JavaScript is disabled in your browser. Please enable JavaScript to view this website.
AB197660

Anti-Myozenin 1 antibody

Be the first to review this product! Submit a review

|

(2 Publications)

Rabbit Polyclonal Myozenin 1 antibody. Suitable for WB, IHC-P and reacts with Mouse, Human samples. Cited in 2 publications. Immunogen corresponding to Recombinant Full Length Protein corresponding to Human MYOZ1.

View Alternative Names

MYOZ, MYOZ1, Myozenin-1, Calsarcin-2, Protein FATZ

2 Images
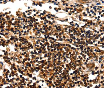
Immunohistochemistry (Formalin/PFA-fixed paraffin-embedded sections) - Anti-Myozenin 1 antibody (AB197660)
  • IHC-P

Supplier Data

Immunohistochemistry (Formalin/PFA-fixed paraffin-embedded sections) - Anti-Myozenin 1 antibody (AB197660)

Immunohistochemical analysis of paraffin-embedded Human liver cancer tissue labeling Myozenin 1 with ab197660 at 1/25 dilution.

Western blot - Anti-Myozenin 1 antibody (AB197660)
  • WB

Supplier Data

Western blot - Anti-Myozenin 1 antibody (AB197660)

10+12% SDS-PAGE.

All lanes:

Western blot - Anti-Myozenin 1 antibody (ab197660) at 1/500 dilution

All lanes:

Mouse muscle tissue lysate at 40 µg

Predicted band size: 32 kDa

false

Key facts

Host species

Rabbit

Clonality

Polyclonal

Isotype

IgG

Carrier free

No

Reacts with

Mouse, Human

Applications

IHC-P, WB

applications

Immunogen

Recombinant Full Length Protein corresponding to Human MYOZ1.

Q9NP98

Reactivity data

{ "title": "Reactivity Data", "filters": { "stats": ["", "Species", "Dilution Info", "Notes"], "tabs": { "all-applications": {"fullname" : "All Applications", "shortname": "All Applications"}, "WB" : {"fullname" : "Western blot", "shortname":"WB"}, "IHCP" : {"fullname" : "Immunohistochemistry (Formalin/PFA-fixed paraffin-embedded sections)", "shortname":"IHC-P"} }, "product-promise": { "all": "all", "testedAndGuaranteed": "tested", "guaranteed": "expected", "predicted": "predicted", "notRecommended": "not-recommended" } }, "values": { "Human": { "WB-species-checked": "guaranteed", "WB-species-dilution-info": "", "WB-species-notes": "", "IHCP-species-checked": "testedAndGuaranteed", "IHCP-species-dilution-info": "1/25 - 1/100", "IHCP-species-notes": "<p></p>" }, "Mouse": { "WB-species-checked": "testedAndGuaranteed", "WB-species-dilution-info": "1/500 - 1/2000", "WB-species-notes": "<p></p>", "IHCP-species-checked": "guaranteed", "IHCP-species-dilution-info": "", "IHCP-species-notes": "" }, "Pig": { "WB-species-checked": "predicted", "WB-species-dilution-info": "", "WB-species-notes": "", "IHCP-species-checked": "predicted", "IHCP-species-dilution-info": "", "IHCP-species-notes": "" } } }

Properties and storage information

Form
Liquid
Purification technique
Affinity purification Immunogen
Storage buffer
pH: 7.4 Preservative: 0.05% Sodium azide Constituents: PBS, 50% Glycerol (glycerin, glycerine)
Shipped at conditions
Blue Ice
Appropriate short-term storage duration
1-2 weeks
Appropriate short-term storage conditions
+4°C
Appropriate long-term storage conditions
-20°C
Aliquoting information
Upon delivery aliquot
Storage information
Avoid freeze / thaw cycle

Supplementary information

This supplementary information is collated from multiple sources and compiled automatically.

Myozenin 1 also known as calsarcin-2 is a protein expressed mainly in skeletal muscle with a molecular weight of approximately 35 kDa. It connects protein structures at the Z-disks in muscle cells. Myozenin 1 links to other important muscle proteins such as alpha-actinin and gamma-filamin. Through these interactions it helps maintain structural integrity and transmission of force within muscle fibers.
Biological function summary

The role of Myozenin 1 extends beyond structural support in muscle. It modulates signal transduction pathways essential for muscle function and adaptation. This protein forms part of a complex with calcineurin a phosphatase involved in muscle-specific gene expression control. By regulating calcineurin activity Myozenin 1 influences muscle fiber type composition and response to physiological stimuli.

Pathways

Myozenin 1 participates in the calcineurin-NFAT signaling pathway which is a critical regulator of muscle development and adaptation. While Myozenin 1 itself interacts directly with calcineurin it also has indirect associations with proteins like NFAT that mediate its downstream effects. These pathways play important roles in muscle plasticity and response to mechanical stress.

Alterations in Myozenin 1 expression or function may relate to conditions such as muscle weakness and hypertrophic cardiomyopathy. Myozenin 1 interacts with proteins like calcineurin and disruptions in this relationship can lead to abnormal muscle signaling and pathological changes. Research continues to explore the direct contributions of Myozenin 1 to muscle-related diseases and their underlying molecular mechanisms.

Product protocols

For this product, it's our understanding that no specific protocols are required. You can visit:

Target data

Myozenins may serve as intracellular binding proteins involved in linking Z-disk proteins such as alpha-actinin, gamma-filamin, TCAP/telethonin, LDB3/ZASP and localizing calcineurin signaling to the sarcomere. Plays an important role in the modulation of calcineurin signaling. May play a role in myofibrillogenesis.
See full target information MYOZ1

Publications (2)

Recent publications for all applications. Explore the full list and refine your search

Genes 13: PubMed36140742

2022

Gene Promotes Muscle Growth and Development in Meat Ducks.

Applications

Unspecified application

Species

Unspecified reactive species

Tingting Zhou,Yijing Wu,Yulin Bi,Hao Bai,Yong Jiang,Guohong Chen,Guobin Chang,Zhixiu Wang

Scientific reports 9:12688 PubMed31481717

2019

A "human knockout" model to investigate the influence of the α-actinin-3 protein on exercise-induced mitochondrial adaptations.

Applications

Unspecified application

Species

Unspecified reactive species

I D Papadimitriou,N Eynon,X Yan,F Munson,M Jacques,J Kuang,S Voisin,K N North,D J Bishop
View all publications

Product promise

We are committed to supporting your work with high-quality reagents, and we're here for you every step of the way. In the unlikely event that one of our products does not perform as expected, you're protected by our Product Promise.
For full details, please see our Terms & Conditions

Please note: All products are 'FOR RESEARCH USE ONLY. NOT FOR USE IN DIAGNOSTIC OR THERAPEUTIC PROCEDURES'.

For licensing inquiries, please contact partnerships@abcam.com