JavaScript is disabled in your browser. Please enable JavaScript to view this website.
AB187527

Anti-N WASP antibody

5

(2 Reviews)

|

(3 Publications)

Rabbit Polyclonal N WASP antibody. Suitable for WB, IHC-P and reacts with Human, Mouse, Rat samples. Cited in 3 publications. Immunogen corresponding to Recombinant Fragment Protein within Human Neural Wiskott-Aldrich syndrome protein.

View Alternative Names

Actin nucleation-promoting factor WASL, Neural Wiskott-Aldrich syndrome protein, N-WASP, WASL

3 Images
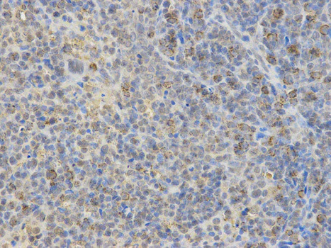
Immunohistochemistry (Formalin/PFA-fixed paraffin-embedded sections) - Anti-N WASP antibody (AB187527)
  • IHC-P

Unknown

Immunohistochemistry (Formalin/PFA-fixed paraffin-embedded sections) - Anti-N WASP antibody (AB187527)

Immunohistochemistry (Formalin/PFA-fixed paraffin-embedded sections) analysis of rat spleen tissue labelling N WASP with ab187527 at 1/100. Magnification : 400x.

Immunohistochemistry (Formalin/PFA-fixed paraffin-embedded sections) - Anti-N WASP antibody (AB187527)
  • IHC-P

Unknown

Immunohistochemistry (Formalin/PFA-fixed paraffin-embedded sections) - Anti-N WASP antibody (AB187527)

Immunohistochemistry (Formalin/PFA-fixed paraffin-embedded sections) analysis of rat lung tissue labelling N WASP with ab187527 at 1/100. Magnification : 400x.

Western blot - Anti-N WASP antibody (AB187527)
  • WB

Supplier Data

Western blot - Anti-N WASP antibody (AB187527)

All lanes:

Western blot - Anti-N WASP antibody (ab187527) at 1/3000 dilution

Lane 1:

HeLa cell lysate at 25 µg

Lane 2:

U-87MG cell lysate at 25 µg

Lane 3:

A549 cell lysate at 25 µg

Lane 4:

Mouse brain tissue lysate at 25 µg

Lane 5:

Mouse lung tissue lysate at 25 µg

Lane 6:

Rat brain tissue lysate at 25 µg

Secondary

All lanes:

HRP goat anti-rabbit IgG (H+L) at 1/10000 dilution

true

Exposure time: 90s

Key facts

Host species

Rabbit

Clonality

Polyclonal

Isotype

IgG

Carrier free

No

Reacts with

Mouse, Rat, Human

Applications

WB, IHC-P

applications

Immunogen

Recombinant Fragment Protein within Human Neural Wiskott-Aldrich syndrome protein. The exact immunogen used to generate this antibody is proprietary information.

O00401

Reactivity data

{ "title": "Reactivity Data", "filters": { "stats": ["", "Species", "Dilution Info", "Notes"], "tabs": { "all-applications": {"fullname" : "All Applications", "shortname": "All Applications"}, "WB" : {"fullname" : "Western blot", "shortname":"WB"}, "IHCP" : {"fullname" : "Immunohistochemistry (Formalin/PFA-fixed paraffin-embedded sections)", "shortname":"IHC-P"} }, "product-promise": { "all": "all", "testedAndGuaranteed": "tested", "guaranteed": "expected", "predicted": "predicted", "notRecommended": "not-recommended" } }, "values": { "Human": { "WB-species-checked": "testedAndGuaranteed", "WB-species-dilution-info": "1/500 - 1/2000", "WB-species-notes": "<p></p>", "IHCP-species-checked": "testedAndGuaranteed", "IHCP-species-dilution-info": "1/50 - 1/200", "IHCP-species-notes": "<p></p>" }, "Mouse": { "WB-species-checked": "testedAndGuaranteed", "WB-species-dilution-info": "1/500 - 1/2000", "WB-species-notes": "<p></p>", "IHCP-species-checked": "testedAndGuaranteed", "IHCP-species-dilution-info": "1/50 - 1/200", "IHCP-species-notes": "<p></p>" }, "Rat": { "WB-species-checked": "testedAndGuaranteed", "WB-species-dilution-info": "1/500 - 1/2000", "WB-species-notes": "<p></p>", "IHCP-species-checked": "testedAndGuaranteed", "IHCP-species-dilution-info": "1/50 - 1/200", "IHCP-species-notes": "<p></p>" } } }

Properties and storage information

Form
Liquid
Purification technique
Affinity purification Immunogen
Storage buffer
pH: 7.4 Preservative: 0.02% Sodium azide Constituents: PBS, 50% Glycerol (glycerin, glycerine)
Shipped at conditions
Blue Ice
Appropriate short-term storage duration
1-2 weeks
Appropriate short-term storage conditions
+4°C
Appropriate long-term storage conditions
-20°C
Aliquoting information
Upon delivery aliquot
Storage information
Avoid freeze / thaw cycle

Supplementary information

This supplementary information is collated from multiple sources and compiled automatically.

The protein N-WASP also known as neural Wiskott-Aldrich syndrome protein plays an important role in actin cytoskeleton dynamics. It weighs about 65 kDa and is widely expressed in diverse tissues but shows higher expression levels in the brain. In its mechanical function N-WASP regulates the polymerization of actin by activating the Arp2/3 complex. Through these interactions it helps in the formation of branched actin networks which are essential for cellular movement and shape.
Biological function summary

N-WASP functions are critical in cell signaling endocytosis and neurite extension. N-WASP often acts within a complex and interacts with various proteins like Cdc42 to transmit signals from cell surface to the actin cytoskeleton. These activities position N-WASP as a fundamental component for cellular architecture and mobility impacting processes like immune response and neuronal development. Its interaction with Arp2/3 contributes to dynamic changes in cell movement and shape.

Pathways

N-WASP plays a role in Rac and Cdc42 signaling pathways important for actin reorganization. Within these pathways it interacts with proteins such as Rho family GTPases influencing cytoskeletal arrangements. The proper functioning of these pathways is vital for numerous cellular processes including the migration of cells which affects tissue development and repair.

Alterations in N-WASP are linked to immunodeficiencies and neurological disorders. Mutations or dysfunction in N-WASP can lead to Wiskott-Aldrich syndrome characterized by immune defects and eczema due to its role in immune cell signaling. Additionally N-WASP's interaction with proteins such as WASP contributes to its involvement in neurodevelopmental disorders like autistic spectrum disorders reflecting the importance of this protein in maintaining normal cellular function.

Product protocols

For this product, it's our understanding that no specific protocols are required. You can visit:

Target data

Regulates actin polymerization by stimulating the actin-nucleating activity of the Arp2/3 complex (PubMed : 16767080, PubMed : 19366662, PubMed : 19487689, PubMed : 22847007, PubMed : 22921828, PubMed : 9422512). Involved in various processes, such as mitosis and cytokinesis, via its role in the regulation of actin polymerization (PubMed : 19366662, PubMed : 19487689, PubMed : 22847007, PubMed : 22921828, PubMed : 9422512). Together with CDC42, involved in the extension and maintenance of the formation of thin, actin-rich surface projections called filopodia (PubMed : 9422512). In addition to its role in the cytoplasm, also plays a role in the nucleus by regulating gene transcription, probably by promoting nuclear actin polymerization (PubMed : 16767080). Binds to HSF1/HSTF1 and forms a complex on heat shock promoter elements (HSE) that negatively regulates HSP90 expression (By similarity). Plays a role in dendrite spine morphogenesis (By similarity). Decreasing levels of DNMBP (using antisense RNA) alters apical junction morphology in cultured enterocytes, junctions curve instead of being nearly linear (PubMed : 19767742).
See full target information Neural Wiskott-Aldrich syndrome protein

Publications (3)

Recent publications for all applications. Explore the full list and refine your search

Nucleic acids research 51:6337-6354 PubMed37224534

2023

Actin nucleators safeguard replication forks by limiting nascent strand degradation.

Applications

Unspecified application

Species

Unspecified reactive species

Jadwiga Nieminuszczy,Peter R Martin,Ronan Broderick,Joanna Krwawicz,Alexandra Kanellou,Camelia Mocanu,Vicky Bousgouni,Charlotte Smith,Kuo-Kuang Wen,Beth L Woodward,Chris Bakal,Fiona Shackley,Andrés Aguilera,Grant S Stewart,Yatin M Vyas,Wojciech Niedzwiedz

Cell reports 38:110306 PubMed35081340

2022

Phosphoproteomic profiling of influenza virus entry reveals infection-triggered filopodia induction counteracted by dynamic cortactin phosphorylation.

Applications

Unspecified application

Species

Unspecified reactive species

Annika Hunziker,Irina Glas,Marie O Pohl,Silke Stertz

The Journal of cell biology 216:1689-1703 PubMed28432079

2017

Regulation of microtubule-associated motors drives intermediate filament network polarization.

Applications

Unspecified application

Species

Unspecified reactive species

Cécile Leduc,Sandrine Etienne-Manneville
View all publications

Product promise

We are committed to supporting your work with high-quality reagents, and we're here for you every step of the way. In the unlikely event that one of our products does not perform as expected, you're protected by our Product Promise.
For full details, please see our Terms & Conditions

Please note: All products are 'FOR RESEARCH USE ONLY. NOT FOR USE IN DIAGNOSTIC OR THERAPEUTIC PROCEDURES'.

For licensing inquiries, please contact partnerships@abcam.com