JavaScript is disabled in your browser. Please enable JavaScript to view this website.
AB171942

Anti-NADSYN1 antibody [EPR10611]

Be the first to review this product! Submit a review

|

(6 Publications)

Rabbit Recombinant Monoclonal NADSYN1 antibody. Suitable for IHC-P, WB, ICC/IF, Flow Cyt (Intra) and reacts with Human samples. Cited in 6 publications.

View Alternative Names

Glutamine-dependent NAD(+) synthetase, NAD(+) synthase [glutamine-hydrolyzing], NAD(+) synthetase, NADSYN1

5 Images
Immunohistochemistry (Formalin/PFA-fixed paraffin-embedded sections) - Anti-NADSYN1 antibody [EPR10611] (AB171942)
  • IHC-P

Supplier Data

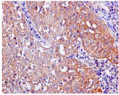
Immunohistochemistry (Formalin/PFA-fixed paraffin-embedded sections) - Anti-NADSYN1 antibody [EPR10611] (AB171942)

Immunohistochemical analysis of paraffin-embedded Human cervical carcinoma tissue labeling NADSYN1 with ab171942 at 1/50 dilution.

Perform heat mediated antigen retrieval with citrate buffer pH 6 before commencing with IHC staining protocol.

Immunohistochemistry (Formalin/PFA-fixed paraffin-embedded sections) - Anti-NADSYN1 antibody [EPR10611] (AB171942)
  • IHC-P

Supplier Data

Immunohistochemistry (Formalin/PFA-fixed paraffin-embedded sections) - Anti-NADSYN1 antibody [EPR10611] (AB171942)

Immunohistochemical analysis of paraffin-embedded Human testis tissue labeling NADSYN1 with ab171942 at 1/50 dilution.

Perform heat mediated antigen retrieval with citrate buffer pH 6 before commencing with IHC staining protocol.

Immunocytochemistry/ Immunofluorescence - Anti-NADSYN1 antibody [EPR10611] (AB171942)
  • ICC/IF

Supplier Data

Immunocytochemistry/ Immunofluorescence - Anti-NADSYN1 antibody [EPR10611] (AB171942)

Immunofluorescent analysis of HeLa cells labeling NADSYN1 with ab171942 at 1/50 dilution.

Flow Cytometry (Intracellular) - Anti-NADSYN1 antibody [EPR10611] (AB171942)
  • Flow Cyt (Intra)

Supplier Data

Flow Cytometry (Intracellular) - Anti-NADSYN1 antibody [EPR10611] (AB171942)

Intracellular flow cytometric analysis ofpermeabilized HeLa cells labeling NADSYN1 with ab171942at 1/100 dilution (red)ocompared with a Rabbit IgG (negative) (green).

Western blot - Anti-NADSYN1 antibody [EPR10611] (AB171942)
  • WB

Supplier Data

Western blot - Anti-NADSYN1 antibody [EPR10611] (AB171942)

All lanes:

Western blot - Anti-NADSYN1 antibody [EPR10611] (ab171942) at 1/1000 dilution

Lane 1:

HeLa cell lysate at 10 µg

Lane 2:

293T cell lysate at 10 µg

Predicted band size: 79 kDa

false

  • Carrier free

    Anti-NADSYN1 antibody [EPR10611] - BSA and Azide free

Key facts

Host species

Rabbit

Clonality

Monoclonal

Clone number

EPR10611

Isotype

IgG

Carrier free

No

Reacts with

Human

Applications

IHC-P, WB, Flow Cyt (Intra), ICC/IF

applications

Immunogen

The exact immunogen used to generate this antibody is proprietary information.

Reactivity data

{ "title": "Reactivity Data", "filters": { "stats": ["", "Species", "Dilution Info", "Notes"], "tabs": { "all-applications": {"fullname" : "All Applications", "shortname": "All Applications"}, "IHCP" : {"fullname" : "Immunohistochemistry (Formalin/PFA-fixed paraffin-embedded sections)", "shortname":"IHC-P"}, "IP" : {"fullname" : "Immunoprecipitation", "shortname":"IP"}, "WB" : {"fullname" : "Western blot", "shortname":"WB"}, "ICCIF" : {"fullname" : "Immunocytochemistry/ Immunofluorescence", "shortname":"ICC/IF"}, "FlowCytIntra" : {"fullname" : "Flow Cytometry (Intracellular)", "shortname":"Flow Cyt (Intra)"} }, "product-promise": { "all": "all", "testedAndGuaranteed": "tested", "guaranteed": "expected", "predicted": "predicted", "notRecommended": "not-recommended" } }, "values": { "Human": { "IHCP-species-checked": "testedAndGuaranteed", "IHCP-species-dilution-info": "1/50 - 1/100", "IHCP-species-notes": "<p></p>", "IP-species-checked": "notRecommended", "IP-species-dilution-info": "", "IP-species-notes": "<p></p>", "WB-species-checked": "testedAndGuaranteed", "WB-species-dilution-info": "1/1000 - 1/5000", "WB-species-notes": "<p></p>", "ICCIF-species-checked": "testedAndGuaranteed", "ICCIF-species-dilution-info": "1/50 - 1/100", "ICCIF-species-notes": "<p></p>", "FlowCytIntra-species-checked": "testedAndGuaranteed", "FlowCytIntra-species-dilution-info": "1/100 - 1/500", "FlowCytIntra-species-notes": "<p><a href='/en-us/products/primary-antibodies/rabbit-igg-monoclonal-epr25a-isotype-control-ab172730'>ab172730</a> - Rabbit monoclonal IgG, is suitable for use as an isotype control with this antibody.</p>" }, "Mouse": { "IHCP-species-checked": "notRecommended", "IHCP-species-dilution-info": "1/50 - 1/100", "IHCP-species-notes": "<p></p>", "IP-species-checked": "notRecommended", "IP-species-dilution-info": "", "IP-species-notes": "<p></p>", "WB-species-checked": "notRecommended", "WB-species-dilution-info": "1/1000 - 1/5000", "WB-species-notes": "<p></p>", "ICCIF-species-checked": "notRecommended", "ICCIF-species-dilution-info": "1/50 - 1/100", "ICCIF-species-notes": "<p></p>", "FlowCytIntra-species-checked": "notRecommended", "FlowCytIntra-species-dilution-info": "1/100 - 1/500", "FlowCytIntra-species-notes": "<p><a href='/en-us/products/primary-antibodies/rabbit-igg-monoclonal-epr25a-isotype-control-ab172730'>ab172730</a> - Rabbit monoclonal IgG, is suitable for use as an isotype control with this antibody.</p>" }, "Rat": { "IHCP-species-checked": "notRecommended", "IHCP-species-dilution-info": "1/50 - 1/100", "IHCP-species-notes": "<p></p>", "IP-species-checked": "notRecommended", "IP-species-dilution-info": "", "IP-species-notes": "<p></p>", "WB-species-checked": "notRecommended", "WB-species-dilution-info": "1/1000 - 1/5000", "WB-species-notes": "<p></p>", "ICCIF-species-checked": "notRecommended", "ICCIF-species-dilution-info": "1/50 - 1/100", "ICCIF-species-notes": "<p></p>", "FlowCytIntra-species-checked": "notRecommended", "FlowCytIntra-species-dilution-info": "1/100 - 1/500", "FlowCytIntra-species-notes": "<p><a href='/en-us/products/primary-antibodies/rabbit-igg-monoclonal-epr25a-isotype-control-ab172730'>ab172730</a> - Rabbit monoclonal IgG, is suitable for use as an isotype control with this antibody.</p>" } } }

Product details

Patented technology
Our RabMAb® technology is a patented hybridoma-based technology for making rabbit monoclonal antibodies. For details on our patents, please refer to RabMAb® patents.

What are the advantages of a recombinant monoclonal antibody?
This product is a recombinant monoclonal antibody, which offers several advantages including:

  • - High batch-to-batch consistency and reproducibility
  • - Improved sensitivity and specificity
  • - Long-term security of supply
  • - Animal-free batch production

For more information, read more on recombinant antibodies.

Properties and storage information

Form
Liquid
Purification technique
Affinity purification Protein A
Storage buffer
pH: 7.2 - 7.4 Preservative: 0.01% Sodium azide Constituents: PBS, 50% Tissue culture supernatant, 40% Glycerol (glycerin, glycerine), 0.05% BSA
Shipped at conditions
Blue Ice
Appropriate short-term storage duration
1-2 weeks
Appropriate short-term storage conditions
+4°C
Appropriate long-term storage conditions
-20°C
Aliquoting information
Upon delivery aliquot
Storage information
Avoid freeze / thaw cycle

Supplementary information

This supplementary information is collated from multiple sources and compiled automatically.

NADSYN1 also known as NAD synthetase 1 catalyzes the formation of nicotinamide adenine dinucleotide (NAD) from nicotinic acid adenine dinucleotide (NaAD) and ammonium. The protein plays a critical role in NAD biosynthesis. NADSYN1 has a molecular mass of approximately 66 kDa and it is mostly expressed in the liver kidney and brain. These sites of expression highlight its importance in various tissue types where energy metabolism and cell signaling are important.
Biological function summary

NADSYN1 facilitates the production of NAD an important molecule in several metabolic processes. NAD is a coenzyme that is involved in redox reactions transferring electrons from one reaction to another. NADSYN1 functions as a monomer though it participates in larger biochemical pathways rather than forming a complex itself. Its activity ensures the availability of NAD which is necessary for efficient energy production and cellular functions.

Pathways

Its activity impacts the central NAD biosynthesis pathway. Nicotinamide adenine dinucleotide is essential in glycolysis and the citric acid cycle which are important for energy production in cells. NADSYN1 activity influences these pathways and it maintains cellular energy homeostasis. Alongside its involvement in NAD biosynthesis it has indirect relations with proteins like NAMPT in the salvage pathway of NAD synthesis as both serve the function of replenishing cellular NAD levels.

Abnormalities in NADSYN1 function can lead to metabolic disorders including congenital NAD deficiency disorders. Such disruptions can impact energy metabolism and lead to neurological and developmental issues. The dysfunction of NADSYN1 linked with oxidative stress disorders relates to its role in maintaining NAD levels which manage cellular redox states. The protein is essential in preventing energy deficits and minimizing the risk of disorders related to impaired NAD metabolism.

Product protocols

For this product, it's our understanding that no specific protocols are required. You can visit:

Target data

Catalyzes the final step of the nicotinamide adenine dinucleotide (NAD) de novo synthesis pathway, the ATP-dependent amidation of deamido-NAD using L-glutamine as a nitrogen source.
See full target information NADSYN1

Publications (6)

Recent publications for all applications. Explore the full list and refine your search

Aging 17:937-959 PubMed40179319

2025

Decreased mitochondrial NAD+ in WRN deficient cells links to dysfunctional proliferation.

Applications

Unspecified application

Species

Unspecified reactive species

Sofie Lautrup,Shi-Qi Zhang,Shinichiro Funayama,Lisa Lirussi,Tina Visnovska,Hoi-Hung Cheung,Marc Niere,Yuyao Tian,Hilde Loge Nilsen,Geir Selbæk,Janna Saarela,Yoshiro Maezawa,Koutaro Yokote,Per Nilsson,Wai-Yee Chan,Hisaya Kato,Mathias Ziegler,Vilhelm A Bohr,Evandro F Fang

Nature communications 14:8095 PubMed38092728

2023

Niacin restriction with NAMPT-inhibition is synthetic lethal to neuroendocrine carcinoma.

Applications

Unspecified application

Species

Unspecified reactive species

Miyuki Nomura,Mai Ohuchi,Yoshimi Sakamoto,Kei Kudo,Keisuke Yaku,Tomoyoshi Soga,Yuki Sugiura,Mami Morita,Kayoko Hayashi,Shuko Miyahara,Taku Sato,Yoji Yamashita,Shigemi Ito,Naohiko Kikuchi,Ikuro Sato,Rintaro Saito,Nobuo Yaegashi,Tatsuro Fukuhara,Hidekazu Yamada,Hiroshi Shima,Keiichi I Nakayama,Atsushi Hirao,Kenta Kawasaki,Yoichi Arai,Shusuke Akamatsu,Sei-Ichi Tanuma,Toshiro Sato,Takashi Nakagawa,Nobuhiro Tanuma

The Journal of biological chemistry 298:102587 PubMed36243112

2022

Glucose-6-phosphate dehydrogenase exerts antistress effects independently of its enzymatic activity.

Applications

Unspecified application

Species

Unspecified reactive species

Xiaohan Jin,Xuexue Li,Lifang Li,Benfu Zhong,Yang Hong,Jing Niu,Binghui Li

FEBS letters 594:1379-1388 PubMed31950503

2020

Divergent metabolic responses dictate vulnerability to NAMPT inhibition in ovarian cancer.

Applications

Unspecified application

Species

Unspecified reactive species

Kei Kudo,Miyuki Nomura,Yoshimi Sakamoto,Shigemi Ito,Mami Morita,Masaaki Kawai,Yoji Yamashita,Kiyoshi Ito,Hidekazu Yamada,Hiroshi Shima,Nobuo Yaegashi,Nobuhiro Tanuma

Nature 569:570-575 PubMed31019297

2019

NAD metabolic dependency in cancer is shaped by gene amplification and enhancer remodelling.

Applications

Unspecified application

Species

Unspecified reactive species

Sudhir Chowdhry,Ciro Zanca,Utkrisht Rajkumar,Tomoyuki Koga,Yarui Diao,Ramya Raviram,Feng Liu,Kristen Turner,Huijun Yang,Elizabeth Brunk,Junfeng Bi,Frank Furnari,Vineet Bafna,Bing Ren,Paul S Mischel

Scientific reports 6:38489 PubMed27924925

2016

Replicatively senescent human fibroblasts reveal a distinct intracellular metabolic profile with alterations in NAD+ and nicotinamide metabolism.

Applications

Unspecified application

Species

Unspecified reactive species

Emma L James,James A E Lane,Ryan D Michalek,Edward D Karoly,E Kenneth Parkinson
View all publications

Product promise

We are committed to supporting your work with high-quality reagents, and we're here for you every step of the way. In the unlikely event that one of our products does not perform as expected, you're protected by our Product Promise.
For full details, please see our Terms & Conditions

Please note: All products are 'FOR RESEARCH USE ONLY. NOT FOR USE IN DIAGNOSTIC OR THERAPEUTIC PROCEDURES'.

For licensing inquiries, please contact partnerships@abcam.com