JavaScript is disabled in your browser. Please enable JavaScript to view this website.
AB236965

Anti-NAA38 antibody

Be the first to review this product! Submit a review

|

(1 Publication)

Rabbit Polyclonal NAA38 antibody. Suitable for WB, IHC-P, ICC/IF and reacts with Mouse, Human samples. Cited in 1 publication. Immunogen corresponding to Recombinant Full Length Protein corresponding to Human NAA38.

View Alternative Names

LSMD1, MAK31, PFAAP2, NAA38, LSM domain-containing protein 1, Phosphonoformate immuno-associated protein 2

3 Images
Immunohistochemistry (Formalin/PFA-fixed paraffin-embedded sections) - Anti-NAA38 antibody (AB236965)
  • IHC-P

Supplier Data

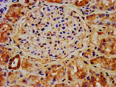
Immunohistochemistry (Formalin/PFA-fixed paraffin-embedded sections) - Anti-NAA38 antibody (AB236965)

Paraffin-embedded human kidney tissue stained for NAA38 using ab236965 at 1/400 dilution in immunohistochemical analysis.

After dewaxing and hydration, antigen retrieval was mediated by high pressure in a citrate buffer (pH 6.0). Section was blocked with 10% normal goat serum for 30 minutes at RT. Then primary antibody (1% BSA) was incubated at 4°C overnight. The primary is detected by a biotinylated secondary antibody and visualized tissue using an HRP conjugated SP system.

Immunocytochemistry/ Immunofluorescence - Anti-NAA38 antibody (AB236965)
  • ICC/IF

Supplier Data

Immunocytochemistry/ Immunofluorescence - Anti-NAA38 antibody (AB236965)

PC-3 (human prostate adenocarcinoma cell line) cells stained for NAA38 (Green) using ab236965 at 1/133 dilution in ICC/IF, followed by Alexa Fluor 488-conjugated Goat Anti-Rabbit IgG (H+L) secondary antibody.

The cells were fixed in 4% formaldehyde, permeabilized tissue using 0.2% Triton X-100 and blocked in 10% normal goat serum. The cells were then incubated with the antibody overnight at 4°C. Counterstained with DAPI.

Western blot - Anti-NAA38 antibody (AB236965)
  • WB

Supplier Data

Western blot - Anti-NAA38 antibody (AB236965)

All lanes:

Western blot - Anti-NAA38 antibody (ab236965) at 1/500 dilution

All lanes:

Mouse kidney tissue lysate

Secondary

All lanes:

Goat polyclonal to rabbit IgG at 1/50000 dilution

Predicted band size: 14 kDa

false

Key facts

Host species

Rabbit

Clonality

Polyclonal

Isotype

IgG

Carrier free

No

Reacts with

Mouse, Human

Applications

ICC/IF, WB, IHC-P

applications

Immunogen

Recombinant Full Length Protein corresponding to Human NAA38.

Q9BRA0

Reactivity data

{ "title": "Reactivity Data", "filters": { "stats": ["", "Species", "Dilution Info", "Notes"], "tabs": { "all-applications": {"fullname" : "All Applications", "shortname": "All Applications"}, "WB" : {"fullname" : "Western blot", "shortname":"WB"}, "IHCP" : {"fullname" : "Immunohistochemistry (Formalin/PFA-fixed paraffin-embedded sections)", "shortname":"IHC-P"}, "ICCIF" : {"fullname" : "Immunocytochemistry/ Immunofluorescence", "shortname":"ICC/IF"} }, "product-promise": { "all": "all", "testedAndGuaranteed": "tested", "guaranteed": "expected", "predicted": "predicted", "notRecommended": "not-recommended" } }, "values": { "Human": { "WB-species-checked": "guaranteed", "WB-species-dilution-info": "", "WB-species-notes": "", "IHCP-species-checked": "testedAndGuaranteed", "IHCP-species-dilution-info": "1/100 - 1/500", "IHCP-species-notes": "<p></p>", "ICCIF-species-checked": "testedAndGuaranteed", "ICCIF-species-dilution-info": "1/50 - 1/500", "ICCIF-species-notes": "<p></p>" }, "Mouse": { "WB-species-checked": "testedAndGuaranteed", "WB-species-dilution-info": "1/500 - 1/5000", "WB-species-notes": "<p></p>", "IHCP-species-checked": "guaranteed", "IHCP-species-dilution-info": "", "IHCP-species-notes": "", "ICCIF-species-checked": "guaranteed", "ICCIF-species-dilution-info": "", "ICCIF-species-notes": "" } } }

Properties and storage information

Form
Liquid
Purification technique
Affinity purification Protein G
Purification notes
Purity >95%
Storage buffer
pH: 7.4 Preservative: 0.03% Proclin 300 Constituents: PBS, 50% Glycerol (glycerin, glycerine)
Shipped at conditions
Blue Ice
Appropriate short-term storage duration
1-2 weeks
Appropriate short-term storage conditions
+4°C
Appropriate long-term storage conditions
-20°C
Aliquoting information
Upon delivery aliquot
Storage information
Avoid freeze / thaw cycle

Supplementary information

This supplementary information is collated from multiple sources and compiled automatically.

NAA38 also referred to as N-alpha-acetyltransferase 38 or NAT10 is a component of the N-alpha-acetyltransferase complex. It plays a role in protein acetylation a significant post-translational modification. NAA38 a relatively small protein with an approximate mass of 14 kDa participates in protein modifications by catalyzing the transfer of an acetyl group to the N-terminal of proteins. This protein finds expression in a variety of tissues especially abundant in the liver and brain suggesting roles in key physiological processes in these regions.
Biological function summary

NAA38 functions within the NatC complex where it catalyzes N-terminal acetylation of a subset of proteins. This modification can regulate protein stability localization and interactions. NAA38 activity influences numerous cellular processes such as cell cycle regulation and apoptosis highlighting its role in maintaining cellular homeostasis. As part of the NatC complex NAA38 works synergistically with other complex components like NAA35 and NAA15 to achieve its biological functions.

Pathways

The acetylation process involving NAA38 integrates into the broader protein modification pathway influencing key cellular mechanisms. It directly interacts through acetylation with proteins in the cell cycle and apoptosis pathways controlling cellular proliferation and programmed cell death. This complex modulation assists in regulating cellular responses to external signals and the protein interacts with pathway components such as Cyclin-Dependent Kinase (CDK) and Bcl-xL playing a regulatory role in these pathways.

NAA38 connections to aberrant N-terminal acetylation have implications for cancer and neurodegenerative diseases. Dysregulation in its activity may contribute to unchecked cellular proliferation leading to oncogenesis where altered protein acetylation states can disrupt cellular control. Additionally its role in the brain links it to neurodegenerative diseases; an imbalance in acetylation affects neuronal viability and synaptic functions. NAA38's interactions with proteins like p53 in cancer and α-synuclein in neurodegeneration highlight its involvement in these pathological conditions.

Product protocols

For this product, it's our understanding that no specific protocols are required. You can visit:

Target data

Auxillary component of the N-terminal acetyltransferase C (NatC) complex which catalyzes acetylation of N-terminal methionine residues (PubMed : 19398576, PubMed : 37891180). N-terminal acetylation protects proteins from ubiquitination and degradation by the N-end rule pathway (PubMed : 37891180).
See full target information NAA38

Publications (1)

Recent publications for all applications. Explore the full list and refine your search

Frontiers in endocrinology 14:1129930 PubMed37065733

2023

Osteocalcin modulates parathyroid cell function in human parathyroid tumors.

Applications

Unspecified application

Species

Unspecified reactive species

Chiara Verdelli,Giulia Stefania Tavanti,Irene Forno,Valentina Vaira,Riccardo Maggiore,Leonardo Vicentini,Paolo Dalino Ciaramella,Francesca Perticone,Giovanni Lombardi,Sabrina Corbetta
View all publications

Product promise

We are committed to supporting your work with high-quality reagents, and we're here for you every step of the way. In the unlikely event that one of our products does not perform as expected, you're protected by our Product Promise.
For full details, please see our Terms & Conditions

Please note: All products are 'FOR RESEARCH USE ONLY. NOT FOR USE IN DIAGNOSTIC OR THERAPEUTIC PROCEDURES'.

For licensing inquiries, please contact partnerships@abcam.com