JavaScript is disabled in your browser. Please enable JavaScript to view this website.
AB233039

Anti-MYPN antibody

Be the first to review this product! Submit a review

|

(1 Publication)

Rabbit Polyclonal MYPN antibody. Suitable for WB, IHC-P and reacts with Pig, Human samples. Cited in 1 publication. Immunogen corresponding to Recombinant Fragment Protein within Human MYPN aa 900 to C-terminus.

View Alternative Names

MYOP, MYPN, Myopalladin, 145 kDa sarcomeric protein

3 Images
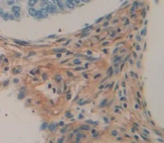
Immunohistochemistry (Formalin/PFA-fixed paraffin-embedded sections) - Anti-MYPN antibody (AB233039)
  • IHC-P

Supplier Data

Immunohistochemistry (Formalin/PFA-fixed paraffin-embedded sections) - Anti-MYPN antibody (AB233039)

Formalin-fixed, paraffin-embedded human skeletal muscle tissue stained for MYPN using ab233039 at 20 μg/ml in immunohistochemical analysis. DAB staining.

Western blot - Anti-MYPN antibody (AB233039)
  • WB

Supplier Data

Western blot - Anti-MYPN antibody (AB233039)

All lanes:

Western blot - Anti-MYPN antibody (ab233039) at 2 µg/mL

All lanes:

Recombinant human MYPN protein

Predicted band size: 145 kDa

false

Western blot - Anti-MYPN antibody (AB233039)
  • WB

Supplier Data

Western blot - Anti-MYPN antibody (AB233039)

All lanes:

Western blot - Anti-MYPN antibody (ab233039) at 2 µg/mL

Lane 1:

Pig heart lysate

Lane 2:

Pig skeletal muscle lysate

Secondary

All lanes:

HRP-Linked Guinea pig Anti-Rabbit at 1/1000 dilution

Predicted band size: 145 kDa

false

Key facts

Host species

Rabbit

Clonality

Polyclonal

Isotype

IgG

Carrier free

No

Reacts with

Human, Pig

Applications

WB, IHC-P

applications

Immunogen

Recombinant Fragment Protein within Human MYPN aa 900 to C-terminus. The exact immunogen used to generate this antibody is proprietary information.

Q86TC9

Reactivity data

{ "title": "Reactivity Data", "filters": { "stats": ["", "Species", "Dilution Info", "Notes"], "tabs": { "all-applications": {"fullname" : "All Applications", "shortname": "All Applications"}, "WB" : {"fullname" : "Western blot", "shortname":"WB"}, "IHCP" : {"fullname" : "Immunohistochemistry (Formalin/PFA-fixed paraffin-embedded sections)", "shortname":"IHC-P"} }, "product-promise": { "all": "all", "testedAndGuaranteed": "tested", "guaranteed": "expected", "predicted": "predicted", "notRecommended": "not-recommended" } }, "values": { "Human": { "WB-species-checked": "testedAndGuaranteed", "WB-species-dilution-info": "0.2-2 µg/mL", "WB-species-notes": "<p></p>", "IHCP-species-checked": "testedAndGuaranteed", "IHCP-species-dilution-info": "5-20 µg/mL", "IHCP-species-notes": "<p></p>" }, "Mouse": { "WB-species-checked": "predicted", "WB-species-dilution-info": "", "WB-species-notes": "", "IHCP-species-checked": "predicted", "IHCP-species-dilution-info": "", "IHCP-species-notes": "" }, "Pig": { "WB-species-checked": "testedAndGuaranteed", "WB-species-dilution-info": "0.2-2 µg/mL", "WB-species-notes": "<p></p>", "IHCP-species-checked": "guaranteed", "IHCP-species-dilution-info": "", "IHCP-species-notes": "" } } }

Properties and storage information

Form
Liquid
Purification technique
Affinity purification Immunogen
Purification notes
ab233039 was purified by antigen-specific affinity chromatography followed by Protein A affinity chromatography.
Storage buffer
pH: 7.4 Preservative: 0.02% Sodium azide Constituents: PBS, 55.77% Glycerol (glycerin, glycerine)
Shipped at conditions
Blue Ice
Appropriate short-term storage duration
1-2 weeks
Appropriate short-term storage conditions
+4°C
Appropriate long-term storage conditions
-20°C
Aliquoting information
Upon delivery aliquot
Storage information
Avoid freeze / thaw cycle

Supplementary information

This supplementary information is collated from multiple sources and compiled automatically.

The MYPN protein also known as myopalladin weighs around 145 kDa. Scientists find MYPN in skeletal and cardiac muscle tissues where it plays a critical role in muscle structure and function. This protein associates with actin filaments and alpha-actinin regulating the organization and stability of the sarcomere the fundamental unit of muscle contraction. By interacting with proteins in the Z-disc MYPN acts as a scaffold which aids in maintaining the architecture necessary for force transmission.
Biological function summary

Myopalladin influences muscle contractility by integrating signals and structural elements in the sarcomere. MYPN forms part of a protein complex involving nebulin and titin which are essential in muscle elasticity and stability. MYPN's presence impacts cellular mechanisms vital in muscle growth and regeneration. It regulates intracellular signaling pathways ensuring muscles respond properly to mechanical stress and maintain their integrity under load.

Pathways

MYPN participates in the MAPK signaling pathway and links with the cytoskeletal regulatory network. In these pathways MYPN works with proteins such as alpha-actinin and titin to mediate cellular responses to mechanical stimuli. These connections highlight its role in maintaining muscle homeostasis. The involvement of MYPN in such pathways signifies its importance in the cellular adaptation process affecting various signal transduction processes and structural developments during muscle contraction and repair.

MYPN mutations associate with conditions like dilated cardiomyopathy and hypertrophic cardiomyopathy. These cardiac diseases show how important MYPN is in maintaining heart muscle function. Mutations can lead to disrupted sarcomere structure causing impaired cardiac function. Additionally the protein connects to titin another sarcomeric protein involved in similar cardiomyopathies highlighting the interplay between sarcomeric proteins in disease mechanisms.

Product protocols

For this product, it's our understanding that no specific protocols are required. You can visit:

Target data

Component of the sarcomere that tethers together nebulin (skeletal muscle) and nebulette (cardiac muscle) to alpha-actinin, at the Z lines.
See full target information MYPN

Publications (1)

Recent publications for all applications. Explore the full list and refine your search

Cell reports 41:111561 PubMed36288705

2022

OTUB2 exerts tumor-suppressive roles via STAT1-mediated CALML3 activation and increased phosphatidylserine synthesis.

Applications

Unspecified application

Species

Unspecified reactive species

Wan Chang,Qingyu Luo,Xiaowei Wu,Yabing Nan,Pengfei Zhao,Lingqiang Zhang,Aiping Luo,Wenjie Jiao,Qiong Zhu,Yesheng Fu,Zhihua Liu
View all publications

Product promise

We are committed to supporting your work with high-quality reagents, and we're here for you every step of the way. In the unlikely event that one of our products does not perform as expected, you're protected by our Product Promise.
For full details, please see our Terms & Conditions

Please note: All products are 'FOR RESEARCH USE ONLY. NOT FOR USE IN DIAGNOSTIC OR THERAPEUTIC PROCEDURES'.

For licensing inquiries, please contact partnerships@abcam.com