JavaScript is disabled in your browser. Please enable JavaScript to view this website.
AB126626

Anti-N WASP antibody [EPR6959]

5

(2 Reviews)

|

(14 Publications)

Rabbit Recombinant Monoclonal N WASP antibody. Suitable for IHC-P, WB, ICC/IF, Flow Cyt (Intra) and reacts with Human, Mouse samples. Cited in 14 publications.

View Alternative Names

Actin nucleation-promoting factor WASL, Neural Wiskott-Aldrich syndrome protein, N-WASP, WASL

10 Images
Flow Cytometry (Intracellular) - Anti-N WASP antibody [EPR6959] (AB126626)
  • Flow Cyt (Intra)

Lab

Flow Cytometry (Intracellular) - Anti-N WASP antibody [EPR6959] (AB126626)

Intracellular Flow Cytometry analysis of K562 (human chronic myelogenous leukemia) cells labeling N WASP with purified ab126626 at 1/150 (red). Cells were fixed with 4% paraformaldehyde and permeabilised with 90% methanol. A Goat Anti-Rabbit IgG H&L (Alexa Fluorr® 488) (ab150077)was used as the secondary antibody. Rabbit IgG, monoclonal [EPR25A] - Isotype Control (ab172730) (Black) was used as the isotype control, cells without incubation with primary antibody and secondary antibody (Blue) were used as the unlabeled control.

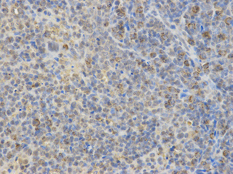
Immunohistochemistry (Formalin/PFA-fixed paraffin-embedded sections) - Anti-N WASP antibody [EPR6959] (AB126626)
  • IHC-P

Unknown

Immunohistochemistry (Formalin/PFA-fixed paraffin-embedded sections) - Anti-N WASP antibody [EPR6959] (AB126626)

Unpurified ab126626, at 1/50, staining N WASP in formalin fixed, paraffin embedded human papillary carcinoma tissue by Immunohistochemistry

Perform heat mediated antigen retrieval with citrate buffer pH 6 before commencing with IHC staining protocol.

Immunocytochemistry/ Immunofluorescence - Anti-N WASP antibody [EPR6959] (AB126626)
  • ICC/IF

Unknown

Immunocytochemistry/ Immunofluorescence - Anti-N WASP antibody [EPR6959] (AB126626)

Immunofluorescence staining of K562 cells with purified ab126626 at a working dilution of 1/300, counter-stained with DAPI. The secondary antibody was Alexa Fluor® 488 goat anti-rabbit (ab150077), used at a dilution of 1/1000. ab7291, a mouse anti-tubulin antibody (1/1000), was used to stain tubulin along with ab150120 (Alexa Fluor® 594 goat anti-mouse, 1/1000), shown in the top right hand panel. The cells were fixed in 4% PFA and permeabilized using 0.1% Triton X 100. The negative controls are shown in bottom middle and right hand panels - for negative control 1, purified ab126626 was used at a dilution of 1/500 followed by an Alexa Fluor® 594 goat anti-mouse antibody (ab150120) at a dilution of 1/500. For negative control 2, ab7291 (mouse anti-tubulin) was used at a dilution of 1/500 followed by an Alexa Fluor® 488 goat anti-rabbit antibody (ab150077) at a dilution of 1/400.

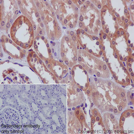
Immunohistochemistry (Formalin/PFA-fixed paraffin-embedded sections) - Anti-N WASP antibody [EPR6959] (AB126626)
  • IHC-P

Unknown

Immunohistochemistry (Formalin/PFA-fixed paraffin-embedded sections) - Anti-N WASP antibody [EPR6959] (AB126626)

Immunohistochemical staining of paraffin embedded human kidney with purified ab126626 at a working dilution of 1/100. The secondary antibody used is ab97051, a goat anti-rabbit IgG (H&L) at a dilution of 1/500. The sample is counter-stained with hematoxylin. Antigen retrieval was perfomed using Tris-EDTA buffer, pH 9.0. PBS was used instead of the primary antibody as the negative control, and is shown in the inset.

Western blot - Anti-N WASP antibody [EPR6959] (AB126626)
  • WB

Lab

Western blot - Anti-N WASP antibody [EPR6959] (AB126626)

Blocking buffer : 5% NFDM/TBST
Dilution buffer : 5% NFDM/TBST

All lanes:

Western blot - Anti-N WASP antibody [EPR6959] (ab126626) at 1/10000 dilution

Lane 1:

HeLa whole cell lysate at 10 µg

Lane 2:

K562 whole cell lysate at 10 µg

Secondary

All lanes:

Western blot - Goat Anti-Rabbit IgG H&L (HRP) (<a href='/en-us/products/secondary-antibodies/goat-rabbit-igg-h-l-hrp-ab97051'>ab97051</a>) at 1/20000 dilution

Predicted band size: 35 kDa,38 kDa,42 kDa,50 kDa,55 kDa

Observed band size: 42 kDa,65 kDa

false

Western blot - Anti-N WASP antibody [EPR6959] (AB126626)
  • WB

Lab

Western blot - Anti-N WASP antibody [EPR6959] (AB126626)

Lane 1 : Wild-type HAP1 cell lysate (20 μg)
Lane 2 : N WASP knockout HAP1 cell lysate (20 μg)
Lane 3 : A549 cell lysate (20 μg)
Lane 4 : Human thyroid tissue lysate (20 μg)
Lanes 1 - 4 : Merged signal (red and green). Green - ab126626 observed at 67 kDa. Red - loading control, ab8245, observed at 37 kDa.
ab126626 was shown to recognize N WASP when N WASP knockout samples were used, along with additional cross-reactive bands. Wild-type and N WASP knockout samples were subjected to SDS-PAGE. ab126626 and ab8245 (loading control to GAPDH) were diluted 1/1000 and 1/2000 respectively and incubated overnight at 4°C. Blots were developed with Goat anti-Rabbit IgG H&L (IRDye® 800CW) preadsorbed (ab216773) and Goat anti-Mouse IgG H&L (IRDye® 680RD) preadsorbed (ab216776) secondary antibodies at 1/10000 dilution for 1 h at room temperature before imaging.

All lanes:

Western blot - Anti-N WASP antibody [EPR6959] (ab126626)

Predicted band size: 55 kDa

false

Western blot - Anti-N WASP antibody [EPR6959] (AB126626)
  • WB

Unknown

Western blot - Anti-N WASP antibody [EPR6959] (AB126626)

All lanes:

Western blot - Anti-N WASP antibody [EPR6959] (ab126626) at 1/1000 dilution

Lane 1:

NIH 3T3 cell lysate at 10 µg

Lane 2:

F9 cell lysate at 10 µg

Lane 3:

L929 cell lysate at 10 µg

Lane 4:

HeLa cell lysate at 10 µg

Lane 5:

K562 cell lysate at 10 µg

Secondary

All lanes:

Goat anti-rabbit HRP conjugated antibody at 1/2000 dilution

Predicted band size: 55 kDa

false

Western blot - Anti-N WASP antibody [EPR6959] (AB126626)
  • WB

Lab

Western blot - Anti-N WASP antibody [EPR6959] (AB126626)

Western blot : Rabbit Monoclonal[EPR6959] to N WASP ab126626 staining at 1/1000 dilution, shown in green; Mouse anti GAPDH ab8245 loading control staining at 1/20000 dilution, shown in magenta. A band was observed at 62 kDa in Wild-type U-87 MG cell lysates with no signal observed at this size in WASL knockout U-87 MG cell line. To generate this image, samples were run on an SDS-PAGE gel then transferred onto a nitrocellulose membrane. Membranes were blocked in 3pc Milk in TBS-0.1 % Tween® 20 (TBS-T) before incubation with primary antibodies overnight at 4 °C. Blots were washed four times in TBS-T, incubated with secondary antibodies for 1 h at room temperature, washed again four times then imaged. Secondary antibodies used were Goat anti-Rabbit 800CW and Goat anti-Mouse 680RD at 1/20,000 dilution.

All lanes:

Western blot - Anti-N WASP antibody [EPR6959] (ab126626) at 1/1000 dilution

Lane 1:

Wild-type U-87 MG at 20 µg

Lane 2:

WASL knockout U-87 MG at 20 µg

Secondary

All lanes:

Goat anti-Rabbit 800CW & Goat anti-Mouse 680RD at 1/20000 dilution

Predicted band size: 55 kDa

Observed band size: 62 kDa,36 kDa

false

Western blot - Anti-N WASP antibody [EPR6959] (AB126626)
  • WB

Lab

Western blot - Anti-N WASP antibody [EPR6959] (AB126626)

All lanes:

Western blot - Anti-N WASP antibody [EPR6959] (ab126626) at 1/10000 dilution

All lanes:

L929 whole cell lysate at 10 µg

Secondary

All lanes:

Western blot - Goat Anti-Rabbit IgG H&L (HRP) (<a href='/en-us/products/secondary-antibodies/goat-rabbit-igg-h-l-hrp-ab97051'>ab97051</a>) at 1/20000 dilution

Predicted band size: 55 kDa

Observed band size: 65 kDa

false

OI-RD Scanning - Anti-N WASP antibody [EPR6959] (AB126626)
  • OI-RD Scanning

Unknown

OI-RD Scanning - Anti-N WASP antibody [EPR6959] (AB126626)

We have systematically measured KD (the equilibrium dissociation constant between the antibody and its antigen), of more than 840 recombinant antibodies to assess not only their individual KD values but also to see the average affinity of antibody. Based on the comparison with published literature values for mouse monoclonal antibodies, Recombinant antibodies appear to be on average 1-2 order of magnitude higher affinity.

  • 519 Alexa Fluor® 488

    Alexa Fluor® 488 Anti-N WASP antibody [EPR6959]

  • 665 Alexa Fluor® 647

    Alexa Fluor® 647 Anti-N WASP antibody [EPR6959]

  • Carrier free

    Anti-N WASP antibody [EPR6959] - BSA and Azide free

  • 660 APC

    APC Anti-N WASP antibody [EPR6959]

  • HRP

    HRP Anti-N WASP antibody [EPR6959]

  • 603 Alexa Fluor® 568

    Alexa Fluor® 568 Anti-N WASP antibody [EPR6959]

  • 578 PE

    PE Anti-N WASP antibody [EPR6959]

  • 775 Alexa Fluor® 750

    Alexa Fluor® 750 Anti-N WASP antibody [EPR6959]

Key facts

Host species

Rabbit

Clonality

Monoclonal

Clone number

EPR6959

Isotype

IgG

Carrier free

No

Reacts with

Mouse, Human

Applications

Flow Cyt (Intra), IHC-P, ICC/IF, WB

applications

Immunogen

The exact immunogen used to generate this antibody is proprietary information.

Reactivity data

{ "title": "Reactivity Data", "filters": { "stats": ["", "Species", "Dilution Info", "Notes"], "tabs": { "all-applications": {"fullname" : "All Applications", "shortname": "All Applications"}, "IHCP" : {"fullname" : "Immunohistochemistry (Formalin/PFA-fixed paraffin-embedded sections)", "shortname":"IHC-P"}, "WB" : {"fullname" : "Western blot", "shortname":"WB"}, "ICCIF" : {"fullname" : "Immunocytochemistry/ Immunofluorescence", "shortname":"ICC/IF"}, "FlowCytIntra" : {"fullname" : "Flow Cytometry (Intracellular)", "shortname":"Flow Cyt (Intra)"} }, "product-promise": { "all": "all", "testedAndGuaranteed": "tested", "guaranteed": "expected", "predicted": "predicted", "notRecommended": "not-recommended" } }, "values": { "Human": { "IHCP-species-checked": "testedAndGuaranteed", "IHCP-species-dilution-info": "1/50 - 1/100", "IHCP-species-notes": "<p></p> Perform heat-mediated antigen retrieval with citrate buffer pH 6 before commencing with IHC staining protocol.", "WB-species-checked": "testedAndGuaranteed", "WB-species-dilution-info": "1/1000 - 1/10000", "WB-species-notes": "<p></p>", "ICCIF-species-checked": "testedAndGuaranteed", "ICCIF-species-dilution-info": "1/300", "ICCIF-species-notes": "<p><strong>For unpurified, use 1/50 - 1/100.</strong></p>", "FlowCytIntra-species-checked": "testedAndGuaranteed", "FlowCytIntra-species-dilution-info": "", "FlowCytIntra-species-notes": "<p>Purified format</p>" }, "Mouse": { "IHCP-species-checked": "guaranteed", "IHCP-species-dilution-info": "", "IHCP-species-notes": "", "WB-species-checked": "testedAndGuaranteed", "WB-species-dilution-info": "1/1000 - 1/10000", "WB-species-notes": "<p></p>", "ICCIF-species-checked": "guaranteed", "ICCIF-species-dilution-info": "", "ICCIF-species-notes": "", "FlowCytIntra-species-checked": "guaranteed", "FlowCytIntra-species-dilution-info": "", "FlowCytIntra-species-notes": "" }, "Pig": { "IHCP-species-checked": "predicted", "IHCP-species-dilution-info": "", "IHCP-species-notes": "", "WB-species-checked": "predicted", "WB-species-dilution-info": "", "WB-species-notes": "", "ICCIF-species-checked": "predicted", "ICCIF-species-dilution-info": "", "ICCIF-species-notes": "", "FlowCytIntra-species-checked": "predicted", "FlowCytIntra-species-dilution-info": "", "FlowCytIntra-species-notes": "" } } }

Product details

Patented technology
Our RabMAb® technology is a patented hybridoma-based technology for making rabbit monoclonal antibodies. For details on our patents, please refer to RabMAb® patents.

What are the advantages of a recombinant monoclonal antibody?
This product is a recombinant monoclonal antibody, which offers several advantages including:

  • - High batch-to-batch consistency and reproducibility
  • - Improved sensitivity and specificity
  • - Long-term security of supply
  • - Animal-free batch production

For more information, read more on recombinant antibodies.

Properties and storage information

Form
Liquid
Purification technique
Affinity purification Protein A
Storage buffer
pH: 7.2 - 7.4 Preservative: 0.01% Sodium azide Constituents: PBS, 50% Glycerol (glycerin, glycerine), 0.05% BSA
Shipped at conditions
Blue Ice
Appropriate short-term storage duration
1-2 weeks
Appropriate short-term storage conditions
+4°C
Appropriate long-term storage conditions
-20°C
Aliquoting information
Upon delivery aliquot
Storage information
Stable for 12 months at -20°C

Supplementary information

This supplementary information is collated from multiple sources and compiled automatically.

The protein N-WASP also known as neural Wiskott-Aldrich syndrome protein plays an important role in actin cytoskeleton dynamics. It weighs about 65 kDa and is widely expressed in diverse tissues but shows higher expression levels in the brain. In its mechanical function N-WASP regulates the polymerization of actin by activating the Arp2/3 complex. Through these interactions it helps in the formation of branched actin networks which are essential for cellular movement and shape.
Biological function summary

N-WASP functions are critical in cell signaling endocytosis and neurite extension. N-WASP often acts within a complex and interacts with various proteins like Cdc42 to transmit signals from cell surface to the actin cytoskeleton. These activities position N-WASP as a fundamental component for cellular architecture and mobility impacting processes like immune response and neuronal development. Its interaction with Arp2/3 contributes to dynamic changes in cell movement and shape.

Pathways

N-WASP plays a role in Rac and Cdc42 signaling pathways important for actin reorganization. Within these pathways it interacts with proteins such as Rho family GTPases influencing cytoskeletal arrangements. The proper functioning of these pathways is vital for numerous cellular processes including the migration of cells which affects tissue development and repair.

Alterations in N-WASP are linked to immunodeficiencies and neurological disorders. Mutations or dysfunction in N-WASP can lead to Wiskott-Aldrich syndrome characterized by immune defects and eczema due to its role in immune cell signaling. Additionally N-WASP's interaction with proteins such as WASP contributes to its involvement in neurodevelopmental disorders like autistic spectrum disorders reflecting the importance of this protein in maintaining normal cellular function.

Product protocols

For this product, it's our understanding that no specific protocols are required. You can visit:

Target data

Regulates actin polymerization by stimulating the actin-nucleating activity of the Arp2/3 complex (PubMed : 16767080, PubMed : 19366662, PubMed : 19487689, PubMed : 22847007, PubMed : 22921828, PubMed : 9422512). Involved in various processes, such as mitosis and cytokinesis, via its role in the regulation of actin polymerization (PubMed : 19366662, PubMed : 19487689, PubMed : 22847007, PubMed : 22921828, PubMed : 9422512). Together with CDC42, involved in the extension and maintenance of the formation of thin, actin-rich surface projections called filopodia (PubMed : 9422512). In addition to its role in the cytoplasm, also plays a role in the nucleus by regulating gene transcription, probably by promoting nuclear actin polymerization (PubMed : 16767080). Binds to HSF1/HSTF1 and forms a complex on heat shock promoter elements (HSE) that negatively regulates HSP90 expression (By similarity). Plays a role in dendrite spine morphogenesis (By similarity). Decreasing levels of DNMBP (using antisense RNA) alters apical junction morphology in cultured enterocytes, junctions curve instead of being nearly linear (PubMed : 19767742).
See full target information Neural Wiskott-Aldrich syndrome protein

Publications (14)

Recent publications for all applications. Explore the full list and refine your search

Development (Cambridge, England) 149: PubMed36469048

2022

N-WASP-Arp2/3 signaling controls multiple steps of dendrite maturation in Purkinje cells in vivo.

Applications

Unspecified application

Species

Unspecified reactive species

Koichi Hasegawa,Takeshi K Matsui,Junpei Kondo,Ken-Ichiro Kuwako

Molecular biology of the cell 33:ar50 PubMed35389747

2022

Load adaptation by endocytic actin networks.

Applications

Unspecified application

Species

Unspecified reactive species

Charlotte Kaplan,Sam J Kenny,Xuyan Chen,Johannes Schöneberg,Ewa Sitarska,Alba Diz-Muñoz,Matthew Akamatsu,Ke Xu,David G Drubin

Cell proliferation 54:e13104 PubMed34323331

2021

RAB14 GTPase is essential for actin-based asymmetric division during mouse oocyte maturation.

Applications

Unspecified application

Species

Unspecified reactive species

Yuan-Jing Zou,Meng-Meng Shan,Hong-Hui Wang,Zhen-Nan Pan,Meng-Hao Pan,Yi Xu,Jia-Qian Ju,Shao-Chen Sun

Frontiers in cell and developmental biology 9:670890 PubMed34222242

2021

Identify Function of WASL in Prognosis of Cervical Cancer Based on Omics Data.

Applications

Unspecified application

Species

Unspecified reactive species

Jinxuan Hou,Chen Chen,Yingying Hu,Qing Gong,Lijuan Gan,Yu Xu

eLife 8: PubMed31769754

2019

Entry by multiple picornaviruses is dependent on a pathway that includes TNK2, WASL, and NCK1.

Applications

Unspecified application

Species

Unspecified reactive species

Hongbing Jiang,Christian Leung,Stephen Tahan,David Wang

Molecular human reproduction 25:359-372 PubMed31152166

2019

RAB35 depletion affects spindle formation and actin-based spindle migration in mouse oocyte meiosis.

Applications

Unspecified application

Species

Unspecified reactive species

Yu Zhang,Xiang Wan,Hong-Hui Wang,Meng-Hao Pan,Zhen-Nan Pan,Shao-Chen Sun

Journal of cellular physiology 234:18513-18523 PubMed30912144

2019

Loss of PKC mu function induces cytoskeletal defects in mouse oocyte meiosis.

Applications

Unspecified application

Species

Unspecified reactive species

Yu Zhang,Lan-Lan Wu,Xiang Wan,Hong-Hui Wang,Xiao-Han Li,Zhen-Nan Pan,Shao-Chen Sun

Cell 174:325-337.e14 PubMed29887380

2018

A Flat BAR Protein Promotes Actin Polymerization at the Base of Clathrin-Coated Pits.

Applications

Unspecified application

Species

Unspecified reactive species

Leonardo Almeida-Souza,Rene A W Frank,Javier García-Nafría,Adeline Colussi,Nushan Gunawardana,Christopher M Johnson,Minmin Yu,Gillian Howard,Byron Andrews,Yvonne Vallis,Harvey T McMahon

Oncotarget 8:88630-88644 PubMed29179463

2017

Olaquindox disrupts tight junction integrity and cytoskeleton architecture in mouse Sertoli cells.

Applications

WB

Species

Mouse

Di Wu,Chun-Jie Huang,Xiao-Fei Jiao,Zhi-Ming Ding,Jia-Yu Zhang,Fan Chen,Yong-Sheng Wang,Xiang Li,Li-Jun Huo

The Journal of reproduction and development 63:505-510 PubMed28781348

2017

The small GTPase CDC42 regulates actin dynamics during porcine oocyte maturation.

Applications

WB

Species

Pig

Yu Zhang,Qiao-Chu Wang,Jun Liu,Bo Xiong,Xiang-Shun Cui,Nam-Hyung Kim,Shao-Chen Sun
View all publications

Product promise

We are committed to supporting your work with high-quality reagents, and we're here for you every step of the way. In the unlikely event that one of our products does not perform as expected, you're protected by our Product Promise.
For full details, please see our Terms & Conditions

Please note: All products are 'FOR RESEARCH USE ONLY. NOT FOR USE IN DIAGNOSTIC OR THERAPEUTIC PROCEDURES'.

For licensing inquiries, please contact partnerships@abcam.com