JavaScript is disabled in your browser. Please enable JavaScript to view this website.
AB245117

Anti-N Cadherin antibody [EPR22397-264]

  • RabMAb
  • Recombinant
  • KO Validated
  • 20ul selling size
  • What is this?

Be the first to review this product! Submit a review

|

(43 Publications)

Rabbit Recombinant Monoclonal N Cadherin antibody. Suitable for IP, Flow Cyt, WB and reacts with Human, Mouse, Rat samples. Cited in 43 publications.

View Alternative Names

CD325, CDHN, NCAD, CDH2, Cadherin-2, CDw325, Neural cadherin, N-cadherin

6 Images
Flow Cytometry - Anti-N Cadherin antibody [EPR22397-264] (AB245117)
  • Flow Cyt

Unknown

Flow Cytometry - Anti-N Cadherin antibody [EPR22397-264] (AB245117)

Flow cytometric analysis of MCF7 (human breast adenocarcinoma epithelial cell line, Left) / HeLa (human cervix adenocarcinoma epithelial cell line, Right) cell lines labeling N Cadherin with ab245117 at 1/500 (red) compared with a Rabbit monoclonal IgG (ab172730) (black) and an unlabeled control (cells without incubation with primary antibody and secondary antibody) (blue). Goat anti rabbit IgG (Alexa Fluor® 488, ab150077), at 1/2000 dilution was used as the secondary antibody.

Negative control : MCF7 (PMID : 9177902).

Gated on viable cells.

Immunoprecipitation - Anti-N Cadherin antibody [EPR22397-264] (AB245117)
  • IP

Unknown

Immunoprecipitation - Anti-N Cadherin antibody [EPR22397-264] (AB245117)

N Cadherin was immunoprecipitated from 0.35 mg HeLa (human cervix adenocarcinoma epithelial cell line) whole cell lysate with ab245117 at 1/30 dilution. Western blot was performed from the immunoprecipitate using ab245117 at 1/500 dilution. VeriBlot for IP Detection Reagent (HRP) (ab131366), was used for detection at 1/1000 dilution.

Lane 1 : HeLa whole cell lysate 10 μg (Input).
Lane 2 : ab245117 IP in HeLa whole cell lysate.
Lane 3 : Rabbit monoclonal IgG (ab172730) instead of ab245117 in HeLa whole cell lysate.

Blocking/Dilution buffer : 5% NFDM/TBST.
Exposure time : 3 seconds.

The molecular weight is consistent with literature (PMID : 8230319).

All lanes:

Immunoprecipitation - Anti-N Cadherin antibody [EPR22397-264] (ab245117)

Predicted band size: 99 kDa

Observed band size: 110 kDa,130 kDa

false

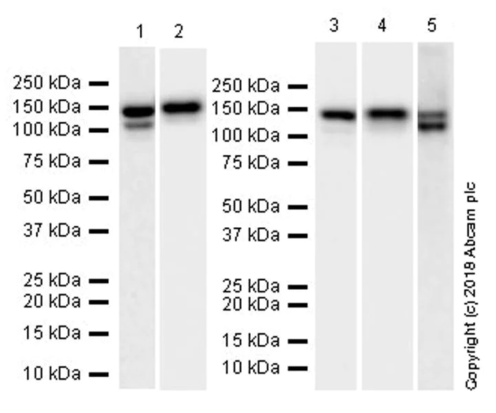
Western blot - Anti-N Cadherin antibody [EPR22397-264] (AB245117)
  • WB

Unknown

Western blot - Anti-N Cadherin antibody [EPR22397-264] (AB245117)

Blocking/Dilution buffer : 5% NFDM/TBST.

Exposure times : Lanes 1-3 : 26 seconds; Lanes 4-6 : 3 minutes; Lane 7 : 48 seconds.

The molecular weight is consistent with literature (PMID : 8230319).

Negative control : MCF7 (PMID : 9177902).

All lanes:

Western blot - Anti-N Cadherin antibody [EPR22397-264] (ab245117) at 1/1000 dilution

Lane 1:

HeLa (human epithelial cell line from cervix adenocarcinoma) whole cell lysate at 20 µg

Lane 2:

HepG2 (human liver hepatocellular carcinoma cell line) whole cell lysate at 20 µg

Lane 3:

MCF7 (human breast adenocarcinoma cell line) whole cell lysate at 20 µg

Lane 4:

PC-3 (human prostate adenocarcinoma epithelial cell) whole cell lysate at 20 µg

Lane 5:

C6 (rat glial tumor glial cell) whole cell lysate at 10 µg

Lane 6:

A549 (human lung carcinoma cell line) whole cell lysate at 20 µg

Lane 7:

Human brain lysate at 20 µg

Secondary

All lanes:

Western blot - Goat Anti-Rabbit IgG H&L (HRP) (<a href='/en-us/products/secondary-antibodies/goat-rabbit-igg-h-l-hrp-ab97051'>ab97051</a>) at 1/100000 dilution

Predicted band size: 99 kDa

Observed band size: 110 kDa,130 kDa

false

Western blot - Anti-N Cadherin antibody [EPR22397-264] (AB245117)
  • WB

Lab

Western blot - Anti-N Cadherin antibody [EPR22397-264] (AB245117)

Lanes 1-2 : Merged signal (red and green). Green - ab245117 observed at 110, 130 kDa. Red - loading control, ab8245 observed at 37 kDa.

ab245117 was shown to react with N Cadherin in wild-type HEK-293T cells in Western blot. Loss of signal was observed when knockout sample ab263843 was used. Wild-type and N Cadherin knockout samples were subjected to SDS-PAGE. ab245117 and Anti-GAPDH antibody [6C5] - Loading Control (ab8245) were incubated overnight at 4°C at 1 in 100000 dilution and 1 in 20000 dilution respectively. Blots were developed with Goat anti-Rabbit IgG H&L (IRDye® 800CW) preadsorbed (ab216773) and Goat anti-Mouse IgG H&L (IRDye® 680RD) preadsorbed (ab216776) secondary antibodies at 1 in 20000 dilution for 1 hour at room temperature before imaging.

All lanes:

Western blot - Anti-N Cadherin antibody [EPR22397-264] (ab245117) at 1/1000 dilution

Lane 1:

Wild-type HEK-293T cell lysate at 20 µg

Lane 2:

CDH2 knockout HEK-293T cell lysate at 20 µg

Lane 2:

Western blot - Human CDH2 (N Cadherin) knockout HEK-293T cell line (<a href='/en-us/products/cell-lines/human-cdh2-n-cadherin-knockout-hek-293t-cell-line-ab255377'>ab255377</a>)

Secondary

All lanes:

Western blot - Goat anti-Rabbit IgG H&L (IRDye® 800CW) preadsorbed (<a href='/en-us/products/secondary-antibodies/goat-rabbit-igg-h-l-irdye-800cw-preadsorbed-ab216773'>ab216773</a>) at 1/20000 dilution

Predicted band size: 99 kDa

Observed band size: 125 kDa,130 kDa

false

Western blot - Anti-N Cadherin antibody [EPR22397-264] (AB245117)
  • WB

Lab

Western blot - Anti-N Cadherin antibody [EPR22397-264] (AB245117)

False colour image of Western blot : Anti-N Cadherin antibody [EPR22397-264] staining at 1/1000 dilution, shown in green; Mouse anti-GAPDH antibody [6C5] (ab8245) loading control staining at 1/20000 dilution, shown in red. In Western blot, ab245117 was shown to bind specifically to N Cadherin. A band was observed at 125 kDa in wild-type HeLa cell lysates with no signal observed at this size in cdh2 knockout cell line ab274934 (knockout cell lysate ab274992). To generate this image, wild-type and cdh2 knockout HeLa cell lysates were analysed. First, samples were run on an SDS-PAGE gel then transferred onto a nitrocellulose membrane. Membranes were blocked in 3 % milk in TBS-0.1 % Tween® 20 (TBS-T) before incubation with primary antibodies overnight at 4 °C. Blots were washed four times in TBS-T, incubated with secondary antibodies for 1 h at room temperature, washed again four times then imaged. Secondary antibodies used were Goat anti-Rabbit IgG H&L 800CW and Goat anti-Mouse IgG H&L 680RD at 1/20000 dilution.

Lanes 1 - 2:

Western blot - Anti-N Cadherin antibody [EPR22397-264] (ab245117) at 1/1000 dilution

Lanes 1 - 2:

Western blot - Anti-N Cadherin antibody [EPR22397-264] - BSA and Azide free (<a href='/en-us/products/primary-antibodies/n-cadherin-antibody-epr22397-264-bsa-and-azide-free-ab245827'>ab245827</a>) at 1/1000 dilution

Lane 1:

Wild-type HeLa cell lysate at 20 µg

Lane 2:

Western blot - Human CDH2 (N cadherin) knockout HeLa cell line (ab274934)

Lane 2:

Western blot - Human CDH2 (N Cadherin) knockout HeLa cell lysate (ab274992)

Lane 2:

cdh2 knockout HeLa cell lysate at 20 µg

Secondary

All lanes:

Goat anti-Rabbit IgG H&L 800CW and Goat anti-Mouse IgG H&L 680RD at 1/20000 dilution

Observed band size: 125 kDa

false

Western blot - Anti-N Cadherin antibody [EPR22397-264] (AB245117)
  • WB

Unknown

Western blot - Anti-N Cadherin antibody [EPR22397-264] (AB245117)

Blocking/Dilution buffer : 5% NFDM/TBST.

Exposure times : Lane 1 : 3 minutes; Lane 2 : 26 seconds; Lane 3 : 48 seconds; Lane 4 : 10 seconds; Lane 5 : 3 minutes.

The molecular weight is consistent with literature (PMID : 8230319).

All lanes:

Western blot - Anti-N Cadherin antibody [EPR22397-264] (ab245117) at 1/1000 dilution

Lane 1:

Mouse brain lysate at 10 µg

Lane 2:

Mouse heart lysate at 10 µg

Lane 3:

Rat brain lysate at 10 µg

Lane 4:

Rat heart lysate at 10 µg

Lane 5:

Rat liver lysate at 10 µg

Secondary

All lanes:

Western blot - Goat Anti-Rabbit IgG H&L (HRP) (<a href='/en-us/products/secondary-antibodies/goat-rabbit-igg-h-l-hrp-ab97051'>ab97051</a>) at 1/100000 dilution

Predicted band size: 99 kDa

Observed band size: 110 kDa,130 kDa

false

  • Carrier free

    Anti-N Cadherin antibody [EPR22397-264] - BSA and Azide free

Key facts

Host species

Rabbit

Clonality

Monoclonal

Clone number

EPR22397-264

Isotype

IgG

Carrier free

No

Reacts with

Mouse, Rat, Human

Applications

WB, IP, Flow Cyt

applications

Immunogen

The exact immunogen used to generate this antibody is proprietary information.

Reactivity data

{ "title": "Reactivity Data", "filters": { "stats": ["", "Species", "Dilution Info", "Notes"], "tabs": { "all-applications": {"fullname" : "All Applications", "shortname": "All Applications"}, "IP" : {"fullname" : "Immunoprecipitation", "shortname":"IP"}, "FlowCyt" : {"fullname" : "Flow Cytometry", "shortname":"Flow Cyt"}, "WB" : {"fullname" : "Western blot", "shortname":"WB"}, "IHCP" : {"fullname" : "Immunohistochemistry (Formalin/PFA-fixed paraffin-embedded sections)", "shortname":"IHC-P"}, "ICCIF" : {"fullname" : "Immunocytochemistry/ Immunofluorescence", "shortname":"ICC/IF"} }, "product-promise": { "all": "all", "testedAndGuaranteed": "tested", "guaranteed": "expected", "predicted": "predicted", "notRecommended": "not-recommended" } }, "values": { "Human": { "IP-species-checked": "testedAndGuaranteed", "IP-species-dilution-info": "1/30", "IP-species-notes": "<p></p>", "FlowCyt-species-checked": "testedAndGuaranteed", "FlowCyt-species-dilution-info": "1/500", "FlowCyt-species-notes": "<p></p>", "WB-species-checked": "testedAndGuaranteed", "WB-species-dilution-info": "1/1000", "WB-species-notes": "<p></p>", "IHCP-species-checked": "notRecommended", "IHCP-species-dilution-info": "", "IHCP-species-notes": "<p></p>", "ICCIF-species-checked": "notRecommended", "ICCIF-species-dilution-info": "", "ICCIF-species-notes": "<p></p>" }, "Mouse": { "IP-species-checked": "guaranteed", "IP-species-dilution-info": "", "IP-species-notes": "", "FlowCyt-species-checked": "guaranteed", "FlowCyt-species-dilution-info": "", "FlowCyt-species-notes": "", "WB-species-checked": "testedAndGuaranteed", "WB-species-dilution-info": "1/1000", "WB-species-notes": "<p></p>", "IHCP-species-checked": "notRecommended", "IHCP-species-dilution-info": "", "IHCP-species-notes": "<p></p>", "ICCIF-species-checked": "notRecommended", "ICCIF-species-dilution-info": "", "ICCIF-species-notes": "<p></p>" }, "Rat": { "IP-species-checked": "guaranteed", "IP-species-dilution-info": "", "IP-species-notes": "", "FlowCyt-species-checked": "guaranteed", "FlowCyt-species-dilution-info": "", "FlowCyt-species-notes": "", "WB-species-checked": "testedAndGuaranteed", "WB-species-dilution-info": "1/1000", "WB-species-notes": "<p></p>", "IHCP-species-checked": "notRecommended", "IHCP-species-dilution-info": "", "IHCP-species-notes": "<p></p>", "ICCIF-species-checked": "notRecommended", "ICCIF-species-dilution-info": "", "ICCIF-species-notes": "<p></p>" } } }

Product details

Patented technology
Our RabMAb® technology is a patented hybridoma-based technology for making rabbit monoclonal antibodies. For details on our patents, please refer to RabMAb® patents.

What are the advantages of a recombinant monoclonal antibody?
This product is a recombinant monoclonal antibody, which offers several advantages including:

  • - High batch-to-batch consistency and reproducibility
  • - Improved sensitivity and specificity
  • - Long-term security of supply
  • - Animal-free batch production

For more information, read more on recombinant antibodies.

Properties and storage information

Form
Liquid
Purification technique
Affinity purification Protein A
Storage buffer
pH: 7.2 - 7.4 Preservative: 0.01% Sodium azide Constituents: PBS, 40% Glycerol (glycerin, glycerine), 0.05% BSA
Shipped at conditions
Blue Ice
Appropriate short-term storage duration
1-2 weeks
Appropriate short-term storage conditions
+4°C
Appropriate long-term storage conditions
-20°C
Aliquoting information
Upon delivery aliquot
Storage information
Avoid freeze / thaw cycle

Supplementary information

This supplementary information is collated from multiple sources and compiled automatically.

N-Cadherin also known as CDH2 or neuronal cadherin is a calcium-dependent cell adhesion protein. It is characterized by its role in mediating intercellular connections primarily through its presence on neurons fibroblasts and certain epithelial cells. N-Cadherin has an approximate mass of 130 kDa. The protein is integral in forming homophilic interactions where N-Cadherin molecules on adjacent cells interact to establish robust cell-cell adhesion.
Biological function summary

N-Cadherin significantly influences cell-cell interaction and communication facilitating cellular adhesion and signal transduction. It is a vital component of adherens junctions contributing to tissue morphogenesis and stability. N-Cadherin interacts with other cytoplasmic proteins such as catenins forming a complex essential for linking the actin cytoskeleton to the cell membrane. This interaction affects cellular behaviors including migration and differentiation.

Pathways

N-Cadherin plays a significant role in the neural development and epithelial-to-mesenchymal transition (EMT) pathways important for development and cancer progression. It engages with related proteins such as beta-catenin which helps transduce signals within these pathways. N-Cadherin's interactions within these pathways highlight its role in maintaining multicellular structure and signaling processes important for development and pathogenesis.

N-Cadherin is associated with cancer and heart disease. In cancer particularly in the context of the EMT N-Cadherin facilitates tumor progression and metastasis cooperating with proteins like Twist and Snail to promote these processes. In heart disease alterations in N-Cadherin expression and function can impact cardiac muscle integrity and syncytium highlighting potential interactions with connexin43 to maintain cardiac function. Understanding these associations provides insights into therapeutic targets for these conditions.

Product protocols

For this product, it's our understanding that no specific protocols are required. You can visit:

Target data

Calcium-dependent cell adhesion protein; preferentially mediates homotypic cell-cell adhesion by dimerization with a CDH2 chain from another cell. Cadherins may thus contribute to the sorting of heterogeneous cell types. Acts as a regulator of neural stem cells quiescence by mediating anchorage of neural stem cells to ependymocytes in the adult subependymal zone : upon cleavage by MMP24, CDH2-mediated anchorage is affected, leading to modulate neural stem cell quiescence. Plays a role in cell-to-cell junction formation between pancreatic beta cells and neural crest stem (NCS) cells, promoting the formation of processes by NCS cells (By similarity). Required for proper neurite branching. Required for pre- and postsynaptic organization (By similarity). CDH2 may be involved in neuronal recognition mechanism. In hippocampal neurons, may regulate dendritic spine density.
See full target information CDH2

Publications (43)

Recent publications for all applications. Explore the full list and refine your search

Oncology research 33:2379-2398 PubMed40918458

2025

Suppresses Colorectal Cancer Progression by Inhibiting Epithelial-Mesenchymal Transition via Regulation.

Applications

Unspecified application

Species

Unspecified reactive species

Yuhang Jiang,Yijun Xu,Qi Zhu,Yingxia Wu,Zhe Wang,Shuang He,Shiyong Yu,Honggang Xiang

Balkan medical journal 42:440-451 PubMed40888349

2025

Inhibition of PI3K and Hedgehog Signaling Pathway Inhibits Hypoxia-Induced Vasculogenic Mimicry Formation in Ovarian Cancer Stem Cells.

Applications

Unspecified application

Species

Unspecified reactive species

Jun Liang,Yun Bai,Huan Zhao

Cellular & molecular biology letters 30:92 PubMed40713509

2025

FLNA, a disulfidptosis-related gene, modulates tumor immunity and progression in colorectal cancer.

Applications

Unspecified application

Species

Unspecified reactive species

Qiong Li,Renhong Huang,Lingling Lv,Haifeng Ying,Yuan Wu,YuQing Huang,Yuxi Li,Wen Ma,Xiaoshuang Liu,Qinghui Meng,Fengying Xing,Yan Shen,Lan Zheng

Frontiers in oncology 15:1568367 PubMed40666104

2025

Hsa_circ_0001859 promotes NSCLC progression through the miRNA-101-3p/MMP1 axis.

Applications

Unspecified application

Species

Unspecified reactive species

Jianxin Tan,Zhenyu Fan,Rongguo Lu,Shugao Ye

Cell communication and signaling : CCS 23:162 PubMed40176110

2025

Decursin induces FLT3-ITD acute myeloid leukemia cell apoptosis by increasing the expression of the ubiquitin-conjugase UBE2L6.

Applications

Unspecified application

Species

Unspecified reactive species

Tianxin Zhang,Yuchen Li,Wenhao Liao,Yu Mou,Xue Zhan,Qiongying Hu,Ziyi Zhao,Daqian Xiong

Discover oncology 16:417 PubMed40153115

2025

NEK2 promotes cancer cell progression and 5-fluorouracil resistance via the Wnt/β-catenin signaling pathway in colorectal cancer.

Applications

Unspecified application

Species

Unspecified reactive species

Facai Cui,Yu Chen,Xiaoyu Wu,Weifeng Zhao

International journal of ophthalmology 18:209-215 PubMed39967985

2025

Skullcapflavone II suppresses TGF-β-induced corneal epithelial mesenchymal transition .

Applications

Unspecified application

Species

Unspecified reactive species

Meng-Xi Li,Zhen Zhang,Yue Zhang,Fan-Ru Zhao,Yu-Fan Li,Yu-Fei Dang,Yang-Yang Yue,Li Li

Scientific reports 14:29545 PubMed39604504

2024

Single-cell multiomics reveals simvastatin inhibits pan-cancer epithelial-mesenchymal transition via the MEK/ERK pathway in XBP1+ mast cells.

Applications

Unspecified application

Species

Unspecified reactive species

Sen Lin,Huimin Zhang,Ruiqi Zhao,Zhulin Wu,Weiqing Zhang,Mengjiao Yu,Bei Zhang,Lanyue Ma,Danfei Li,Lisheng Peng,Weijun Luo

Revista de investigacion clinica; organo del Hospital de Enfermedades de la Nutricion 76:103-115 PubMed38753591

2024

PITPNA-AS1 Inhibits Cell Proliferation and Migration in Ovarian Cancer by Regulating the MIR-223-3p/RHOB Axis.

Applications

Unspecified application

Species

Unspecified reactive species

Fei Zhang,Mi Zhang,Zhen Chen,Bo Yu,Xiaoqin He,Yongfang Luo,Fen Ai,Wenfeng Hu

PeerJ 11:e16523 PubMed38505381

2024

Circular RNA hsa_circ_0051246 acts as a microRNA-375 sponge to promote the progression of gastric cancer stem cells YAP1.

Applications

Unspecified application

Species

Unspecified reactive species

Minghui Deng,Yefeng Xu,Yongwei Yao,Yiqing Wang,Qingying Yan,Miao Cheng,YunXia Liu
View all publications

Product promise

We are committed to supporting your work with high-quality reagents, and we're here for you every step of the way. In the unlikely event that one of our products does not perform as expected, you're protected by our Product Promise.
For full details, please see our Terms & Conditions

Please note: All products are 'FOR RESEARCH USE ONLY. NOT FOR USE IN DIAGNOSTIC OR THERAPEUTIC PROCEDURES'.

For licensing inquiries, please contact partnerships@abcam.com