JavaScript is disabled in your browser. Please enable JavaScript to view this website.
AB250996

Anti-n-Myc/MYCN antibody [EPR18982-13] - BSA and Azide free

Be the first to review this product! Submit a review

|

(1 Publication)

Rabbit Recombinant Monoclonal N-Myc/MYCN antibody. Carrier free. Suitable for IP, WB and reacts with Human samples. Cited in 1 publication.

View Alternative Names

BHLHE37, NMYC, MYCN, N-myc proto-oncogene protein, Class E basic helix-loop-helix protein 37, bHLHe37

4 Images
Immunoprecipitation - Anti-n-Myc/MYCN antibody [EPR18982-13] - BSA and Azide free (AB250996)
  • IP

Supplier Data

Immunoprecipitation - Anti-n-Myc/MYCN antibody [EPR18982-13] - BSA and Azide free (AB250996)

This data was developed using ab189528, the same antibody clone in a different buffer formulation.

n-Myc/MYCN was immunoprecipitated from 2μg of HEK-293 (Human epithelial cell line from embryonic kidney) whole cell lysates with ab194094 at 1/40 dilution.

Western blot was performed from the immunoprecipitate using ab189528 at 1/1000 dilution.

VeriBlot for IP Detection Reagent (HRP) (ab131366), was used for detection at 1/10000 dilution.

Lane 1 : HEK-293 whole cell lysate transfected with GFP-tagged n-Myc/MYCN construct, 10ug (Input).

Lane 2 : ab189528 IP in HEK-293 whole cell lysate transfected with GFP-tagged n-Myc/MYCN construct.

Lane 3 : Rabbit IgG, monoclonal [EPR25A] - Isotype Control (ab172730) instead of ab189528 IP in HEK-293 whole cell lysate transfected with GFP-tagged n-Myc/MYCN construct.

Blocking and dilution buffer : 5% NFDM/TBST.

Exposure time : 30 seconds.

ab189528 immuno-precipitated the overexpressed n-Myc/MYCN-GFP (~100 kDa) in the transfected HEK-293 lysate and an additional 50 kDa off-target band. The overexpressed n-Myc/MYCN-GFP was recognized by ab290 (anti-GFP antibody, IP #2) and ab16898 (anti-n-Myc/MYCN antibody, IP #3).

All lanes:

Immunoprecipitation - Anti-n-Myc/MYCN antibody [EPR18982-13] (<a href='/en-us/products/primary-antibodies/n-myc-mycn-antibody-epr18982-13-ab189528'>ab189528</a>)

Predicted band size: 50 kDa,57 kDa

Observed band size: 50 kDa

false

Exposure time: 30s

Immunoprecipitation - Anti-n-Myc/MYCN antibody [EPR18982-13] - BSA and Azide free (AB250996)
  • IP

Supplier Data

Immunoprecipitation - Anti-n-Myc/MYCN antibody [EPR18982-13] - BSA and Azide free (AB250996)

This data was developed using ab189528, the same antibody clone in a different buffer formulation.

n-Myc/MYCN was immunoprecipitated from 2μg of HEK-293 (Human epithelial cell line from embryonic kidney) whole cell lysates with ab189528 at 1/40 dilution.

Western blot was performed from the immunoprecipitate using ab16898 at 1/1000 dilution.

Goat Anti-Mouse IgG (H+L) Peroxidase Conjugate, was used as secondary antibody at 1/10000 dilution.

Lane 1 : HEK-293 whole cell lysate transfected with GFP-tagged n-Myc/MYCN construct, 10ug (Input).
Lane 2 : ab189528 IP in HEK-293 whole cell lysate transfected with GFP-tagged n-Myc/MYCN construct.
Lane 3 : Rabbit IgG, monoclonal [EPR25A] - Isotype Control (ab172730) instead of ab189528 IP in HEK-293 whole cell lysate transfected with GFP-tagged n-Myc/MYCN construct.

Blocking and dilution buffer and concentration : 5% NFDM/TBST.

Exposure time : 1 second.

All lanes:

Immunoprecipitation - Anti-n-Myc/MYCN antibody [EPR18982-13] (<a href='/en-us/products/primary-antibodies/n-myc-mycn-antibody-epr18982-13-ab189528'>ab189528</a>)

Predicted band size: 50 kDa

false

Immunoprecipitation - Anti-n-Myc/MYCN antibody [EPR18982-13] - BSA and Azide free (AB250996)
  • IP

Supplier Data

Immunoprecipitation - Anti-n-Myc/MYCN antibody [EPR18982-13] - BSA and Azide free (AB250996)

This data was developed using ab189528, the same antibody clone in a different buffer formulation.

n-Myc/MYCN was immunoprecipitated from 2μg of HEK-293 (Human epithelial cell line from embryonic kidney) whole cell lysates with ab189528 at 1/40 dilution.

Western blot was performed from the immunoprecipitate using ab290 at 1/2000 dilution.

VeriBlot for IP Detection Reagent (HRP) (ab131366), was used for detection at 1/1000 dilution.

Lane 1 : HEK-293 whole cell lysate transfected with n-Myc/MYCN, 10ug (Input).
Lane 2 : ab189528 IP in HEK-293 whole cell lysate transfected with GFP-tagged n-Myc/MYCN construct.
Lane 3 : Rabbit IgG, monoclonal [EPR25A] - Isotype Control (ab172730) instead of ab189528 IP in HEK-293 whole cell lysate transfected with GFP-tagged n-Myc/MYCN construct.

Blocking and dilution buffer and concentration : 5% NFDM/TBST.

Exposure time : 30 seconds.

All lanes:

Immunoprecipitation - Anti-n-Myc/MYCN antibody [EPR18982-13] (<a href='/en-us/products/primary-antibodies/n-myc-mycn-antibody-epr18982-13-ab189528'>ab189528</a>)

Predicted band size: 50 kDa

false

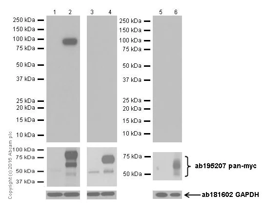
Western blot - Anti-n-Myc/MYCN antibody [EPR18982-13] - BSA and Azide free (AB250996)
  • WB

Supplier Data

Western blot - Anti-n-Myc/MYCN antibody [EPR18982-13] - BSA and Azide free (AB250996)

This data was developed using ab189528, the same antibody clone in a different buffer formulation.

Blocking and dilution buffer : 5% NFDM/TBST.

n-Myc/MYCN is tagged with GFP, therefore its expected MW is 83 kD under these conditions.

All lanes:

Western blot - Anti-n-Myc/MYCN antibody [EPR18982-13] (<a href='/en-us/products/primary-antibodies/n-myc-mycn-antibody-epr18982-13-ab189528'>ab189528</a>) at 1/1000 dilution

Lanes 1, 3 and 5:

Untransfected HEK-293 (Human epithelial cell line from embryonic kidney) whole cell lysate (control) at 20 µg

Lane 2:

HEK-293 (Human epithelial cell line from embryonic kidney) whole cell lysate transfected with n-Myc/MYCN with GFP-tag at 20 µg

Lane 4:

HEK-293 (Human epithelial cell line from embryonic kidney) whole cell lysate transfected with l-Myc with GST-tag at 20 µg

Lane 6:

HEK-293 (Human epithelial cell line from embryonic kidney) whole cell lysate transfected with c-Myc with His-tag at 20 µg

Secondary

All lanes:

Western blot - Goat Anti-Rabbit IgG H&L (HRP) (<a href='/en-us/products/secondary-antibodies/goat-rabbit-igg-h-l-hrp-ab97051'>ab97051</a>) at 1/100000 dilution

Predicted band size: 50 kDa

Observed band size: 83 kDa

false

Exposure time: 3min

Key facts

Host species

Rabbit

Clonality

Monoclonal

Clone number

EPR18982-13

Isotype

IgG

Carrier free

Yes

Reacts with

Human

Applications

IP, WB

applications

Immunogen

The exact immunogen used to generate this antibody is proprietary information.

Specificity

Detection of endogenous expression of n-Myc/MYCN in WB will need optimization. Under our experimental conditions we could not detect endogenous n-Myc/MYCN in human cell lysates.

Reactivity data

{ "title": "Reactivity Data", "filters": { "stats": ["", "Species", "Dilution Info", "Notes"], "tabs": { "all-applications": {"fullname" : "All Applications", "shortname": "All Applications"}, "IP" : {"fullname" : "Immunoprecipitation", "shortname":"IP"}, "WB" : {"fullname" : "Western blot", "shortname":"WB"} }, "product-promise": { "all": "all", "testedAndGuaranteed": "tested", "guaranteed": "expected", "predicted": "predicted", "notRecommended": "not-recommended" } }, "values": { "Human": { "IP-species-checked": "testedAndGuaranteed", "IP-species-dilution-info": "", "IP-species-notes": "<p></p>", "WB-species-checked": "testedAndGuaranteed", "WB-species-dilution-info": "", "WB-species-notes": "<p></p>" } } }

Product details

ab250996 is the carrier-free version of ab189528.

Patented technology
Our RabMAb® technology is a patented hybridoma-based technology for making rabbit monoclonal antibodies. For details on our patents, please refer to RabMAb® patents.

What are the advantages of a recombinant monoclonal antibody?
This product is a recombinant monoclonal antibody, which offers several advantages including:

  • - High batch-to-batch consistency and reproducibility
  • - Improved sensitivity and specificity
  • - Long-term security of supply
  • - Animal-free batch production

For more information, read more on recombinant antibodies.

Conjugation ready
Our carrier-free antibodies are typically supplied in a PBS-only formulation, purified and free of BSA, sodium azide and glycerol. This conjugation-ready format is designed for use with fluorochromes, metal isotopes, oligonucleotides, and enzymes, which makes them ideal for antibody labelling, functional and cell-based assays, flow-based assays (e.g. mass cytometry) and Multiplex Imaging applications.

Use our conjugation kits for antibody conjugates that are ready-to-use in as little as 20 minutes with 1 minute hands-on-time and 100% antibody recovery: available for fluorescent dyes, HRP, biotin and gold.

Compatibility
This product is compatible with the Maxpar® Antibody Labeling Kit from Fluidigm, without the need for antibody preparation. Maxpar® is a trademark of Fluidigm Canada Inc.

Properties and storage information

Form
Liquid
Purification technique
Affinity purification Protein A
Storage buffer
pH: 7.2 - 7.4 Constituents: PBS
Shipped at conditions
Blue Ice
Appropriate short-term storage conditions
+4°C
Appropriate long-term storage conditions
+4°C
Storage information
Do Not Freeze

Supplementary information

This supplementary information is collated from multiple sources and compiled automatically.

N-Myc also known as MYCN is a transcription factor encoded by the MYCN gene. It plays an important role in cell proliferation and differentiation. The n-Myc protein is part of the Myc family of transcription factors including c-Myc and c-Myb. n-Myc has a molecular weight of approximately 64 kDa. This protein expresses predominantly in developing tissues particularly in the brain but its expression is seen in other tissues during embryogenesis as well. This characteristic makes it important in early development and organ formation.
Biological function summary

N-Myc/MYCN functions in gene regulation by binding to E-box sequences in DNA facilitating transcription of genes essential for cellular growth and metabolism. n-Myc often forms a heterodimer with the MAX protein which enhances its DNA-binding capacity and transcriptional activity. This activity influences processes like apoptosis cell differentiation and cell cycle progression. The ncm mouse model a genetically engineered mouse with MYCN overexpression demonstrates the effects of deregulated n-Myc expression.

Pathways

MYCN significantly impacts the p53 signaling pathway and the Wnt signaling pathway. In the p53 signaling pathway n-Myc interacts with p53 and MDM2 regulating cell cycle checkpoints and apoptosis. In the Wnt pathway MYCN interplays with molecules like β-catenin to influence cell division and differentiation. These interactions highlight the role of n-Myc in maintaining cellular homeostasis and response to external signals that affect growth and division.

N-Myc is closely linked to neuroblastoma and medulloblastoma aggressive forms of pediatric cancers. MYCN amplification often indicates a poor prognosis in neuroblastoma playing a role in tumor progression and resistance to therapy. In medulloblastoma overexpression of n-Myc partners with proteins like Aurora A kinase to promote oncogenesis. Targeting these protein interactions offers potential therapeutic strategies for these MYCN-related cancers.

Product protocols

For this product, it's our understanding that no specific protocols are required. You can visit:

Target data

Positively regulates the transcription of MYCNOS in neuroblastoma cells.
See full target information MYCN

Publications (1)

Recent publications for all applications. Explore the full list and refine your search

Genes 14: PubMed37239471

2023

Differential Regulation of POC5 by ERα in Human Normal and Scoliotic Cells.

Applications

Unspecified application

Species

Unspecified reactive species

Amani Hassan,Edward T Bagu,Shunmoogum A Patten,Sirinart Molidperee,Stefan Parent,Soraya Barchi,Isabelle Villemure,André Tremblay,Florina Moldovan
View all publications

Product promise

We are committed to supporting your work with high-quality reagents, and we're here for you every step of the way. In the unlikely event that one of our products does not perform as expected, you're protected by our Product Promise.
For full details, please see our Terms & Conditions

Please note: All products are 'FOR RESEARCH USE ONLY. NOT FOR USE IN DIAGNOSTIC OR THERAPEUTIC PROCEDURES'.

For licensing inquiries, please contact partnerships@abcam.com