JavaScript is disabled in your browser. Please enable JavaScript to view this website.
AB134682

Anti-Myostatin Propeptide antibody

Be the first to review this product! Submit a review

|

(6 Publications)

Rabbit Polyclonal GDF8 / Myostatin antibody. Suitable for IHC-P and reacts with Human samples. Cited in 6 publications. Immunogen corresponding to Synthetic Peptide within Human MSTN.

View Alternative Names

GDF8, MSTN, Growth/differentiation factor 8, GDF-8, Myostatin

1 Images
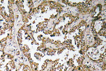
Immunohistochemistry (Formalin/PFA-fixed paraffin-embedded sections) - Anti-Myostatin Propeptide antibody (AB134682)
  • IHC-P

Unknown

Immunohistochemistry (Formalin/PFA-fixed paraffin-embedded sections) - Anti-Myostatin Propeptide antibody (AB134682)

Immunohistochemical analysis of paraffin-embedded Human lung carcinoma tissue labelling Myostatin Propeptide with ab134682 at 1/50 dilution.

Key facts

Host species

Rabbit

Clonality

Polyclonal

Isotype

IgG

Carrier free

No

Reacts with

Human

Applications

IHC-P

applications

Immunogen

Synthetic Peptide within Human MSTN. The exact immunogen used to generate this antibody is proprietary information.

O14793

Reactivity data

{ "title": "Reactivity Data", "filters": { "stats": ["", "Species", "Dilution Info", "Notes"], "tabs": { "all-applications": {"fullname" : "All Applications", "shortname": "All Applications"}, "IHCP" : {"fullname" : "Immunohistochemistry (Formalin/PFA-fixed paraffin-embedded sections)", "shortname":"IHC-P"} }, "product-promise": { "all": "all", "testedAndGuaranteed": "tested", "guaranteed": "expected", "predicted": "predicted", "notRecommended": "not-recommended" } }, "values": { "Human": { "IHCP-species-checked": "testedAndGuaranteed", "IHCP-species-dilution-info": "1/50 - 1/100", "IHCP-species-notes": "<p></p>" }, "Mouse": { "IHCP-species-checked": "predicted", "IHCP-species-dilution-info": "", "IHCP-species-notes": "" } } }

Have you thought about this alternative?

AB124721

Anti-GDF11 + GDF8/Myostatin antibody [EPR4567(2)]

3
6 Reviews
View product

We’re constantly upgrading our range to offer the highest quality products. We have selected this alternative product for your review because it gives improved performance, is easier and more convenient to use, or is available faster.

Properties and storage information

Form
Liquid
Purification technique
Affinity purification Immunogen
Purification notes
ab134682 was affinity-purified from Rabbit antiserum by affinity-chromatography using epitope-specific immunogen.
Storage buffer
pH: 7.4 Preservative: 0.02% Sodium azide Constituents: 50% Glycerol (glycerin, glycerine), 49% PBS, 0.88% Sodium chloride
Shipped at conditions
Blue Ice
Appropriate short-term storage conditions
+4°C
Appropriate long-term storage conditions
-20°C

Supplementary information

This supplementary information is collated from multiple sources and compiled automatically.

Myostatin Propeptide also known as myostatin peptide or anti-myostatin acts as an important regulator by binding to its parent myostatin protein. This binding prevents the myostatin protein from interacting with its receptors modulating its activity. Myostatin Propeptide has a molecular weight of approximately 40 kDa. It is primarily expressed in skeletal muscle tissue reflecting its role in muscle biology. Myostatin Propeptide's interaction with myostatin provides an essential control mechanism within muscle development.
Biological function summary

Myostatin Propeptide inhibits the function of myostatin a member of the Transforming Growth Factor-beta (TGF-beta) superfamily. Myostatin typically suppresses muscle growth so the propeptide acts as a decoy permitting muscle hypertrophy by blocking myostatin activity. This regulation is important in maintaining muscle mass and function. The propeptide does not usually function as part of a large complex instead acting directly to neutralize myostatin in the extracellular environment.

Pathways

Myostatin and its propeptide play major roles in the TGF-beta signaling pathway. This pathway is significant in regulating cell growth and differentiation in various tissues including muscle. Myostatin Propeptide's inhibition of myostatin leads to increased activation of the Akt/mTOR pathway promoting protein synthesis and muscle growth. It also interacts with related proteins such as follistatin another myostatin inhibitor which enhances the modulation of muscle mass through similar mechanisms.

Myostatin Propeptide has relevance in conditions related to muscle wasting such as muscular dystrophy and cachexia. By antagonizing myostatin the propeptide can potentially alleviate muscle degeneration in these conditions. Its role is also significant in sarcopenia an age-related loss of muscle mass providing a target for therapeutic approaches. In these disorders the propeptide's action may involve interactions with proteins like activin receptor type IIB which is involved in the signaling pathways mediated by myostatin.

Product protocols

For this product, it's our understanding that no specific protocols are required. You can visit:

Target data

Acts specifically as a negative regulator of skeletal muscle growth.
See full target information MSTN

Publications (6)

Recent publications for all applications. Explore the full list and refine your search

Geriatrics (Basel, Switzerland) 8: PubMed37736892

2023

Metallosis after Hip Arthroplasty Damages Skeletal Muscle: A Case Report.

Applications

Unspecified application

Species

Unspecified reactive species

Roberto Bonanni,Lorenzo Abbondante,Ida Cariati,Elena Gasbarra,Umberto Tarantino

Frontiers in physiology 13:782000 PubMed35185612

2022

Role of Myostatin in Muscle Degeneration by Random Positioning Machine Exposure: An Study for the Treatment of Sarcopenia.

Applications

Unspecified application

Species

Unspecified reactive species

Ida Cariati,Manuel Scimeca,Roberto Bonanni,Rebecca Triolo,Valerio Naldi,Giuseppe Toro,Mario Marini,Virginia Tancredi,Riccardo Iundusi,Elena Gasbarra,Umberto Tarantino

Cellular physiology and biochemistry : international journal of experimental cellular physiology, biochemistry, and pharmacology 54:736-747 PubMed32749090

2020

Effects of Simulated Microgravity on Muscle Stem Cells Activity.

Applications

Unspecified application

Species

Unspecified reactive species

Umberto Tarantino,Ida Cariati,Mario Marini,Giovanna D'Arcangelo,Virginia Tancredi,Matteo Primavera,Riccardo Iundusi,Elena Gasbarra,Manuel Scimeca

Journal of translational medicine 15:34 PubMed28202082

2017

Bone Morphogenetic Proteins and myostatin pathways: key mediator of human sarcopenia.

Applications

Unspecified application

Species

Unspecified reactive species

Manuel Scimeca,Eleonora Piccirilli,Francesca Mastrangeli,Cecilia Rao,Maurizio Feola,Augusto Orlandi,Elena Gasbarra,Elena Bonanno,Umberto Tarantino

Injury 47 Suppl 4:S3-S10 PubMed27496721

2016

The role of sarcopenia with and without fracture.

Applications

Unspecified application

Species

Unspecified reactive species

Umberto Tarantino,Jacopo Baldi,Manuel Scimeca,Eleonora Piccirilli,Andrea Piccioli,Elena Bonanno,Elena Gasbarra

Stem cells international 2015:469459 PubMed26101529

2015

Satellite Cells CD44 Positive Drive Muscle Regeneration in Osteoarthritis Patients.

Applications

IHC

Species

Unspecified reactive species

Manuel Scimeca,Elena Bonanno,Eleonora Piccirilli,Jacopo Baldi,Alessandro Mauriello,Augusto Orlandi,Virginia Tancredi,Elena Gasbarra,Umberto Tarantino
View all publications

Product promise

We are committed to supporting your work with high-quality reagents, and we're here for you every step of the way. In the unlikely event that one of our products does not perform as expected, you're protected by our Product Promise.
For full details, please see our Terms & Conditions

Associated Products

Select an associated product type
Alternative Product
Primary Antibodies

AB236511

Anti-Myostatin Propeptide antibody [OTI6A7]

primary-antibodies

myostatin-propeptide-antibody-oti6a7-ab236511

0

(0 reviews)

Please note: All products are 'FOR RESEARCH USE ONLY. NOT FOR USE IN DIAGNOSTIC OR THERAPEUTIC PROCEDURES'.

For licensing inquiries, please contact partnerships@abcam.com