JavaScript is disabled in your browser. Please enable JavaScript to view this website.
AB18203

Anti-N Cadherin antibody - Intercellular Junction Marker

4

(48 Reviews)

|

(1042 Publications)

Anti-N Cadherin antibody - Intercellular Junction Marker (ab18203) is a rabbit polyclonal antibody detecting N Cadherin in Western Blot, IP, IHC-P, ICC/IF. Suitable for Human, Mouse, Rat.

- Over 830 publications
- Trusted since 2005

View Alternative Names

CD325, CDHN, NCAD, CDH2, Cadherin-2, CDw325, Neural cadherin, N-cadherin

13 Images
Western blot - Anti-N Cadherin antibody - Intercellular Junction Marker (AB18203)
  • WB

Ap

Western blot - Anti-N Cadherin antibody - Intercellular Junction Marker (AB18203)

This blot was produced using a 4-12% Bis-tris gel under the MOPS buffer system. The gel was run at 200V for 50 minutes before being transferred onto a Nitrocellulose membrane at 30V for 70 minutes. The membrane was then blocked for an hour using 2% Bovine Serum Albumin before being incubated with ab18203 overnight at 4°C. Antibody binding was detected using an anti-rabbit antibody conjugated to HRP, and visualised using ECL development solution ab133406.

The N Cadherin protein has a predicted molecular weight of 100 kDa, however it is extensively glycosylated and has been shown to run in the 125-135 kDa region (SwissProt data).

All lanes:

Western blot - Anti-N Cadherin antibody - Intercellular Junction Marker (ab18203) at 1 µg/mL

Lane 1:

Brain (Rat) Tissue Lysate at 10 µg

Lane 2:

Brain (Mouse) Tissue Lysate at 10 µg

Lane 3:

Brain (Human) Tissue Lysate at 20 µg

Secondary

All lanes:

Goat Anti-Rabbit IgG H&L (HRP) preadsorbed at 1/50000 dilution

Predicted band size: 99 kDa

Observed band size: 125 kDa

true

Exposure time: 1min

Immunohistochemistry (Formalin/PFA-fixed paraffin-embedded sections) - Anti-N Cadherin antibody - Intercellular Junction Marker (AB18203)
  • IHC-P

AbReview34951****

Immunohistochemistry (Formalin/PFA-fixed paraffin-embedded sections) - Anti-N Cadherin antibody - Intercellular Junction Marker (AB18203)

ab18203 staining N Cadherin in Human liver tissue sections by Immunohistochemistry (IHC-P - paraformaldehyde-fixed, paraffin-embedded sections). Tissue was fixed with formaldehyde and blocked with 10% serum for 30 minutes at 25°C; antigen retrieval was by heat mediation in a 10 mM citrate buffer pH6.0. Samples were incubated with primary antibody (1/100 in PBS plus casein) for 90 minutes at 37°C. A Biotin-conjugated Goat anti-rabbit IgG polyclonal (1/200) was used as the secondary antibody.

This image is courtesy of an anonymous Abreview

Immunocytochemistry/ Immunofluorescence - Anti-N Cadherin antibody - Intercellular Junction Marker (AB18203)
  • ICC/IF

Unknown

Immunocytochemistry/ Immunofluorescence - Anti-N Cadherin antibody - Intercellular Junction Marker (AB18203)

Anti-N Cadherin antibody - Intercellular Junction Marker (ab18203) stained human embryonic stem cells differentiated into mesoderm.

Immunocytochemistry/ Immunofluorescence - Anti-N Cadherin antibody - Intercellular Junction Marker (AB18203)
  • ICC/IF

AbReview60109****

Immunocytochemistry/ Immunofluorescence - Anti-N Cadherin antibody - Intercellular Junction Marker (AB18203)

Paraformaldehyde-fixed, 0.2% Triton X100 permeabilized HaCaT (human keratinocyte cell line) cells stained for N Cadherin (green) using ab18203 at 1/200 dilution in ICC/IF, followed by Donkey anti Rabbit Alexa Fluor 568 at 1/500 dilution.

This image is courtesy of an Abreview submitted by Dr. Ann Wheeler.

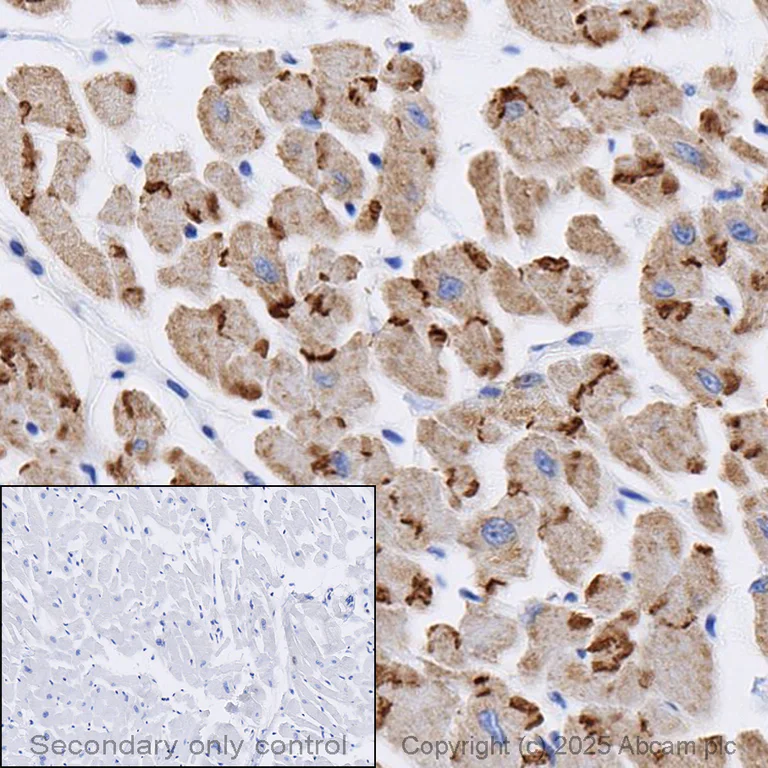
Immunohistochemistry (Formalin/PFA-fixed paraffin-embedded sections) - Anti-N Cadherin antibody - Intercellular Junction Marker (AB18203)
  • IHC-P

Lab

Immunohistochemistry (Formalin/PFA-fixed paraffin-embedded sections) - Anti-N Cadherin antibody - Intercellular Junction Marker (AB18203)

Immunohistochemical analysis of formalin fixed paraffin embedded human heart labelling N Cadherin with ab18203 at a concentration of 1µg/ml. The immunostaining was performed on a Ventana DISCOVERY ULTRA (Roche Tissue Diagnostics) instrument with a OptiView DAB IHC Detection Kit. Heat mediated antigen retrieval was performed with DISCOVERY cell conditioning solution (CC1) 100°C, pH8.5 for 32mins. ab18203 anti-N Cadherin antibody was incubated for 16mins at 37°C. Sections were counterstained with Hematoxylin II. Image inset shows absence of staining in secondary antibody only control.

Customers are encouraged to optimise antigen retrieval conditions, antibody concentration, incubation times and temperature for best results in their own IHC assay workflow (automated and manual).

Immunohistochemistry (Formalin/PFA-fixed paraffin-embedded sections) - Anti-N Cadherin antibody - Intercellular Junction Marker (AB18203)
  • IHC-P

Lab

Immunohistochemistry (Formalin/PFA-fixed paraffin-embedded sections) - Anti-N Cadherin antibody - Intercellular Junction Marker (AB18203)

Immunohistochemical analysis of formalin fixed paraffin embedded human testis labelling N Cadherin with ab18203 at a concentration of 1µg/ml. The immunostaining was performed on a Ventana DISCOVERY ULTRA (Roche Tissue Diagnostics) instrument with a OptiView DAB IHC Detection Kit. Heat mediated antigen retrieval was performed with DISCOVERY cell conditioning solution (CC1) 100°C, pH8.5 for 32mins. ab18203 anti-N Cadherin antibody was incubated for 16mins at 37°C. Sections were counterstained with Hematoxylin II. Image inset shows absence of staining in secondary antibody only control.

Customers are encouraged to optimise antigen retrieval conditions, antibody concentration, incubation times and temperature for best results in their own IHC assay workflow (automated and manual).

Immunohistochemistry (Formalin/PFA-fixed paraffin-embedded sections) - Anti-N Cadherin antibody - Intercellular Junction Marker (AB18203)
  • IHC-P

Unknown

Immunohistochemistry (Formalin/PFA-fixed paraffin-embedded sections) - Anti-N Cadherin antibody - Intercellular Junction Marker (AB18203)

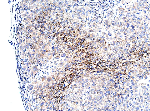
IHC image of N Cadherin staining in Human liver cancer formalin fixed paraffin embedded tissue section, performed on a Leica BondTM system using the standard protocol F. The section was pre-treated using heat mediated antigen retrieval with sodium citrate buffer (pH6, epitope retrieval solution 1) for 20 mins. The section was then incubated with ab18203, 1μg/ml, for 15 mins at room temperature and detected using an HRP conjugated compact polymer system. DAB was used as the chromogen. The section was then counterstained with haematoxylin and mounted with DPX.

For other IHC staining systems (automated and non-automated) customers should optimize variable parameters such as antigen retrieval conditions, primary antibody concentration and antibody incubation times.

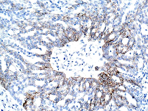
Immunohistochemistry (Formalin/PFA-fixed paraffin-embedded sections) - Anti-N Cadherin antibody - Intercellular Junction Marker (AB18203)
  • IHC-P

Collaborator

Immunohistochemistry (Formalin/PFA-fixed paraffin-embedded sections) - Anti-N Cadherin antibody - Intercellular Junction Marker (AB18203)

Anti N-cadherin (ab18203) staining of human ovarian cancer tissue using immunohistochemistry (formaldehyde-fixed, paraffin-embedded sections). Heat-mediated antigen retrieval was carried out using citric acid. Samples were incubated with primary antibody (1/1000) for two hours at room temperature. A biotin-conjugated goat anti-rabbit IgG polyclonal was used as the secondary antibody.

Image courtesy of Mr Carl Hobbs, Kings College London.

Immunohistochemistry (Formalin/PFA-fixed paraffin-embedded sections) - Anti-N Cadherin antibody - Intercellular Junction Marker (AB18203)
  • IHC-P

Collaborator

Immunohistochemistry (Formalin/PFA-fixed paraffin-embedded sections) - Anti-N Cadherin antibody - Intercellular Junction Marker (AB18203)

Anti N-cadherin (ab18203) staining of E17 developing rat retina using immunohistochemistry (formaldehyde-fixed, paraffin-embedded sections). Heat-mediated antigen retrieval was carried out using citric acid. Samples were incubated with primary antibody (1/1000) for two hours at room temperature. A biotin-conjugated goat anti-rabbit IgG polyclonal was used as the secondary antibody.

Image courtesy of Mr Carl Hobbs, Kings College London.

Immunohistochemistry (Formalin/PFA-fixed paraffin-embedded sections) - Anti-N Cadherin antibody - Intercellular Junction Marker (AB18203)
  • IHC-P

Collaborator

Immunohistochemistry (Formalin/PFA-fixed paraffin-embedded sections) - Anti-N Cadherin antibody - Intercellular Junction Marker (AB18203)

Anti N-cadherin (ab18203) staining of mouse brain using immunohistochemistry (formaldehyde-fixed, paraffin-embedded sections). Heat-mediated antigen retrieval was carried out using citric acid. Samples were incubated with primary antibody (1/1000) for two hours at room temperature. A biotin-conjugated goat anti-rabbit IgG polyclonal was used as the secondary antibody.

Image courtesy of Mr Carl Hobbs, Kings College London.

Immunohistochemistry (Formalin/PFA-fixed paraffin-embedded sections) - Anti-N Cadherin antibody - Intercellular Junction Marker (AB18203)
  • IHC-P

Collaborator

Immunohistochemistry (Formalin/PFA-fixed paraffin-embedded sections) - Anti-N Cadherin antibody - Intercellular Junction Marker (AB18203)

Anti N-cadherin (ab18203) staining in a human melanoma xenograft mouse model using immunohistochemistry (formaldehyde-fixed, paraffin-embedded sections). Heat-mediated antigen retrieval was carried out using citric acid. Samples were incubated with primary antibody (1/1000) for two hours at room temperature. A biotin-conjugated goat anti-rabbit IgG polyclonal was used as the secondary antibody.

Image courtesy of Mr Carl Hobbs, Kings College London.

Immunoprecipitation - Anti-N Cadherin antibody - Intercellular Junction Marker (AB18203)
  • IP

Unknown

Immunoprecipitation - Anti-N Cadherin antibody - Intercellular Junction Marker (AB18203)

N Cadherin was immunoprecipitated using 0.5mg Mouse Brain whole tissue lysate, 5µg of Rabbit polyclonal to N Cadherin and 50µl of protein G magnetic beads (+). No antibody was added to the control (-).
The antibody was incubated under agitation with Protein G beads for 10min, Mouse Brain whole tissue lysate lysate diluted in RIPA buffer was added to each sample and incubated for a further 10min under agitation.
Proteins were eluted by addition of 40µl SDS loading buffer and incubated for 10min at 70oC; 10µl of each sample was separated on a SDS PAGE gel, transferred to a nitrocellulose membrane, blocked with 5% BSA and probed with ab18203.
Secondary : Mouse monoclonal [SB62a] Secondary Antibody to Rabbit IgG light chain (HRP) (ab99697).
Band : 135kDa : N Cadherin

All lanes:

Immunoprecipitation - Anti-N Cadherin antibody - Intercellular Junction Marker (ab18203)

Predicted band size: 99 kDa

false

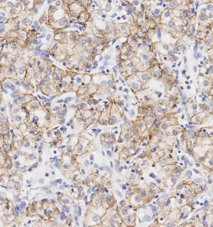
Immunohistochemistry (Formalin/PFA-fixed paraffin-embedded sections) - Anti-N Cadherin antibody - Intercellular Junction Marker (AB18203)
  • IHC-P

Lab

Immunohistochemistry (Formalin/PFA-fixed paraffin-embedded sections) - Anti-N Cadherin antibody - Intercellular Junction Marker (AB18203)

Immunohistochemistry of kidney carcinoma staining N Cadherin with ab18203 at 1μg/ml.

Key facts

Host species

Rabbit

Clonality

Polyclonal

Isotype

IgG

Carrier free

No

Reacts with

Human, Mouse, Rat

Applications

WB, IP, IHC-P, ICC/IF

applications

Immunogen

The exact immunogen used to generate this antibody is proprietary information.

Specificity

Replenishment batches of our polyclonal antibody, ab18203 are tested in WB. Previous batches were additionally validated in ICC/IF, IHC-P and IP. These applications are still expected to work and are covered by our Abpromise guarantee. You may also be interested in our alternative recombinant antibody, ab76011.

Reactivity data

{ "title": "Reactivity Data", "filters": { "stats": ["", "Species", "Dilution Info", "Notes"], "tabs": { "all-applications": {"fullname" : "All Applications", "shortname": "All Applications"}, "IHCP" : {"fullname" : "Immunohistochemistry (Formalin/PFA-fixed paraffin-embedded sections)", "shortname":"IHC-P"}, "IP" : {"fullname" : "Immunoprecipitation", "shortname":"IP"}, "WB" : {"fullname" : "Western blot", "shortname":"WB"}, "ICCIF" : {"fullname" : "Immunocytochemistry/ Immunofluorescence", "shortname":"ICC/IF"} }, "product-promise": { "all": "all", "testedAndGuaranteed": "tested", "guaranteed": "expected", "predicted": "predicted", "notRecommended": "not-recommended" } }, "values": { "Human": { "IHCP-species-checked": "testedAndGuaranteed", "IHCP-species-dilution-info": "1 µg/mL", "IHCP-species-notes": "<p></p> Perform heat-mediated antigen retrieval before commencing with IHC staining protocol.", "IP-species-checked": "guaranteed", "IP-species-dilution-info": "", "IP-species-notes": "", "WB-species-checked": "testedAndGuaranteed", "WB-species-dilution-info": "1 µg/mL", "WB-species-notes": "<p></p>", "ICCIF-species-checked": "testedAndGuaranteed", "ICCIF-species-dilution-info": "5 µg/mL", "ICCIF-species-notes": "<p></p>" }, "Mouse": { "IHCP-species-checked": "testedAndGuaranteed", "IHCP-species-dilution-info": "1 µg/mL", "IHCP-species-notes": "<p></p> Perform heat-mediated antigen retrieval before commencing with IHC staining protocol.", "IP-species-checked": "testedAndGuaranteed", "IP-species-dilution-info": "", "IP-species-notes": "<p></p>", "WB-species-checked": "testedAndGuaranteed", "WB-species-dilution-info": "1 µg/mL", "WB-species-notes": "<p></p>", "ICCIF-species-checked": "guaranteed", "ICCIF-species-dilution-info": "", "ICCIF-species-notes": "" }, "Rat": { "IHCP-species-checked": "testedAndGuaranteed", "IHCP-species-dilution-info": "1 µg/mL", "IHCP-species-notes": "<p></p> Perform heat-mediated antigen retrieval before commencing with IHC staining protocol.", "IP-species-checked": "guaranteed", "IP-species-dilution-info": "", "IP-species-notes": "", "WB-species-checked": "testedAndGuaranteed", "WB-species-dilution-info": "1 µg/mL", "WB-species-notes": "<p></p>", "ICCIF-species-checked": "guaranteed", "ICCIF-species-dilution-info": "", "ICCIF-species-notes": "" }, "Chicken": { "IHCP-species-checked": "predicted", "IHCP-species-dilution-info": "", "IHCP-species-notes": "", "IP-species-checked": "predicted", "IP-species-dilution-info": "", "IP-species-notes": "", "WB-species-checked": "predicted", "WB-species-dilution-info": "", "WB-species-notes": "", "ICCIF-species-checked": "predicted", "ICCIF-species-dilution-info": "", "ICCIF-species-notes": "" }, "Cow": { "IHCP-species-checked": "predicted", "IHCP-species-dilution-info": "", "IHCP-species-notes": "", "IP-species-checked": "predicted", "IP-species-dilution-info": "", "IP-species-notes": "", "WB-species-checked": "predicted", "WB-species-dilution-info": "", "WB-species-notes": "", "ICCIF-species-checked": "predicted", "ICCIF-species-dilution-info": "", "ICCIF-species-notes": "" }, "Pig": { "IHCP-species-checked": "predicted", "IHCP-species-dilution-info": "", "IHCP-species-notes": "", "IP-species-checked": "predicted", "IP-species-dilution-info": "", "IP-species-notes": "", "WB-species-checked": "predicted", "WB-species-dilution-info": "", "WB-species-notes": "", "ICCIF-species-checked": "predicted", "ICCIF-species-dilution-info": "", "ICCIF-species-notes": "" }, "Xenopus laevis": { "IHCP-species-checked": "predicted", "IHCP-species-dilution-info": "", "IHCP-species-notes": "", "IP-species-checked": "predicted", "IP-species-dilution-info": "", "IP-species-notes": "", "WB-species-checked": "predicted", "WB-species-dilution-info": "", "WB-species-notes": "", "ICCIF-species-checked": "predicted", "ICCIF-species-dilution-info": "", "ICCIF-species-notes": "" } } }

Product details

Product Specifications
Anti-N Cadherin antibody - Intercellular Junction Marker (ab18203) is a rabbit polyclonal antibody and is validated for use in ICC/IF, IHC-P, IP, WB in human, mouse, rat samples.
Anti-N Cadherin antibody - Intercellular Junction Marker (ab18203) specifically detects N Cadherin (UniProt ID: P19022; Molecular weight: 82kDa) and is sold in 100 µg selling sizes.

Quality and Validation
Abcam's high quality validation processes ensure Anti-N Cadherin antibody - Intercellular Junction Marker (ab18203) has high sensitivity and specificity.
Anti-N Cadherin antibody - Intercellular Junction Marker (ab18203) has been cited over 834 times in peer reviewed journals and is trusted by the scientific community.
Anti-N Cadherin antibody - Intercellular Junction Marker (ab18203) has 46 independent reviews from customers.

Properties and storage information

Form
Liquid
Purification technique
Affinity purification Immunogen
Storage buffer
pH: 7.4 Preservative: 0.02% Sodium azide Constituents: PBS, 1% BSA
Shipped at conditions
Blue Ice
Appropriate short-term storage duration
1-2 weeks
Appropriate short-term storage conditions
+4°C
Appropriate long-term storage conditions
-20°C
Aliquoting information
Upon delivery aliquot
Storage information
Avoid freeze / thaw cycle

Supplementary information

This supplementary information is collated from multiple sources and compiled automatically.

N-Cadherin also known as CDH2 or neuronal cadherin is a calcium-dependent cell adhesion protein. It is characterized by its role in mediating intercellular connections primarily through its presence on neurons fibroblasts and certain epithelial cells. N-Cadherin has an approximate mass of 130 kDa. The protein is integral in forming homophilic interactions where N-Cadherin molecules on adjacent cells interact to establish robust cell-cell adhesion.
Biological function summary

N-Cadherin significantly influences cell-cell interaction and communication facilitating cellular adhesion and signal transduction. It is a vital component of adherens junctions contributing to tissue morphogenesis and stability. N-Cadherin interacts with other cytoplasmic proteins such as catenins forming a complex essential for linking the actin cytoskeleton to the cell membrane. This interaction affects cellular behaviors including migration and differentiation.

Pathways

N-Cadherin plays a significant role in the neural development and epithelial-to-mesenchymal transition (EMT) pathways important for development and cancer progression. It engages with related proteins such as beta-catenin which helps transduce signals within these pathways. N-Cadherin's interactions within these pathways highlight its role in maintaining multicellular structure and signaling processes important for development and pathogenesis.

N-Cadherin is associated with cancer and heart disease. In cancer particularly in the context of the EMT N-Cadherin facilitates tumor progression and metastasis cooperating with proteins like Twist and Snail to promote these processes. In heart disease alterations in N-Cadherin expression and function can impact cardiac muscle integrity and syncytium highlighting potential interactions with connexin43 to maintain cardiac function. Understanding these associations provides insights into therapeutic targets for these conditions.

Product protocols

For this product, it's our understanding that no specific protocols are required. You can visit:

Target data

Calcium-dependent cell adhesion protein; preferentially mediates homotypic cell-cell adhesion by dimerization with a CDH2 chain from another cell. Cadherins may thus contribute to the sorting of heterogeneous cell types. Acts as a regulator of neural stem cells quiescence by mediating anchorage of neural stem cells to ependymocytes in the adult subependymal zone : upon cleavage by MMP24, CDH2-mediated anchorage is affected, leading to modulate neural stem cell quiescence. Plays a role in cell-to-cell junction formation between pancreatic beta cells and neural crest stem (NCS) cells, promoting the formation of processes by NCS cells (By similarity). Required for proper neurite branching. Required for pre- and postsynaptic organization (By similarity). CDH2 may be involved in neuronal recognition mechanism. In hippocampal neurons, may regulate dendritic spine density. May promote axon outgrowth and motor fiber repair via DSP-mediated recruitment to outgrowth tips (By similarity).
See full target information CDH2

Publications (1042)

Recent publications for all applications. Explore the full list and refine your search

Toxins 17: PubMed40864097

2025

Kynurenine Promotes Phosphate-Induced Endothelial Calcification via Endothelial-to-Mesenchymal Transition, Osteoblastic Differentiation and AhR Activation.

Applications

Unspecified application

Species

Unspecified reactive species

Martina Molinaro,Mario Cozzolino,Paola Ciceri

Europace : European pacing, arrhythmias, and cardiac electrophysiology : journal of the working groups on cardiac pacing, arrhythmias, and cardiac cellular electrophysiology of the European Society of Cardiology 27: PubMed40879390

2025

Comprehensive analysis of desmosomal protein remodelling identifies desmocollin-2 as potential biomarker for arrhythmogenic cardiomyopathy.

Applications

Unspecified application

Species

Unspecified reactive species

Jie Ren,Zhenliang Hu,Lingmin Wu,Deniz Akdis,Weiquan Ye,Ardan M Saguner,Mingming Su,Hongbin Dong,Zhongli Chen,Dan Hu,Shengshou Hu,Firat Duru,Liang Chen

Investigative ophthalmology & visual science 66:9 PubMed40762538

2025

Effects of Cholesterol Metabolism on Corneal Endothelial Dysfunction in Patients With Type 1 Diabetes.

Applications

Unspecified application

Species

Unspecified reactive species

Zhichao Ren,Zongyi Li,Shengqian Dou,Hongran Zhao,Lixin Xie

Stem cell research & therapy 16:399 PubMed40702577

2025

From inflammation to healing: the crucial role of GPR91 activation and SDH inhibition in chronic diabetic wound recovery.

Applications

Unspecified application

Species

Unspecified reactive species

Hengdeng Liu,Shixin Zhao,Hanwen Wang,Xuefeng He,Suyue Gao,Minmin Su,Miao Zhen,Shuying Chen,Lei Chen,Julin Xie

Biology direct 20:77 PubMed40605022

2025

In vitro synergistic effect of AXL, FAK and ErbB receptors inhibitors for head and neck cancer.

Applications

Unspecified application

Species

Unspecified reactive species

Valeria Lucarini,Valentina Angiolini,Daniela Nardozi,Monica Benvenuto,Chiara Focaccetti,Patrizia Mancini,Elena Splendiani,Tanja Milena Autilio,Claudio Cortese,Riccardo Bei,Gianluca Nicolai,Camilla Palumbo,Elisabetta Ferretti,Loredana Cifaldi,Roberto Bei,Laura Masuelli

Scientific reports 15:20504 PubMed40594443

2025

Region-specific roles of stress-activated protein kinase MKK7 in the developing and maturing murine brain.

Applications

Unspecified application

Species

Unspecified reactive species

Satoshi Kofuji,Yiming Qian,Hiroshi Nishina

Frontiers in immunology 16:1531279 PubMed40475784

2025

Epithelial-to-mesenchymal transition is an active process in the large airways of patients with asthma-COPD overlap and partially abrogated by inhaled corticosteroid treatment: a bronchoscopy endobronchial biopsy study.

Applications

Unspecified application

Species

Unspecified reactive species

Surajit Dey,Wenying Lu,Prabuddha S Pathinayake,Maddison Waters,Greg Haug,Josie Larby,Heinrich C Weber,Peter A B Wark,Mathew Suji Eapen,Sukhwinder Singh Sohal

European journal of histochemistry : EJH 69: PubMed40336362

2025

MiR-122-5p inhibits the epithelial mesenchymal transition of liver cancer cells by inducing hiPSCs to differentiate into hepatocyte-like cells.

Applications

Unspecified application

Species

Unspecified reactive species

Qianzhe Xing,Yanjie Xu,Ying Luo,Chenglong Li,Peng Wang,Bin Kang,Chengjun Lu

Discover oncology 16:546 PubMed40244374

2025

miR-130a-5p/TFPI2 axis promotes invasion of hepatocellular carcinoma by altering epithelial-to-mesenchymal transition.

Applications

Unspecified application

Species

Unspecified reactive species

Xiaoyuan Gu,Hongmin Lu,Wei Wang,Zijun Zhao,Weiqiang Zhang,Xinyuan Lu

Cell death & disease 16:210 PubMed40148314

2025

Role of the PI3K/AKT signaling pathway in the cellular response to Tumor Treating Fields (TTFields).

Applications

Unspecified application

Species

Unspecified reactive species

Anat Klein-Goldberg,Tali Voloshin,Efrat Zemer Tov,Rom Paz,Lina Somri-Gannam,Alexandra Volodin,Lilach Koren,Lena Lifshitz,Aviv Meir,Ayelet Shabtay-Orbach,Roni Blatt,Shay Cahal,Catherine Tempel-Brami,Kerem Wainer-Katsir,Tal Kan,Bella Koltun,Boris Brant,Yiftah Barsheshet,Adi Haber,Moshe Giladi,Uri Weinberg,Yoram Palti
View all publications

Product promise

We are committed to supporting your work with high-quality reagents, and we're here for you every step of the way. In the unlikely event that one of our products does not perform as expected, you're protected by our Product Promise.
For full details, please see our Terms & Conditions

Please note: All products are 'FOR RESEARCH USE ONLY. NOT FOR USE IN DIAGNOSTIC OR THERAPEUTIC PROCEDURES'.

For licensing inquiries, please contact partnerships@abcam.com