JavaScript is disabled in your browser. Please enable JavaScript to view this website.
AB181028

Anti-NADK2 antibody [EPR13170]

Be the first to review this product! Submit a review

|

(6 Publications)

Rabbit Recombinant Monoclonal NADK2 antibody. Suitable for IHC-P, WB and reacts with Human samples. Cited in 6 publications.

View Alternative Names

C5orf33, MNADK, NADKD1, NADK2, Mitochondrial NAD kinase

3 Images
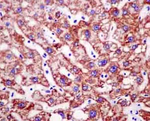
Immunohistochemistry (Formalin/PFA-fixed paraffin-embedded sections) - Anti-NADK2 antibody [EPR13170] (AB181028)
  • IHC-P

Supplier Data

Immunohistochemistry (Formalin/PFA-fixed paraffin-embedded sections) - Anti-NADK2 antibody [EPR13170] (AB181028)

Immunohistochemical analysis of formalin fixed and paraffin embedded Human liver tissue labeling NADK2 with ab181028 at 1/100 dilution and counter stained with hematoxylin.

Perform heat mediated antigen retrieval with citrate buffer pH 6 before commencing with IHC staining protocol.

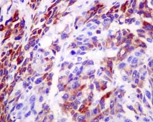
Immunohistochemistry (Formalin/PFA-fixed paraffin-embedded sections) - Anti-NADK2 antibody [EPR13170] (AB181028)
  • IHC-P

Supplier Data

Immunohistochemistry (Formalin/PFA-fixed paraffin-embedded sections) - Anti-NADK2 antibody [EPR13170] (AB181028)

Immunohistochemical analysis of formalin fixed and paraffin embedded Human hepatocellular carcinoma tissue labeling NADK2 with ab181028 at 1/100 dilution and counter stained with hematoxylin.

Perform heat mediated antigen retrieval with citrate buffer pH 6 before commencing with IHC staining protocol.

Western blot - Anti-NADK2 antibody [EPR13170] (AB181028)
  • WB

Supplier Data

Western blot - Anti-NADK2 antibody [EPR13170] (AB181028)

All lanes:

Western blot - Anti-NADK2 antibody [EPR13170] (ab181028) at 1/1000 dilution

Lane 1:

Human fetal liver lysate at 20 µg

Lane 2:

Human fetal brain lysate at 20 µg

Lane 3:

HepG2 lysate at 20 µg

Lane 4:

Hela lysate at 20 µg

Secondary

All lanes:

Goat Anti-Rabbit IgG HRP at 1/500 dilution

Predicted band size: 49 kDa

true

  • Carrier free

    Anti-NADK2 antibody [EPR13170] - BSA and Azide free

Key facts

Host species

Rabbit

Clonality

Monoclonal

Clone number

EPR13170

Isotype

IgG

Carrier free

No

Reacts with

Human

Applications

WB, IHC-P

applications

Immunogen

The exact immunogen used to generate this antibody is proprietary information.

Reactivity data

{ "title": "Reactivity Data", "filters": { "stats": ["", "Species", "Dilution Info", "Notes"], "tabs": { "all-applications": {"fullname" : "All Applications", "shortname": "All Applications"}, "IHCP" : {"fullname" : "Immunohistochemistry (Formalin/PFA-fixed paraffin-embedded sections)", "shortname":"IHC-P"}, "WB" : {"fullname" : "Western blot", "shortname":"WB"} }, "product-promise": { "all": "all", "testedAndGuaranteed": "tested", "guaranteed": "expected", "predicted": "predicted", "notRecommended": "not-recommended" } }, "values": { "Human": { "IHCP-species-checked": "testedAndGuaranteed", "IHCP-species-dilution-info": "1/50 - 1/100", "IHCP-species-notes": "<p></p>", "WB-species-checked": "testedAndGuaranteed", "WB-species-dilution-info": "1/1000 - 1/2000", "WB-species-notes": "<p></p>" }, "Mouse": { "IHCP-species-checked": "predicted", "IHCP-species-dilution-info": "", "IHCP-species-notes": "", "WB-species-checked": "predicted", "WB-species-dilution-info": "", "WB-species-notes": "" }, "Rat": { "IHCP-species-checked": "predicted", "IHCP-species-dilution-info": "", "IHCP-species-notes": "", "WB-species-checked": "predicted", "WB-species-dilution-info": "", "WB-species-notes": "" } } }

Product details

Patented technology
Our RabMAb® technology is a patented hybridoma-based technology for making rabbit monoclonal antibodies. For details on our patents, please refer to RabMAb® patents.

What are the advantages of a recombinant monoclonal antibody?
This product is a recombinant monoclonal antibody, which offers several advantages including:

  • - High batch-to-batch consistency and reproducibility
  • - Improved sensitivity and specificity
  • - Long-term security of supply
  • - Animal-free batch production

For more information, read more on recombinant antibodies.

Properties and storage information

Form
Liquid
Purification technique
Affinity purification Protein A
Storage buffer
Preservative: 0.01% Sodium azide Constituents: PBS, 40% Glycerol (glycerin, glycerine), 0.05% BSA
Shipped at conditions
Blue Ice
Appropriate short-term storage duration
1-2 weeks
Appropriate short-term storage conditions
+4°C
Appropriate long-term storage conditions
-20°C
Aliquoting information
Upon delivery aliquot
Storage information
Avoid freeze / thaw cycle

Supplementary information

This supplementary information is collated from multiple sources and compiled automatically.

NADK2 also known as NAD kinase 2 is an enzyme that specifically phosphorylates nicotinamide adenine dinucleotide (NAD) to produce NADP using ATP as a phosphate donor. It has a molecular weight of approximately 32 kDa. Expression of NADK2 occurs in the mitochondria of various tissues including liver and muscle highlighting its importance in cellular metabolism where high-energy demand persists.
Biological function summary

The enzyme plays an important role in the production of NADP which is important for anabolic reactions and redox balance. It is not part of a larger protein complex but operates independently to maintain cellular NADP levels. NADK2 supports processes like fatty acid synthesis and oxidative stress response highlighting its diverse biological roles beyond energy metabolism.

Pathways

NADK2 significantly contributes to the oxidative phosphorylation and the pentose phosphate pathway. The enzyme acts alongside other proteins like glucose-6-phosphate dehydrogenase which also operates in NADP production and redox reactions. Together they form an integral part of pathways that are fundamental for cellular growth and repair by providing reducing power in the form of NADPH.

NADK2 exhibits connections to metabolic disorders such as non-alcoholic fatty liver disease. The enzyme's dysfunction can impair mitochondrial function contributing to the etiology of the disease. Additionally altered NADK2 activity relates to congenital diseases involving metabolic deficiencies where it exhibits interactions with mitochondrial proteins like ATP synthase impacting energy production and metabolic flexibility.

Product protocols

For this product, it's our understanding that no specific protocols are required. You can visit:

Target data

Mitochondrial NAD(+) kinase that phosphorylates NAD(+) to yield NADP(+). Can use both ATP or inorganic polyphosphate as the phosphoryl donor. Also has weak NADH kinase activity in vitro; however NADH kinase activity is much weaker than the NAD(+) kinase activity and may not be relevant in vivo.
See full target information NADK2

Publications (6)

Recent publications for all applications. Explore the full list and refine your search

Cell death & disease 15:714 PubMed39353892

2024

MAT2B regulates the protein level of MAT2A to preserve RNA N6-methyladenosine.

Applications

Unspecified application

Species

Unspecified reactive species

Xinyi Wan,Weiwu Zeng,Haonan Fan,Chenliang Wang,Shixun Han,Zhongxing Sun,Mei Tang,Juejia Shao,Yu Liu,Yuan Fang,Junqi Jia,Yin Tang,Yanjun Zhang,Bin Zhao,Dong Fang

Redox biology 76:103289 PubMed39167913

2024

Transcriptional Isoforms of NAD kinase regulate oxidative stress resistance and melanoma metastasis.

Applications

Unspecified application

Species

Unspecified reactive species

Graciela Cascio,Kelsey N Aguirre,Kellsey P Church,Riley O Hughes,Leona A Nease,Ines Delclaux,Hannah J Davis,Elena Piskounova

Molecular cell 82:3299-3311.e8 PubMed35868311

2022

Crystal structure of human NADK2 reveals a dimeric organization and active site occlusion by lysine acetylation.

Applications

Unspecified application

Species

Unspecified reactive species

Charline Mary,Mona Hoseini Soflaee,Rushendhiran Kesavan,Muriel Gelin,Harrison Brown,G Zacharias,Thomas P Mathews,Andrew Lemoff,Corinne Lionne,Gilles Labesse,Gerta Hoxhaj

Autophagy 19:632-643 PubMed35786294

2022

Autophagy loss impedes cancer-associated fibroblast activation via downregulating proline biosynthesis.

Applications

Unspecified application

Species

Unspecified reactive species

Jingru Bai,Tong Liu,Bo Tu,Meng Yuan,Zhaoqi Shu,Minghe Fan,Sihan Huo,Yuyao Guo,Lina Wang,Hua Wang,Ying Zhao

Nature metabolism 3:571-585 PubMed33833463

2021

Mitochondrial NADP is essential for proline biosynthesis during cell growth.

Applications

Unspecified application

Species

Unspecified reactive species

Diem H Tran,Rushendhiran Kesavan,Halie Rion,Mona Hoseini Soflaee,Ashley Solmonson,Divya Bezwada,Hieu S Vu,Feng Cai,John A Phillips,Ralph J DeBerardinis,Gerta Hoxhaj

Scientific reports 7:4108 PubMed28642487

2017

Hypoxia is a Key Driver of Alternative Splicing in Human Breast Cancer Cells.

Applications

Unspecified application

Species

Unspecified reactive species

Jian Han,Jia Li,Jolene Caifeng Ho,Grace Sushin Chia,Hiroyuki Kato,Sudhakar Jha,Henry Yang,Lorenz Poellinger,Kian Leong Lee
View all publications

Product promise

We are committed to supporting your work with high-quality reagents, and we're here for you every step of the way. In the unlikely event that one of our products does not perform as expected, you're protected by our Product Promise.
For full details, please see our Terms & Conditions

Please note: All products are 'FOR RESEARCH USE ONLY. NOT FOR USE IN DIAGNOSTIC OR THERAPEUTIC PROCEDURES'.

For licensing inquiries, please contact partnerships@abcam.com