ab150113 Goat Anti-mouse IgG H&L (Alexa Fluor® 488) at 1/1000 dilution.

Heat mediated antigen retrieval using sodium citrate buffer (10mM citrate pH 6.0 + 0.05% Tween-20).

Western blot - Anti-Myosin heavy chain antibody [A4.1025] (AB37484)
  • WB

Lab

Western blot - Anti-Myosin heavy chain antibody [A4.1025] (AB37484)

The extra bands under 223KDa were mainly caused by degradation (PMID : 3295257).

Blocking/Dilution buffer : 5% NFDM/TBST.

All lanes:

Western blot - Anti-Myosin heavy chain antibody [A4.1025] (ab37484) at 0.1614 µg/mL

All lanes:

Human skeletal muscle tissue lysate at 20 µg

Secondary

All lanes:

Peroxidase-Conjugated Goat anti-Mouse IgG (H+L) at 1/10000 dilution

Predicted band size: 223 kDa

Observed band size: 223 kDa

false

Exposure time: 3s

Western blot - Anti-Myosin heavy chain antibody [A4.1025] (AB37484)
  • WB

Lab

Western blot - Anti-Myosin heavy chain antibody [A4.1025] (AB37484)

The expression profile observed is consistent with what has been described in the literature (PMID : 26010876).

Blocking/Dilution buffer : 5% NFDM/TBST.

All lanes:

Western blot - Anti-Myosin heavy chain antibody [A4.1025] (ab37484) at 0.807 µg/mL

Lane 1:

C2C12 (mouse myoblasts) whole cell lysate at 20 µg

Lane 2:

Differentiated C2C12 whole cell lysate at 20 µg

Secondary

All lanes:

Peroxidase-Conjugated Goat anti-Mouse IgG (H+L) at 1/10000 dilution

Predicted band size: 223 kDa

Observed band size: 223 kDa

false

Exposure time: 3s

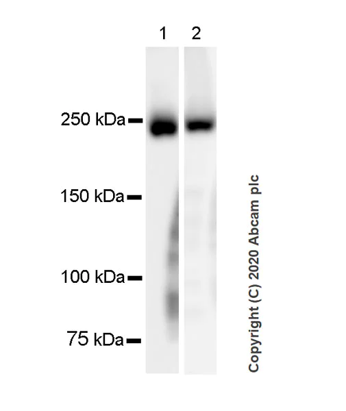
Western blot - Anti-Myosin heavy chain antibody [A4.1025] (AB37484)
  • WB

Lab

Western blot - Anti-Myosin heavy chain antibody [A4.1025] (AB37484)

Exposure times : Lane 1 : 3 secs; Lane 2 : 1 sec.

Blocking/Dilution buffer : 5% NFDM/TBST.

All lanes:

Western blot - Anti-Myosin heavy chain antibody [A4.1025] (ab37484) at 0.807 µg/mL

Lane 1:

Mouse skeletal muscle tissue lysate at 20 µg

Lane 2:

Rat skeletal muscle tissue lysate at 20 µg

Secondary

All lanes:

Peroxidase-Conjugated Goat anti-Mouse IgG (H+L) at 1/10000 dilution

Predicted band size: 223 kDa

Observed band size: 223 kDa

false

  • Carrier free

    Anti-Myosin heavy chain antibody [A4.1025] - BSA and Azide free

  • 519 Alexa Fluor® 488

    Alexa Fluor® 488 Anti-Myosin heavy chain antibody [A4.1025]

  • 665 Alexa Fluor® 647

    Alexa Fluor® 647 Anti-Myosin heavy chain antibody [A4.1025]

  • HRP

    HRP Anti-Myosin antibody [A4.1025]

Key facts

Host species

Mouse

Clonality

Monoclonal

Clone number

A4.1025

Isotype

IgG2a

Carrier free

No

Reacts with

Mouse, Rat, Human

Applications

WB, ICC/IF, IHC-P, IHC-Fr

applications

Immunogen

The exact immunogen used to generate this antibody is proprietary information.

Specificity

ATP binding loop of myosin heavy chain skeletal and cardiac muscle.

Reactivity data

{ "title": "Reactivity Data", "filters": { "stats": ["", "Species", "Dilution Info", "Notes"], "tabs": { "all-applications": {"fullname" : "All Applications", "shortname": "All Applications"}, "ICCIF" : {"fullname" : "Immunocytochemistry/ Immunofluorescence", "shortname":"ICC/IF"}, "WB" : {"fullname" : "Western blot", "shortname":"WB"}, "IHCFr" : {"fullname" : "Immunohistochemistry (Frozen sections)", "shortname":"IHC-Fr"}, "IHCP" : {"fullname" : "Immunohistochemistry (Formalin/PFA-fixed paraffin-embedded sections)", "shortname":"IHC-P"} }, "product-promise": { "all": "all", "testedAndGuaranteed": "tested", "guaranteed": "expected", "predicted": "predicted", "notRecommended": "not-recommended" } }, "values": { "Human": { "ICCIF-species-checked": "guaranteed", "ICCIF-species-dilution-info": "", "ICCIF-species-notes": "", "WB-species-checked": "testedAndGuaranteed", "WB-species-dilution-info": "0.1614-0.807 µg/mL", "WB-species-notes": "<p></p>", "IHCFr-species-checked": "guaranteed", "IHCFr-species-dilution-info": "", "IHCFr-species-notes": "", "IHCP-species-checked": "testedAndGuaranteed", "IHCP-species-dilution-info": "0.807 µg/mL", "IHCP-species-notes": "<p></p> Perform heat-mediated antigen retrieval with Tris/EDTA buffer pH 9.0 before commencing with IHC staining protocol." }, "Mouse": { "ICCIF-species-checked": "testedAndGuaranteed", "ICCIF-species-dilution-info": "3.228 µg/mL", "ICCIF-species-notes": "<p></p>", "WB-species-checked": "testedAndGuaranteed", "WB-species-dilution-info": "0.1614-0.807 µg/mL", "WB-species-notes": "<p></p>", "IHCFr-species-checked": "testedAndGuaranteed", "IHCFr-species-dilution-info": "16.14 µg/mL", "IHCFr-species-notes": "<p>Heat mediated antigen retrieval using sodium citrate buffer (10mM citrate pH 6.0 + 0.05% Tween-20).</p>", "IHCP-species-checked": "testedAndGuaranteed", "IHCP-species-dilution-info": "0.807 µg/mL", "IHCP-species-notes": "<p></p> Perform heat-mediated antigen retrieval with Tris/EDTA buffer pH 9.0 before commencing with IHC staining protocol." }, "Rat": { "ICCIF-species-checked": "guaranteed", "ICCIF-species-dilution-info": "", "ICCIF-species-notes": "", "WB-species-checked": "testedAndGuaranteed", "WB-species-dilution-info": "0.1614-0.807 µg/mL", "WB-species-notes": "<p></p>", "IHCFr-species-checked": "testedAndGuaranteed", "IHCFr-species-dilution-info": "16.14 µg/mL", "IHCFr-species-notes": "<p>Heat mediated antigen retrieval using sodium citrate buffer (10mM citrate pH 6.0 + 0.05% Tween-20).</p>", "IHCP-species-checked": "testedAndGuaranteed", "IHCP-species-dilution-info": "0.807 µg/mL", "IHCP-species-notes": "<p></p> Perform heat-mediated antigen retrieval with Tris/EDTA buffer pH 9.0 before commencing with IHC staining protocol." } } }

Product details

Product Specifications
Anti-Myosin (MYH 1/2) antibody [A4.1025] (ab37484) is a mouse recombinant monoclonal antibody and is validated for use in ICC/IF, IHC-Fr, IHC-P, WB in human, mouse, rat samples.
Anti-Myosin (MYH 1/2) antibody [A4.1025] (ab37484) specifically detects Myosin (UniProt ID: P12882; Molecular weight: 223kDa) and is sold in 100 µg and 1 mg selling sizes.

Quality and Validation
Abcam's high quality manufacturing and validation processes ensure Anti-Myosin (MYH 1/2) antibody [A4.1025] (ab37484) has high sensitivity and specificity alongside high lot-to-lot consistency and reproducibility.

Related Products
Antibody clone A4.1025 is also available pre-conjugated to a variety of labels for your convenience - Alexa Fluor® 488, Alexa Fluor® 647 (ab315962, ab315963).

What are the advantages of a recombinant monoclonal antibody?
This product is a recombinant monoclonal antibody, which offers several advantages including:

  • - High batch-to-batch consistency and reproducibility
  • - Improved sensitivity and specificity
  • - Long-term security of supply
  • - Animal-free batch production

For more information, read more on recombinant antibodies.

Want a custom formulation?
This antibody clone is manufactured by Abcam. If you require a custom buffer formulation or conjugation for your experiments, please contact orders@abcam.com

Properties and storage information

Form
Liquid
Purification technique
Affinity purification Protein A
Storage buffer
pH: 7.2 - 7.4 Preservative: 0.01% Sodium azide Constituents: PBS, 40% Glycerol (glycerin, glycerine), 0.05% BSA
Shipped at conditions
Blue Ice
Appropriate short-term storage duration
1-2 weeks
Appropriate short-term storage conditions
+4°C
Appropriate long-term storage conditions
-20°C
Aliquoting information
Upon delivery aliquot
Storage information
Avoid freeze / thaw cycle

Supplementary information

This supplementary information is collated from multiple sources and compiled automatically.

Myosin is a molecular motor protein responsible for converting chemical energy into mechanical force facilitating muscle contraction and cellular movement. Also known as the myosin heavy chain (MHC) or MYH myosin has a commonly referenced heavy chain Myosin heavy chain 1 (MYH1) with a molecular mass of roughly 200 kDa. Myosin is broadly expressed in muscle tissues including skeletal cardiac and smooth muscles and appears in various isoforms depending on the specific type of muscle tissue.
Biological function summary

Myosin interacts intricately with actin filaments to form a complex that executes muscle contraction and cell motility. Myosin heads bind to actin filaments employing ATP hydrolysis to generate motion. This protein is a fundamental component of the sarcomere the structural unit of muscle fibers and works in concert with other proteins like tropomyosin and troponin to regulate muscle contraction.

Pathways

Myosin has a significant role in the muscle contraction and cell motility pathways. Myosin and actin interaction is central to the sliding filament theory which is an essential part of the muscle contraction pathway. Myosin is also involved in non-muscle cell movement through the actin-myosin contractile ring in the process of cytokinesis. Myosin interacts with proteins such as actin and ATP in these pathways to facilitate cellular processes.

Myosin has connections to conditions like hypertrophic cardiomyopathy and various myopathies. Mutations in the myosin heavy chain can lead to hypertrophic cardiomyopathy affecting the heart's ability to pump blood effectively. Additionally disruptions in myosin function can contribute to muscular diseases impairing muscle strength and function. Myosin's interaction with actin and related sarcomeric proteins is pivotal in these pathological scenarios often resulting in altered muscle dynamics and associated clinical manifestations.

Product protocols

For this product, it's our understanding that no specific protocols are required. You can visit:

Target data

Muscle contraction.
See full target information MYH1

Additional targets

MYH2

Publications (20)

Recent publications for all applications. Explore the full list and refine your search

Nature communications 16:8404 PubMed40998795

2025

Injectable therapeutic system incorporating neurogenesis-programmed stem cells concomitantly promoting muscle regeneration treats stress urinary incontinence.

Applications

Unspecified application

Species

Unspecified reactive species

Wenzhuo Fang,Xuan Du,Ranxing Yang,Meng Liu,Ming Yang,Yangwang Jin,Guo Gao,Qiang Fu,Ying Wang

Histology and histopathology :18991 PubMed40985203

2025

Asiatic acid alleviates dexamethasone-induced muscle atrophy through regulating the Sirt1/PGC-1α/FOXO3 pathway.

Applications

Unspecified application

Species

Unspecified reactive species

Dongfang Ji,Mingxin Cui,Chao Tian,Kaili Chen,Jing Shao

Bioactive materials 54:466-491 PubMed40918736

2025

Bifunctional adECM bioscaffold with STIM1-ASCs and IGF-2 promotes functional masseter VML repair via myogenesis and fibrosis suppression.

Applications

Unspecified application

Species

Unspecified reactive species

Wei Liang,Rigele Ao,Mengli Xu,Mengying Jin,Meng Han,Zimo Wang,Wanwen Dang,Hongxu Wu,Weibo Lin,Yonghuan Zhen,Tao Xu,Yang An

Scientific reports 15:22207 PubMed40593088

2025

Homocysteine promotes cardiomyocyte hypertrophy through inhibiting β-catenin/ FUNDC1 mediated mitophagy.

Applications

Unspecified application

Species

Unspecified reactive species

Yanping Lei,Hengjing Hu,Huifang Tang,Hui Sun,Rui Liu,Yue Zhao

Nature communications 16:5448 PubMed40593535

2025

Epitenon-derived progenitors drive fibrosis and regeneration after flexor tendon injury in a spatially-dependent manner.

Applications

Unspecified application

Species

Unspecified reactive species

Anne E C Nichols,Lauren Benoodt,Emmanuella Adjei-Sowah,Kyle Jerreld,Alexander Kollar,Constantinos Ketonis,Alayna E Loiselle

BMC oral health 25:678 PubMed40316997

2025

Macrophage is crucial for tongue development by regulating myogenesis and vascularization.

Applications

Unspecified application

Species

Unspecified reactive species

Ziyao Wang,Mengqiao Wang,Jiani Liu,Delu Zhao,Jixiao Wang,Fulan Wei

Stem cell research & therapy 16:104 PubMed40025535

2025

The role of oxidative stress-mediated fibro-adipogenic progenitor senescence in skeletal muscle regeneration and repair.

Applications

Unspecified application

Species

Unspecified reactive species

Yuqing Yao,Yusheng Luo,Xiaomei Liang,Li Zhong,Yannan Wang,Zhengchao Hong,Chao Song,Zeyu Xu,Jiancheng Wang,Miao Zhang

The Journal of biological chemistry 301:108364 PubMed40023397

2025

O-GlcNAcylation modification of MyoD regulates skeletal muscle fiber differentiation by antagonizing the UPF1 pathway.

Applications

Unspecified application

Species

Unspecified reactive species

Lele Kou,Meng Zhang,Xiaoshuang Li,Ziyang Zhang,Wenjin Guo,Boxi Zhang,Peisong Yang,Yuxin Xia,Huijie Wang,Bin Xu,Shize Li

Journal of cachexia, sarcopenia and muscle 16:e13649 PubMed39602084

2024

The Stimulator of Interferon Genes Deficiency Attenuates Diabetic Myopathy Through Inhibiting NLRP3-Mediated Pyroptosis.

Applications

Unspecified application

Species

Unspecified reactive species

Jingjuan Yang,Mengqiong Wang,Lingling Shi,Xin Fang,Cui Gao,Lin Ma,Yongfei Wang,Songmin Ying,Yi Yang

Korean circulation journal 54:172-186 PubMed38654563

2024

Dronedarone Attenuates Ang II-Induced Myocardial Hypertrophy Through Regulating SIRT1/FOXO3/PKIA Axis.

Applications

Unspecified application

Species

Unspecified reactive species

Cheng Chen,Song Hu,Heng-Jing Hu,Zhi-Xuan Liu,Xin-Teng Wu,Tao Zou,Hua Su
View all publications

Product promise

We are committed to supporting your work with high-quality reagents, and we're here for you every step of the way. In the unlikely event that one of our products does not perform as expected, you're protected by our Product Promise.
For full details, please see our Terms & Conditions

Please note: All products are 'FOR RESEARCH USE ONLY. NOT FOR USE IN DIAGNOSTIC OR THERAPEUTIC PROCEDURES'.

For licensing inquiries, please contact partnerships@abcam.com