JavaScript is disabled in your browser. Please enable JavaScript to view this website.
AB240403

Anti-N Cadherin antibody [SP90] - BSA and Azide free

1

(1 Review)

|

(1 Publication)

Rabbit Recombinant Monoclonal N Cadherin antibody. Carrier free. Suitable for IHC-P, Flow Cyt (Intra) and reacts with Human, Mouse, Rat samples. Cited in 1 publication.

View Alternative Names

CD325, CDHN, NCAD, CDH2, Cadherin-2, CDw325, Neural cadherin, N-cadherin

13 Images
Immunohistochemistry (Formalin/PFA-fixed paraffin-embedded sections) - Anti-N Cadherin antibody [SP90] - BSA and Azide free (AB240403)
  • IHC-P

Supplier Data

Immunohistochemistry (Formalin/PFA-fixed paraffin-embedded sections) - Anti-N Cadherin antibody [SP90] - BSA and Azide free (AB240403)

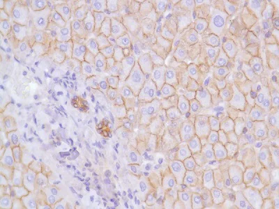
Formalin-fixed, paraffin-embedded human renal cell carcinoma tissue stained for N Cadherin with ab225719 at 1/100 dilution in immunohistochemical analysis.

This data was developed using the same antibody clone in a different buffer formulation containing PBS, BSA, glycerol, and sodium azide (ab225719).

Flow Cytometry (Intracellular) - Anti-N Cadherin antibody [SP90] - BSA and Azide free (AB240403)
  • Flow Cyt (Intra)

Supplier Data

Flow Cytometry (Intracellular) - Anti-N Cadherin antibody [SP90] - BSA and Azide free (AB240403)

Intracellular flow cytometric analysis of HeLa (human epithelial cell line from cervix adenocarcinoma) cell line labeling N Cadherin with ab225719 at 1/100 (green) compared with an isotype control rabbit IgG (blue).

This data was developed using the same antibody clone in a different buffer formulation containing PBS, BSA, glycerol, and sodium azide (ab225719).

Immunohistochemistry (Formalin/PFA-fixed paraffin-embedded sections) - Anti-N Cadherin antibody [SP90] - BSA and Azide free (AB240403)
  • IHC-P

Supplier Data

Immunohistochemistry (Formalin/PFA-fixed paraffin-embedded sections) - Anti-N Cadherin antibody [SP90] - BSA and Azide free (AB240403)

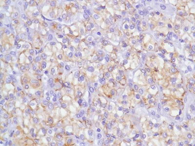
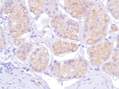
Formalin-fixed, paraffin-embedded human adrenal gland tissue stained for N Cadherin with ab225719 at 1/100 dilution in immunohistochemical analysis.

This data was developed using the same antibody clone in a different buffer formulation containing PBS, BSA, glycerol, and sodium azide (ab225719).

Immunohistochemistry (Formalin/PFA-fixed paraffin-embedded sections) - Anti-N Cadherin antibody [SP90] - BSA and Azide free (AB240403)
  • IHC-P

Supplier Data

Immunohistochemistry (Formalin/PFA-fixed paraffin-embedded sections) - Anti-N Cadherin antibody [SP90] - BSA and Azide free (AB240403)

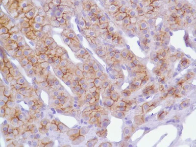
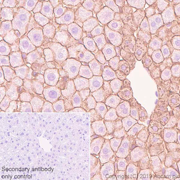
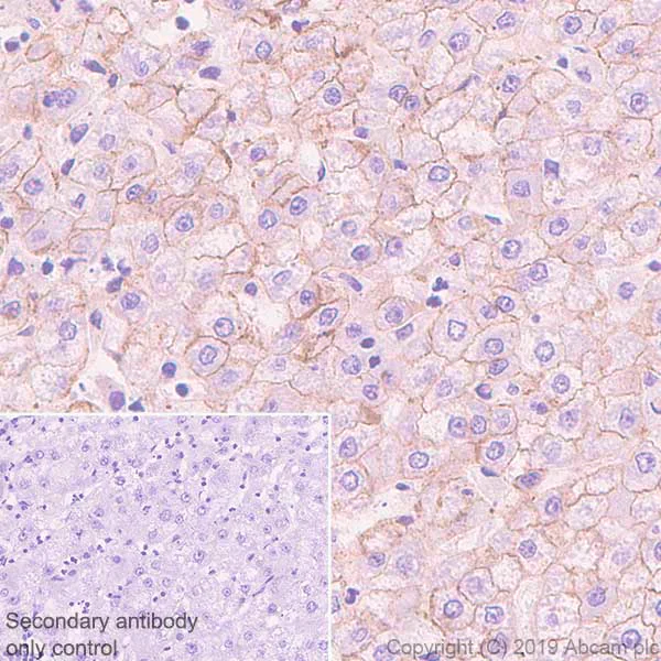
Formalin-fixed, paraffin-embedded human liver tissue stained for N Cadherin with ab225719 at 1/100 dilution in immunohistochemical analysis.

This data was developed using the same antibody clone in a different buffer formulation containing PBS, BSA, glycerol, and sodium azide (ab225719).

Immunohistochemistry (Formalin/PFA-fixed paraffin-embedded sections) - Anti-N Cadherin antibody [SP90] - BSA and Azide free (AB240403)
  • IHC-P

Supplier Data

Immunohistochemistry (Formalin/PFA-fixed paraffin-embedded sections) - Anti-N Cadherin antibody [SP90] - BSA and Azide free (AB240403)

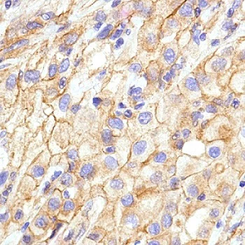
Formalin-fixed, paraffin-embedded human mesothelioma tissue stained for N Cadherin with ab225719 at 1/100 dilution in immunohistochemical analysis.

This data was developed using the same antibody clone in a different buffer formulation containing PBS, BSA, and sodium azide (ab225719).

Immunohistochemistry (Formalin/PFA-fixed paraffin-embedded sections) - Anti-N Cadherin antibody [SP90] - BSA and Azide free (AB240403)
  • IHC-P

Supplier Data

Immunohistochemistry (Formalin/PFA-fixed paraffin-embedded sections) - Anti-N Cadherin antibody [SP90] - BSA and Azide free (AB240403)

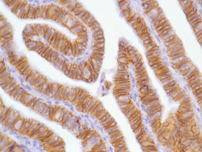
Formalin-fixed, paraffin-embedded human stomach tissue stained for N Cadherin with ab225719 at 1/100 dilution in immunohistochemical analysis.

This data was developed using the same antibody clone in a different buffer formulation containing PBS, BSA, glycerol, and sodium azide (ab225719).

Flow Cytometry (Intracellular) - Anti-N Cadherin antibody [SP90] - BSA and Azide free (AB240403)
  • Flow Cyt (Intra)

Unknown

Flow Cytometry (Intracellular) - Anti-N Cadherin antibody [SP90] - BSA and Azide free (AB240403)

Intracellular Flow Cytometry analysis of HeLa (human cervix adenocarcinoma) labeling N Cadherin with purified ab225719 at 1/20 dilution (4.55μg/ml) (red). Cells were fixed with 4% paraformaldehyde and permeabilised with 90% methanol. Goat anti rabbit IgG (Alexa Fluor® 488, ab150077) at 1/2000 dilution was used as a secondary antibody. Isotypecontrol - Rabbit monoclonal IgG (ab172730) (black). Unlableled control - Unlabelled cells (blue).

This data was developed using the same antibody clone in a different buffer formulation containing PBS, BSA, glycerol, and sodium azide (ab225719).

Immunohistochemistry (Formalin/PFA-fixed paraffin-embedded sections) - Anti-N Cadherin antibody [SP90] - BSA and Azide free (AB240403)
  • IHC-P

Unknown

Immunohistochemistry (Formalin/PFA-fixed paraffin-embedded sections) - Anti-N Cadherin antibody [SP90] - BSA and Azide free (AB240403)

Immunohistochemistry (Formalin/PFA-fixed paraffin-embedded sections) analysis of Human heart tissue sections labeling N Cadherin with Purified ab225719 at 1/100 dilution (0.56 µg/ml). Heat mediated antigen retrieval was performed Heat mediated antigen retrieval with Tris-EDTA buffer (pH 9.0, epitope retrieval solution 2) for 20mins. Rabbit specific IHC polymer detection kit HRP/DAB (ab209101) was used as the secondary antibody. Negative control : PBS instead of the primary antibody. Hematoxylin was used as a counterstain.
This data was developed using the same antibody clone in a different buffer formulation containing PBS, BSA, glycerol, and sodium azide (ab225719)

Immunohistochemistry (Formalin/PFA-fixed paraffin-embedded sections) - Anti-N Cadherin antibody [SP90] - BSA and Azide free (AB240403)
  • IHC-P

Supplier Data

Immunohistochemistry (Formalin/PFA-fixed paraffin-embedded sections) - Anti-N Cadherin antibody [SP90] - BSA and Azide free (AB240403)

Formalin-fixed, paraffin-embedded human fallopian tube tissue stained for N Cadherin with ab225719 at 1/100 dilution in immunohistochemical analysis.

This data was developed using the same antibody clone in a different buffer formulation containing PBS, BSA, glycerol, and sodium azide (ab225719).

Immunohistochemistry (Formalin/PFA-fixed paraffin-embedded sections) - Anti-N Cadherin antibody [SP90] - BSA and Azide free (AB240403)
  • IHC-P

Unknown

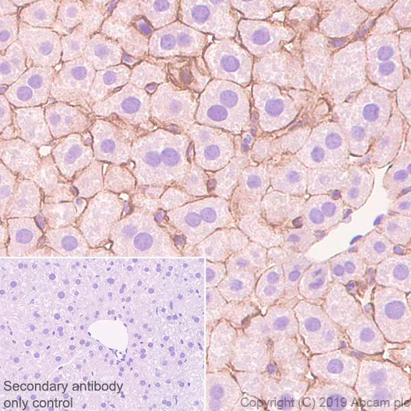
Immunohistochemistry (Formalin/PFA-fixed paraffin-embedded sections) - Anti-N Cadherin antibody [SP90] - BSA and Azide free (AB240403)

Immunohistochemistry (Formalin/PFA-fixed paraffin-embedded sections) analysis of Human liver tissue sections labeling N Cadherin with Purified ab225719 at 1/100 dilution (0.56 µg/ml). Heat mediated antigen retrieval was performed Heat mediated antigen retrieval with Tris-EDTA buffer (pH 9.0, epitope retrieval solution 2) for 20mins. Rabbit specific IHC polymer detection kit HRP/DAB (ab209101) was used as the secondary antibody. Negative control : PBS instead of the primary antibody. Hematoxylin was used as a counterstain.
This data was developed using the same antibody clone in a different buffer formulation containing PBS, BSA, glycerol, and sodium azide (ab225719)

Immunohistochemistry (Formalin/PFA-fixed paraffin-embedded sections) - Anti-N Cadherin antibody [SP90] - BSA and Azide free (AB240403)
  • IHC-P

Supplier Data

Immunohistochemistry (Formalin/PFA-fixed paraffin-embedded sections) - Anti-N Cadherin antibody [SP90] - BSA and Azide free (AB240403)

Formalin-fixed, paraffin-embedded human mesothelioma tissue stained for N Cadherin with ab225719 at 1/100 dilution in immunohistochemical analysis.

This data was developed using the same antibody clone in a different buffer formulation containing PBS, BSA, glycerol, and sodium azide (ab225719).

Immunohistochemistry (Formalin/PFA-fixed paraffin-embedded sections) - Anti-N Cadherin antibody [SP90] - BSA and Azide free (AB240403)
  • IHC-P

Unknown

Immunohistochemistry (Formalin/PFA-fixed paraffin-embedded sections) - Anti-N Cadherin antibody [SP90] - BSA and Azide free (AB240403)

Immunohistochemistry (Formalin/PFA-fixed paraffin-embedded sections) analysis of Mouse liver tissue sections labeling N Cadherin with Purified ab225719 at 1/100 dilution (0.56 µg/ml). Heat mediated antigen retrieval was performed Heat mediated antigen retrieval with Tris-EDTA buffer (pH 9.0, epitope retrieval solution 2) for 20mins. Rabbit specific IHC polymer detection kit HRP/DAB (ab209101) was used as the secondary antibody. Negative control : PBS instead of the primary antibody. Hematoxylin was used as a counterstain.
This data was developed using the same antibody clone in a different buffer formulation containing PBS, BSA, glycerol, and sodium azide (ab225719)

Immunohistochemistry (Formalin/PFA-fixed paraffin-embedded sections) - Anti-N Cadherin antibody [SP90] - BSA and Azide free (AB240403)
  • IHC-P

Unknown

Immunohistochemistry (Formalin/PFA-fixed paraffin-embedded sections) - Anti-N Cadherin antibody [SP90] - BSA and Azide free (AB240403)

Immunohistochemistry (Formalin/PFA-fixed paraffin-embedded sections) analysis of Rat liver tissue sections labeling N Cadherin with Purified ab225719 at 1/100 dilution (0.56 µg/ml). Heat mediated antigen retrieval was performed Heat mediated antigen retrieval with Tris-EDTA buffer (pH 9.0, epitope retrieval solution 2) for 20mins. Rabbit specific IHC polymer detection kit HRP/DAB (ab209101) was used as the secondary antibody. Negative control : PBS instead of the primary antibody. Hematoxylin was used as a counterstain.
This data was developed using the same antibody clone in a different buffer formulation containing PBS, BSA, glycerol, and sodium azide (ab225719)

Key facts

Host species

Rabbit

Clonality

Monoclonal

Clone number

SP90

Isotype

IgG

Carrier free

Yes

Reacts with

Mouse, Rat, Human

Applications

IHC-P, Flow Cyt (Intra)

applications

Immunogen

The exact immunogen used to generate this antibody is proprietary information.

Reactivity data

{ "title": "Reactivity Data", "filters": { "stats": ["", "Species", "Dilution Info", "Notes"], "tabs": { "all-applications": {"fullname" : "All Applications", "shortname": "All Applications"}, "IHCP" : {"fullname" : "Immunohistochemistry (Formalin/PFA-fixed paraffin-embedded sections)", "shortname":"IHC-P"}, "FlowCytIntra" : {"fullname" : "Flow Cytometry (Intracellular)", "shortname":"Flow Cyt (Intra)"} }, "product-promise": { "all": "all", "testedAndGuaranteed": "tested", "guaranteed": "expected", "predicted": "predicted", "notRecommended": "not-recommended" } }, "values": { "Human": { "IHCP-species-checked": "testedAndGuaranteed", "IHCP-species-dilution-info": "", "IHCP-species-notes": "<p>Antigen retrieval: Boil tissue section in 1mM EDTA, pH 8.0 for 10 minutes followed by cooling at room temperature for 20 minutes.</p>", "FlowCytIntra-species-checked": "testedAndGuaranteed", "FlowCytIntra-species-dilution-info": "", "FlowCytIntra-species-notes": "<p></p>" }, "Mouse": { "IHCP-species-checked": "testedAndGuaranteed", "IHCP-species-dilution-info": "", "IHCP-species-notes": "<p>Antigen retrieval: Boil tissue section in 1mM EDTA, pH 8.0 for 10 minutes followed by cooling at room temperature for 20 minutes.</p>", "FlowCytIntra-species-checked": "guaranteed", "FlowCytIntra-species-dilution-info": "", "FlowCytIntra-species-notes": "" }, "Rat": { "IHCP-species-checked": "testedAndGuaranteed", "IHCP-species-dilution-info": "", "IHCP-species-notes": "<p>Antigen retrieval: Boil tissue section in 1mM EDTA, pH 8.0 for 10 minutes followed by cooling at room temperature for 20 minutes.</p>", "FlowCytIntra-species-checked": "guaranteed", "FlowCytIntra-species-dilution-info": "", "FlowCytIntra-species-notes": "" }, "Cow": { "IHCP-species-checked": "predicted", "IHCP-species-dilution-info": "", "IHCP-species-notes": "", "FlowCytIntra-species-checked": "predicted", "FlowCytIntra-species-dilution-info": "", "FlowCytIntra-species-notes": "" } } }

Product details

ab240403 is the carrier-free version of ab225719.

What are the advantages of a recombinant monoclonal antibody?
This product is a recombinant monoclonal antibody, which offers several advantages including:

  • - High batch-to-batch consistency and reproducibility
  • - Improved sensitivity and specificity
  • - Long-term security of supply
  • - Animal-free batch production

For more information, read more on recombinant antibodies.

Conjugation ready
Our carrier-free antibodies are typically supplied in a PBS-only formulation, purified and free of BSA, sodium azide and glycerol. This conjugation-ready format is designed for use with fluorochromes, metal isotopes, oligonucleotides, and enzymes, which makes them ideal for antibody labelling, functional and cell-based assays, flow-based assays (e.g. mass cytometry) and Multiplex Imaging applications.

Use our conjugation kits for antibody conjugates that are ready-to-use in as little as 20 minutes with 1 minute hands-on-time and 100% antibody recovery: available for fluorescent dyes, HRP, biotin and gold.

Compatibility
This product is compatible with the Maxpar® Antibody Labeling Kit from Fluidigm, without the need for antibody preparation. Maxpar® is a trademark of Fluidigm Canada Inc.

Properties and storage information

Form
Liquid
Purification technique
Affinity purification Protein A/G
Purification notes
Purified from TCS by protein A/G.
Storage buffer
pH: 7.2 - 7.4 Constituents: PBS
Shipped at conditions
Blue Ice
Appropriate short-term storage conditions
+4°C
Appropriate long-term storage conditions
+4°C
Storage information
Do Not Freeze

Supplementary information

This supplementary information is collated from multiple sources and compiled automatically.

N-Cadherin also known as CDH2 or neuronal cadherin is a calcium-dependent cell adhesion protein. It is characterized by its role in mediating intercellular connections primarily through its presence on neurons fibroblasts and certain epithelial cells. N-Cadherin has an approximate mass of 130 kDa. The protein is integral in forming homophilic interactions where N-Cadherin molecules on adjacent cells interact to establish robust cell-cell adhesion.
Biological function summary

N-Cadherin significantly influences cell-cell interaction and communication facilitating cellular adhesion and signal transduction. It is a vital component of adherens junctions contributing to tissue morphogenesis and stability. N-Cadherin interacts with other cytoplasmic proteins such as catenins forming a complex essential for linking the actin cytoskeleton to the cell membrane. This interaction affects cellular behaviors including migration and differentiation.

Pathways

N-Cadherin plays a significant role in the neural development and epithelial-to-mesenchymal transition (EMT) pathways important for development and cancer progression. It engages with related proteins such as beta-catenin which helps transduce signals within these pathways. N-Cadherin's interactions within these pathways highlight its role in maintaining multicellular structure and signaling processes important for development and pathogenesis.

N-Cadherin is associated with cancer and heart disease. In cancer particularly in the context of the EMT N-Cadherin facilitates tumor progression and metastasis cooperating with proteins like Twist and Snail to promote these processes. In heart disease alterations in N-Cadherin expression and function can impact cardiac muscle integrity and syncytium highlighting potential interactions with connexin43 to maintain cardiac function. Understanding these associations provides insights into therapeutic targets for these conditions.

Product protocols

For this product, it's our understanding that no specific protocols are required. You can visit:

Target data

Calcium-dependent cell adhesion protein; preferentially mediates homotypic cell-cell adhesion by dimerization with a CDH2 chain from another cell. Cadherins may thus contribute to the sorting of heterogeneous cell types. Acts as a regulator of neural stem cells quiescence by mediating anchorage of neural stem cells to ependymocytes in the adult subependymal zone : upon cleavage by MMP24, CDH2-mediated anchorage is affected, leading to modulate neural stem cell quiescence. Plays a role in cell-to-cell junction formation between pancreatic beta cells and neural crest stem (NCS) cells, promoting the formation of processes by NCS cells (By similarity). Required for proper neurite branching. Required for pre- and postsynaptic organization (By similarity). CDH2 may be involved in neuronal recognition mechanism. In hippocampal neurons, may regulate dendritic spine density. May promote axon outgrowth and motor fiber repair via DSP-mediated recruitment to outgrowth tips (By similarity).
See full target information CDH2

Publications (1)

Recent publications for all applications. Explore the full list and refine your search

Scientific reports 13:15508 PubMed37726363

2023

A 3D adrenocortical carcinoma tumor platform for preclinical modeling of drug response and matrix metalloproteinase activity.

Applications

Unspecified application

Species

Unspecified reactive species

Priya H Dedhia,Hemamylammal Sivakumar,Marco A Rodriguez,Kylie G Nairon,Joshua M Zent,Xuguang Zheng,Katie Jones,Liudmila V Popova,Jennifer L Leight,Aleksander Skardal
View all publications

Product promise

We are committed to supporting your work with high-quality reagents, and we're here for you every step of the way. In the unlikely event that one of our products does not perform as expected, you're protected by our Product Promise.
For full details, please see our Terms & Conditions

Please note: All products are 'FOR RESEARCH USE ONLY. NOT FOR USE IN DIAGNOSTIC OR THERAPEUTIC PROCEDURES'.

For licensing inquiries, please contact partnerships@abcam.com