JavaScript is disabled in your browser. Please enable JavaScript to view this website.
AB251547

Anti-NAGLU/NAG antibody [EPR20708] - BSA and Azide free

Be the first to review this product! Submit a review

|

(0 Publication)

Rabbit Recombinant Monoclonal NAGLU/NAG antibody. Carrier free. Suitable for ICC/IF, WB, Flow Cyt (Intra), IHC-P and reacts with Mouse, Human, Rat samples.

View Alternative Names

UFHSD1, NAGLU, Alpha-N-acetylglucosaminidase, N-acetyl-alpha-glucosaminidase, NAG

10 Images
Western blot - Anti-NAGLU/NAG antibody [EPR20708] - BSA and Azide free (AB251547)
  • WB

Supplier Data

Western blot - Anti-NAGLU/NAG antibody [EPR20708] - BSA and Azide free (AB251547)

This data was developed using ab214671, the same antibody clone in a different buffer formulation.

Blocking and dilution buffer : 5% NFDM/TBST.

Exposure times : Lanes 1-2, 5-6 : 3 minutes; Lanes 3-4 : 30 seconds.

Lanes 1 - 4:

Western blot - Anti-NAGLU/NAG antibody [EPR20708] (<a href='/en-us/products/primary-antibodies/naglu-nag-antibody-epr20708-ab214671'>ab214671</a>) at 1/2000 dilution

Lanes 5 - 6:

Western blot - Anti-NAGLU/NAG antibody [EPR20708] (<a href='/en-us/products/primary-antibodies/naglu-nag-antibody-epr20708-ab214671'>ab214671</a>) at 1/1000 dilution

Lane 1:

Mouse colon lysate at 20 µg

Lane 2:

Rat testis lysate at 20 µg

Lane 3:

Mouse testis lysate at 20 µg

Lane 4:

Rat colon lysate at 20 µg

Lane 5:

Rat liver lysate at 10 µg

Lane 6:

Rat spleen lysate at 10 µg

Secondary

All lanes:

Western blot - Goat Anti-Rabbit IgG H&L (HRP) (<a href='/en-us/products/secondary-antibodies/goat-rabbit-igg-h-l-hrp-ab97051'>ab97051</a>) at 1/100000 dilution

Predicted band size: 82 kDa

Observed band size: 82 kDa

true

Immunohistochemistry (Formalin/PFA-fixed paraffin-embedded sections) - Anti-NAGLU/NAG antibody [EPR20708] - BSA and Azide free (AB251547)
  • IHC-P

Supplier Data

Immunohistochemistry (Formalin/PFA-fixed paraffin-embedded sections) - Anti-NAGLU/NAG antibody [EPR20708] - BSA and Azide free (AB251547)

This data was developed using ab214671, the same antibody clone in a different buffer formulation.

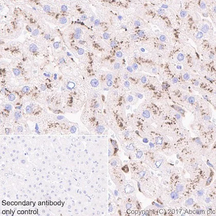
Immunohistochemical analysis of paraffin-embedded human liver tissue labeling NAGLU/NAG with ab214671 at 1/4000 dilution, followed by Goat Anti-Rabbit IgG H&L (HRP) Ready to use. Granular cytoplasmic staining on human liver (PMID : 4291567, PMID : 8776591). Counter stained with hematoxylin.

Secondary antibody only control : Used PBS instead of primary antibody, secondary antibody is Goat Anti-Rabbit IgG H&L (HRP) Ready to use.

Perform heat mediated antigen retrieval with Tris/EDTA buffer pH 9.0 before commencing with IHC staining protocol.

Flow Cytometry (Intracellular) - Anti-NAGLU/NAG antibody [EPR20708] - BSA and Azide free (AB251547)
  • Flow Cyt (Intra)

Unknown

Flow Cytometry (Intracellular) - Anti-NAGLU/NAG antibody [EPR20708] - BSA and Azide free (AB251547)

This data was developed using ab214671, the same antibody clone in a different buffer formulation.

Intracellular flow cytometric analysis of 4% paraformaldehyde-fixed HepG2 (human liver hepatocellular carcinoma cell line) cell line labeling NAGLU/NAG with ab214671at 1/50 dilution (red) compared with a Rabbit IgG, monoclonal [EPR25A] - Isotype Control (ab172730) (black) and an unlabeled control (cells without incubation with primary antibody and secondary antibody) (blue). Goat Anti-Rabbit IgG H&L (Alexa Fluor® 488) at 1/2000 dilution was used as the secondary antibody.

Immunohistochemistry (Formalin/PFA-fixed paraffin-embedded sections) - Anti-NAGLU/NAG antibody [EPR20708] - BSA and Azide free (AB251547)
  • IHC-P

Supplier Data

Immunohistochemistry (Formalin/PFA-fixed paraffin-embedded sections) - Anti-NAGLU/NAG antibody [EPR20708] - BSA and Azide free (AB251547)

This data was developed using ab214671, the same antibody clone in a different buffer formulation.

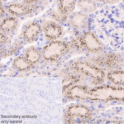
Immunohistochemical analysis of paraffin-embedded rat kidney tissue labeling NAGLU/NAG with ab214671 at 1/4000 dilution, followed by Goat Anti-Rabbit IgG H&L (HRP) Ready to use. Granular cytoplasmic staining on rat kidney tubules (PMID : 4291567, PMID : 24244710). Counter stained with hematoxylin.

Secondary antibody only control : Used PBS instead of primary antibody, secondary antibody is Goat Anti-Rabbit IgG H&L (HRP) Ready to use.

Perform heat mediated antigen retrieval with Tris/EDTA buffer pH 9.0 before commencing with IHC staining protocol.

Flow Cytometry (Intracellular) - Anti-NAGLU/NAG antibody [EPR20708] - BSA and Azide free (AB251547)
  • Flow Cyt (Intra)

Unknown

Flow Cytometry (Intracellular) - Anti-NAGLU/NAG antibody [EPR20708] - BSA and Azide free (AB251547)

This data was developed using ab214671, the same antibody clone in a different buffer formulation.

Intracellular flow cytometric analysis of 4% paraformaldehyde-fixed Hepa1-6 (mouse hepatoma epithelial cell line) cell line labeling NAGLU/NAG with ab214671at 1/50 dilution (red) compared with a Rabbit IgG, monoclonal [EPR25A] - Isotype Control (ab172730) (black) and an unlabeled control (cells without incubation with primary antibody and secondary antibody) (blue). Goat Anti-Rabbit IgG H&L (Alexa Fluor® 488) at 1/2000 dilution was used as the secondary antibody.

Immunohistochemistry (Formalin/PFA-fixed paraffin-embedded sections) - Anti-NAGLU/NAG antibody [EPR20708] - BSA and Azide free (AB251547)
  • IHC-P

Supplier Data

Immunohistochemistry (Formalin/PFA-fixed paraffin-embedded sections) - Anti-NAGLU/NAG antibody [EPR20708] - BSA and Azide free (AB251547)

This data was developed using ab214671, the same antibody clone in a different buffer formulation.

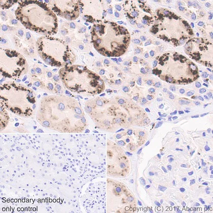
Immunohistochemical analysis of paraffin-embedded human kidney tissue labeling NAGLU/NAG with ab214671 at 1/4000 dilution, followed by Goat Anti-Rabbit IgG H&L (HRP) Ready to use. Granular cytoplasmic staining on human kidney tubules (PMID : 4291567, PMID : 24244710). Counter stained with hematoxylin.

Secondary antibody only control : Used PBS instead of primary antibody, secondary antibody is Goat Anti-Rabbit IgG H&L (HRP) Ready to use.

Perform heat mediated antigen retrieval with Tris/EDTA buffer pH 9.0 before commencing with IHC staining protocol.

Immunocytochemistry/ Immunofluorescence - Anti-NAGLU/NAG antibody [EPR20708] - BSA and Azide free (AB251547)
  • ICC/IF

Supplier Data

Immunocytochemistry/ Immunofluorescence - Anti-NAGLU/NAG antibody [EPR20708] - BSA and Azide free (AB251547)

This data was developed using ab214671, the same antibody clone in a different buffer formulation.

Immunofluorescent analysis of 100% methanol-fixed HepG2 (human liver hepatocellular carcinoma cell line) cells labeling NAGLU/NAG with ab214671 at 1/100 dilution followed by Goat Anti-Rabbit IgG H&L (Alexa Fluor® 488) (ab150077) secondary antibody at 1/1000 dilution (green). Confocal image showing cytoplasmic staining on HepG2 cell line.

The nuclear counter stain is DAPI (blue). Tubulin is detected with Anti-alpha Tubulin antibody [DM1A] - Microtubule Marker (Alexa Fluor® 594) (ab195889) (red) at 1/200 dilution.

Secondary antibody only control : Used PBS instead of primary antibody, secondary antibody is Goat Anti-Rabbit IgG H&L (Alexa Fluor® 488) (ab150077) secondary antibody at 1/1000 dilution.

Immunohistochemistry (Formalin/PFA-fixed paraffin-embedded sections) - Anti-NAGLU/NAG antibody [EPR20708] - BSA and Azide free (AB251547)
  • IHC-P

Supplier Data

Immunohistochemistry (Formalin/PFA-fixed paraffin-embedded sections) - Anti-NAGLU/NAG antibody [EPR20708] - BSA and Azide free (AB251547)

This data was developed using ab214671, the same antibody clone in a different buffer formulation.

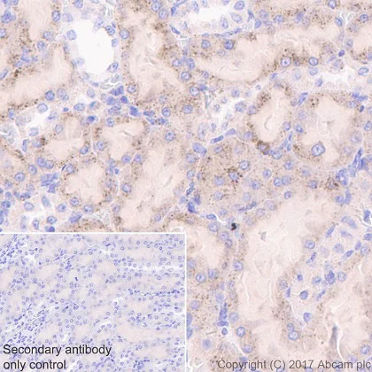
Immunohistochemical analysis of paraffin-embedded mouse kidney tissue labeling NAGLU/NAG with ab214671 at 1/4000 dilution, followed by Goat Anti-Rabbit IgG H&L (HRP) Ready to use. Granular cytoplasmic staining on mouse kidney tubules (PMID : 4291567, PMID : 24244710). Counter stained with hematoxylin.

Secondary antibody only control : Used PBS instead of primary antibody, secondary antibody is Goat Anti-Rabbit IgG H&L (HRP) Ready to use.

Perform heat mediated antigen retrieval with Tris/EDTA buffer pH 9.0 before commencing with IHC staining protocol.

Immunocytochemistry/ Immunofluorescence - Anti-NAGLU/NAG antibody [EPR20708] - BSA and Azide free (AB251547)
  • ICC/IF

Supplier Data

Immunocytochemistry/ Immunofluorescence - Anti-NAGLU/NAG antibody [EPR20708] - BSA and Azide free (AB251547)

This data was developed using ab214671, the same antibody clone in a different buffer formulation.

Immunofluorescent analysis of 100% methanol-fixed Hepa1-6 (mouse hepatoma epithelial cell line) cells labeling NAGLU/NAG with ab214671 at 1/100 dilution followed by Goat Anti-Rabbit IgG H&L (Alexa Fluor® 488) (ab150077) secondary antibody at 1/1000 dilution (green). Confocal image showing cytoplasmic staining on Hepa1-6 cell line.

The nuclear counter stain is DAPI (blue). Tubulin is detected with Anti-alpha Tubulin antibody [DM1A] - Microtubule Marker (Alexa Fluor® 594) (ab195889) (red) at 1/200 dilution.

Secondary antibody only control : Used PBS instead of primary antibody, secondary antibody is Goat Anti-Rabbit IgG H&L (Alexa Fluor® 488) (ab150077) secondary antibody at 1/1000 dilution.

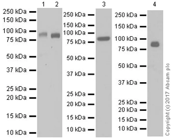
Western blot - Anti-NAGLU/NAG antibody [EPR20708] - BSA and Azide free (AB251547)
  • WB

Supplier Data

Western blot - Anti-NAGLU/NAG antibody [EPR20708] - BSA and Azide free (AB251547)

This data was developed using ab214671, the same antibody clone in a different buffer formulation.

Blocking and dilution buffer : 5% NFDM/TBST.

Exposure times : Lanes 1-2 : 1 minute; Lanes 3-4 : 30 seconds.

Lanes 1 - 3:

Western blot - Anti-NAGLU/NAG antibody [EPR20708] (<a href='/en-us/products/primary-antibodies/naglu-nag-antibody-epr20708-ab214671'>ab214671</a>) at 1/1000 dilution

Lane 4:

Western blot - Anti-NAGLU/NAG antibody [EPR20708] (<a href='/en-us/products/primary-antibodies/naglu-nag-antibody-epr20708-ab214671'>ab214671</a>) at 1/5000 dilution

Lane 1:

Human placenta lysate at 20 µg

Lane 2:

Human liver lysate at 20 µg

Lane 3:

Human fetal kidney lysate at 10 µg

Lane 4:

HepG2 (human liver hepatocellular carcinoma cell line) whole cell lysate at 10 µg

Secondary

Lanes 1 - 2:

Western blot - VeriBlot for IP Detection Reagent (HRP) (<a href='/en-us/products/reagents/veriblot-for-ip-detection-reagent-hrp-ab131366'>ab131366</a>) at 1/4000 dilution

Lanes 3 - 4:

Western blot - Goat Anti-Rabbit IgG H&L (HRP) (<a href='/en-us/products/secondary-antibodies/goat-rabbit-igg-h-l-hrp-ab97051'>ab97051</a>) at 1/100000 dilution

Predicted band size: 82 kDa

Observed band size: 82 kDa

true

  • Unconjugated

    Anti-NAGLU/NAG antibody [EPR20708]

  • 775 Alexa Fluor® 750

    Alexa Fluor® 750 Anti-NAGLU/NAG antibody [EPR20708]

  • 578 PE

    PE Anti-NAGLU/NAG antibody [EPR20708]

  • HRP

    HRP Anti-NAGLU/NAG antibody [EPR20708]

  • 617 Alexa Fluor® 594

    Alexa Fluor® 594 Anti-NAGLU antibody [EPR20708]

  • 519 Alexa Fluor® 488

    Alexa Fluor® 488 Anti-NAGLU antibody [EPR20708]

  • 665 Alexa Fluor® 647

    Alexa Fluor® 647 Anti-NAGLU antibody [EPR20708]

  • 603 Alexa Fluor® 568

    Alexa Fluor® 568 Anti-NAGLU/NAG antibody [EPR20708]

  • 565 Alexa Fluor® 555

    Alexa Fluor® 555 Anti-NAGLU antibody [EPR20708]

  • 660 APC

    APC Anti-NAGLU/NAG antibody [EPR20708]

Key facts

Host species

Rabbit

Clonality

Monoclonal

Clone number

EPR20708

Isotype

IgG

Carrier free

Yes

Reacts with

Mouse, Rat, Human

Applications

Flow Cyt (Intra), WB, IHC-P, ICC/IF

applications

Immunogen

The exact immunogen used to generate this antibody is proprietary information.

Reactivity data

{ "title": "Reactivity Data", "filters": { "stats": ["", "Species", "Dilution Info", "Notes"], "tabs": { "all-applications": {"fullname" : "All Applications", "shortname": "All Applications"}, "ICCIF" : {"fullname" : "Immunocytochemistry/ Immunofluorescence", "shortname":"ICC/IF"}, "WB" : {"fullname" : "Western blot", "shortname":"WB"}, "FlowCytIntra" : {"fullname" : "Flow Cytometry (Intracellular)", "shortname":"Flow Cyt (Intra)"}, "IHCP" : {"fullname" : "Immunohistochemistry (Formalin/PFA-fixed paraffin-embedded sections)", "shortname":"IHC-P"} }, "product-promise": { "all": "all", "testedAndGuaranteed": "tested", "guaranteed": "expected", "predicted": "predicted", "notRecommended": "not-recommended" } }, "values": { "Human": { "ICCIF-species-checked": "testedAndGuaranteed", "ICCIF-species-dilution-info": "", "ICCIF-species-notes": "<p></p>", "WB-species-checked": "testedAndGuaranteed", "WB-species-dilution-info": "", "WB-species-notes": "<p>Additional bands observed in some rodent tissue lysates where NAGLU is not highly expressed.</p>", "FlowCytIntra-species-checked": "testedAndGuaranteed", "FlowCytIntra-species-dilution-info": "", "FlowCytIntra-species-notes": "<p></p>", "IHCP-species-checked": "testedAndGuaranteed", "IHCP-species-dilution-info": "", "IHCP-species-notes": "<p></p>" }, "Mouse": { "ICCIF-species-checked": "testedAndGuaranteed", "ICCIF-species-dilution-info": "", "ICCIF-species-notes": "<p></p>", "WB-species-checked": "testedAndGuaranteed", "WB-species-dilution-info": "", "WB-species-notes": "<p>Additional bands observed in some rodent tissue lysates where NAGLU is not highly expressed.</p>", "FlowCytIntra-species-checked": "testedAndGuaranteed", "FlowCytIntra-species-dilution-info": "", "FlowCytIntra-species-notes": "<p></p>", "IHCP-species-checked": "testedAndGuaranteed", "IHCP-species-dilution-info": "", "IHCP-species-notes": "<p></p>" }, "Rat": { "ICCIF-species-checked": "guaranteed", "ICCIF-species-dilution-info": "", "ICCIF-species-notes": "", "WB-species-checked": "testedAndGuaranteed", "WB-species-dilution-info": "", "WB-species-notes": "<p>Additional bands observed in some rodent tissue lysates where NAGLU is not highly expressed.</p>", "FlowCytIntra-species-checked": "guaranteed", "FlowCytIntra-species-dilution-info": "", "FlowCytIntra-species-notes": "", "IHCP-species-checked": "testedAndGuaranteed", "IHCP-species-dilution-info": "", "IHCP-species-notes": "<p></p>" } } }

You may be interested in:

AB204705

N-Acetylglucosaminidase (beta-NAG) Activity Assay Kit (Colorimetric)

0

0 Reviews

View product

We recommend this product because it’s often used in the same experiment or related research.

We advise that you always check the datasheet to ensure it fits your experiments, or contact ourtechnical teamfor help.

Product details

ab251547 is the carrier-free version of ab214671.

Patented technology
Our RabMAb® technology is a patented hybridoma-based technology for making rabbit monoclonal antibodies. For details on our patents, please refer to RabMAb® patents.

What are the advantages of a recombinant monoclonal antibody?
This product is a recombinant monoclonal antibody, which offers several advantages including:

  • - High batch-to-batch consistency and reproducibility
  • - Improved sensitivity and specificity
  • - Long-term security of supply
  • - Animal-free batch production

For more information, read more on recombinant antibodies.

Conjugation ready
Our carrier-free antibodies are typically supplied in a PBS-only formulation, purified and free of BSA, sodium azide and glycerol. This conjugation-ready format is designed for use with fluorochromes, metal isotopes, oligonucleotides, and enzymes, which makes them ideal for antibody labelling, functional and cell-based assays, flow-based assays (e.g. mass cytometry) and Multiplex Imaging applications.

Use our conjugation kits for antibody conjugates that are ready-to-use in as little as 20 minutes with 1 minute hands-on-time and 100% antibody recovery: available for fluorescent dyes, HRP, biotin and gold.

Compatibility
This product is compatible with the Maxpar® Antibody Labeling Kit from Fluidigm, without the need for antibody preparation. Maxpar® is a trademark of Fluidigm Canada Inc.

Properties and storage information

Form
Liquid
Purification technique
Affinity purification Protein A
Storage buffer
pH: 7.2 - 7.4 Constituents: PBS
Shipped at conditions
Blue Ice
Appropriate short-term storage conditions
+4°C
Appropriate long-term storage conditions
+4°C
Storage information
Do Not Freeze

Supplementary information

This supplementary information is collated from multiple sources and compiled automatically.

NAGLU/NAG also known as alpha-N-acetylglucosaminidase is an enzyme with a molecular weight of approximately 83 kDa. This enzyme localizes in the lysosome where cells express it across various tissues. NAGLU plays a significant role in the breakdown of heparan sulfate which is a glycosaminoglycan found on cell surfaces and in the extracellular matrix. Its enzymatic action involves the cleavage of terminal alpha-N-acetylglucosamine residues during lysosomal degradation.
Biological function summary

NAGLU facilitates the degradation of heparan sulfate in conjunction with other enzymes as part of a degradation complex within the lysosome. NAGLU's action is essential for maintaining the balance of heparan sulfate levels inside cells which is important for cellular health and function. Without the proper function of this enzyme heparan sulfate accumulates within lysosomes due to incomplete catabolism leading to cellular dysfunction and related pathologies.

Pathways

NAGLU functions critically in the glycosaminoglycan degradation pathway. This pathway involves several enzymes including iduronate-2-sulfatase which acts upstream of NAGLU. Together they ensure the breakdown of complex sugars such as heparan sulfate. NAGLU also participates in the larger lysosomal degradation pathway collaborating with other lysosomal enzymes to ensure proper breakdown and recycling of cellular materials.

Disruptions in NAGLU function are directly linked to mucopolysaccharidosis type IIIB (MPS IIIB) also known as Sanfilippo syndrome type B. This disorder results from mutations that impair NAGLU activity causing heparan sulfate accumulation and neurodegeneration. Additionally deficient NAGLU activity may intersect with pathologies involving heparan sulfate binding proteins impacting cellular signaling and contributing to disease progression.

Product protocols

For this product, it's our understanding that no specific protocols are required. You can visit:

Target data

Involved in the degradation of heparan sulfate.
See full target information NAGLU

Product promise

We are committed to supporting your work with high-quality reagents, and we're here for you every step of the way. In the unlikely event that one of our products does not perform as expected, you're protected by our Product Promise.
For full details, please see our Terms & Conditions

Associated Products

Select an associated product type
Alternative Version
Primary Antibodies

AB306066

PE Anti-NAGLU/NAG antibody [EPR20708]

primary-antibodies

pe-naglu-nag-antibody-epr20708-ab306066

0

(0 reviews)

Alternative Version
Primary Antibodies

AB306068

HRP Anti-NAGLU/NAG antibody [EPR20708]

primary-antibodies

hrp-naglu-nag-antibody-epr20708-ab306068

0

(0 reviews)

Alternative Version
Primary Antibodies

AB310585

Alexa Fluor® 594 Anti-NAGLU antibody [EPR20708]

primary-antibodies

alexa-fluor-594-naglu-antibody-epr20708-ab310585

0

(0 reviews)

Alternative Version
Primary Antibodies

AB309785

Alexa Fluor® 488 Anti-NAGLU antibody [EPR20708]

primary-antibodies

alexa-fluor-488-naglu-antibody-epr20708-ab309785

0

(0 reviews)

Alternative Version
Primary Antibodies

AB310154

Alexa Fluor® 647 Anti-NAGLU antibody [EPR20708]

primary-antibodies

alexa-fluor-647-naglu-antibody-epr20708-ab310154

0

(0 reviews)

Alternative Version
Primary Antibodies

AB312599

Alexa Fluor® 568 Anti-NAGLU/NAG antibody [EPR20708]

primary-antibodies

alexa-fluor-568-naglu-nag-antibody-epr20708-ab312599

0

(0 reviews)

Alternative Version
Primary Antibodies

AB312115

Alexa Fluor® 555 Anti-NAGLU antibody [EPR20708]

primary-antibodies

alexa-fluor-555-naglu-antibody-epr20708-ab312115

0

(0 reviews)

Alternative Version
Primary Antibodies

AB306067

APC Anti-NAGLU/NAG antibody [EPR20708]

primary-antibodies

apc-naglu-nag-antibody-epr20708-ab306067

0

(0 reviews)

Please note: All products are 'FOR RESEARCH USE ONLY. NOT FOR USE IN DIAGNOSTIC OR THERAPEUTIC PROCEDURES'.

For licensing inquiries, please contact partnerships@abcam.com