JavaScript is disabled in your browser. Please enable JavaScript to view this website.
AB319056

Anti-NADPH oxidase 4 antibody [EPR28818-92] - BSA and Azide free

Be the first to review this product! Submit a review

|

(0 Publication)

Rabbit Recombinant Monoclonal antibody. Carrier free. Suitable for IHC-P, mIHC and reacts with Transfected cell line - Mouse, Mouse, Rat samples.
11 Images
Immunohistochemistry (Formalin/PFA-fixed paraffin-embedded sections) - Anti-NADPH oxidase 4 antibody [EPR28818-92] - BSA and Azide free (AB319056)
  • IHC-P

Supplier Data

Immunohistochemistry (Formalin/PFA-fixed paraffin-embedded sections) - Anti-NADPH oxidase 4 antibody [EPR28818-92] - BSA and Azide free (AB319056)

This data was developed using ab319055, the same antibody clone in a different buffer formulation.

Immunohistochemical analysis of paraffin-embedded (A) HEK-293T (human embryonic kidney epithelial cell) transfected with a mouse NOX4 expression vector containing a his tag. (B) HEK-293T transfected with a mouse NOX1 expression vector containing a his tag. (C) HEK-293T transfected with a mouse NOX2 expression vector containing a his tag. (D) HEK-293T transfected with a mouse NOX3 expression vector containing a his tag. (E) HEK-293T cells transfected with empty vector containing a myc-His-tag. tissue labeling NADPH oxidase 4 with ab319055 at 1/2000 (0.258 ug/ml) dilution, followed by a ready to use LeicaDS9800 (Bond™ Polymer Refine Detection).

Positive staining on (A) HEK-293T transfected with a mouse NOX4 expression vector containing a his tag, no staining on (B) HEK-293T transfected with a mouse NOX1 expression vector containing a his tag, (C) HEK-293T transfected with a mouse NOX2 expression vector containing a his tag, (D) HEK-293T transfected with a mouse NOX3 expression vector containing a his tag and (E) HEK-293T cells transfected with empty vector containing a myc-His-tag.
The section was incubated with ab319055 for 30 mins at room temperature.
The immunostaining was performed on a Leica Biosystems BOND® RX instrument

Counterstained with Hematoxylin.

Secondary antibody only control : Secondary antibody is a ready to use LeicaDS9800 (Bond™ Polymer Refine Detection).

Heat mediated antigen retrieval was performed with Tris-EDTA buffer (pH 9.0, Epitope Retrieval Solution2) for 20 mins

Immunohistochemistry (Formalin/PFA-fixed paraffin-embedded sections) - Anti-NADPH oxidase 4 antibody [EPR28818-92] - BSA and Azide free (AB319056)
  • IHC-P

Supplier Data

Immunohistochemistry (Formalin/PFA-fixed paraffin-embedded sections) - Anti-NADPH oxidase 4 antibody [EPR28818-92] - BSA and Azide free (AB319056)

This data was developed using ab319055, the same antibody clone in a different buffer formulation.

Immunohistochemical analysis of paraffin-embedded Rat liver tissue labeling NADPH oxidase 4 with ab319055 at 1/500 (1.032 ug/ml) dilution, followed by a ready to use LeicaDS9800 (Bond™ Polymer Refine Detection).

Negative control : No staining on rat liver.
The section was incubated with ab319055 for 30 mins at room temperature.
The immunostaining was performed on a Leica Biosystems BOND® RX instrument
Incubate slides with 3% Hydrogen Peroxide for 10 mins at room temperature after secondary antibody incubation to reduce the background.

Counterstained with Hematoxylin.

Secondary antibody only control : Secondary antibody is a ready to use LeicaDS9800 (Bond™ Polymer Refine Detection).

Heat mediated antigen retrieval was performed with Tris-EDTA buffer (pH 9.0, Epitope Retrieval Solution2) for 20 mins

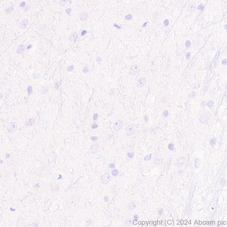
Immunohistochemistry (Formalin/PFA-fixed paraffin-embedded sections) - Anti-NADPH oxidase 4 antibody [EPR28818-92] - BSA and Azide free (AB319056)
  • IHC-P

Supplier Data

Immunohistochemistry (Formalin/PFA-fixed paraffin-embedded sections) - Anti-NADPH oxidase 4 antibody [EPR28818-92] - BSA and Azide free (AB319056)

This data was developed using ab319055, the same antibody clone in a different buffer formulation.

Immunohistochemical analysis of paraffin-embedded Mouse cerebrum tissue labeling NADPH oxidase 4 with ab319055 at 1/500 (1.032 ug/ml) dilution, followed by a ready to use LeicaDS9800 (Bond™ Polymer Refine Detection).

Negative control : No staining on mouse cerebrum.
The section was incubated with ab319055 for 30 mins at room temperature.
The immunostaining was performed on a Leica Biosystems BOND® RX instrument
Incubate slides with 3% Hydrogen Peroxide for 10 mins at room temperature after secondary antibody incubation to reduce the background.

Counterstained with Hematoxylin.

Secondary antibody only control : Secondary antibody is a ready to use LeicaDS9800 (Bond™ Polymer Refine Detection).

Heat mediated antigen retrieval was performed with Tris-EDTA buffer (pH 9.0, Epitope Retrieval Solution2) for 20 mins

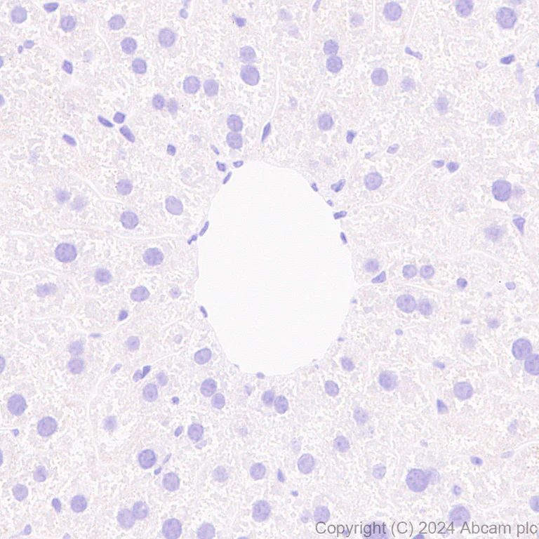
Immunohistochemistry (Formalin/PFA-fixed paraffin-embedded sections) - Anti-NADPH oxidase 4 antibody [EPR28818-92] - BSA and Azide free (AB319056)
  • IHC-P

Supplier Data

Immunohistochemistry (Formalin/PFA-fixed paraffin-embedded sections) - Anti-NADPH oxidase 4 antibody [EPR28818-92] - BSA and Azide free (AB319056)

This data was developed using ab319055, the same antibody clone in a different buffer formulation.

Immunohistochemical analysis of paraffin-embedded Mouse liver tissue labeling NADPH oxidase 4 with ab319055 at 1/500 (1.032 ug/ml) dilution, followed by a ready to use LeicaDS9800 (Bond™ Polymer Refine Detection).

Negative control : No staining on mouse liver.
The section was incubated with ab319055 for 30 mins at room temperature.
The immunostaining was performed on a Leica Biosystems BOND® RX instrument
Incubate slides with 3% Hydrogen Peroxide for 10 mins at room temperature after secondary antibody incubation to reduce the background.

Counterstained with Hematoxylin.

Secondary antibody only control : Secondary antibody is a ready to use LeicaDS9800 (Bond™ Polymer Refine Detection).

Heat mediated antigen retrieval was performed with Tris-EDTA buffer (pH 9.0, Epitope Retrieval Solution2) for 20 mins

Immunohistochemistry (Formalin/PFA-fixed paraffin-embedded sections) - Anti-NADPH oxidase 4 antibody [EPR28818-92] - BSA and Azide free (AB319056)
  • IHC-P

Supplier Data

Immunohistochemistry (Formalin/PFA-fixed paraffin-embedded sections) - Anti-NADPH oxidase 4 antibody [EPR28818-92] - BSA and Azide free (AB319056)

This data was developed using ab319055, the same antibody clone in a different buffer formulation.

Immunohistochemical analysis of paraffin-embedded Rat cerebrum tissue labeling NADPH oxidase 4 with ab319055 at 1/500 (1.032 ug/ml) dilution, followed by a ready to use LeicaDS9800 (Bond™ Polymer Refine Detection).

Negative control : No staining on rat cerebrum.
The section was incubated with ab319055 for 30 mins at room temperature.
The immunostaining was performed on a Leica Biosystems BOND® RX instrument
Incubate slides with 3% Hydrogen Peroxide for 10 mins at room temperature after secondary antibody incubation to reduce the background.

Counterstained with Hematoxylin.

Secondary antibody only control : Secondary antibody is a ready to use LeicaDS9800 (Bond™ Polymer Refine Detection).

Heat mediated antigen retrieval was performed with Tris-EDTA buffer (pH 9.0, Epitope Retrieval Solution2) for 20 mins

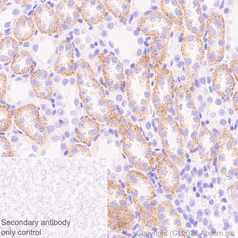
Immunohistochemistry (Formalin/PFA-fixed paraffin-embedded sections) - Anti-NADPH oxidase 4 antibody [EPR28818-92] - BSA and Azide free (AB319056)
  • IHC-P

Supplier Data

Immunohistochemistry (Formalin/PFA-fixed paraffin-embedded sections) - Anti-NADPH oxidase 4 antibody [EPR28818-92] - BSA and Azide free (AB319056)

This data was developed using ab319055, the same antibody clone in a different buffer formulation.

Immunohistochemical analysis of paraffin-embedded Rat kidney tissue labeling NADPH oxidase 4 with ab319055 at 1/500 (1.032 ug/ml) dilution, followed by a ready to use LeicaDS9800 (Bond™ Polymer Refine Detection).

Positive staining on rat kidney.
The section was incubated with ab319055 for 30 mins at room temperature.
The immunostaining was performed on a Leica Biosystems BOND® RX instrument
Incubate slides with 3% Hydrogen Peroxide for 10 mins at room temperature after secondary antibody incubation to reduce the background.

Counterstained with Hematoxylin.

Secondary antibody only control : Secondary antibody is a ready to use LeicaDS9800 (Bond™ Polymer Refine Detection).

Heat mediated antigen retrieval was performed with Tris-EDTA buffer (pH 9.0, Epitope Retrieval Solution2) for 20 mins

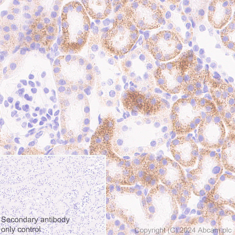
Immunohistochemistry (Formalin/PFA-fixed paraffin-embedded sections) - Anti-NADPH oxidase 4 antibody [EPR28818-92] - BSA and Azide free (AB319056)
  • IHC-P

Supplier Data

Immunohistochemistry (Formalin/PFA-fixed paraffin-embedded sections) - Anti-NADPH oxidase 4 antibody [EPR28818-92] - BSA and Azide free (AB319056)

This data was developed using ab319055, the same antibody clone in a different buffer formulation.

Immunohistochemical analysis of paraffin-embedded Mouse kidney tissue labeling NADPH oxidase 4 with ab319055 at 1/500 (1.032 ug/ml) dilution, followed by a ready to use LeicaDS9800 (Bond™ Polymer Refine Detection).

Positive staining on mouse kidney (PMID : 32236843).
The section was incubated with ab319055 for 30 mins at room temperature.
The immunostaining was performed on a Leica Biosystems BOND® RX instrument
Incubate slides with 3% Hydrogen Peroxide for 10 mins at room temperature after secondary antibody incubation to reduce the background.

Counterstained with Hematoxylin.

Secondary antibody only control : Secondary antibody is a ready to use LeicaDS9800 (Bond™ Polymer Refine Detection).

Heat mediated antigen retrieval was performed with Tris-EDTA buffer (pH 9.0, Epitope Retrieval Solution2) for 20 mins

Multiplex immunohistochemistry - Anti-NADPH oxidase 4 antibody [EPR28818-92] - BSA and Azide free (AB319056)
  • mIHC

Supplier Data

Multiplex immunohistochemistry - Anti-NADPH oxidase 4 antibody [EPR28818-92] - BSA and Azide free (AB319056)

This data was developed using ab319055, the same antibody clone in a different buffer formulation.

Multiplex immunohistochemistry analysis of formalin/PFA-fixed paraffin-embedded rat kidney tissue staining NADPH oxidase 4 with ab319055 at a 1 : 500 (1.032 ug/ml) dilution, ab233837 anti-Hexokinase 1 used at 1 : 250 (4.36 ug/ml) dilution and ab254222 anti-Angiotensin Converting Enzyme 1 used at a 1 : 4000 (0.132 ug/ml) dilution.

Panel A : merged staining of anti-NADPH oxidase 4 (green; Opal™520), anti-Hexokinase 1 (magenta; Opal™690) and anti-Angiotensin Converting Enzyme 1 (yellow; Opal™570) on rat kidney.
Panel B : anti-NADPH oxidase 4 staining distal tubules in rat kidney.
Panel C : anti-Hexokinase 1 staining distal tubules in rat kidney.
Panel D : anti-Angiotensin Converting Enzyme 1 staining proximal tubules in rat kidney.
Nuclear DNA was labeled with DAPI (shown in blue).

The section was incubated in three rounds of staining : in the order of ab319055, ab233837 and ab254222 for 30 mins at room temperature. Each round was followed by a separate fluorescent tyramide signal amplification system.

The immunostaining was performed on a Leica Biosystems BOND® RX instrument with an Opal™ 4-color kit. Image acquisition was performed with Leica SP8 confocal microscope.

Nuclear counter stain with DAPI.

Heat mediated antigen retrieval with Tris-EDTA buffer (pH 9.0, epitope retrieval solution2) for 20 mins.

Multiplex immunohistochemistry - Anti-NADPH oxidase 4 antibody [EPR28818-92] - BSA and Azide free (AB319056)
  • mIHC

Supplier Data

Multiplex immunohistochemistry - Anti-NADPH oxidase 4 antibody [EPR28818-92] - BSA and Azide free (AB319056)

This data was developed using ab319055, the same antibody clone in a different buffer formulation.

Multiplex immunohistochemistry analysis of formalin/PFA-fixed paraffin-embedded mouse kidney tissue staining NADPH oxidase 4 with ab319055 at a 1 : 500 (1.032 ug/ml) dilution, ab199975 anti-Aquaporin 2 used at 1 : 4000 (0.143 ug/ml) dilution and ab254222 anti-Angiotensin Converting Enzyme 1 used at a 1 : 4000 (0.132 ug/ml) dilution.

Panel A : merged staining of anti-NADPH oxidase 4 (green; Opal™520), anti-Aquaporin 2 (magenta; Opal™690) and anti-Angiotensin Converting Enzyme 1 (yellow; Opal™570) on mouse kidney.
Panel B : anti-NADPH oxidase 4 staining distal tubules in mouse kidney.
Panel C : anti-Aquaporin 2 staining collecting tubules in mouse kidney.
Panel D : anti-Angiotensin Converting Enzyme 1 staining proximal tubules in mouse kidney.
Nuclear DNA was labeled with DAPI (shown in blue).

The section was incubated in three rounds of staining : in the order of ab319055, ab199975 and ab254222 for 30 mins at room temperature. Each round was followed by a separate fluorescent tyramide signal amplification system.

The immunostaining was performed on a Leica Biosystems BOND® RX instrument with an Opal™ 4-color kit. Image acquisition was performed with Leica SP8 confocal microscope.

Nuclear counter stain with DAPI.

Heat mediated antigen retrieval with Tris-EDTA buffer (pH 9.0, epitope retrieval solution2) for 20 mins.

Multiplex immunohistochemistry - Anti-NADPH oxidase 4 antibody [EPR28818-92] - BSA and Azide free (AB319056)
  • mIHC

Supplier Data

Multiplex immunohistochemistry - Anti-NADPH oxidase 4 antibody [EPR28818-92] - BSA and Azide free (AB319056)

This data was developed using ab319055, the same antibody clone in a different buffer formulation.

Multiplex immunohistochemistry analysis of formalin/PFA-fixed paraffin-embedded rat kidney tissue staining NADPH oxidase 4 with ab319055 at a 1 : 500 (1.032 ug/ml) dilution, ab199975 anti-Aquaporin 2 used at 1 : 4000 (0.143 ug/ml) dilution and ab254222 anti-Angiotensin Converting Enzyme 1 used at a 1 : 4000 (0.132 ug/ml) dilution.

Panel A : merged staining of anti-NADPH oxidase 4 (green; Opal™520), anti-Aquaporin 2 (magenta; Opal™690) and anti-Angiotensin Converting Enzyme 1 (yellow; Opal™570) on rat kidney.
Panel B : anti-NADPH oxidase 4 staining distal tubules in rat kidney.
Panel C : anti-Aquaporin 2 staining collecting tubules in rat kidney.
Panel D : anti-Angiotensin Converting Enzyme 1 staining proximal tubules in rat kidney.
Nuclear DNA was labeled with DAPI (shown in blue).

The section was incubated in three rounds of staining : in the order of ab319055, ab199975 and ab254222 for 30 mins at room temperature. Each round was followed by a separate fluorescent tyramide signal amplification system.

The immunostaining was performed on a Leica Biosystems BOND® RX instrument with an Opal™ 4-color kit. Image acquisition was performed with Leica SP8 confocal microscope.

Nuclear counter stain with DAPI.

Heat mediated antigen retrieval with Tris-EDTA buffer (pH 9.0, epitope retrieval solution2) for 20 mins.

Multiplex immunohistochemistry - Anti-NADPH oxidase 4 antibody [EPR28818-92] - BSA and Azide free (AB319056)
  • mIHC

Supplier Data

Multiplex immunohistochemistry - Anti-NADPH oxidase 4 antibody [EPR28818-92] - BSA and Azide free (AB319056)

This data was developed using ab319055, the same antibody clone in a different buffer formulation.

Multiplex immunohistochemistry analysis of formalin/PFA-fixed paraffin-embedded mouse kidney tissue staining NADPH oxidase 4 with ab319055 at a 1 : 500 (1.032 ug/ml) dilution, ab233837 anti-Hexokinase 1 used at 1 : 250 (4.36 ug/ml) dilution and ab254222 anti-Angiotensin Converting Enzyme 1 used at a 1 : 4000 (0.132 ug/ml) dilution.

Panel A : merged staining of anti-NADPH oxidase 4 (green; Opal™520), anti-Hexokinase 1 (magenta; Opal™690) and anti-Angiotensin Converting Enzyme 1 (yellow; Opal™570) on mouse kidney.
Panel B : anti-NADPH oxidase 4 staining distal tubules in mouse kidney.
Panel C : anti-Hexokinase 1 staining distal tubules in mouse kidney.
Panel D : anti-Angiotensin Converting Enzyme 1 staining proximal tubules in mouse kidney.
Nuclear DNA was labeled with DAPI (shown in blue).

The section was incubated in three rounds of staining : in the order of ab319055, ab233837 and ab254222 for 30 mins at room temperature. Each round was followed by a separate fluorescent tyramide signal amplification system.

The immunostaining was performed on a Leica Biosystems BOND® RX instrument with an Opal™ 4-color kit. Image acquisition was performed with Leica SP8 confocal microscope.

Nuclear counter stain with DAPI.

Heat mediated antigen retrieval with Tris-EDTA buffer (pH 9.0, epitope retrieval solution2) for 20 mins.

Key facts

Host species

Rabbit

Clonality

Monoclonal

Clone number

EPR28818-92

Isotype

IgG

Carrier free

Yes

Reacts with

Mouse, Rat

Applications

IHC-P, mIHC

applications

Immunogen

The exact immunogen used to generate this antibody is proprietary information.

Reactivity data

{ "title": "Reactivity Data", "filters": { "stats": ["", "Species", "Dilution Info", "Notes"], "tabs": { "all-applications": {"fullname" : "All Applications", "shortname": "All Applications"}, "IHCP" : {"fullname" : "Immunohistochemistry (Formalin/PFA-fixed paraffin-embedded sections)", "shortname":"IHC-P"}, "mIHC" : {"fullname" : "Multiplex immunohistochemistry", "shortname":"mIHC"}, "WB" : {"fullname" : "Western blot", "shortname":"WB"}, "IP" : {"fullname" : "Immunoprecipitation", "shortname":"IP"} }, "product-promise": { "all": "all", "testedAndGuaranteed": "tested", "guaranteed": "expected", "predicted": "predicted", "notRecommended": "not-recommended" } }, "values": { "Human": { "IHCP-species-checked": "notRecommended", "IHCP-species-dilution-info": "", "IHCP-species-notes": "<p></p>", "mIHC-species-checked": "notRecommended", "mIHC-species-dilution-info": "", "mIHC-species-notes": "", "WB-species-checked": "notRecommended", "WB-species-dilution-info": "", "WB-species-notes": "<p></p>", "IP-species-checked": "notRecommended", "IP-species-dilution-info": "", "IP-species-notes": "" }, "Mouse": { "IHCP-species-checked": "testedAndGuaranteed", "IHCP-species-dilution-info": "", "IHCP-species-notes": "<p></p> Perform heat-mediated antigen retrieval with Tris/EDTA buffer pH 9.0 before commencing with IHC staining protocol.", "mIHC-species-checked": "testedAndGuaranteed", "mIHC-species-dilution-info": "", "mIHC-species-notes": "<p></p> Perform heat-mediated antigen retrieval with Tris/EDTA buffer pH 9.0 before commencing with IHC staining protocol.", "WB-species-checked": "notRecommended", "WB-species-dilution-info": "", "WB-species-notes": "<p></p>", "IP-species-checked": "notRecommended", "IP-species-dilution-info": "", "IP-species-notes": "<p></p>" }, "Rat": { "IHCP-species-checked": "testedAndGuaranteed", "IHCP-species-dilution-info": "", "IHCP-species-notes": "<p></p> Perform heat-mediated antigen retrieval with Tris/EDTA buffer pH 9.0 before commencing with IHC staining protocol.", "mIHC-species-checked": "testedAndGuaranteed", "mIHC-species-dilution-info": "", "mIHC-species-notes": "<p></p> Perform heat-mediated antigen retrieval with Tris/EDTA buffer pH 9.0 before commencing with IHC staining protocol.", "WB-species-checked": "notRecommended", "WB-species-dilution-info": "", "WB-species-notes": "<p></p>", "IP-species-checked": "notRecommended", "IP-species-dilution-info": "", "IP-species-notes": "<p></p>" }, "Transfected cell line - Mouse": { "IHCP-species-checked": "testedAndGuaranteed", "IHCP-species-dilution-info": "", "IHCP-species-notes": "<p></p> Perform heat-mediated antigen retrieval with Tris/EDTA buffer pH 9.0 before commencing with IHC staining protocol.", "mIHC-species-checked": "notRecommended", "mIHC-species-dilution-info": "", "mIHC-species-notes": "", "WB-species-checked": "notRecommended", "WB-species-dilution-info": "", "WB-species-notes": "", "IP-species-checked": "notRecommended", "IP-species-dilution-info": "", "IP-species-notes": "" } } }

Product details

ab319056 is the carrier-free version of ab319055.

Patented technology
Our RabMAb® technology is a patented hybridoma-based technology for making rabbit monoclonal antibodies. For details on our patents, please refer to RabMAb® patents.

What are the advantages of a recombinant monoclonal antibody?
This product is a recombinant monoclonal antibody, which offers several advantages including:

  • - High batch-to-batch consistency and reproducibility
  • - Improved sensitivity and specificity
  • - Long-term security of supply
  • - Animal-free batch production

For more information, read more on recombinant antibodies.

Conjugation ready
Our carrier-free antibodies are typically supplied in a PBS-only formulation, purified and free of BSA, sodium azide and glycerol. This conjugation-ready format is designed for use with fluorochromes, metal isotopes, oligonucleotides, and enzymes, which makes them ideal for antibody labelling, functional and cell-based assays, flow-based assays (e.g. mass cytometry) and Multiplex Imaging applications.

Use our conjugation kits for antibody conjugates that are ready-to-use in as little as 20 minutes with 1 minute hands-on-time and 100% antibody recovery: available for fluorescent dyes, HRP, biotin and gold.

Compatibility
This product is compatible with the Maxpar® Antibody Labeling Kit from Fluidigm, without the need for antibody preparation. Maxpar® is a trademark of Fluidigm Canada Inc.

Properties and storage information

Form
Liquid
Purification technique
Affinity purification Protein A
Storage buffer
pH: 7.2 - 7.4 Constituents: PBS
Shipped at conditions
Blue Ice
Appropriate short-term storage conditions
+4°C
Appropriate long-term storage conditions
+4°C

Product protocols

For this product, it's our understanding that no specific protocols are required. You can visit:

Target data

NADPH oxidase that catalyzes predominantly the reduction of oxygen to H2O2 (By similarity). Can also catalyze to a smaller extent, the reduction of oxygen to superoxide (PubMed:10869423, PubMed:11098048, PubMed:15638999). May function as an oxygen sensor regulating the KCNK3/TASK-1 potassium channel and HIF1A activity (By similarity). May regulate insulin signaling cascade (By similarity). May play a role in apoptosis, bone resorption and lipolysaccharide-mediated activation of NFKB (By similarity). May produce superoxide in the nucleus and play a role in regulating gene expression upon cell stimulation (By similarity).

Product promise

We are committed to supporting your work with high-quality reagents, and we're here for you every step of the way. In the unlikely event that one of our products does not perform as expected, you're protected by our Product Promise.
For full details, please see our Terms & Conditions

Please note: All products are 'FOR RESEARCH USE ONLY. NOT FOR USE IN DIAGNOSTIC OR THERAPEUTIC PROCEDURES'.

For licensing inquiries, please contact partnerships@abcam.com