JavaScript is disabled in your browser. Please enable JavaScript to view this website.
AB238429

Anti-Myosin light chain kinase/MLCK antibody [EP1458Y] - BSA and Azide free

Be the first to review this product! Submit a review

|

(0 Publication)

Rabbit Recombinant Monoclonal Myosin light chain kinase/MLCK antibody. Carrier free. Suitable for IHC-P and reacts with Human, Mouse, Rat samples.

View Alternative Names

MLCK, MLCK1, MYLK1, MYLK, smMLCK, Kinase-related protein, Telokin, KRP

3 Images
Immunohistochemistry (Formalin/PFA-fixed paraffin-embedded sections) - Anti-Myosin light chain kinase/MLCK antibody [EP1458Y] - BSA and Azide free (AB238429)
  • IHC-P

Lab

Immunohistochemistry (Formalin/PFA-fixed paraffin-embedded sections) - Anti-Myosin light chain kinase/MLCK antibody [EP1458Y] - BSA and Azide free (AB238429)

This data was developed using ab76092, the same antibody clone in a different buffer formulation.
Immunohistochemistry (Formalin/PFA-fixed paraffin-embedded sections) analysis of mouse colon tissue sections labeling Myosin light chain kinase/MLCK with purified ab76092 at 1/25000 dilution (0.005 μg/ml). Heat mediated antigen retrieval was performed using Heat mediated antigen retrieval using Bond™ Epitope Retrieval Solution 2 (pH 9.0) . Tissue was counterstained with Hematoxylin. Rabbit specific IHC polymer detection kit HRP/DAB (ab209101) secondary antibody was used at 1/0 dilution. PBS instead of the primary antibody was used as the negative control.

Immunohistochemistry (Formalin/PFA-fixed paraffin-embedded sections) - Anti-Myosin light chain kinase/MLCK antibody [EP1458Y] - BSA and Azide free (AB238429)
  • IHC-P

Lab

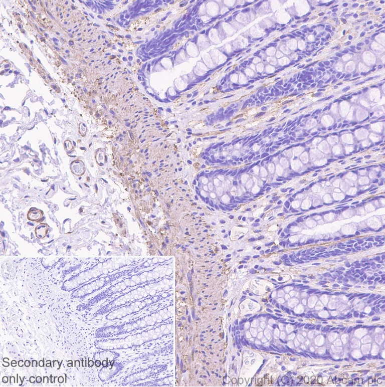
Immunohistochemistry (Formalin/PFA-fixed paraffin-embedded sections) - Anti-Myosin light chain kinase/MLCK antibody [EP1458Y] - BSA and Azide free (AB238429)

This data was developed using ab76092, the same antibody clone in a different buffer formulation.
Immunohistochemistry (Formalin/PFA-fixed paraffin-embedded sections) analysis of rat colon tissue sections labeling Myosin light chain kinase/MLCK with purified ab76092 at 1/25000 dilution (0.005 μg/ml). Heat mediated antigen retrieval was performed using Heat mediated antigen retrieval using Bond™ Epitope Retrieval Solution 2 (pH 9.0) . Tissue was counterstained with Hematoxylin. Rabbit specific IHC polymer detection kit HRP/DAB (ab209101) secondary antibody was used at 1/0 dilution. PBS instead of the primary antibody was used as the negative control.

Immunohistochemistry (Formalin/PFA-fixed paraffin-embedded sections) - Anti-Myosin light chain kinase/MLCK antibody [EP1458Y] - BSA and Azide free (AB238429)
  • IHC-P

Lab

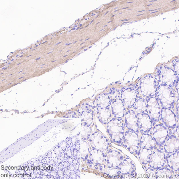
Immunohistochemistry (Formalin/PFA-fixed paraffin-embedded sections) - Anti-Myosin light chain kinase/MLCK antibody [EP1458Y] - BSA and Azide free (AB238429)

This data was developed using ab76092, the same antibody clone in a different buffer formulation.
Immunohistochemistry (Formalin/PFA-fixed paraffin-embedded sections) analysis of human colon tissue sections labeling Myosin light chain kinase/MLCK with purified ab76092 at 1/25000 dilution (0.005 μg/ml). Heat mediated antigen retrieval was performed using Heat mediated antigen retrieval using Bond™ Epitope Retrieval Solution 2 (pH 9.0) . Tissue was counterstained with Hematoxylin. Rabbit specific IHC polymer detection kit HRP/DAB (ab209101) secondary antibody was used at 1/0 dilution. PBS instead of the primary antibody was used as the negative control.

  • Unconjugated

    Anti-Myosin light chain kinase/MLCK antibody [EP1458Y]

  • 519 Alexa Fluor® 488

    Alexa Fluor® 488 Anti-Myosin light chain kinase/MLCK antibody [EP1458Y]

  • 565 Alexa Fluor® 555

    Alexa Fluor® 555 Anti-Myosin light chain kinase/MLCK antibody [EP1458Y]

  • 617 Alexa Fluor® 594

    Alexa Fluor® 594 Anti-Myosin light chain kinase/MLCK antibody [EP1458Y]

  • 665 Alexa Fluor® 647

    Alexa Fluor® 647 Anti-Myosin light chain kinase/MLCK antibody [EP1458Y]

  • 660 APC

    APC Anti-Myosin light chain kinase/MLCK antibody [EP1458Y]

  • 578 PE

    PE Anti-Myosin light chain kinase/MLCK antibody [EP1458Y]

  • 775 Alexa Fluor® 750

    Alexa Fluor® 750 Anti-Myosin light chain kinase/MLCK antibody [EP1458Y]

Key facts

Host species

Rabbit

Clonality

Monoclonal

Clone number

EP1458Y

Isotype

IgG

Carrier free

Yes

Reacts with

Human, Mouse, Rat

Applications

IHC-P

applications

Immunogen

The exact immunogen used to generate this antibody is proprietary information.

Reactivity data

{ "title": "Reactivity Data", "filters": { "stats": ["", "Species", "Dilution Info", "Notes"], "tabs": { "all-applications": {"fullname" : "All Applications", "shortname": "All Applications"}, "IHCP" : {"fullname" : "Immunohistochemistry (Formalin/PFA-fixed paraffin-embedded sections)", "shortname":"IHC-P"} }, "product-promise": { "all": "all", "testedAndGuaranteed": "tested", "guaranteed": "expected", "predicted": "predicted", "notRecommended": "not-recommended" } }, "values": { "Human": { "IHCP-species-checked": "testedAndGuaranteed", "IHCP-species-dilution-info": "", "IHCP-species-notes": "<p>Use of HRP-conjugated or polymerized HRP secondary antibodies, stronger signals have been found using the polymerized HRP secondary.</p> Perform heat-mediated antigen retrieval via the pressure cooker method before commencing with IHC staining protocol." }, "Mouse": { "IHCP-species-checked": "testedAndGuaranteed", "IHCP-species-dilution-info": "", "IHCP-species-notes": "<p>Use of HRP-conjugated or polymerized HRP secondary antibodies, stronger signals have been found using the polymerized HRP secondary.</p> Perform heat-mediated antigen retrieval via the pressure cooker method before commencing with IHC staining protocol." }, "Rat": { "IHCP-species-checked": "testedAndGuaranteed", "IHCP-species-dilution-info": "", "IHCP-species-notes": "<p>Use of HRP-conjugated or polymerized HRP secondary antibodies, stronger signals have been found using the polymerized HRP secondary.</p> Perform heat-mediated antigen retrieval via the pressure cooker method before commencing with IHC staining protocol." } } }

Product details

ab238429 is the carrier-free version of ab76092.

Patented technology
Our RabMAb® technology is a patented hybridoma-based technology for making rabbit monoclonal antibodies. For details on our patents, please refer to RabMAb® patents.

What are the advantages of a recombinant monoclonal antibody?
This product is a recombinant monoclonal antibody, which offers several advantages including:

  • - High batch-to-batch consistency and reproducibility
  • - Improved sensitivity and specificity
  • - Long-term security of supply
  • - Animal-free batch production

For more information, read more on recombinant antibodies.

Conjugation ready
Our carrier-free antibodies are typically supplied in a PBS-only formulation, purified and free of BSA, sodium azide and glycerol. This conjugation-ready format is designed for use with fluorochromes, metal isotopes, oligonucleotides, and enzymes, which makes them ideal for antibody labelling, functional and cell-based assays, flow-based assays (e.g. mass cytometry) and Multiplex Imaging applications.

Use our conjugation kits for antibody conjugates that are ready-to-use in as little as 20 minutes with 1 minute hands-on-time and 100% antibody recovery: available for fluorescent dyes, HRP, biotin and gold.

Compatibility
This product is compatible with the Maxpar® Antibody Labeling Kit from Fluidigm, without the need for antibody preparation. Maxpar® is a trademark of Fluidigm Canada Inc.

Properties and storage information

Form
Liquid
Purification technique
Affinity purification Protein A
Storage buffer
pH: 7.2 - 7.4 Constituents: PBS
Shipped at conditions
Blue Ice
Appropriate short-term storage conditions
+4°C
Appropriate long-term storage conditions
+4°C
Storage information
Do Not Freeze

Supplementary information

This supplementary information is collated from multiple sources and compiled automatically.

Myosin light chain kinase also known as MLCK is an enzyme that phosphorylates myosin light chain proteins facilitating muscle contraction. This kinase primarily interacts with myosin a molecular motor protein responsible for converting chemical energy into mechanical force. The myosin light chains are a part of this complex and are important for regulating myosin's ATPase activity. The molecular weight of MLCK is approximately 130 kDa. It is expressed in various tissues including smooth muscle skeletal muscle and endothelial cells reflecting its central role in these muscle types.
Biological function summary

Myosin light chain kinase plays a critical role in the regulation of muscle contraction and cellular motility. By phosphorylating the myosin light chain MLCK allows the interaction of actin and myosin which is essential for muscle contraction and movement. In smooth muscle MLCK activity is important for regulating vascular tone and blood pressure. As part of a complex with calmodulin MLCK activation depends on calcium levels linking its activity with intracellular signaling pathways influenced by calcium ions.

Pathways

Myosin light chain kinase is an integral part of the calcium-calmodulin pathway where it acts in response to increased intracellular calcium levels signaled through various cellular activities. This kinase is also involved in the RhoA-Rho kinase pathway which regulates smooth muscle contraction and cytoskeletal dynamics. Related proteins in these pathways include calmodulin whose binding activates MLCK and RhoA a small GTPase associated with the assembly of actin-myosin filaments.

Myosin light chain kinase has links to cardiovascular diseases such as hypertension due to its role in smooth muscle contraction and blood vessel function. Asthma is another condition related to MLCK as the kinase influences airway smooth muscle tone which can affect breathing. Dysregulation of MLCK activity can manifest in altered muscle contractility in these diseases making it a potential target for therapeutic intervention. Research continues to explore the kinase's interactions with calmodulin and other proteins within these disease pathways.

Product protocols

For this product, it's our understanding that no specific protocols are required. You can visit:

Target data

Calcium/calmodulin-dependent myosin light chain kinase implicated in smooth muscle contraction via phosphorylation of myosin light chains (MLC). Also regulates actin-myosin interaction through a non-kinase activity. Phosphorylates PTK2B/PYK2 and myosin light-chains. Involved in the inflammatory response (e.g. apoptosis, vascular permeability, leukocyte diapedesis), cell motility and morphology, airway hyperreactivity and other activities relevant to asthma. Required for tonic airway smooth muscle contraction that is necessary for physiological and asthmatic airway resistance. Necessary for gastrointestinal motility. Implicated in the regulation of endothelial as well as vascular permeability, probably via the regulation of cytoskeletal rearrangements. In the nervous system it has been shown to control the growth initiation of astrocytic processes in culture and to participate in transmitter release at synapses formed between cultured sympathetic ganglion cells. Critical participant in signaling sequences that result in fibroblast apoptosis. Plays a role in the regulation of epithelial cell survival. Required for epithelial wound healing, especially during actomyosin ring contraction during purse-string wound closure. Mediates RhoA-dependent membrane blebbing. Triggers TRPC5 channel activity in a calcium-dependent signaling, by inducing its subcellular localization at the plasma membrane. Promotes cell migration (including tumor cells) and tumor metastasis. PTK2B/PYK2 activation by phosphorylation mediates ITGB2 activation and is thus essential to trigger neutrophil transmigration during acute lung injury (ALI). May regulate optic nerve head astrocyte migration. Probably involved in mitotic cytoskeletal regulation. Regulates tight junction probably by modulating ZO-1 exchange in the perijunctional actomyosin ring. Mediates burn-induced microvascular barrier injury; triggers endothelial contraction in the development of microvascular hyperpermeability by phosphorylating MLC. Essential for intestinal barrier dysfunction. Mediates Giardia spp.-mediated reduced epithelial barrier function during giardiasis intestinal infection via reorganization of cytoskeletal F-actin and tight junctional ZO-1. Necessary for hypotonicity-induced Ca(2+) entry and subsequent activation of volume-sensitive organic osmolyte/anion channels (VSOAC) in cervical cancer cells. Responsible for high proliferative ability of breast cancer cells through anti-apoptosis.
See full target information MYLK

Product promise

We are committed to supporting your work with high-quality reagents, and we're here for you every step of the way. In the unlikely event that one of our products does not perform as expected, you're protected by our Product Promise.
For full details, please see our Terms & Conditions

Please note: All products are 'FOR RESEARCH USE ONLY. NOT FOR USE IN DIAGNOSTIC OR THERAPEUTIC PROCEDURES'.

For licensing inquiries, please contact partnerships@abcam.com