JavaScript is disabled in your browser. Please enable JavaScript to view this website.
AB324484

Anti-N-terminal LPHN2 antibody [EPR29557-9]

Be the first to review this product! Submit a review

|

(0 Publication)

Rabbit Recombinant Monoclonal LPHN2 antibody. Suitable for WB, Dot and reacts with Transfected cell lysate - Human, Human, Mouse, Rat, Recombinant fragment - Human samples.

View Alternative Names

KIAA0786, LEC1, LPHH1, LPHN2, ADGRL2, Adhesion G protein-coupled receptor L2, Calcium-independent alpha-latrotoxin receptor 2, Latrophilin homolog 1, Latrophilin-2, Lectomedin-1, CIRL-2

6 Images
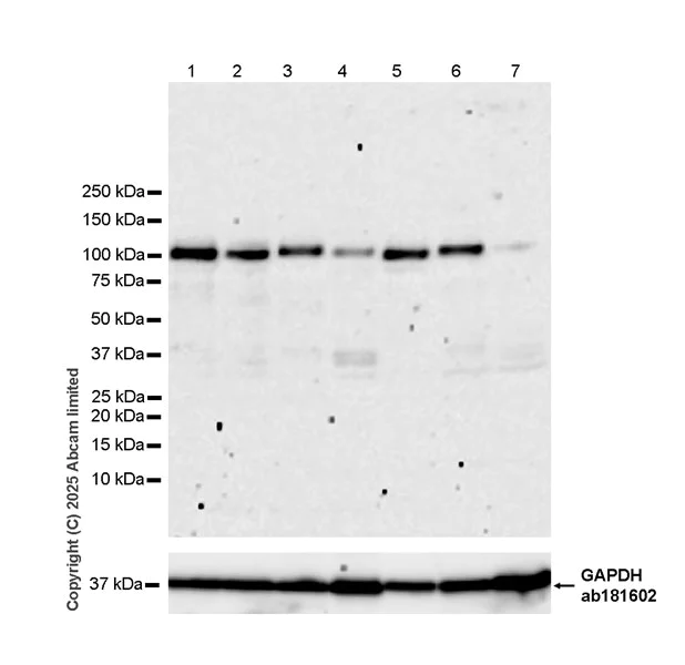
Western blot - Anti-N-terminal LPHN2 antibody [EPR29557-9] (AB324484)
  • WB

Supplier Data

Western blot - Anti-N-terminal LPHN2 antibody [EPR29557-9] (AB324484)

Blocking and diluting buffer and concentration : 5% NFDM/TBST.

Low expression : U-937, HEL, K-562

The samples are unboiled.

The expression profile/ molecular weight observed is consistent with what has been described in the literature (PMID : 15483624).

The observed band is the N-terminal LPHN2.

In Western blot, Anti-GAPDH antibody [EPR16891] - Loading Control (ab181602) staining at 1/200000 dilution.

All lanes:

Western blot - Anti-N-terminal LPHN2 antibody [EPR29557-9] (ab324484) at 1/1000 dilution

Lane 1:

SK-N-SH (human neuroblastoma epithelial cell) whole cell lysate at 20 µg

Lane 2:

U-937 (human histiocytic lymphoma monocyte) whole cell lysate at 20 µg

Lane 3:

SH-SY5Y (human neuroblastoma epithelial cell) whole cell lysate at 20 µg

Lane 4:

HuTu 80 (human Small intestine; Duodenum epithelial) whole cell lysate at 20 µg

Lane 5:

HEL (human erythroleukemia erythroblast) whole cell lysate at 20 µg

Lane 6:

K-562 (human chronic myelogenous leukemia lymphoblast) whole cell lysate at 20 µg

Lane 7:

NIH:OVCAR-3 (human ovary adenocarcinoma epithelial cell) whole cell lysate at 20 µg

Secondary

All lanes:

Western blot - Goat Anti-Rabbit IgG H&L (HRP) (<a href='/en-us/products/secondary-antibodies/goat-rabbit-igg-h-l-hrp-ab97051'>ab97051</a>) at 1/100000 dilution

false

Exposure time: 180s

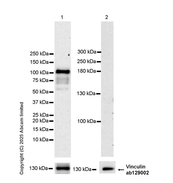
Western blot - Anti-N-terminal LPHN2 antibody [EPR29557-9] (AB324484)
  • WB

Supplier Data

Western blot - Anti-N-terminal LPHN2 antibody [EPR29557-9] (AB324484)

Blocking and diluting buffer and concentration : 5% NFDM/TBST.

Low expression : skeletal muscle (PMID : 10030676)

This blot was developed using a high-sensitivity ECL substrate, allowing for the detection of proteins in the mid-femtogram range.

The samples are unboiled.

The observed band is the N-terminal LPHN2.

All lanes:

Western blot - Anti-N-terminal LPHN2 antibody [EPR29557-9] (ab324484) at 1/1000 dilution

Lane 1:

Human lung tissue lysate at 20 µg

Lane 2:

Human skeletal muscle tissue lysate at 20 µg

Secondary

All lanes:

Goat Anti-Rabbit IgG (HRP) with minimal cross-reactivity with human IgG at 1/2000 dilution

true

Exposure time: 180s

Western blot - Anti-N-terminal LPHN2 antibody [EPR29557-9] (AB324484)
  • WB

Supplier Data

Western blot - Anti-N-terminal LPHN2 antibody [EPR29557-9] (AB324484)

Blocking and diluting buffer and concentration : 5% NFDM/TBST.

Low expression : EL4

The samples are unboiled.

The observed band is the N-terminal LPHN2.

In Western blot, Anti-GAPDH antibody [EPR16891] - Loading Control (ab181602) staining at 1/200000 dilution.

Exposure time : Lane1-2 : 125 seconds, lane3 : 48 seconds

All lanes:

Western blot - Anti-N-terminal LPHN2 antibody [EPR29557-9] (ab324484) at 1/1000 dilution

Lane 1:

Neuro-2a (mouse neuroblastoma neuroblast) whole cell lysate at 40 µg

Lane 2:

EL4 (mouse lymphoma T lymphocyte) whole cell lysate at 40 µg

Lane 3:

C6 (rat glial tumor glial cell) whole cell lysate at 40 µg

Secondary

All lanes:

Goat Anti-Rabbit IgG (HRP) with minimal cross-reactivity with human IgG at 1/2000 dilution

false

Western blot - Anti-N-terminal LPHN2 antibody [EPR29557-9] (AB324484)
  • WB

Supplier Data

Western blot - Anti-N-terminal LPHN2 antibody [EPR29557-9] (AB324484)

Blocking and diluting buffer and concentration : 5% NFDM/TBST.

Low expression : skeletal muscle(PMID : 10030676)

This blot was developed using a high-sensitivity ECL substrate, allowing for the detection of proteins in the mid-femtogram range.

The samples are unboiled.

The observed band is the N-terminal LPHN2.

In Western blot, Anti-GAPDH antibody [EPR16891] - Loading Control (ab181602) staining at 1/200000 dilution.

All lanes:

Western blot - Anti-N-terminal LPHN2 antibody [EPR29557-9] (ab324484) at 1/1000 dilution

Lane 1:

Mouse brain tissue lysate at 20 µg

Lane 2:

Mouse cerebellum tissue lysate at 20 µg

Lane 3:

Mouse heart tissue lysate at 20 µg

Lane 4:

Mouse skeletal muscle tissue lysate at 20 µg

Lane 5:

Rat brain tissue lysate at 20 µg

Lane 6:

Rat heart tissue lysate at 20 µg

Lane 7:

Rat skeletal muscle tissue lysate at 20 µg

Secondary

All lanes:

Goat Anti-Rabbit IgG (HRP) with minimal cross-reactivity with human IgG at 1/2000 dilution

true

Exposure time: 180s

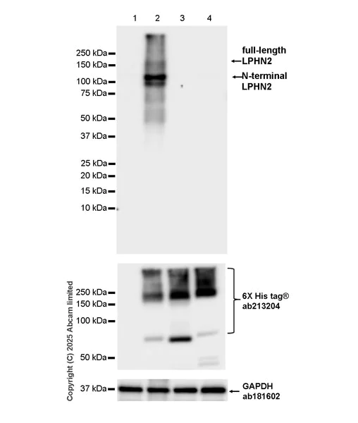
Western blot - Anti-N-terminal LPHN2 antibody [EPR29557-9] (AB324484)
  • WB

Supplier Data

Western blot - Anti-N-terminal LPHN2 antibody [EPR29557-9] (AB324484)

Blocking and diluting buffer and concentration : 5% NFDM/TBST.

The samples are unboiled.

This antibody does not cross-react with human LPHN1 or LPHN3.

In Western blot, Anti-GAPDH antibody [EPR16891] - Loading Control (ab181602) staining at 1/200000 dilution.

In Western blot, Anti-6X His tag® antibody [EPR20547] - ChIP Grade (ab213204) staining at 1/5000 dilution.

All lanes:

Western blot - Anti-N-terminal LPHN2 antibody [EPR29557-9] (ab324484) at 1/1000 dilution

Lane 1:

293T (human embryonic kidney epithelial cell) cells transfected with an empty vector containing a myc-His-tag®, whole cell lysate at 20 µg

Lane 2:

293T cells transfected with a human LPHN2 expression vector containing a myc-His-tag®, whole cell lysate at 20 µg

Lane 3:

293T cells transfected with a human LPHN1 expression vector containing a myc-His-tag®, whole cell lysate at 20 µg

Lane 4:

293T cells transfected with a human LPHN3 expression vector containing a myc-His-tag®, whole cell lysate at 20 µg

Secondary

All lanes:

Goat Anti-Rabbit IgG (HRP) with minimal cross-reactivity with human IgG at 1/100000 dilution

false

Exposure time: 3s

Dot Blot - Anti-N-terminal LPHN2 antibody [EPR29557-9] (AB324484)
  • Dot

Supplier Data

Dot Blot - Anti-N-terminal LPHN2 antibody [EPR29557-9] (AB324484)

Dot blot analysis of N-terminal LPHN2 using ab324484 at 1 : 1000 (0.495 ug/ml) followed by a Goat Anti-Rabbit IgG, (H+L), Peroxidase conjugated (ab97051) at 1 : 100,000 dilution.

Lane1 : His-tagged human LPHN2 recombinant fragment
Lane2 : His-tagged human LPHN1 recombinant fragment
Lane3 : His-tagged human LPHN3 recombinant fragment

Exposure time : 180 seconds.

Blocking and diluting buffer and concentration : 5% NFDM/TBST.

This antibody does not cross-react with human LPHN1 or LPHN3.

#In Dot Blot, Anti-6X His tag® antibody [AD1.1.10] (ab15149) staining at 1/1000 dilution.

All lanes:

Dot Blot - Anti-N-terminal LPHN2 antibody [EPR29557-9] (ab324484) at 1/1000 dilution

Lane 1:

His-tagged human LPHN2 recombinant fragment

Lane 2:

His-tagged human LPHN1 recombinant fragment

Lane 3:

His-tagged human LPHN3 recombinant fragment

Secondary

All lanes:

Dot Blot - Goat Anti-Rabbit IgG H&L (HRP) (<a href='/en-us/products/secondary-antibodies/goat-rabbit-igg-h-l-hrp-ab97051'>ab97051</a>) at 1/100000 dilution

false

Exposure time: 180s

Key facts

Host species

Rabbit

Clonality

Monoclonal

Clone number

EPR29557-9

Isotype

IgG

Carrier free

No

Reacts with

Human, Mouse, Rat

Applications

WB, Dot

applications

Immunogen

The exact immunogen used to generate this antibody is proprietary information.

Specificity

It also recognise weakly the full length in OE.

Reactivity data

{ "title": "Reactivity Data", "filters": { "stats": ["", "Species", "Dilution Info", "Notes"], "tabs": { "all-applications": {"fullname" : "All Applications", "shortname": "All Applications"}, "WB" : {"fullname" : "Western blot", "shortname":"WB"}, "Dot" : {"fullname" : "Dot Blot", "shortname":"Dot"}, "IHCFr" : {"fullname" : "Immunohistochemistry (Frozen sections)", "shortname":"IHC-Fr"}, "ICCIF" : {"fullname" : "Immunocytochemistry/ Immunofluorescence", "shortname":"ICC/IF"}, "IHCP" : {"fullname" : "Immunohistochemistry (Formalin/PFA-fixed paraffin-embedded sections)", "shortname":"IHC-P"} }, "product-promise": { "all": "all", "testedAndGuaranteed": "tested", "guaranteed": "expected", "predicted": "predicted", "notRecommended": "not-recommended" } }, "values": { "Human": { "WB-species-checked": "testedAndGuaranteed", "WB-species-dilution-info": "1/1000", "WB-species-notes": "<p></p>", "Dot-species-checked": "guaranteed", "Dot-species-dilution-info": "", "Dot-species-notes": "", "IHCFr-species-checked": "notRecommended", "IHCFr-species-dilution-info": "", "IHCFr-species-notes": "", "ICCIF-species-checked": "notRecommended", "ICCIF-species-dilution-info": "", "ICCIF-species-notes": "<p></p>", "IHCP-species-checked": "notRecommended", "IHCP-species-dilution-info": "", "IHCP-species-notes": "<p></p>" }, "Mouse": { "WB-species-checked": "testedAndGuaranteed", "WB-species-dilution-info": "1/1000", "WB-species-notes": "<p></p>", "Dot-species-checked": "guaranteed", "Dot-species-dilution-info": "", "Dot-species-notes": "", "IHCFr-species-checked": "notRecommended", "IHCFr-species-dilution-info": "", "IHCFr-species-notes": "<p></p>", "ICCIF-species-checked": "notRecommended", "ICCIF-species-dilution-info": "", "ICCIF-species-notes": "<p></p>", "IHCP-species-checked": "notRecommended", "IHCP-species-dilution-info": "", "IHCP-species-notes": "<p></p>" }, "Rat": { "WB-species-checked": "testedAndGuaranteed", "WB-species-dilution-info": "1/1000", "WB-species-notes": "<p></p>", "Dot-species-checked": "guaranteed", "Dot-species-dilution-info": "", "Dot-species-notes": "", "IHCFr-species-checked": "notRecommended", "IHCFr-species-dilution-info": "", "IHCFr-species-notes": "<p></p>", "ICCIF-species-checked": "notRecommended", "ICCIF-species-dilution-info": "", "ICCIF-species-notes": "<p></p>", "IHCP-species-checked": "notRecommended", "IHCP-species-dilution-info": "", "IHCP-species-notes": "<p></p>" }, "Recombinant fragment - Human": { "WB-species-checked": "notRecommended", "WB-species-dilution-info": "", "WB-species-notes": "", "Dot-species-checked": "testedAndGuaranteed", "Dot-species-dilution-info": "1/1000", "Dot-species-notes": "<p></p>", "IHCFr-species-checked": "notRecommended", "IHCFr-species-dilution-info": "", "IHCFr-species-notes": "", "ICCIF-species-checked": "notRecommended", "ICCIF-species-dilution-info": "", "ICCIF-species-notes": "", "IHCP-species-checked": "notRecommended", "IHCP-species-dilution-info": "", "IHCP-species-notes": "" }, "Transfected cell lysate - Human": { "WB-species-checked": "testedAndGuaranteed", "WB-species-dilution-info": "1/1000", "WB-species-notes": "<p></p>", "Dot-species-checked": "notRecommended", "Dot-species-dilution-info": "", "Dot-species-notes": "", "IHCFr-species-checked": "notRecommended", "IHCFr-species-dilution-info": "", "IHCFr-species-notes": "", "ICCIF-species-checked": "notRecommended", "ICCIF-species-dilution-info": "", "ICCIF-species-notes": "", "IHCP-species-checked": "notRecommended", "IHCP-species-dilution-info": "", "IHCP-species-notes": "" } } }

Product details

Patented technology
Our RabMAb® technology is a patented hybridoma-based technology for making rabbit monoclonal antibodies. For details on our patents, please refer to RabMAb® patents.

What are the advantages of a recombinant monoclonal antibody?
This product is a recombinant monoclonal antibody, which offers several advantages including:

  • - High batch-to-batch consistency and reproducibility
  • - Improved sensitivity and specificity
  • - Long-term security of supply
  • - Animal-free batch production

For more information, read more on recombinant antibodies.

Properties and storage information

Form
Liquid
Purification technique
Affinity purification Protein A
Storage buffer
pH: 7.2 - 7.4 Preservative: 0.01% Sodium azide Constituents: PBS, 40% Glycerol (glycerin, glycerine), 0.05% BSA
Shipped at conditions
Blue Ice
Appropriate short-term storage duration
1-2 weeks
Appropriate short-term storage conditions
+4°C
Appropriate long-term storage conditions
-20°C
Aliquoting information
Upon delivery aliquot
Storage information
Avoid freeze / thaw cycle

Product protocols

For this product, it's our understanding that no specific protocols are required. You can visit:

Target data

Calcium-independent receptor of low affinity for alpha-latrotoxin, an excitatory neurotoxin present in black widow spider venom which triggers massive exocytosis from neurons and neuroendocrine cells. Receptor probably implicated in the regulation of exocytosis.
See full target information ADGRL2

Product promise

We are committed to supporting your work with high-quality reagents, and we're here for you every step of the way. In the unlikely event that one of our products does not perform as expected, you're protected by our Product Promise.
For full details, please see our Terms & Conditions

Please note: All products are 'FOR RESEARCH USE ONLY. NOT FOR USE IN DIAGNOSTIC OR THERAPEUTIC PROCEDURES'.

For licensing inquiries, please contact partnerships@abcam.com