JavaScript is disabled in your browser. Please enable JavaScript to view this website.
AB203292

Anti-Myosin light chain kinase/MLCK antibody

3

(3 Reviews)

|

(1 Publication)

Rabbit Polyclonal Myosin light chain kinase/MLCK antibody. Suitable for IHC-P and reacts with Rat samples. Cited in 1 publication. Immunogen corresponding to Synthetic Peptide within Human MYLK aa 700-750 conjugated to Keyhole Limpet Haemocyanin.

View Alternative Names

MLCK, MLCK1, MYLK1, MYLK, smMLCK, Kinase-related protein, Telokin, KRP

1 Images
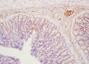
Immunohistochemistry (Formalin/PFA-fixed paraffin-embedded sections) - Anti-Myosin light chain kinase/MLCK antibody (AB203292)
  • IHC-P

Supplier Data

Immunohistochemistry (Formalin/PFA-fixed paraffin-embedded sections) - Anti-Myosin light chain kinase/MLCK antibody (AB203292)

Immunohistochemistry analysis of Formalin-fixed, paraffin embedded Rat colon tissue labeling Myosin light chain kinase/MLCK with ab203292 at 1/200 dilution, followed by secondary detection and DAB staining.

Key facts

Host species

Rabbit

Clonality

Polyclonal

Isotype

IgG

Carrier free

No

Reacts with

Rat

Applications

IHC-P

applications

Immunogen

Synthetic Peptide within Human MYLK aa 700-750 conjugated to Keyhole Limpet Haemocyanin. The exact immunogen used to generate this antibody is proprietary information.

Q15746

Reactivity data

{ "title": "Reactivity Data", "filters": { "stats": ["", "Species", "Dilution Info", "Notes"], "tabs": { "all-applications": {"fullname" : "All Applications", "shortname": "All Applications"}, "IHCP" : {"fullname" : "Immunohistochemistry (Formalin/PFA-fixed paraffin-embedded sections)", "shortname":"IHC-P"} }, "product-promise": { "all": "all", "testedAndGuaranteed": "tested", "guaranteed": "expected", "predicted": "predicted", "notRecommended": "not-recommended" } }, "values": { "Rat": { "IHCP-species-checked": "testedAndGuaranteed", "IHCP-species-dilution-info": "1/100 - 1/500", "IHCP-species-notes": "<p>Use at 1/50 - 1/200 with fluorescent detection methods.</p> Perform heat-mediated antigen retrieval with citrate buffer pH 6 before commencing with IHC staining protocol." } } }

Properties and storage information

Form
Liquid
Purification technique
Affinity purification Protein A
Storage buffer
pH: 7.4 Preservative: 0.02% Proclin 300 Constituents: 50% Glycerol (glycerin, glycerine), 48.98% TBS, 1X, 1% BSA
Shipped at conditions
Blue Ice
Appropriate short-term storage duration
1-2 weeks
Appropriate short-term storage conditions
+4°C
Appropriate long-term storage conditions
-20°C
Aliquoting information
Upon delivery aliquot
Storage information
Avoid freeze / thaw cycle

Supplementary information

This supplementary information is collated from multiple sources and compiled automatically.

Myosin light chain kinase also known as MLCK is an enzyme that phosphorylates myosin light chain proteins facilitating muscle contraction. This kinase primarily interacts with myosin a molecular motor protein responsible for converting chemical energy into mechanical force. The myosin light chains are a part of this complex and are important for regulating myosin's ATPase activity. The molecular weight of MLCK is approximately 130 kDa. It is expressed in various tissues including smooth muscle skeletal muscle and endothelial cells reflecting its central role in these muscle types.
Biological function summary

Myosin light chain kinase plays a critical role in the regulation of muscle contraction and cellular motility. By phosphorylating the myosin light chain MLCK allows the interaction of actin and myosin which is essential for muscle contraction and movement. In smooth muscle MLCK activity is important for regulating vascular tone and blood pressure. As part of a complex with calmodulin MLCK activation depends on calcium levels linking its activity with intracellular signaling pathways influenced by calcium ions.

Pathways

Myosin light chain kinase is an integral part of the calcium-calmodulin pathway where it acts in response to increased intracellular calcium levels signaled through various cellular activities. This kinase is also involved in the RhoA-Rho kinase pathway which regulates smooth muscle contraction and cytoskeletal dynamics. Related proteins in these pathways include calmodulin whose binding activates MLCK and RhoA a small GTPase associated with the assembly of actin-myosin filaments.

Myosin light chain kinase has links to cardiovascular diseases such as hypertension due to its role in smooth muscle contraction and blood vessel function. Asthma is another condition related to MLCK as the kinase influences airway smooth muscle tone which can affect breathing. Dysregulation of MLCK activity can manifest in altered muscle contractility in these diseases making it a potential target for therapeutic intervention. Research continues to explore the kinase's interactions with calmodulin and other proteins within these disease pathways.

Product protocols

For this product, it's our understanding that no specific protocols are required. You can visit:

Target data

Calcium/calmodulin-dependent myosin light chain kinase implicated in smooth muscle contraction via phosphorylation of myosin light chains (MLC). Also regulates actin-myosin interaction through a non-kinase activity. Phosphorylates PTK2B/PYK2 and myosin light-chains. Involved in the inflammatory response (e.g. apoptosis, vascular permeability, leukocyte diapedesis), cell motility and morphology, airway hyperreactivity and other activities relevant to asthma. Required for tonic airway smooth muscle contraction that is necessary for physiological and asthmatic airway resistance. Necessary for gastrointestinal motility. Implicated in the regulation of endothelial as well as vascular permeability, probably via the regulation of cytoskeletal rearrangements. In the nervous system it has been shown to control the growth initiation of astrocytic processes in culture and to participate in transmitter release at synapses formed between cultured sympathetic ganglion cells. Critical participant in signaling sequences that result in fibroblast apoptosis. Plays a role in the regulation of epithelial cell survival. Required for epithelial wound healing, especially during actomyosin ring contraction during purse-string wound closure. Mediates RhoA-dependent membrane blebbing. Triggers TRPC5 channel activity in a calcium-dependent signaling, by inducing its subcellular localization at the plasma membrane. Promotes cell migration (including tumor cells) and tumor metastasis. PTK2B/PYK2 activation by phosphorylation mediates ITGB2 activation and is thus essential to trigger neutrophil transmigration during acute lung injury (ALI). May regulate optic nerve head astrocyte migration. Probably involved in mitotic cytoskeletal regulation. Regulates tight junction probably by modulating ZO-1 exchange in the perijunctional actomyosin ring. Mediates burn-induced microvascular barrier injury; triggers endothelial contraction in the development of microvascular hyperpermeability by phosphorylating MLC. Essential for intestinal barrier dysfunction. Mediates Giardia spp.-mediated reduced epithelial barrier function during giardiasis intestinal infection via reorganization of cytoskeletal F-actin and tight junctional ZO-1. Necessary for hypotonicity-induced Ca(2+) entry and subsequent activation of volume-sensitive organic osmolyte/anion channels (VSOAC) in cervical cancer cells. Responsible for high proliferative ability of breast cancer cells through anti-apoptosis.
See full target information MYLK

Publications (1)

Recent publications for all applications. Explore the full list and refine your search

Molecules (Basel, Switzerland) 26: PubMed34684879

2021

Effect of the Gintonin-Enriched Fraction on Glucagon-Like-Protein-1 Release.

Applications

Unspecified application

Species

Unspecified reactive species

Rami Lee,Sun-Hye Choi,Han-Sung Cho,Hongik Hwang,Hyewhon Rhim,Hyoung-Chun Kim,Sung-Hee Hwang,Seung-Yeol Nah
View all publications

Product promise

We are committed to supporting your work with high-quality reagents, and we're here for you every step of the way. In the unlikely event that one of our products does not perform as expected, you're protected by our Product Promise.
For full details, please see our Terms & Conditions

Please note: All products are 'FOR RESEARCH USE ONLY. NOT FOR USE IN DIAGNOSTIC OR THERAPEUTIC PROCEDURES'.

For licensing inquiries, please contact partnerships@abcam.com