JavaScript is disabled in your browser. Please enable JavaScript to view this website.
AB264490

Anti-Myosin heavy chain antibody [A4.1025] - BSA and Azide free

Be the first to review this product! Submit a review

|

(2 Publications)

Anti-Myosin heavy chain antibody [A4.1025] (ab264490) is a mouse monoclonal antibody detecting myosin heavy chains 1,2,3,4,5,6,7 and 8 in Western Blot, IHC-P, IHC-Fr, ICC/IF. Suitable for Human, Mouse, Rat.

View Alternative Names

Myosin-1, Myosin heavy chain 1, Myosin heavy chain 2x, Myosin heavy chain IIx/d, MyHC-2x, MyHC-IIx/d, MYH1, MYHSA2, MYH2, Myosin-2, Myosin heavy chain 2, Myosin heavy chain 2a, Myosin heavy chain IIa, MyHC-2a, MyHC-IIa

10 Images
Immunohistochemistry (Formalin/PFA-fixed paraffin-embedded sections) - Anti-Myosin heavy chain antibody [A4.1025] - BSA and Azide free (AB264490)
  • IHC-P

Unknown

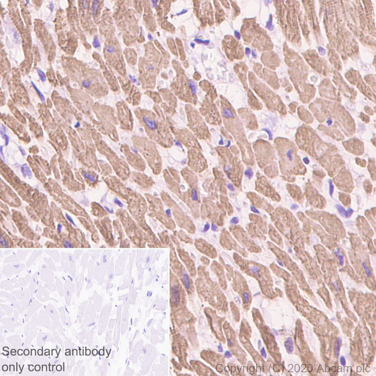
Immunohistochemistry (Formalin/PFA-fixed paraffin-embedded sections) - Anti-Myosin heavy chain antibody [A4.1025] - BSA and Azide free (AB264490)

Immunohistochemical analysis of paraffin-embedded human skeletal muscle tissue labeling Myosin (MYH1/2) with ab37484 at 0.807 μg/ml, followed by ready to use Goat Anti-mouse IgG H&L (HRP polymer) (ab214879). Cytoplasmic staining on human skeletal muscle. The section was incubated with ab37484 for 30 mins at room temperature. The immunostaining was performed on a Leica Biosystems BOND® RX instrument. Counterstained with Hematoxylin.

Secondary antibody only control : Secondary antibody is ready to use Goat Anti-mouse IgG H&L (HRP polymer) (ab214879).

Heat mediated antigen retrieval with Tris-EDTA buffer (pH 9.0, epitope retrieval solution2) for 20 mins.

This data was developed using the same antibody clone in a different buffer formulation containing PBS, BSA, glycerol, and sodium azide (ab37484).

Immunohistochemistry (Formalin/PFA-fixed paraffin-embedded sections) - Anti-Myosin heavy chain antibody [A4.1025] - BSA and Azide free (AB264490)
  • IHC-P

Unknown

Immunohistochemistry (Formalin/PFA-fixed paraffin-embedded sections) - Anti-Myosin heavy chain antibody [A4.1025] - BSA and Azide free (AB264490)

Immunohistochemical analysis of paraffin-embedded human cardiac muscle tissue labeling Myosin (MYH1/2) with ab37484 at 0.807 μg/ml, followed by ready to use Goat Anti-mouse IgG H&L (HRP polymer) (ab214879). Cytoplasmic staining on human cardiac muscle. The section was incubated with ab37484 for 30 mins at room temperature. The immunostaining was performed on a Leica Biosystems BOND® RX instrument. Counterstained with Hematoxylin.

Secondary antibody only control : Secondary antibody is ready to use Goat Anti-mouse IgG H&L (HRP polymer) (ab214879).

Heat mediated antigen retrieval with Tris-EDTA buffer (pH 9.0, epitope retrieval solution2) for 20 mins.

This data was developed using the same antibody clone in a different buffer formulation containing PBS, BSA, glycerol, and sodium azide (ab37484).

Immunohistochemistry (Frozen sections) - Anti-Myosin heavy chain antibody [A4.1025] - BSA and Azide free (AB264490)
  • IHC-Fr

Unknown

Immunohistochemistry (Frozen sections) - Anti-Myosin heavy chain antibody [A4.1025] - BSA and Azide free (AB264490)

Immunohistochemical analysis of 4% PFA-fixed, 0.2% Triton X-100 permeabilized frozen rat skeletal muscle tissue labeling Myosin (MYH1/2) with ab37484 at 16.14 μg/ml followed by ab150113 Goat Anti-mouse IgG H&L (Alexa Fluor® 488) at 1/1000 dilution (Green). Positive staining on rat skeletal muscle is observed. The nuclear counterstain was DAPI (Blue).

Secondary antibody control : Secondary antibody is ab150113 Goat Anti-mouse IgG H&L (Alexa Fluor® 488) at 1/1000 dilution.

Heat mediated antigen retrieval using sodium citrate buffer (10mM citrate pH 6.0 + 0.05% Tween-20).

This data was developed using the same antibody clone in a different buffer formulation containing PBS, BSA, glycerol, and sodium azide (ab37484).

Immunohistochemistry (Frozen sections) - Anti-Myosin heavy chain antibody [A4.1025] - BSA and Azide free (AB264490)
  • IHC-Fr

Unknown

Immunohistochemistry (Frozen sections) - Anti-Myosin heavy chain antibody [A4.1025] - BSA and Azide free (AB264490)

Immunohistochemical analysis of 4% PFA-fixed, 0.2% Triton X-100 permeabilized frozen mouse skeletal muscle tissue labeling Myosin (MYH1/2) with ab37484 at 16.14 μg/ml followed by ab150113 Goat Anti-mouse IgG H&L (Alexa Fluor® 488) at 1/1000 dilution (Green). Positive staining on mouse skeletal muscle is observed. The nuclear counterstain was DAPI (Blue).

Secondary antibody control : Secondary antibody is ab150113 Goat Anti-mouse IgG H&L (Alexa Fluor® 488) at 1/1000 dilution.

Heat mediated antigen retrieval using sodium citrate buffer (10mM citrate pH 6.0 + 0.05% Tween-20).

This data was developed using the same antibody clone in a different buffer formulation containing PBS, BSA, glycerol, and sodium azide (ab37484).

Immunohistochemistry (Formalin/PFA-fixed paraffin-embedded sections) - Anti-Myosin heavy chain antibody [A4.1025] - BSA and Azide free (AB264490)
  • IHC-P

Unknown

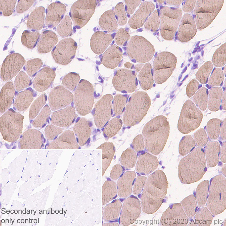
Immunohistochemistry (Formalin/PFA-fixed paraffin-embedded sections) - Anti-Myosin heavy chain antibody [A4.1025] - BSA and Azide free (AB264490)

Immunohistochemical analysis of paraffin-embedded rat skeletal muscle tissue labeling Myosin (MYH1/2) with ab37484 at 0.807 μg/ml, followed by ready to use Goat Anti-mouse IgG H&L (HRP polymer) (ab214879). Cytoplasmic staining on rat skeletal muscle. The section was incubated with ab37484 for 30 mins at room temperature. The immunostaining was performed on a Leica Biosystems BOND® RX instrument. Counterstained with Hematoxylin.

Secondary antibody only control : Secondary antibody is ready to use Goat Anti-mouse IgG H&L (HRP polymer) (ab214879).

Heat mediated antigen retrieval with Tris-EDTA buffer (pH 9.0, epitope retrieval solution2) for 20 mins.

This data was developed using the same antibody clone in a different buffer formulation containing PBS, BSA, glycerol, and sodium azide (ab37484).

Immunocytochemistry/ Immunofluorescence - Anti-Myosin heavy chain antibody [A4.1025] - BSA and Azide free (AB264490)
  • ICC/IF

Unknown

Immunocytochemistry/ Immunofluorescence - Anti-Myosin heavy chain antibody [A4.1025] - BSA and Azide free (AB264490)

Immunofluorescent analysis of 4% Paraformaldehyde-fixed, 0.1% Triton X-100 permeabilized C2C12 cells labelling Myosin (MYH1/2) with ab37484 at 3.228 μg/ml, followed by ab150113 Goat Anti-mouse IgG H&L (Alexa Fluor® 488) antibody at 1/1000 dilution (2μg/ml) (Green). Confocal image showing cytoplasmic staining in differentiated (treated) C2C12 cells. ab179513 Anti-beta Tubulin rabbit monoclonal antibody was used to counterstain tubulin at 1/200 dilution (2.5μg/ml), followed by ab150080 Goat Anti-Rabbit IgG H&L (Alexa Fluor® 594) at a 1/500 dilution (4μg/ml) (Red). The nuclear counterstain was DAPI (Blue).

Secondary antibody only control : ab150113 Goat Anti-mouse IgG H&L (Alexa Fluor® 488) antibody at 1/1000 dilution (2μg/ml).

This data was developed using the same antibody clone in a different buffer formulation containing PBS, BSA, glycerol, and sodium azide (ab37484).

Immunohistochemistry (Formalin/PFA-fixed paraffin-embedded sections) - Anti-Myosin heavy chain antibody [A4.1025] - BSA and Azide free (AB264490)
  • IHC-P

Unknown

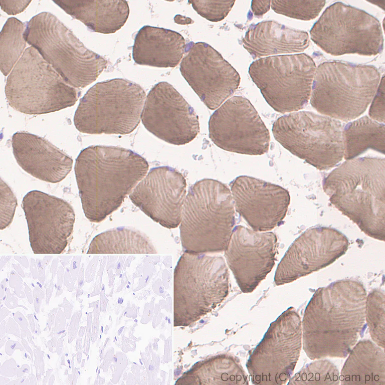
Immunohistochemistry (Formalin/PFA-fixed paraffin-embedded sections) - Anti-Myosin heavy chain antibody [A4.1025] - BSA and Azide free (AB264490)

Immunohistochemical analysis of paraffin-embedded mouse skeletal muscle tissue labeling Myosin (MYH1/2) with ab37484 at 0.807 μg/ml, followed by ready to use Goat Anti-mouse IgG H&L (HRP polymer) (ab214879). Cytoplasmic staining on mouse skeletal muscle. The section was incubated with ab37484 for 30 mins at room temperature. The immunostaining was performed on a Leica Biosystems BOND® RX instrument. Counterstained with Hematoxylin.

Secondary antibody only control : Secondary antibody is ready to use Goat Anti-mouse IgG H&L (HRP polymer) (ab214879).

Heat mediated antigen retrieval with Tris-EDTA buffer (pH 9.0, epitope retrieval solution2) for 20 mins.

This data was developed using the same antibody clone in a different buffer formulation containing PBS, BSA, glycerol, and sodium azide (ab37484).

Western blot - Anti-Myosin heavy chain antibody [A4.1025] - BSA and Azide free (AB264490)
  • WB

Lab

Western blot - Anti-Myosin heavy chain antibody [A4.1025] - BSA and Azide free (AB264490)

The extra bands under 223KDa were mainly caused by degradation (PMID : 3295257).

Blocking/Dilution buffer : 5% NFDM/TBST.

This data was developed using the same antibody clone in a different buffer formulation containing PBS, BSA, glycerol, and sodium azide (ab37484).

All lanes:

Western blot - Anti-Myosin heavy chain antibody [A4.1025] (<a href='/en-us/products/primary-antibodies/myosin-heavy-chain-antibody-a41025-ab37484'>ab37484</a>) at 0.1614 µg/mL

All lanes:

Human skeletal muscle tissue lysate at 20 µg

Secondary

All lanes:

Peroxidase-Conjugated Goat anti-Mouse IgG (H+L) at 1/10000 dilution

Predicted band size: 223 kDa

Observed band size: 223 kDa

false

Exposure time: 3s

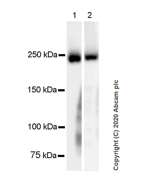
Western blot - Anti-Myosin heavy chain antibody [A4.1025] - BSA and Azide free (AB264490)
  • WB

Lab

Western blot - Anti-Myosin heavy chain antibody [A4.1025] - BSA and Azide free (AB264490)

This data was developed using the same antibody clone in a different buffer formulation containing PBS, BSA, glycerol, and sodium azide (ab37484).

Exposure times : Lane 1 : 3 secs; Lane 2 : 1 sec.

Blocking/Dilution buffer : 5% NFDM/TBST.

All lanes:

Western blot - Anti-Myosin heavy chain antibody [A4.1025] (<a href='/en-us/products/primary-antibodies/myosin-heavy-chain-antibody-a41025-ab37484'>ab37484</a>) at 0.807 µg/mL

Lane 1:

Mouse skeletal muscle tissue lysate at 20 µg

Lane 2:

Rat skeletal muscle tissue lysate at 20 µg

Secondary

All lanes:

Peroxidase-Conjugated Goat anti-Mouse IgG (H+L) at 1/10000 dilution

Predicted band size: 223 kDa

Observed band size: 223 kDa

false

Western blot - Anti-Myosin heavy chain antibody [A4.1025] - BSA and Azide free (AB264490)
  • WB

Lab

Western blot - Anti-Myosin heavy chain antibody [A4.1025] - BSA and Azide free (AB264490)

This data was developed using the same antibody clone in a different buffer formulation containing PBS, BSA, glycerol, and sodium azide (ab37484).

The expression profile observed is consistent with what has been described in the literature (PMID : 26010876).

Blocking/Dilution buffer : 5% NFDM/TBST.

All lanes:

Western blot - Anti-Myosin heavy chain antibody [A4.1025] (<a href='/en-us/products/primary-antibodies/myosin-heavy-chain-antibody-a41025-ab37484'>ab37484</a>) at 0.807 µg/mL

Lane 1:

C2C12 (mouse myoblasts) whole cell lysate at 20 µg

Lane 2:

Differentiated C2C12 whole cell lysate at 20 µg

Secondary

All lanes:

Peroxidase-Conjugated Goat anti-Mouse IgG (H+L) at 1/10000 dilution

Predicted band size: 223 kDa

Observed band size: 223 kDa

false

Exposure time: 3s

  • Unconjugated

    Anti-Myosin heavy chain antibody [A4.1025]

  • 519 Alexa Fluor® 488

    Alexa Fluor® 488 Anti-Myosin heavy chain antibody [A4.1025]

  • 665 Alexa Fluor® 647

    Alexa Fluor® 647 Anti-Myosin heavy chain antibody [A4.1025]

  • HRP

    HRP Anti-Myosin antibody [A4.1025]

Key facts

Host species

Mouse

Clonality

Monoclonal

Clone number

A4.1025

Isotype

IgG2a

Carrier free

Yes

Reacts with

Mouse, Rat, Human

Applications

IHC-P, ICC/IF, WB, IHC-Fr

applications

Immunogen

The exact immunogen used to generate this antibody is proprietary information.

Reactivity data

{ "title": "Reactivity Data", "filters": { "stats": ["", "Species", "Dilution Info", "Notes"], "tabs": { "all-applications": {"fullname" : "All Applications", "shortname": "All Applications"}, "ICCIF" : {"fullname" : "Immunocytochemistry/ Immunofluorescence", "shortname":"ICC/IF"}, "WB" : {"fullname" : "Western blot", "shortname":"WB"}, "IHCFr" : {"fullname" : "Immunohistochemistry (Frozen sections)", "shortname":"IHC-Fr"}, "IHCP" : {"fullname" : "Immunohistochemistry (Formalin/PFA-fixed paraffin-embedded sections)", "shortname":"IHC-P"} }, "product-promise": { "all": "all", "testedAndGuaranteed": "tested", "guaranteed": "expected", "predicted": "predicted", "notRecommended": "not-recommended" } }, "values": { "Human": { "ICCIF-species-checked": "guaranteed", "ICCIF-species-dilution-info": "", "ICCIF-species-notes": "", "WB-species-checked": "testedAndGuaranteed", "WB-species-dilution-info": "", "WB-species-notes": "<p></p>", "IHCFr-species-checked": "guaranteed", "IHCFr-species-dilution-info": "", "IHCFr-species-notes": "", "IHCP-species-checked": "testedAndGuaranteed", "IHCP-species-dilution-info": "", "IHCP-species-notes": "<p></p> Perform heat-mediated antigen retrieval with Tris/EDTA buffer pH 9.0 before commencing with IHC staining protocol." }, "Mouse": { "ICCIF-species-checked": "testedAndGuaranteed", "ICCIF-species-dilution-info": "", "ICCIF-species-notes": "<p></p>", "WB-species-checked": "testedAndGuaranteed", "WB-species-dilution-info": "", "WB-species-notes": "<p></p>", "IHCFr-species-checked": "testedAndGuaranteed", "IHCFr-species-dilution-info": "", "IHCFr-species-notes": "<p>Heat mediated antigen retrieval using sodium citrate buffer (10mM citrate pH 6.0 + 0.05% Tween-20).</p>", "IHCP-species-checked": "testedAndGuaranteed", "IHCP-species-dilution-info": "", "IHCP-species-notes": "<p></p> Perform heat-mediated antigen retrieval with Tris/EDTA buffer pH 9.0 before commencing with IHC staining protocol." }, "Rat": { "ICCIF-species-checked": "guaranteed", "ICCIF-species-dilution-info": "", "ICCIF-species-notes": "", "WB-species-checked": "testedAndGuaranteed", "WB-species-dilution-info": "", "WB-species-notes": "<p></p>", "IHCFr-species-checked": "testedAndGuaranteed", "IHCFr-species-dilution-info": "", "IHCFr-species-notes": "<p>Heat mediated antigen retrieval using sodium citrate buffer (10mM citrate pH 6.0 + 0.05% Tween-20).</p>", "IHCP-species-checked": "testedAndGuaranteed", "IHCP-species-dilution-info": "", "IHCP-species-notes": "<p></p> Perform heat-mediated antigen retrieval with Tris/EDTA buffer pH 9.0 before commencing with IHC staining protocol." } } }

Product details

ab264490 is the carrier-free version of ab37484.

What are the advantages of a recombinant monoclonal antibody?
This product is a recombinant monoclonal antibody, which offers several advantages including:

  • - High batch-to-batch consistency and reproducibility
  • - Improved sensitivity and specificity
  • - Long-term security of supply
  • - Animal-free batch production

For more information, read more on recombinant antibodies.

Conjugation ready
Our carrier-free antibodies are typically supplied in a PBS-only formulation, purified and free of BSA, sodium azide and glycerol. This conjugation-ready format is designed for use with fluorochromes, metal isotopes, oligonucleotides, and enzymes, which makes them ideal for antibody labelling, functional and cell-based assays, flow-based assays (e.g. mass cytometry) and Multiplex Imaging applications.

Use our conjugation kits for antibody conjugates that are ready-to-use in as little as 20 minutes with 1 minute hands-on-time and 100% antibody recovery: available for fluorescent dyes, HRP, biotin and gold.

Compatibility
This product is compatible with the Maxpar® Antibody Labeling Kit from Fluidigm, without the need for antibody preparation. Maxpar® is a trademark of Fluidigm Canada Inc.

Properties and storage information

Form
Liquid
Purification technique
Affinity purification Protein A
Storage buffer
pH: 7.2 - 7.4 Constituents: PBS
Shipped at conditions
Blue Ice
Appropriate short-term storage conditions
+4°C
Appropriate long-term storage conditions
+4°C
Storage information
Do Not Freeze

Supplementary information

This supplementary information is collated from multiple sources and compiled automatically.

Myosin is a molecular motor protein responsible for converting chemical energy into mechanical force facilitating muscle contraction and cellular movement. Also known as the myosin heavy chain (MHC) or MYH myosin has a commonly referenced heavy chain Myosin heavy chain 1 (MYH1) with a molecular mass of roughly 200 kDa. Myosin is broadly expressed in muscle tissues including skeletal cardiac and smooth muscles and appears in various isoforms depending on the specific type of muscle tissue.
Biological function summary

Myosin interacts intricately with actin filaments to form a complex that executes muscle contraction and cell motility. Myosin heads bind to actin filaments employing ATP hydrolysis to generate motion. This protein is a fundamental component of the sarcomere the structural unit of muscle fibers and works in concert with other proteins like tropomyosin and troponin to regulate muscle contraction.

Pathways

Myosin has a significant role in the muscle contraction and cell motility pathways. Myosin and actin interaction is central to the sliding filament theory which is an essential part of the muscle contraction pathway. Myosin is also involved in non-muscle cell movement through the actin-myosin contractile ring in the process of cytokinesis. Myosin interacts with proteins such as actin and ATP in these pathways to facilitate cellular processes.

Myosin has connections to conditions like hypertrophic cardiomyopathy and various myopathies. Mutations in the myosin heavy chain can lead to hypertrophic cardiomyopathy affecting the heart's ability to pump blood effectively. Additionally disruptions in myosin function can contribute to muscular diseases impairing muscle strength and function. Myosin's interaction with actin and related sarcomeric proteins is pivotal in these pathological scenarios often resulting in altered muscle dynamics and associated clinical manifestations.

Product protocols

For this product, it's our understanding that no specific protocols are required. You can visit:

Target data

Required for normal hearing. It plays a role in cochlear amplification of auditory stimuli, likely through the positive regulation of prestin (SLC26A5) activity and outer hair cell (OHC) electromotility.
See full target information MYH1

Additional targets

MYH2

Publications (2)

Recent publications for all applications. Explore the full list and refine your search

Cell and tissue research 391:205-215 PubMed36385586

2022

Requirement for PINCH in skeletal myoblast differentiation.

Applications

Unspecified application

Species

Unspecified reactive species

Huimin Liao,Fei Wang,Ke Lu,Xiaolei Ma,Jie Yan,Lina Luo,Yunfu Sun,Xingqun Liang

Cell 68:659-71 PubMed1531450

1992

Muscle fiber pattern is independent of cell lineage in postnatal rodent development.

Applications

Unspecified application

Species

Unspecified reactive species

S M Hughes,H M Blau
View all publications

Product promise

We are committed to supporting your work with high-quality reagents, and we're here for you every step of the way. In the unlikely event that one of our products does not perform as expected, you're protected by our Product Promise.
For full details, please see our Terms & Conditions

Please note: All products are 'FOR RESEARCH USE ONLY. NOT FOR USE IN DIAGNOSTIC OR THERAPEUTIC PROCEDURES'.

For licensing inquiries, please contact partnerships@abcam.com