JavaScript is disabled in your browser. Please enable JavaScript to view this website.
AB234978

Anti-NAGPA antibody

Be the first to review this product! Submit a review

|

(1 Publication)

Rabbit Polyclonal NAGPA antibody. Suitable for WB, IHC-P and reacts with Human samples. Cited in 1 publication. Immunogen corresponding to Recombinant Fragment Protein within Human NAGPA aa 300-450.

View Alternative Names

N-acetylglucosamine-1-phosphodiester alpha-N-acetylglucosaminidase, Mannose 6-phosphate-uncovering enzyme, Phosphodiester alpha-GlcNAcase, NAGPA

2 Images
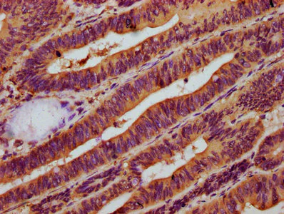
Immunohistochemistry (Formalin/PFA-fixed paraffin-embedded sections) - Anti-NAGPA antibody (AB234978)
  • IHC-P

Supplier Data

Immunohistochemistry (Formalin/PFA-fixed paraffin-embedded sections) - Anti-NAGPA antibody (AB234978)

Paraffin-embedded human colon cancer tissue stained for NAGPA with ab234978 at 1/500 dilution in immunohistochemical analysis.

After dewaxing and hydration, antigen retrieval was mediated by high pressure in a citrate buffer (pH 6.0). Section was blocked with 10% normal goat serum 30 minutes at RT. Then primary antibody (1% BSA) was incubated at 4°C overnight. The primary is detected by a biotinylated secondary antibody and visualized tissue using an HRP conjugated SP system.

Western blot - Anti-NAGPA antibody (AB234978)
  • WB

Supplier Data

Western blot - Anti-NAGPA antibody (AB234978)

All lanes:

Western blot - Anti-NAGPA antibody (ab234978) at 1/500 dilution

Lane 1:

SH-SY5Y (Human neuroblastoma cell line from bone marrow) whole cell lysate

Lane 2:

PC-3 (Human prostate adenocarcinoma cell line) whole cell lysate

Lane 3:

A549 (Human lung carcinoma cell line) whole cell lysate

Lane 4:

HepG2 (Human liver hepatocellular carcinoma cell line) whole cell lysate

Secondary

All lanes:

Goat polyclonal to rabbit IgG at 1/50000 dilution

Predicted band size: 56 kDa

false

Key facts

Host species

Rabbit

Clonality

Polyclonal

Isotype

IgG

Carrier free

No

Reacts with

Human

Applications

IHC-P, WB

applications

Immunogen

Recombinant Fragment Protein within Human NAGPA aa 300-450. The exact immunogen used to generate this antibody is proprietary information.

Q9UK23

Reactivity data

{ "title": "Reactivity Data", "filters": { "stats": ["", "Species", "Dilution Info", "Notes"], "tabs": { "all-applications": {"fullname" : "All Applications", "shortname": "All Applications"}, "WB" : {"fullname" : "Western blot", "shortname":"WB"}, "IHCP" : {"fullname" : "Immunohistochemistry (Formalin/PFA-fixed paraffin-embedded sections)", "shortname":"IHC-P"} }, "product-promise": { "all": "all", "testedAndGuaranteed": "tested", "guaranteed": "expected", "predicted": "predicted", "notRecommended": "not-recommended" } }, "values": { "Human": { "WB-species-checked": "testedAndGuaranteed", "WB-species-dilution-info": "1/500 - 1/5000", "WB-species-notes": "<p></p>", "IHCP-species-checked": "testedAndGuaranteed", "IHCP-species-dilution-info": "1/500 - 1/1000", "IHCP-species-notes": "<p></p>" } } }

Properties and storage information

Form
Liquid
Purification technique
Affinity purification Protein G
Purification notes
Purity >95%.
Storage buffer
pH: 7.4 Preservative: 0.03% Proclin 300 Constituents: PBS, 50% Glycerol (glycerin, glycerine)
Shipped at conditions
Blue Ice
Appropriate short-term storage duration
1-2 weeks
Appropriate short-term storage conditions
+4°C
Appropriate long-term storage conditions
-20°C
Aliquoting information
Upon delivery aliquot
Storage information
Avoid freeze / thaw cycle

Supplementary information

This supplementary information is collated from multiple sources and compiled automatically.

NAGPA also known as N-acetylglucosamine-1-phosphodiester alpha-N-acetylglucosaminidase plays an important role in the modification of lysosomal proteins. This enzyme's molecular mass is around 62 kDa and it primarily operates within the Golgi apparatus. It is widely expressed across various tissues making it an essential component in the cell's processing and trafficking functions. Other terminology includes hexosaminidase a which reflects its function in cleaving glucosamine residues.
Biological function summary

NAGPA participates in the formation and processing of mannose-6-phosphate recognition markers essential for lysosomal protein targeting. It functions independently rather than as part of a multi-protein complex. The enzyme helps remove a N-acetylglucosamine (GlcNAc) group exposing the mannose-6-phosphate which is a critical step required for lysosomal enzymes to be recognized and transported to the lysosome.

Pathways

Which include NAGPA the enzyme plays a significant role in the lysosomal enzyme targeting pathway and glycoprotein metabolic processes. The mannose-6-phosphate pathway is important for directing enzymes to lysosomes requiring precise interaction between NAGPA and the phosphotransferase proteins responsible for initial phosphorylation. Its regulatory actions ensure lysosomal enzymes are properly targeted and activated.

Malfunction or deficiencies in NAGPA can lead to issues such as mucolipidosis III a disorder characterized by improper lysosomal enzyme targeting. NAGPA's connection with hexosaminidase b involved in the breakdown of GM2 gangliosides also links it to disorders such as Sandhoff disease. This highlights NAGPA's pivotal role in maintaining lysosomal function and contributing to overall cellular health.

Product protocols

For this product, it's our understanding that no specific protocols are required. You can visit:

Target data

Catalyzes the second step in the formation of the mannose 6-phosphate targeting signal on lysosomal enzyme oligosaccharides by removing GlcNAc residues from GlcNAc-alpha-P-mannose moieties, which are formed in the first step. Also hydrolyzes UDP-GlcNAc, a sugar donor for Golgi N-acetylglucosaminyltransferases.
See full target information NAGPA

Publications (1)

Recent publications for all applications. Explore the full list and refine your search

Advanced science (Weinheim, Baden-Wurttemberg, Germany) 12:e2416590 PubMed40298908

2025

Nuclear-Localized BCKDK Facilitates Homologous Recombination Repair to Support Breast Cancer Progression and Therapy Resistance.

Applications

Unspecified application

Species

Unspecified reactive species

Haiying Liu,Jiaqian Feng,Tingting Pan,Pinggen Zhang,Ling Ye,Zetan Jiang,Zilong Zhou,Qiankun Mao,Jian Li,Xinyi Yang,Ping Gao,De Huang,Huafeng Zhang
View all publications

Product promise

We are committed to supporting your work with high-quality reagents, and we're here for you every step of the way. In the unlikely event that one of our products does not perform as expected, you're protected by our Product Promise.
For full details, please see our Terms & Conditions

Please note: All products are 'FOR RESEARCH USE ONLY. NOT FOR USE IN DIAGNOSTIC OR THERAPEUTIC PROCEDURES'.

For licensing inquiries, please contact partnerships@abcam.com