JavaScript is disabled in your browser. Please enable JavaScript to view this website.
AB183724

Anti-N myc interactor/NMI antibody [EPR11065(2)]

Be the first to review this product! Submit a review

|

(9 Publications)

Rabbit Recombinant Monoclonal N myc interactor/NMI antibody. Suitable for IP, WB, ICC/IF, IHC-P and reacts with Human samples. Cited in 9 publications.

View Alternative Names

N-myc-interactor, Nmi, N-myc and STAT interactor, NMI

6 Images
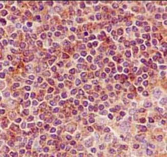
Immunohistochemistry (Formalin/PFA-fixed paraffin-embedded sections) - Anti-N myc interactor/NMI antibody [EPR11065(2)] (AB183724)
  • IHC-P

Supplier Data

Immunohistochemistry (Formalin/PFA-fixed paraffin-embedded sections) - Anti-N myc interactor/NMI antibody [EPR11065(2)] (AB183724)

Immunohistochemical analysis of paraffin-embedded Human tonsil tissue labeling N myc interactor/NMI with ab183724 at 1/50 dilution. The slide is counterstained with Hematoxylin.

Perform heat mediated antigen retrieval with EDTA buffer pH 9 before commencing with IHC staining protocol.

Immunocytochemistry/ Immunofluorescence - Anti-N myc interactor/NMI antibody [EPR11065(2)] (AB183724)
  • ICC/IF

Supplier Data

Immunocytochemistry/ Immunofluorescence - Anti-N myc interactor/NMI antibody [EPR11065(2)] (AB183724)

Immunofluorescence analysis of acetone-fixed HeLa cells labeling N myc interactor/NMI with ab183724 at 1/100 dilution. Goat anti-rabbit IgG (Alexa Fluor® 488) at 1/200 dilution was used as the secondary antibody (green). The slide on the right is stained with Dapi (blue).

Immunoprecipitation - Anti-N myc interactor/NMI antibody [EPR11065(2)] (AB183724)
  • IP

Supplier Data

Immunoprecipitation - Anti-N myc interactor/NMI antibody [EPR11065(2)] (AB183724)

Western blot analysis of K562 cell lysate precipitated with ab183724 at 1/50 dilution. A Goat Anti-Rabbit IgG, (H+L), Peroxidase conjugated secondary antibody at 1/1000 dilution was then used. The blocking buffer and dilution buffer was 5% NFDM/TBST.

All lanes:

Immunoprecipitation - Anti-N myc interactor/NMI antibody [EPR11065(2)] (ab183724)

Predicted band size: 35 kDa

false

Western blot - Anti-N myc interactor/NMI antibody [EPR11065(2)] (AB183724)
  • WB

Lab

Western blot - Anti-N myc interactor/NMI antibody [EPR11065(2)] (AB183724)

Lane 1 : Wild-type HAP1 cell lysate (20 μg)
Lane 2 :
N myc interactor/NMI knockout HAP1 cell lysate (20 μg)
Lane 3 : HeLa cell lysate (20 μg)
Lane 4 : K562 cell lysate (20 μg)
Lanes 1 - 4 :
Merged signal (red and green). Green - ab183724 observed at 39 kDa. Red - loading control, ab18058, observed at 124 kDa.
ab183724 was shown to specifically react with N myc interactor/NMI when N myc interactor/NMI knockout samples were used. Wild-type and N myc interactor/NMI knockout samples were subjected to SDS-PAGE. ab183724 and ab18058 (loading control to Vinculin) were diluted at 1/2000 and 1/10 000 respectively and incubated overnight at 4°C. Blots were developed with Goat anti-Rabbit IgG H&L (IRDye® 800CW) preadsorbed (ab216773) and Goat anti-Mouse IgG H&L (IRDye® 680RD) preadsorbed (ab216776) secondary antibodies at 1/10000 dilution for 1 hour at room temperature before imaging.

All lanes:

Western blot - Anti-N myc interactor/NMI antibody [EPR11065(2)] (ab183724)

Predicted band size: 35 kDa

false

Western blot - Anti-N myc interactor/NMI antibody [EPR11065(2)] (AB183724)
  • WB

Supplier Data

Western blot - Anti-N myc interactor/NMI antibody [EPR11065(2)] (AB183724)

All lanes:

Western blot - Anti-N myc interactor/NMI antibody [EPR11065(2)] (ab183724) at 1/20000 dilution

Lane 1:

K562 cell lysate at 20 µg

Lane 2:

HeLa cell lysate at 20 µg

Lane 3:

HepG2 cell lysate at 20 µg

Secondary

All lanes:

Goat Anti-Rabbit IgG, (H+L), Peroxidase conjugated at 1/1000 dilution

Predicted band size: 35 kDa

false

Western blot - Anti-N myc interactor/NMI antibody [EPR11065(2)] (AB183724)
  • WB

Lab

Western blot - Anti-N myc interactor/NMI antibody [EPR11065(2)] (AB183724)

Lanes 1-4 : Merged signal (red and green). Green - ab183724 observed at 39 kDa. Red - loading control ab8245 observed at 36 kDa.

ab183724 Anti-N myc interactor/NMI antibody [EPR11065(2)] was shown to specifically react with N myc interactor/NMI in wild-type A549 cells. Loss of signal was observed when knockout cell line ab267013 (knockout cell lysate ab258077) was used. Wild-type and N myc interactor/NMI knockout samples were subjected to SDS-PAGE. ab183724 and Anti-GAPDH antibody [6C5] - Loading Control (ab8245) were incubated overnight at 4°C at 1 in 1000 dilution and 1 in 20000 dilution respectively. Blots were developed with Goat anti-Rabbit IgG H&L (IRDye® 800CW) preadsorbed (ab216773) and Goat anti-Mouse IgG H&L (IRDye® 680RD) preadsorbed (ab216776) secondary antibodies at 1 in 20000 dilution for 1 hour at room temperature before imaging.

All lanes:

Western blot - Anti-N myc interactor/NMI antibody [EPR11065(2)] (ab183724) at 1/1000 dilution

Lane 1:

Wild-type A549 (Human lung carcinoma cell line) whole cell lysate at 20 µg

Lane 2:

NMI knockout A549 (Human lung carcinoma cell line) whole cell lysate at 20 µg

Lane 2:

Western blot - Human NMI (N myc interactor/NMI) knockout A549 cell line (<a href='/en-us/products/cell-lines/human-nmi-n-myc-interactor-nmi-knockout-a549-cell-line-ab267013'>ab267013</a>)

Lane 3:

HeLa (Human epithelial cell line from cervix adenocarcinoma) whole cell lysate at 20 µg

Lane 4:

K562 (Human chronic myelogenous leukemia lymphoblast cell line ) whole cell lysate at 20 µg

Secondary

All lanes:

Western blot - Goat anti-Rabbit IgG H&L (IRDye® 800CW) preadsorbed (<a href='/en-us/products/secondary-antibodies/goat-rabbit-igg-h-l-irdye-800cw-preadsorbed-ab216773'>ab216773</a>) at 1/10000 dilution

Predicted band size: 35 kDa

Observed band size: 39 kDa

false

  • Carrier free

    Anti-N myc interactor/NMI antibody [EPR11065(2)] - BSA and Azide free

Key facts

Host species

Rabbit

Clonality

Monoclonal

Clone number

EPR11065(2)

Isotype

IgG

Carrier free

No

Reacts with

Human

Applications

IHC-P, WB, IP, ICC/IF

applications

Immunogen

The exact immunogen used to generate this antibody is proprietary information.

Reactivity data

{ "title": "Reactivity Data", "filters": { "stats": ["", "Species", "Dilution Info", "Notes"], "tabs": { "all-applications": {"fullname" : "All Applications", "shortname": "All Applications"}, "IP" : {"fullname" : "Immunoprecipitation", "shortname":"IP"}, "WB" : {"fullname" : "Western blot", "shortname":"WB"}, "ICCIF" : {"fullname" : "Immunocytochemistry/ Immunofluorescence", "shortname":"ICC/IF"}, "IHCP" : {"fullname" : "Immunohistochemistry (Formalin/PFA-fixed paraffin-embedded sections)", "shortname":"IHC-P"} }, "product-promise": { "all": "all", "testedAndGuaranteed": "tested", "guaranteed": "expected", "predicted": "predicted", "notRecommended": "not-recommended" } }, "values": { "Human": { "IP-species-checked": "testedAndGuaranteed", "IP-species-dilution-info": "1/40 - 1/60", "IP-species-notes": "<p></p>", "WB-species-checked": "testedAndGuaranteed", "WB-species-dilution-info": "1/10000 - 1/50000", "WB-species-notes": "<p></p>", "ICCIF-species-checked": "testedAndGuaranteed", "ICCIF-species-dilution-info": "1/100", "ICCIF-species-notes": "<p></p>", "IHCP-species-checked": "testedAndGuaranteed", "IHCP-species-dilution-info": "1/50", "IHCP-species-notes": "<p></p>" } } }

Product details

Patented technology
Our RabMAb® technology is a patented hybridoma-based technology for making rabbit monoclonal antibodies. For details on our patents, please refer to RabMAb® patents.

What are the advantages of a recombinant monoclonal antibody?
This product is a recombinant monoclonal antibody, which offers several advantages including:

  • - High batch-to-batch consistency and reproducibility
  • - Improved sensitivity and specificity
  • - Long-term security of supply
  • - Animal-free batch production

For more information, read more on recombinant antibodies.

Properties and storage information

Form
Liquid
Purification technique
Affinity purification Protein A
Storage buffer
pH: 7.2 Preservative: 0.01% Sodium azide Constituents: PBS, 40% Glycerol (glycerin, glycerine), 0.05% BSA
Shipped at conditions
Blue Ice
Appropriate short-term storage duration
1-2 weeks
Appropriate short-term storage conditions
+4°C
Appropriate long-term storage conditions
-20°C
Aliquoting information
Upon delivery aliquot
Storage information
Avoid freeze / thaw cycle

Supplementary information

This supplementary information is collated from multiple sources and compiled automatically.

N myc interactor often referred to as NMI interacts with members of the MYC family including N-MYC and C-MYC. Known as N-MYC and C-MYC interacting protein NMI has a molecular weight of approximately 54 kDa. NMI expresses in a variety of tissues with higher levels in brain and liver tissues. Its presence is also notable in immune cells pointing towards a complex role in cellular processes related to both developmental and immune responses.
Biological function summary

NMI collaborates with transcription factors to influence the regulation of gene expression. It plays a significant role in the formation of protein complexes that regulate transcriptional activities of oncogenes particularly through interaction with MYC and STAT proteins. NMI's ability to form complexes makes it a notable player in modulating signal transduction pathways. Its balancing act with transcription factors affects cell proliferation and differentiation critical components of its biological functionality.

Pathways

NMI has a significant impact on the JAK-STAT signaling pathway and the MYC-mediated transcription network. Within these pathways NMI modulates the activities of the MYC family of oncogenes and interacts with signal transducers and activators like STATs. These interactions contribute to the regulation of cellular processes such as growth and apoptosis. Such pathways illustrate NMI's role in maintaining cellular homeostasis and its interactive role with proteins like STAT and MYC.

NMI has been associated with cancer and autoimmune diseases. NMI's interaction with MYC oncogenes links it to various cancers particularly neuroblastoma. It also associates with autoimmune disorder mechanisms implicating its expression and regulation in immune-related pathologies. In cancer NMI's relationship with MYC affects tumor growth and progression illustrating its potential as a target for therapeutic intervention. Its involvement highlights the importance of understanding its function in disease pathways.

Product protocols

For this product, it's our understanding that no specific protocols are required. You can visit:

Target data

Acts as a signaling pathway regulator involved in innate immune system response (PubMed : 26342464, PubMed : 29038465, PubMed : 29350881, PubMed : 9989503). In response to interleukin 2/IL2 and interferon IFN-gamma/IFNG, interacts with signal transducer and activator of transcription/STAT which activate the transcription of downstream genes involved in a multitude of signals for development and homeostasis (PubMed : 29377960, PubMed : 9989503). Enhances the recruitment of CBP/p300 coactivators to STAT1 and STAT5, resulting in increased STAT1- and STAT5-dependent transcription (PubMed : 9989503). In response to interferon IFN-alpha, associates in a complex with signaling pathway regulator IFI35 to regulate immune response; the complex formation prevents proteasome-mediated degradation of IFI35 (PubMed : 10779520, PubMed : 10950963). In complex with IFI35, inhibits virus-triggered type I IFN-beta production when ubiquitinated by ubiquitin-protein ligase TRIM21 (PubMed : 26342464). In complex with IFI35, negatively regulates nuclear factor NF-kappa-B signaling by inhibiting the nuclear translocation, activation and transcription of NF-kappa-B subunit p65/RELA, resulting in the inhibition of endothelial cell proliferation, migration and re-endothelialization of injured arteries (PubMed : 29350881). Negatively regulates virus-triggered type I interferon/IFN production by inducing proteosome-dependent degradation of IRF7, a transcriptional regulator of type I IFN, thereby interfering with cellular antiviral responses (By similarity). Beside its role as an intracellular signaling pathway regulator, also functions extracellularly as damage-associated molecular patterns (DAMPs) to promote inflammation, when actively released by macrophage to the extracellular space during cell injury or pathogen invasion (PubMed : 29038465). Macrophage-secreted NMI activates NF-kappa-B signaling in adjacent macrophages through Toll-like receptor 4/TLR4 binding and activation, thereby inducing NF-kappa-B translocation from the cytoplasm into the nucleus which promotes the release of pro-inflammatory cytokines (PubMed : 29038465).
See full target information NMI

Publications (9)

Recent publications for all applications. Explore the full list and refine your search

Environmental toxicology 39:2487-2501 PubMed38174997

2024

ADORA2B, transcriptionally suppressing by MYC, promotes ferroptosis of chondrocytes via inhibition of the PI3K/Akt pathway in mice with osteoarthritis.

Applications

Unspecified application

Species

Unspecified reactive species

Shen Li,Jiangbo Han,Jiongzhe Cao,Hong Han,Bin Lu,Tao Wen,Weiguo Bian

Cell biochemistry and biophysics 79:103-111 PubMed33106998

2020

Downregulation of N-myc Interactor Promotes Cervical Cancer Cells Growth by Activating Stat3 Signaling.

Applications

Unspecified application

Species

Unspecified reactive species

Songbin Wu,Xiaotian Li,Huizi Chai,Linyuan Feng,Wenjing Li,Hongjian Li

Genome biology 21:140 PubMed32539747

2020

Dynamic rewiring of the human interactome by interferon signaling.

Applications

Unspecified application

Species

Unspecified reactive species

Craig H Kerr,Michael A Skinnider,Daniel D T Andrews,Angel M Madero,Queenie W T Chan,R Greg Stacey,Nikolay Stoynov,Eric Jan,Leonard J Foster

Journal of gastroenterology and hepatology 34:1800-1808 PubMed30771232

2019

N-myc and STAT interactor correlates with severity and prognosis in acute-on-chronic liver failure of hepatitis B virus.

Applications

Unspecified application

Species

Unspecified reactive species

Lifu Xiong,Yanan Du,Tianhui Zhou,Bingying Du,Phimphone Visalath,Lanyi Lin,Shisan Bao,Wei Cai

Nature methods 15:909-912 PubMed30377371

2018

A high-throughput pipeline for validation of antibodies.

Applications

Unspecified application

Species

Unspecified reactive species

Krzysztof Sikorski,Adi Mehta,Marit Inngjerdingen,Flourina Thakor,Simon Kling,Tomas Kalina,Tuula A Nyman,Maria Ekman Stensland,Wei Zhou,Gustavo A de Souza,Lars Holden,Jan Stuchly,Markus Templin,Fridtjof Lund-Johansen

Gastric cancer : official journal of the International Gastric Cancer Association and the Japanese Gastric Cancer Association 22:60-68 PubMed29859005

2018

Multi-marker analysis of genomic annotation on gastric cancer GWAS data from Chinese populations.

Applications

Unspecified application

Species

Unspecified reactive species

Fei Yu,Tian Tian,Bin Deng,Tianpei Wang,Qi Qi,Meng Zhu,Caiwang Yan,Hui Ding,Jinchen Wang,Juncheng Dai,Hongxia Ma,Yanbing Ding,Guangfu Jin

Acta physiologica (Oxford, England) 223:e13037 PubMed29350881

2018

Interferon-induced protein 35 inhibits endothelial cell proliferation, migration and re-endothelialization of injured arteries by inhibiting the nuclear factor-kappa B pathway.

Applications

Unspecified application

Species

Unspecified reactive species

D Jian,W Wang,X Zhou,Z Jia,J Wang,M Yang,W Zhao,Z Jiang,X Hu,J Zhu

Frontiers in immunology 9:61 PubMed29459857

2018

Genome-Wide Bimolecular Fluorescence Complementation-Based Proteomic Analysis of ROP18's Human Interactome Shows Its Key Role in Regulation of Cell Immunity and Apoptosis.

Applications

Unspecified application

Species

Unspecified reactive species

Jing Xia,Ling Kong,Li-Juan Zhou,Shui-Zhen Wu,Li-Jie Yao,Cheng He,Cynthia Y He,Hong-Juan Peng

Nature communications 8:950 PubMed29038465

2017

NMI and IFP35 serve as proinflammatory DAMPs during cellular infection and injury.

Applications

Unspecified application

Species

Unspecified reactive species

Zhikai Xiahou,Xiangli Wang,Juan Shen,Xiaoxiao Zhu,Feng Xu,Rong Hu,Deyin Guo,Henan Li,Yong Tian,Yingfang Liu,Huanhuan Liang
View all publications

Product promise

We are committed to supporting your work with high-quality reagents, and we're here for you every step of the way. In the unlikely event that one of our products does not perform as expected, you're protected by our Product Promise.
For full details, please see our Terms & Conditions

Please note: All products are 'FOR RESEARCH USE ONLY. NOT FOR USE IN DIAGNOSTIC OR THERAPEUTIC PROCEDURES'.

For licensing inquiries, please contact partnerships@abcam.com