JavaScript is disabled in your browser. Please enable JavaScript to view this website.
AB233767

Anti-N Cadherin antibody [8C11] - BSA and Azide free

Be the first to review this product! Submit a review

|

(1 Publication)

Mouse Monoclonal N Cadherin antibody. Carrier free. Suitable for IHC-P, ICC/IF and reacts with Human, Bird, Rabbit, Hamster samples. Cited in 1 publication.

View Alternative Names

CD325, CDHN, NCAD, CDH2, Cadherin-2, CDw325, Neural cadherin, N-cadherin

2 Images
Immunocytochemistry/ Immunofluorescence - Anti-N Cadherin antibody [8C11] - BSA and Azide free (AB233767)
  • ICC/IF

Lab

Immunocytochemistry/ Immunofluorescence - Anti-N Cadherin antibody [8C11] - BSA and Azide free (AB233767)

N-Cadherin staining in SH-SY5Y (Human neuroblastoma cell line from bone marrow) cells.

The cells were fixed with 100% methanol (5 min), permeabilized with 0.1% Tween for 5 mins and then blocked with 1% BSA/10% normal goat serum/0.3M glycine in 0.1% PBS-Tween for 1h. The cells were then incubated overnight at +4°C with ab19348 at 5 μg/ml and ab6046, Rabbit polyclonal to beta Tubulin - Loading Control, at 1/1000 dilution. Cells were then incubated with ab150117, Goat Anti-Mouse IgG H&L (Alexa Fluor® 488) at 1/1000 dilution (shown in green) and ab150084, Goat polyclonal Secondary Antibody to Rabbit IgG - H&L (Alexa Fluor® 594) at 1/1000 dilution (shown in pseudocolor red). Nuclear DNA was labeled with DAPI (shown in blue).

Image was taken with a confocal microscope (Leica-Microsystems, TCS SP8).

This data was developed using the same antibody clone (ab19348) in a different buffer formulation.

Immunohistochemistry (Formalin/PFA-fixed paraffin-embedded sections) - Anti-N Cadherin antibody [8C11] - BSA and Azide free (AB233767)
  • IHC-P

Lab

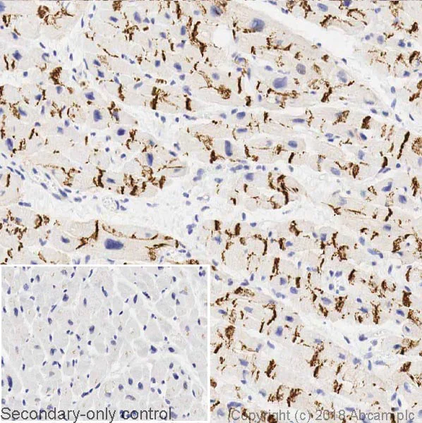
Immunohistochemistry (Formalin/PFA-fixed paraffin-embedded sections) - Anti-N Cadherin antibody [8C11] - BSA and Azide free (AB233767)

IHC image of N cadherin staining in a section of formalin-fixed paraffin-embedded normal human heart performed on a Leica BONDTM system using the standard protocol F.

The section was pre-treated using heat mediated antigen retrieval with sodium citrate buffer (pH 6, epitope retrieval solution 1) for 20 mins. The section was then incubated with ab19348, 1 μg/ml, for 15 mins at room temperature and detected using an HRP conjugated compact polymer system. DAB was used as the chromogen. The section was then counterstained with hematoxylin and mounted with DPX.

The inset secondary-only control image is taken from an identical assay without primary antibody.

For other IHC staining systems (automated and non-automated) customers should optimize variable parameters such as antigen retrieval conditions, primary antibody concentration and antibody incubation times.

This data was developed using the same antibody clone (ab19348) in a different buffer formulation.

  • Biotin

    Biotin Anti-N Cadherin antibody [8C11]

  • 578 PE

    PE Anti-N Cadherin antibody [8C11]

  • Unconjugated

    Anti-N Cadherin antibody [8C11]

Key facts

Host species

Mouse

Clonality

Monoclonal

Clone number

8C11

Isotype

IgG1

Light chain type

kappa

Carrier free

Yes

Reacts with

Human, Bird

Applications

ICC/IF, IHC-P

applications

Immunogen

The exact immunogen used to generate this antibody is proprietary information.

Reactivity data

{ "title": "Reactivity Data", "filters": { "stats": ["", "Species", "Dilution Info", "Notes"], "tabs": { "all-applications": {"fullname" : "All Applications", "shortname": "All Applications"}, "IHCP" : {"fullname" : "Immunohistochemistry (Formalin/PFA-fixed paraffin-embedded sections)", "shortname":"IHC-P"}, "ICCIF" : {"fullname" : "Immunocytochemistry/ Immunofluorescence", "shortname":"ICC/IF"} }, "product-promise": { "all": "all", "testedAndGuaranteed": "tested", "guaranteed": "expected", "predicted": "predicted", "notRecommended": "not-recommended" } }, "values": { "Human": { "IHCP-species-checked": "testedAndGuaranteed", "IHCP-species-dilution-info": "", "IHCP-species-notes": "<p></p> Perform heat-mediated antigen retrieval with citrate buffer pH 6 before commencing with IHC staining protocol.", "ICCIF-species-checked": "testedAndGuaranteed", "ICCIF-species-dilution-info": "", "ICCIF-species-notes": "<p></p>" }, "Mouse": { "IHCP-species-checked": "notRecommended", "IHCP-species-dilution-info": "", "IHCP-species-notes": "<p></p> Perform heat-mediated antigen retrieval with citrate buffer pH 6 before commencing with IHC staining protocol.", "ICCIF-species-checked": "notRecommended", "ICCIF-species-dilution-info": "", "ICCIF-species-notes": "<p></p>" }, "Rat": { "IHCP-species-checked": "notRecommended", "IHCP-species-dilution-info": "", "IHCP-species-notes": "<p></p> Perform heat-mediated antigen retrieval with citrate buffer pH 6 before commencing with IHC staining protocol.", "ICCIF-species-checked": "notRecommended", "ICCIF-species-dilution-info": "", "ICCIF-species-notes": "<p></p>" }, "Bird": { "IHCP-species-checked": "guaranteed", "IHCP-species-dilution-info": "", "IHCP-species-notes": "<p></p> Perform heat-mediated antigen retrieval with citrate buffer pH 6 before commencing with IHC staining protocol.", "ICCIF-species-checked": "guaranteed", "ICCIF-species-dilution-info": "", "ICCIF-species-notes": "<p></p>" }, "Cow": { "IHCP-species-checked": "notRecommended", "IHCP-species-dilution-info": "", "IHCP-species-notes": "<p></p> Perform heat-mediated antigen retrieval with citrate buffer pH 6 before commencing with IHC staining protocol.", "ICCIF-species-checked": "notRecommended", "ICCIF-species-dilution-info": "", "ICCIF-species-notes": "<p></p>" }, "Hamster": { "IHCP-species-checked": "notRecommended", "IHCP-species-dilution-info": "", "IHCP-species-notes": "", "ICCIF-species-checked": "guaranteed", "ICCIF-species-dilution-info": "", "ICCIF-species-notes": "<p></p>" }, "Pig": { "IHCP-species-checked": "notRecommended", "IHCP-species-dilution-info": "", "IHCP-species-notes": "<p></p> Perform heat-mediated antigen retrieval with citrate buffer pH 6 before commencing with IHC staining protocol.", "ICCIF-species-checked": "notRecommended", "ICCIF-species-dilution-info": "", "ICCIF-species-notes": "<p></p>" }, "Rabbit": { "IHCP-species-checked": "notRecommended", "IHCP-species-dilution-info": "", "IHCP-species-notes": "", "ICCIF-species-checked": "guaranteed", "ICCIF-species-dilution-info": "", "ICCIF-species-notes": "<p></p>" } } }

Product details

ab233767 is the carrier-free version of ab19348.

Want a custom formulation?
This antibody clone is manufactured by Abcam. If you require a custom buffer formulation or conjugation for your experiments, please contact orders@abcam.com

Conjugation ready
Our carrier-free antibodies are typically supplied in a PBS-only formulation, purified and free of BSA, sodium azide and glycerol. This conjugation-ready format is designed for use with fluorochromes, metal isotopes, oligonucleotides, and enzymes, which makes them ideal for antibody labelling, functional and cell-based assays, flow-based assays (e.g. mass cytometry) and Multiplex Imaging applications.

Use our conjugation kits for antibody conjugates that are ready-to-use in as little as 20 minutes with 1 minute hands-on-time and 100% antibody recovery: available for fluorescent dyes, HRP, biotin and gold.

Compatibility
This product is compatible with the Maxpar® Antibody Labeling Kit from Fluidigm, without the need for antibody preparation. Maxpar® is a trademark of Fluidigm Canada Inc.

Properties and storage information

Form
Liquid
Purification technique
Affinity purification
Storage buffer
Constituents: PBS
Shipped at conditions
Blue Ice
Appropriate short-term storage duration
1-2 weeks
Appropriate short-term storage conditions
+4°C
Appropriate long-term storage conditions
+4°C
Aliquoting information
Upon delivery aliquot
Storage information
Do Not Freeze

Supplementary information

This supplementary information is collated from multiple sources and compiled automatically.

N-Cadherin also known as CDH2 or neuronal cadherin is a calcium-dependent cell adhesion protein. It is characterized by its role in mediating intercellular connections primarily through its presence on neurons fibroblasts and certain epithelial cells. N-Cadherin has an approximate mass of 130 kDa. The protein is integral in forming homophilic interactions where N-Cadherin molecules on adjacent cells interact to establish robust cell-cell adhesion.
Biological function summary

N-Cadherin significantly influences cell-cell interaction and communication facilitating cellular adhesion and signal transduction. It is a vital component of adherens junctions contributing to tissue morphogenesis and stability. N-Cadherin interacts with other cytoplasmic proteins such as catenins forming a complex essential for linking the actin cytoskeleton to the cell membrane. This interaction affects cellular behaviors including migration and differentiation.

Pathways

N-Cadherin plays a significant role in the neural development and epithelial-to-mesenchymal transition (EMT) pathways important for development and cancer progression. It engages with related proteins such as beta-catenin which helps transduce signals within these pathways. N-Cadherin's interactions within these pathways highlight its role in maintaining multicellular structure and signaling processes important for development and pathogenesis.

N-Cadherin is associated with cancer and heart disease. In cancer particularly in the context of the EMT N-Cadherin facilitates tumor progression and metastasis cooperating with proteins like Twist and Snail to promote these processes. In heart disease alterations in N-Cadherin expression and function can impact cardiac muscle integrity and syncytium highlighting potential interactions with connexin43 to maintain cardiac function. Understanding these associations provides insights into therapeutic targets for these conditions.

Product protocols

For this product, it's our understanding that no specific protocols are required. You can visit:

Target data

Calcium-dependent cell adhesion protein; preferentially mediates homotypic cell-cell adhesion by dimerization with a CDH2 chain from another cell. Cadherins may thus contribute to the sorting of heterogeneous cell types. Acts as a regulator of neural stem cells quiescence by mediating anchorage of neural stem cells to ependymocytes in the adult subependymal zone : upon cleavage by MMP24, CDH2-mediated anchorage is affected, leading to modulate neural stem cell quiescence. Plays a role in cell-to-cell junction formation between pancreatic beta cells and neural crest stem (NCS) cells, promoting the formation of processes by NCS cells (By similarity). Required for proper neurite branching. Required for pre- and postsynaptic organization (By similarity). CDH2 may be involved in neuronal recognition mechanism. In hippocampal neurons, may regulate dendritic spine density.
See full target information CDH2

Publications (1)

Recent publications for all applications. Explore the full list and refine your search

Bioengineered 13:2004-2016 PubMed35030978

2022

Human bone marrow mesenchymal stem cells-derived exosomes attenuated prostate cancer progression via the miR-99b-5p/IGF1R axis.

Applications

Unspecified application

Species

Unspecified reactive species

Shichun Jiang,Haiyu Chen,Kai He,Juan Wang
View all publications

Product promise

We are committed to supporting your work with high-quality reagents, and we're here for you every step of the way. In the unlikely event that one of our products does not perform as expected, you're protected by our Product Promise.
For full details, please see our Terms & Conditions

Please note: All products are 'FOR RESEARCH USE ONLY. NOT FOR USE IN DIAGNOSTIC OR THERAPEUTIC PROCEDURES'.

For licensing inquiries, please contact partnerships@abcam.com