JavaScript is disabled in your browser. Please enable JavaScript to view this website.
AB271856

Anti-N Cadherin antibody [EPR1791-4] - BSA and Azide free

4

(1 Review)

|

(0 Publication)

Rabbit Recombinant Monoclonal N Cadherin antibody. Carrier free. Suitable for WB, IHC-P and reacts with Mouse, Rat, Human samples.

View Alternative Names

CD325, CDHN, NCAD, CDH2, Cadherin-2, CDw325, Neural cadherin, N-cadherin

8 Images
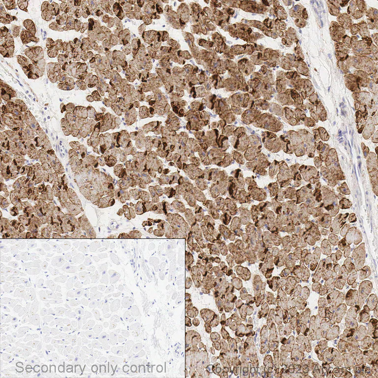
Immunohistochemistry (Formalin/PFA-fixed paraffin-embedded sections) - Anti-N Cadherin antibody [EPR1791-4] - BSA and Azide free (AB271856)
  • IHC-P

Lab

Immunohistochemistry (Formalin/PFA-fixed paraffin-embedded sections) - Anti-N Cadherin antibody [EPR1791-4] - BSA and Azide free (AB271856)

Immunohistochemical analysis of formalin-fixed paraffin-embedded human heart labelling N Cadherin with ab271856 at a concentration of 1µg/ml. The immunostaining was performed on a Ventana DISCOVERY ULTRA (Roche Tissue Diagnostics) instrument with an OptiView DAB IHC Detection Kit. Heat mediated antigen retrieval was conducted for 32min with ULTRA cell conditioning solution (CC1 pH8.5). ab271856 anti N Cadherin antibody was incubated at 37°C for 16min. Sections were counterstained is with Hematoxylin II. Image inset shows absence of staining in secondary antibody only control.

Immunohistochemistry (Formalin/PFA-fixed paraffin-embedded sections) - Anti-N Cadherin antibody [EPR1791-4] - BSA and Azide free (AB271856)
  • IHC-P

Lab

Immunohistochemistry (Formalin/PFA-fixed paraffin-embedded sections) - Anti-N Cadherin antibody [EPR1791-4] - BSA and Azide free (AB271856)

Immunohistochemistry (Formalin/PFA-fixed paraffin-embedded sections) analysis of Human cardiac muscle tissue sections labeling N Cadherin with purified ab76011 at 1 : 50 dilution (1.94 μg/ml). Heat mediated antigen retrieval was performed using ab93684 (Tris/EDTA buffer, pH 9.0). ImmunoHistoProbe one step HRP Polymer (ready to use)was used as the secondary antibody. Negative control : PBS instead of the primary antibody. Hematoxylin was used as a counterstain.

This data was developed using the same antibody clone in a different buffer formulation containing PBS, BSA, glycerol, and sodium azide (ab76011).

Immunohistochemistry (Formalin/PFA-fixed paraffin-embedded sections) - Anti-N Cadherin antibody [EPR1791-4] - BSA and Azide free (AB271856)
  • IHC-P

Lab

Immunohistochemistry (Formalin/PFA-fixed paraffin-embedded sections) - Anti-N Cadherin antibody [EPR1791-4] - BSA and Azide free (AB271856)

Immunohistochemistry (Formalin/PFA-fixed paraffin-embedded sections) analysis of Human liver tissue sections labeling N Cadherin with purified ab76011 at 1 : 50 dilution (1.94 μg/ml). Heat mediated antigen retrieval was performed using ab93684 (Tris/EDTA buffer, pH 9.0). ImmunoHistoProbe one step HRP Polymer (ready to use)was used as the secondary antibody. Negative control : PBS instead of the primary antibody. Hematoxylin was used as a counterstain.

This data was developed using the same antibody clone in a different buffer formulation containing PBS, BSA, glycerol, and sodium azide (ab76011).

Western blot - Anti-N Cadherin antibody [EPR1791-4] - BSA and Azide free (AB271856)
  • WB

Unknown

Western blot - Anti-N Cadherin antibody [EPR1791-4] - BSA and Azide free (AB271856)

This data was developed using the same antibody clone in a different buffer formulation containing PBS, BSA, glycerol, and sodium azide (ab76011).

This blot was produced using a 4-12% Bis-tris under the MOPS buffer system. The gel was run at 200V for 55 minutes before being transferred onto a Nitrocellulose membrane at 30V for 70 minutes. The membrane was blocked for an hour using 3% milk before ab76011 and ab8245 (Mouse anti-GAPDH loading control) were incubated overnight at 4°C at a 1/1000 dilution and 1/20000 dilution respectively. Antibody binding was detected using Goat anti-Rabbit IgG H&L (IRDye® 800CW) preadsorbed (ab216773) and Goat anti-Mouse IgG H&L (IRDye® 680RD) preadsorbed (ab216776) secondary antibodies at 1/20000 dilution for 1 hour at room temperature before imaging.

All lanes:

Western blot - Anti-N Cadherin antibody [EPR1791-4] - BSA and Azide free (ab271856) at 1/1000 dilution

Lane 1:

HeLa Whole Cell Lysate at 20 µg

Lane 2:

HeLa Whole Cell Lysate (Scraped) at 20 µg

Lane 3:

Human Brain Tissue Lysate at 20 µg

Lane 4:

Mouse Brain Tissue Lysate at 20 µg

Lane 5:

Rat Brain Tissue Lysate at 20 µg

Lane 6:

MCF7 Whole Cell Lysate at 20 µg

Predicted band size: 99 kDa

Observed band size: 125 kDa

false

Western blot - Anti-N Cadherin antibody [EPR1791-4] - BSA and Azide free (AB271856)
  • WB

Lab

Western blot - Anti-N Cadherin antibody [EPR1791-4] - BSA and Azide free (AB271856)

This data was developed using the same antibody clone in a different buffer formulation (ab76011). False colour image of Western blot : Anti-N Cadherin antibody [EPR1791-4] staining at 1/5000 dilution, shown in green; Mouse anti-GAPDH antibody [6C5] (ab8245) loading control staining at 1/20000 dilution, shown in red. In Western blot, ab76011 was shown to bind specifically to N Cadherin. A band was observed at 125 kDa in wild-type HeLa cell lysates with no signal observed at this size in cdh2 knockout cell line ab274934 (knockout cell lysate ab274992). To generate this image, wild-type and cdh2 knockout HeLa cell lysates were analysed. First, samples were run on an SDS-PAGE gel then transferred onto a nitrocellulose membrane. Membranes were blocked in 3 % milk in TBS-0.1 % Tween® 20 (TBS-T) before incubation with primary antibodies overnight at 4 °C. Blots were washed four times in TBS-T, incubated with secondary antibodies for 1 h at room temperature, washed again four times then imaged. Secondary antibodies used were Goat anti-Rabbit IgG H&L 800CW and Goat anti-Mouse IgG H&L 680RD at 1/20000 dilution

Lanes 1 - 2:

Western blot - Anti-N Cadherin antibody [EPR1791-4] (<a href='/en-us/products/primary-antibodies/n-cadherin-antibody-epr1791-4-ab76011'>ab76011</a>) at 1/5000 dilution

Lanes 1 - 2:

Western blot - Anti-N Cadherin antibody [EPR1791-4] - BSA and Azide free (ab271856)

Lanes 1 - 2:

Western blot - Anti-N Cadherin antibody [EPR1791-4] - Low endotoxin, Azide free (<a href='/en-us/products/primary-antibodies/n-cadherin-antibody-epr1791-4-low-endotoxin-azide-free-ab202030'>ab202030</a>) at 1/5000 dilution

Lane 1:

Wild-type HeLa cell lysate at 20 µg

Lane 2:

Western blot - Human CDH2 (N Cadherin) knockout HeLa cell lysate (ab274992)

Lane 2:

Western blot - Human CDH2 (N cadherin) knockout HeLa cell line (ab274934)

Lane 2:

cdh2 knockout HeLa cell lysate at 20 µg

Secondary

All lanes:

Goat anti-Rabbit IgG H&L 800CW and Goat anti-Mouse IgG H&L 680RD at 1/20000 dilution

Observed band size: 125 kDa

false

Western blot - Anti-N Cadherin antibody [EPR1791-4] - BSA and Azide free (AB271856)
  • WB

Lab

Western blot - Anti-N Cadherin antibody [EPR1791-4] - BSA and Azide free (AB271856)

This data was developed using ab76011, the same antibody clone in a different buffer formulation.

Blocking and diluting buffer and concentration : 5% NFDM/TBST.

Lanes 1 - 2 : Merged signal (red and green). Green - ab76011 observed at 125 kDa. Red - loading control, ab8245 observed at 37 kDa.

ab76011 was shown to react with N Cadherin in wild-type HEK-293T. Loss of signal was observed when knockout cell line ab255377 (knockout cell lysate ab263843) was used. Wild-type and N Cadherin knockout samples were subjected to SDS-PAGE. ab76011 and Anti-GAPDH antibody [6C5] - Loading Control (ab8245) were incubated overnight at 4°C at 1 in 5000 dilution and 1 in 20000 dilution respectively.

Blots were developed with Goat anti-Rabbit IgG H&L (IRDye® 800CW) preadsorbed (ab216773) and Goat anti-Mouse IgG H&L (IRDye® 680RD) preadsorbed (ab216776) secondary antibodies at 1 in 20000 dilution for 1 hour at room temperature before imaging.

All lanes:

Western blot - Anti-N Cadherin antibody [EPR1791-4] (<a href='/en-us/products/primary-antibodies/n-cadherin-antibody-epr1791-4-ab76011'>ab76011</a>) at 1/1000 dilution

Lane 1:

A549 (Human lung carcinoma epithelial cell) whole cell lysates prepared in RIPA lysis method at 20 µg

Lane 2:

PC-3 (Human prostate adenocarcinoma epithelial cell) whole cell lysates prepared in RIPA lysis method at 20 µg

Lane 3:

HCT 116 (Human colorectal carcinoma epithelial cell) whole cell lysates prepared in RIPA lysis method at 20 µg

Lane 4:

HCT 116 (Human colorectal carcinoma epithelial cell) whole cell lysates prepared in 1%SDS Hot lysis method at 20 µg

Lane 5:

HepG2 (Human hepatocellular carcinoma epithelial cell) whole cell lysate prepared in RIPA lysis method at 20 µg

Lane 6:

HepG2 (Human hepatocellular carcinoma epithelial cell) whole cell lysate prepared in 1%SDS Hot lysis method at 20 µg

Lane 7:

C6 (Rat glial tumor glial cell) whole cell lysates prepared in RIPA lysis method at 20 µg

Lane 8:

C6 (Rat glial tumor glial cell) whole cell lysates prepared in 1%SDS Hot lysis method at 20 µg

Lane 9:

Human brain lysates prepared in 1%SDS Hot lysis method at 20 µg

Lane 10:

Mouse brain lysates prepared in 1%SDS Hot lysis method at 20 µg

Lane 11:

Rat brain lysates prepared in 1%SDS Hot lysis method at 20 µg

Secondary

All lanes:

Western blot - Goat Anti-Rabbit IgG H&L (HRP) (<a href='/en-us/products/secondary-antibodies/goat-rabbit-igg-h-l-hrp-ab97051'>ab97051</a>) at 1/20000 dilution

Predicted band size: 99 kDa

Observed band size: 110-130 kDa

false

Western blot - Anti-N Cadherin antibody [EPR1791-4] - BSA and Azide free (AB271856)
  • WB

Unknown

Western blot - Anti-N Cadherin antibody [EPR1791-4] - BSA and Azide free (AB271856)

This data was developed using the same antibody clone in a different buffer formulation containing PBS, BSA, glycerol, and sodium azide (ab76011).

Lanes 1 - 2 : Merged signal (red and green). Green - ab76011 observed at 125 kDa. Red - loading control, ab8245 observed at 37 kDa.

ab76011 was shown to react with N Cadherin in wild-type HEK-293T. Loss of signal was observed when knockout cell line ab255377 (knockout cell lysate ab263843) was used. Wild-type and N Cadherin knockout samples were subjected to SDS-PAGE. ab76011 and Anti-GAPDH antibody [6C5] - Loading Control (ab8245) were incubated overnight at 4°C at 1 in 5000 dilution and 1 in 20000 dilution respectively. Blots were developed with Goat anti-Rabbit IgG H&L (IRDye® 800CW) preadsorbed (ab216773) and Goat anti-Mouse IgG H&L (IRDye® 680RD) preadsorbed (ab216776) secondary antibodies at 1 in 20000 dilution for 1 hour at room temperature before imaging.

All lanes:

Western blot - Anti-N Cadherin antibody [EPR1791-4] - BSA and Azide free (ab271856) at 1/5000 dilution

Lane 1:

Wild-type HEK-293T cell lysate at 20 µg

Lane 2:

CDH2 knockout HEK-293T cell lysate at 20 µg

Predicted band size: 99 kDa

false

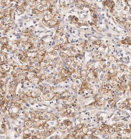
Immunohistochemistry (Formalin/PFA-fixed paraffin-embedded sections) - Anti-N Cadherin antibody [EPR1791-4] - BSA and Azide free (AB271856)
  • IHC-P

Unknown

Immunohistochemistry (Formalin/PFA-fixed paraffin-embedded sections) - Anti-N Cadherin antibody [EPR1791-4] - BSA and Azide free (AB271856)

Immunohistochemistry of kidney carcinoma staining N Cadherin with ab76011 at 1μg/ml

Perform heat mediated antigen retrieval with citrate buffer pH 6 before commencing with IHC staining protocol.

This data was developed using the same antibody clone in a different buffer formulation containing PBS, BSA, glycerol, and sodium azide (ab76011).

Key facts

Host species

Rabbit

Clonality

Monoclonal

Clone number

EPR1791-4

Isotype

IgG

Carrier free

Yes

Reacts with

Mouse, Rat, Human

Applications

IHC-P, WB

applications

Immunogen

The exact immunogen used to generate this antibody is proprietary information.

Reactivity data

{ "title": "Reactivity Data", "filters": { "stats": ["", "Species", "Dilution Info", "Notes"], "tabs": { "all-applications": {"fullname" : "All Applications", "shortname": "All Applications"}, "FlowCyt" : {"fullname" : "Flow Cytometry", "shortname":"Flow Cyt"}, "WB" : {"fullname" : "Western blot", "shortname":"WB"}, "IHCP" : {"fullname" : "Immunohistochemistry (Formalin/PFA-fixed paraffin-embedded sections)", "shortname":"IHC-P"}, "ImmunohistochemistryFloatingvibratomesections" : {"fullname" : "Immunohistochemistry (Floating vibratome sections)", "shortname":"Immunohistochemistry (Floating vibratome sections)"}, "ICCIF" : {"fullname" : "Immunocytochemistry/ Immunofluorescence", "shortname":"ICC/IF"} }, "product-promise": { "all": "all", "testedAndGuaranteed": "tested", "guaranteed": "expected", "predicted": "predicted", "notRecommended": "not-recommended" } }, "values": { "Human": { "FlowCyt-species-checked": "notRecommended", "FlowCyt-species-dilution-info": "", "FlowCyt-species-notes": "<p><a href='/en-us/products/primary-antibodies/rabbit-igg-monoclonal-epr25a-isotype-control-ab172730'>ab172730</a> - Rabbit monoclonal IgG, is suitable for use as an isotype control with this antibody.</p>", "WB-species-checked": "testedAndGuaranteed", "WB-species-dilution-info": "", "WB-species-notes": "<p></p>", "IHCP-species-checked": "testedAndGuaranteed", "IHCP-species-dilution-info": "", "IHCP-species-notes": "<p></p>", "ImmunohistochemistryFloatingvibratomesections-species-checked": "notRecommended", "ImmunohistochemistryFloatingvibratomesections-species-dilution-info": "", "ImmunohistochemistryFloatingvibratomesections-species-notes": "", "ICCIF-species-checked": "notRecommended", "ICCIF-species-dilution-info": "", "ICCIF-species-notes": "<p></p>" }, "Mouse": { "FlowCyt-species-checked": "notRecommended", "FlowCyt-species-dilution-info": "", "FlowCyt-species-notes": "<p><a href='/en-us/products/primary-antibodies/rabbit-igg-monoclonal-epr25a-isotype-control-ab172730'>ab172730</a> - Rabbit monoclonal IgG, is suitable for use as an isotype control with this antibody.</p>", "WB-species-checked": "testedAndGuaranteed", "WB-species-dilution-info": "", "WB-species-notes": "<p></p>", "IHCP-species-checked": "guaranteed", "IHCP-species-dilution-info": "", "IHCP-species-notes": "", "ImmunohistochemistryFloatingvibratomesections-species-checked": "notRecommended", "ImmunohistochemistryFloatingvibratomesections-species-dilution-info": "", "ImmunohistochemistryFloatingvibratomesections-species-notes": "<p></p>", "ICCIF-species-checked": "notRecommended", "ICCIF-species-dilution-info": "", "ICCIF-species-notes": "<p></p>" }, "Rat": { "FlowCyt-species-checked": "notRecommended", "FlowCyt-species-dilution-info": "", "FlowCyt-species-notes": "<p><a href='/en-us/products/primary-antibodies/rabbit-igg-monoclonal-epr25a-isotype-control-ab172730'>ab172730</a> - Rabbit monoclonal IgG, is suitable for use as an isotype control with this antibody.</p>", "WB-species-checked": "testedAndGuaranteed", "WB-species-dilution-info": "", "WB-species-notes": "<p></p>", "IHCP-species-checked": "notRecommended", "IHCP-species-dilution-info": "", "IHCP-species-notes": "<p></p>", "ImmunohistochemistryFloatingvibratomesections-species-checked": "notRecommended", "ImmunohistochemistryFloatingvibratomesections-species-dilution-info": "", "ImmunohistochemistryFloatingvibratomesections-species-notes": "", "ICCIF-species-checked": "notRecommended", "ICCIF-species-dilution-info": "", "ICCIF-species-notes": "<p></p>" } } }

Product details

ab271856 is the carrier-free version of ab76011.

Patented technology
Our RabMAb® technology is a patented hybridoma-based technology for making rabbit monoclonal antibodies. For details on our patents, please refer to RabMAb® patents.

What are the advantages of a recombinant monoclonal antibody?
This product is a recombinant monoclonal antibody, which offers several advantages including:

  • - High batch-to-batch consistency and reproducibility
  • - Improved sensitivity and specificity
  • - Long-term security of supply
  • - Animal-free batch production

For more information, read more on recombinant antibodies.

Conjugation ready
Our carrier-free antibodies are typically supplied in a PBS-only formulation, purified and free of BSA, sodium azide and glycerol. This conjugation-ready format is designed for use with fluorochromes, metal isotopes, oligonucleotides, and enzymes, which makes them ideal for antibody labelling, functional and cell-based assays, flow-based assays (e.g. mass cytometry) and Multiplex Imaging applications.

Use our conjugation kits for antibody conjugates that are ready-to-use in as little as 20 minutes with 1 minute hands-on-time and 100% antibody recovery: available for fluorescent dyes, HRP, biotin and gold.

Compatibility
This product is compatible with the Maxpar® Antibody Labeling Kit from Fluidigm, without the need for antibody preparation. Maxpar® is a trademark of Fluidigm Canada Inc.

Properties and storage information

Form
Liquid
Purification technique
Affinity purification Protein A
Storage buffer
pH: 7.2 - 7.4 Constituents: PBS
Shipped at conditions
Blue Ice
Appropriate short-term storage conditions
+4°C
Appropriate long-term storage conditions
+4°C
Storage information
Do Not Freeze

Supplementary information

This supplementary information is collated from multiple sources and compiled automatically.

N-Cadherin also known as CDH2 or neuronal cadherin is a calcium-dependent cell adhesion protein. It is characterized by its role in mediating intercellular connections primarily through its presence on neurons fibroblasts and certain epithelial cells. N-Cadherin has an approximate mass of 130 kDa. The protein is integral in forming homophilic interactions where N-Cadherin molecules on adjacent cells interact to establish robust cell-cell adhesion.
Biological function summary

N-Cadherin significantly influences cell-cell interaction and communication facilitating cellular adhesion and signal transduction. It is a vital component of adherens junctions contributing to tissue morphogenesis and stability. N-Cadherin interacts with other cytoplasmic proteins such as catenins forming a complex essential for linking the actin cytoskeleton to the cell membrane. This interaction affects cellular behaviors including migration and differentiation.

Pathways

N-Cadherin plays a significant role in the neural development and epithelial-to-mesenchymal transition (EMT) pathways important for development and cancer progression. It engages with related proteins such as beta-catenin which helps transduce signals within these pathways. N-Cadherin's interactions within these pathways highlight its role in maintaining multicellular structure and signaling processes important for development and pathogenesis.

N-Cadherin is associated with cancer and heart disease. In cancer particularly in the context of the EMT N-Cadherin facilitates tumor progression and metastasis cooperating with proteins like Twist and Snail to promote these processes. In heart disease alterations in N-Cadherin expression and function can impact cardiac muscle integrity and syncytium highlighting potential interactions with connexin43 to maintain cardiac function. Understanding these associations provides insights into therapeutic targets for these conditions.

Product protocols

For this product, it's our understanding that no specific protocols are required. You can visit:

Target data

Calcium-dependent cell adhesion protein; preferentially mediates homotypic cell-cell adhesion by dimerization with a CDH2 chain from another cell. Cadherins may thus contribute to the sorting of heterogeneous cell types. Acts as a regulator of neural stem cells quiescence by mediating anchorage of neural stem cells to ependymocytes in the adult subependymal zone : upon cleavage by MMP24, CDH2-mediated anchorage is affected, leading to modulate neural stem cell quiescence. Plays a role in cell-to-cell junction formation between pancreatic beta cells and neural crest stem (NCS) cells, promoting the formation of processes by NCS cells (By similarity). Required for proper neurite branching. Required for pre- and postsynaptic organization (By similarity). CDH2 may be involved in neuronal recognition mechanism. In hippocampal neurons, may regulate dendritic spine density.
See full target information CDH2

Product promise

We are committed to supporting your work with high-quality reagents, and we're here for you every step of the way. In the unlikely event that one of our products does not perform as expected, you're protected by our Product Promise.
For full details, please see our Terms & Conditions

Please note: All products are 'FOR RESEARCH USE ONLY. NOT FOR USE IN DIAGNOSTIC OR THERAPEUTIC PROCEDURES'.

For licensing inquiries, please contact partnerships@abcam.com