JavaScript is disabled in your browser. Please enable JavaScript to view this website.
AB217873

Anti-n-Myc/MYCN antibody

Be the first to review this product! Submit a review

|

(0 Publication)

Rabbit Polyclonal N-Myc/MYCN antibody. Suitable for WB, IHC-P and reacts with Human samples. Immunogen corresponding to Synthetic Peptide within Human MYCN aa 400 to C-terminus conjugated to Keyhole Limpet Haemocyanin.

View Alternative Names

BHLHE37, NMYC, MYCN, N-myc proto-oncogene protein, Class E basic helix-loop-helix protein 37, bHLHe37

3 Images
Immunohistochemistry (Formalin/PFA-fixed paraffin-embedded sections) - Anti-n-Myc/MYCN antibody (AB217873)
  • IHC-P

Supplier Data

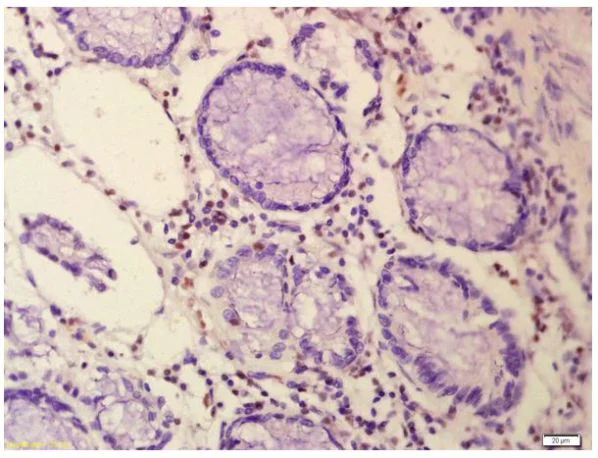
Immunohistochemistry (Formalin/PFA-fixed paraffin-embedded sections) - Anti-n-Myc/MYCN antibody (AB217873)

Immunohistochemical analysis of formalin-fixed, paraffin-embedded human colon carcinoma tissue labeling n-Myc/MYCN with ab217873 at 1/200 dilution followed by conjugation to the secondary antibody and DAB staining.

Immunohistochemistry (Formalin/PFA-fixed paraffin-embedded sections) - Anti-n-Myc/MYCN antibody (AB217873)
  • IHC-P

Supplier Data

Immunohistochemistry (Formalin/PFA-fixed paraffin-embedded sections) - Anti-n-Myc/MYCN antibody (AB217873)

Immunohistochemical analysis of formalin-fixed, paraffin-embedded human brain tissue labeling n-Myc/MYCN with ab217873 at 1/200 dilution followed by conjugation to the secondary antibody and DAB staining.

Western blot - Anti-n-Myc/MYCN antibody (AB217873)
  • WB

Supplier Data

Western blot - Anti-n-Myc/MYCN antibody (AB217873)

All lanes:

Western blot - Anti-n-Myc/MYCN antibody (ab217873) at 1/200 dilution

Lane 1:

MCF7 cell lysates

Lane 2:

SK-N-SH cell lysates

Secondary

All lanes:

secondary antibody at 1/10000 dilution

Predicted band size: 50 kDa

false

Key facts

Host species

Rabbit

Clonality

Polyclonal

Isotype

IgG

Carrier free

No

Reacts with

Human

Applications

IHC-P, WB

applications

Immunogen

Synthetic Peptide within Human MYCN aa 400 to C-terminus conjugated to Keyhole Limpet Haemocyanin. The exact immunogen used to generate this antibody is proprietary information.

P04198

Reactivity data

{ "title": "Reactivity Data", "filters": { "stats": ["", "Species", "Dilution Info", "Notes"], "tabs": { "all-applications": {"fullname" : "All Applications", "shortname": "All Applications"}, "WB" : {"fullname" : "Western blot", "shortname":"WB"}, "IHCP" : {"fullname" : "Immunohistochemistry (Formalin/PFA-fixed paraffin-embedded sections)", "shortname":"IHC-P"} }, "product-promise": { "all": "all", "testedAndGuaranteed": "tested", "guaranteed": "expected", "predicted": "predicted", "notRecommended": "not-recommended" } }, "values": { "Human": { "WB-species-checked": "testedAndGuaranteed", "WB-species-dilution-info": "1/100 - 1/1000", "WB-species-notes": "<p></p>", "IHCP-species-checked": "testedAndGuaranteed", "IHCP-species-dilution-info": "1/100 - 1/500", "IHCP-species-notes": "<p></p>" }, "Mouse": { "WB-species-checked": "predicted", "WB-species-dilution-info": "", "WB-species-notes": "", "IHCP-species-checked": "predicted", "IHCP-species-dilution-info": "", "IHCP-species-notes": "" }, "Rat": { "WB-species-checked": "predicted", "WB-species-dilution-info": "", "WB-species-notes": "", "IHCP-species-checked": "predicted", "IHCP-species-dilution-info": "", "IHCP-species-notes": "" } } }

Properties and storage information

Form
Liquid
Purification technique
Affinity purification Protein A
Storage buffer
pH: 7.4 Preservative: 0.02% Proclin 300 Constituents: 50% Glycerol (glycerin, glycerine), 48.98% TBS, 1X, 1% BSA
Shipped at conditions
Blue Ice
Appropriate short-term storage duration
1-2 weeks
Appropriate short-term storage conditions
+4°C
Appropriate long-term storage conditions
-20°C
Aliquoting information
Upon delivery aliquot
Storage information
Avoid freeze / thaw cycle

Supplementary information

This supplementary information is collated from multiple sources and compiled automatically.

N-Myc also known as MYCN is a transcription factor encoded by the MYCN gene. It plays an important role in cell proliferation and differentiation. The n-Myc protein is part of the Myc family of transcription factors including c-Myc and c-Myb. n-Myc has a molecular weight of approximately 64 kDa. This protein expresses predominantly in developing tissues particularly in the brain but its expression is seen in other tissues during embryogenesis as well. This characteristic makes it important in early development and organ formation.
Biological function summary

N-Myc/MYCN functions in gene regulation by binding to E-box sequences in DNA facilitating transcription of genes essential for cellular growth and metabolism. n-Myc often forms a heterodimer with the MAX protein which enhances its DNA-binding capacity and transcriptional activity. This activity influences processes like apoptosis cell differentiation and cell cycle progression. The ncm mouse model a genetically engineered mouse with MYCN overexpression demonstrates the effects of deregulated n-Myc expression.

Pathways

MYCN significantly impacts the p53 signaling pathway and the Wnt signaling pathway. In the p53 signaling pathway n-Myc interacts with p53 and MDM2 regulating cell cycle checkpoints and apoptosis. In the Wnt pathway MYCN interplays with molecules like β-catenin to influence cell division and differentiation. These interactions highlight the role of n-Myc in maintaining cellular homeostasis and response to external signals that affect growth and division.

N-Myc is closely linked to neuroblastoma and medulloblastoma aggressive forms of pediatric cancers. MYCN amplification often indicates a poor prognosis in neuroblastoma playing a role in tumor progression and resistance to therapy. In medulloblastoma overexpression of n-Myc partners with proteins like Aurora A kinase to promote oncogenesis. Targeting these protein interactions offers potential therapeutic strategies for these MYCN-related cancers.

Product protocols

For this product, it's our understanding that no specific protocols are required. You can visit:

Target data

Positively regulates the transcription of MYCNOS in neuroblastoma cells.
See full target information MYCN

Product promise

We are committed to supporting your work with high-quality reagents, and we're here for you every step of the way. In the unlikely event that one of our products does not perform as expected, you're protected by our Product Promise.
For full details, please see our Terms & Conditions

Associated Products

Select an associated product type
Alternative Product
Primary Antibodies

AB16898

Anti-n-Myc/MYCN antibody [NCM II 100]

primary-antibodies

n-myc-mycn-antibody-ncm-ii-100-ab16898

4

(2 reviews)

Alternative Product
Primary Antibodies

AB198912

Anti-n-Myc/MYCN antibody

primary-antibodies

n-myc-mycn-antibody-ab198912

4

(4 reviews)

Alternative Product
Primary Antibodies

AB24193

Anti-n-Myc/MYCN antibody

primary-antibodies

n-myc-mycn-antibody-ab24193

4

(5 reviews)

Alternative Product
Primary Antibodies

AB189528

Anti-n-Myc/MYCN antibody [EPR18982-13]

primary-antibodies

n-myc-mycn-antibody-epr18982-13-ab189528

0

(0 reviews)

Alternative Product
Primary Antibodies

AB227822

Anti-n-Myc/MYCN antibody [EPR18982-8R-3] - ChIP Grade

primary-antibodies

n-myc-mycn-antibody-epr18982-8r-3-chip-grade-ab227822

0

(0 reviews)

Alternative Product
Primary Antibodies

AB236459

Anti-n-Myc/MYCN antibody [EPR18982-8R-3] - BSA and Azide free

primary-antibodies

n-myc-mycn-antibody-epr18982-8r-3-bsa-and-azide-free-ab236459

0

(0 reviews)

Please note: All products are 'FOR RESEARCH USE ONLY. NOT FOR USE IN DIAGNOSTIC OR THERAPEUTIC PROCEDURES'.

For licensing inquiries, please contact partnerships@abcam.com