JavaScript is disabled in your browser. Please enable JavaScript to view this website.
AB64866

Anti-MZF1 antibody

4

(5 Reviews)

|

(14 Publications)

Rabbit Polyclonal MZF1 antibody. Suitable for WB, IHC-P, ICC/IF and reacts with Human samples. Cited in 14 publications. Immunogen corresponding to Synthetic Peptide within Human MZF1.

View Alternative Names

MZF, ZNF42, ZSCAN6, MZF1, Myeloid zinc finger 1, MZF-1, Zinc finger and SCAN domain-containing protein 6, Zinc finger protein 42

3 Images
Western blot - Anti-MZF1 antibody (AB64866)
  • WB

Unknown

Western blot - Anti-MZF1 antibody (AB64866)

All lanes:

Western blot - Anti-MZF1 antibody (ab64866) at 1/500 dilution

Lane 1:

Extracts from 293 cells at 5 µg with no immunising peptide

Lane 2:

Extracts from K562 cells at 5 µg with no immunising peptide

Lane 3:

Extracts from K562 cells at 5 µg with immunising peptide

Predicted band size: 82 kDa

Observed band size: 82 kDa

false

Immunocytochemistry/ Immunofluorescence - Anti-MZF1 antibody (AB64866)
  • ICC/IF

Unknown

Immunocytochemistry/ Immunofluorescence - Anti-MZF1 antibody (AB64866)

ICC/IF image of ab64866 stained MCF7 cells. The cells were 4% PFA fixed (10 min) and then incubated in 1%BSA / 10% normal goat serum / 0.3M glycine in 0.1% PBS-Tween for 1h to permeabilise the cells and block non-specific protein-protein interactions. The cells were then incubated with the antibody (ab64866, 1µg/ml) overnight at +4°C. The secondary antibody (green) was Alexa Fluor® 488 goat anti-rabbit IgG (H+L) used at a 1/1000 dilution for 1h. Alexa Fluor® 594 WGA was used to label plasma membranes (red) at a 1/200 dilution for 1h. DAPI was used to stain the cell nuclei (blue) at a concentration of 1.43µM.

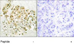
Immunohistochemistry (Formalin/PFA-fixed paraffin-embedded sections) - Anti-MZF1 antibody (AB64866)
  • IHC-P

Unknown

Immunohistochemistry (Formalin/PFA-fixed paraffin-embedded sections) - Anti-MZF1 antibody (AB64866)

Immunohistochemical analysis of paraffin-embedded human breast carcinoma tissue using ab64866 at a dilution of 1/50 - 1/100. Left hand panel - no immunising peptide; right hand panel - immunising peptide.

Key facts

Host species

Rabbit

Clonality

Polyclonal

Isotype

IgG

Carrier free

No

Reacts with

Human

Applications

WB, ICC/IF, IHC-P

applications

Immunogen

Synthetic Peptide within Human MZF1. The exact immunogen used to generate this antibody is proprietary information.

P28698

Reactivity data

{ "title": "Reactivity Data", "filters": { "stats": ["", "Species", "Dilution Info", "Notes"], "tabs": { "all-applications": {"fullname" : "All Applications", "shortname": "All Applications"}, "WB" : {"fullname" : "Western blot", "shortname":"WB"}, "IHCP" : {"fullname" : "Immunohistochemistry (Formalin/PFA-fixed paraffin-embedded sections)", "shortname":"IHC-P"}, "ICCIF" : {"fullname" : "Immunocytochemistry/ Immunofluorescence", "shortname":"ICC/IF"} }, "product-promise": { "all": "all", "testedAndGuaranteed": "tested", "guaranteed": "expected", "predicted": "predicted", "notRecommended": "not-recommended" } }, "values": { "Human": { "WB-species-checked": "testedAndGuaranteed", "WB-species-dilution-info": "1/500 - 1/1000", "WB-species-notes": "<p></p>", "IHCP-species-checked": "testedAndGuaranteed", "IHCP-species-dilution-info": "1/50 - 1/100", "IHCP-species-notes": "<p></p>", "ICCIF-species-checked": "testedAndGuaranteed", "ICCIF-species-dilution-info": "1-5 µg/mL", "ICCIF-species-notes": "<p></p>" } } }

Properties and storage information

Form
Liquid
Purification technique
Affinity purification Immunogen
Storage buffer
pH: 7.4 Preservative: 0.02% Sodium azide Constituents: PBS, 50% Glycerol (glycerin, glycerine), 0.87% Sodium chloride
Shipped at conditions
Blue Ice
Appropriate short-term storage conditions
+4°C
Appropriate long-term storage conditions
-20°C
Storage information
Stable for 12 months at -20°C

Supplementary information

This supplementary information is collated from multiple sources and compiled automatically.

MZF1 also known as Myeloid Zinc Finger 1 functions as a transcription factor. It has a molecular mass of around 75 kDa. This protein binds to DNA sequences and regulates the transcription of specific genes. Researchers frequently find MZF1 in myeloid cells but it also appears in a variety of tissues to a lesser extent. It plays an important role in controlling gene expression in these environments contributing to cellular development and differentiation.
Biological function summary

MZF1 regulates the expression of several genes involved in cellular proliferation and differentiation particularly within the hematopoietic system. It acts as a driving force behind the differentiation of myeloid progenitor cells into mature forms. The protein does not form part of a complex but interacts with other transcription factors to modulate gene expression. Its function is linked to cellular processes like development responding to signals that dictate cell fate.

Pathways

MZF1 has implications in cell cycle regulation and apoptotic pathways. It interacts with pathways involving the cell cycle helping to control the transition through various phases ensuring proper cell division. MZF1 correlates with proteins like c-Myc and p53 adding to regulatory networks that maintain cellular homeostasis. Its role is therefore central in maintaining normal cellular function and growth by participating in these critical pathways.

MZF1 has associations with cancer particularly leukemia due to its expression in myeloid lineage cells. It influences the expression of oncogenes and tumor suppressor genes with c-Myc often playing a cooperative role in these conditions. Researchers also link MZF1 to neurodegenerative disorders as aberrant expression can impact cellular survival and death pathways. This highlights MZF1's potential as a target for therapeutic strategies given its involvement in important regulatory networks and disease processes.

Product protocols

For this product, it's our understanding that no specific protocols are required. You can visit:

Target data

Binds to target promoter DNA and functions as a transcription regulator. Regulates transcription from the PADI1 and CDH2 promoter. May be one regulator of transcriptional events during hemopoietic development.
See full target information MZF1

Publications (14)

Recent publications for all applications. Explore the full list and refine your search

Andrology 11:1175-1187 PubMed36746766

2023

Vital function of DRD4 in dapoxetine medicated premature ejaculation treatment.

Applications

Unspecified application

Species

Unspecified reactive species

Pan Gao,Xi Liu,Tianle Zhu,Rui Gao,Jingjing Gao,Yao Zhang,Hui Jiang,Houbao Huang,Xiansheng Zhang

Journal of immunology research 2022:5819295 PubMed35669102

2022

MZF1 Transcriptionally Activated MicroRNA-328-3p Suppresses the Malignancy of Stomach Adenocarcinoma via Inhibiting CD44.

Applications

Unspecified application

Species

Unspecified reactive species

Zining Qi,Jing Wang,Yaoping Li,Yanzhao Xu

Journal of cellular and molecular medicine 25:2655-2665 PubMed33533172

2021

Kinase GSK3β functions as a suppressor in colorectal carcinoma through the FTO-mediated MZF1/c-Myc axis.

Applications

Unspecified application

Species

Unspecified reactive species

Zeyan Zhang,Qianfu Gao,Shanchao Wang

Journal of cellular and molecular medicine 24:7829-7840 PubMed32441887

2020

Lestaurtinib potentiates TRAIL-induced apoptosis in glioma via CHOP-dependent DR5 induction.

Applications

Unspecified application

Species

Unspecified reactive species

Yingxiao Cao,Shiqi Kong,Yuling Xin,Yan Meng,Shuling Shang,Yanhui Qi

JCI insight 5: PubMed32315288

2020

Age-dependent regulation of cell-mediated collagen turnover.

Applications

Unspecified application

Species

Unspecified reactive species

Michael J Podolsky,Christopher D Yang,Carlos Lizama Valenzuela,Ritwik Datta,Steven K Huang,Stephen L Nishimura,Sarah L Dallas,Paul J Wolters,Claude Jourdan Le Saux,Kamran Atabai

Theranostics 10:1555-1571 PubMed32042322

2020

Therapeutic targeting of YY1/MZF1 axis by MZF1-uPEP inhibits aerobic glycolysis and neuroblastoma progression.

Applications

Unspecified application

Species

Unspecified reactive species

Erhu Fang,Xiaojing Wang,Jianqun Wang,Anpei Hu,Huajie Song,Feng Yang,Dan Li,Wenjing Xiao,Yajun Chen,Yanhua Guo,Yang Liu,Hongjun Li,Kai Huang,Liduan Zheng,Qiangsong Tong

Journal of experimental & clinical cancer research 38:426 PubMed31655629

2019

Polo-like kinase 3 inhibits glucose metabolism in colorectal cancer by targeting HSP90/STAT3/HK2 signaling.

Applications

Unspecified application

Species

Unspecified reactive species

Baochi Ou,Hongze Sun,Jingkun Zhao,Zhuoqing Xu,Yuan Liu,Hao Feng,Zhihai Peng

The Journal of biological chemistry 294:16756-16764 PubMed31548308

2019

The transcription factor MZF1 differentially regulates murine promoter variants linked to tumor susceptibility.

Applications

Unspecified application

Species

Unspecified reactive species

Shuling Zhang,Wei Shi,Edward S Ramsay,Valery Bliskovsky,Adrian Max Eiden,Daniel Connors,Matthew Steinsaltz,Wendy DuBois,Beverly A Mock

Anticancer research 39:4149-4164 PubMed31366500

2019

Myeloid Zinc Finger 1 (MZF1) Maintains the Mesenchymal Phenotype by Down-regulating IGF1R/p38 MAPK/ERα Signaling Pathway in High-level MZF1-expressing TNBC cells.

Applications

Unspecified application

Species

Unspecified reactive species

Chia-Herng Yue,Jer-Yuh Liu,Ching-Shiang Chi,Ching-Wen Hu,Kok-Tong Tan,Fu-Mei Huang,Ying-Ru Pan,Kun-I Lin,Chia-Jen Lee

Metabolic brain disease 34:631-640 PubMed30612292

2019

Neuroprotective activity of leukemia inhibitory factor is relayed through myeloid zinc finger-1 in a rat model of stroke.

Applications

Unspecified application

Species

Unspecified reactive species

Stephanie M Davis,Lisa A Collier,Elspeth A Foran,Christopher C Leonardo,Craig T Ajmo,Keith R Pennypacker
View all publications

Product promise

We are committed to supporting your work with high-quality reagents, and we're here for you every step of the way. In the unlikely event that one of our products does not perform as expected, you're protected by our Product Promise.
For full details, please see our Terms & Conditions

Please note: All products are 'FOR RESEARCH USE ONLY. NOT FOR USE IN DIAGNOSTIC OR THERAPEUTIC PROCEDURES'.

For licensing inquiries, please contact partnerships@abcam.com