JavaScript is disabled in your browser. Please enable JavaScript to view this website.
AB186468

Anti-NAK/TBK1 antibody [EPR2867(2)-19] - BSA and Azide free

Be the first to review this product! Submit a review

|

(1 Publication)

Rabbit Recombinant Monoclonal NAK/TBK1 antibody. Carrier free. Suitable for IP, WB, IHC-P and reacts with Human samples. Cited in 1 publication.

View Alternative Names

NAK, TBK1, Serine/threonine-protein kinase TBK1, NF-kappa-B-activating kinase, T2K, TANK-binding kinase 1

6 Images
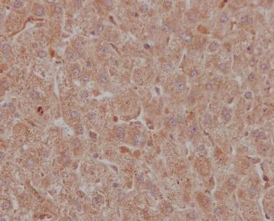
Immunohistochemistry (Formalin/PFA-fixed paraffin-embedded sections) - Anti-NAK/TBK1 antibody [EPR2867(2)-19] - BSA and Azide free (AB186468)
  • IHC-P

Supplier Data

Immunohistochemistry (Formalin/PFA-fixed paraffin-embedded sections) - Anti-NAK/TBK1 antibody [EPR2867(2)-19] - BSA and Azide free (AB186468)

ab109735 staining NAK/TBK1 in Human liver tissue sections by Immunohistochemistry (IHC-P - paraformaldehyde-fixed, paraffin-embedded sections). Tissue was fixed and paraffin-embedded, antigen retrieval was by heat mediation in Tris/EDTA buffer pH9. Samples were incubated with primary antibody (1/800). An undiluted HRP-conjugated anti-rabbit IgG was used as the secondary antibody. Tissue counterstained with Hematoxylin.

This data was developed using the same antibody clone in a different buffer formulation containing PBS, BSA, glycerol, and sodium azide (ab109735).

Immunoprecipitation - Anti-NAK/TBK1 antibody [EPR2867(2)-19] - BSA and Azide free (AB186468)
  • IP

Unknown

Immunoprecipitation - Anti-NAK/TBK1 antibody [EPR2867(2)-19] - BSA and Azide free (AB186468)

This data was developed using ab109735, the same antibody clone in a different buffer formulation :

Immunoprecipitation of TBK1 in HeLa cells. Lysates were prepared and immunoprecipitation was performed using 1.0 μg of ab109735 pre-coupled to prot.A-Sepharose beads. Samples were washed and processed for western blot with ab12116 at 1 in 2000. This data was kindly provided by the YCharOS Inc., an open science company with the mission of characterizing every commercially available antibody reagent. Abcam are working with YCharOS to support their mission of antibody characterisation using knock out cell lines.

All lanes:

Immunoprecipitation - Anti-NAK/TBK1 antibody [EPR2867(2)-19] - BSA and Azide free (ab186468)

Predicted band size: 84 kDa

false

Immunoprecipitation - Anti-NAK/TBK1 antibody [EPR2867(2)-19] - BSA and Azide free (AB186468)
  • IP

Unknown

Immunoprecipitation - Anti-NAK/TBK1 antibody [EPR2867(2)-19] - BSA and Azide free (AB186468)

Purified ab109735 at 1/30 dilution (2μg) immunoprecipitating NAK/TBK1 in HeLa whole cell lysate.
Lane 1 (input) : HeLa (Human cervix adenocarcinoma epithelial cell) whole cell lysate 10μg
Lane 2 (+) : ab109735 + HeLa whole cell lysate.
Lane 3 (-) : Rabbit monoclonal IgG (ab172730) instead of ab109735 in HeLa whole cell lysate.
VeriBlot for IP Detection Reagent (HRP) (ab131366) (1/5000 dilution) was used for Western blotting.
Blocking Buffer and concentration : 5% NFDM/TBST.
Diluting buffer and concentration : 5% NFDM/TBST.
Observed band size : 84 kDa
This data was developed using the same antibody clone in a different buffer formulation containing PBS, BSA, glycerol, and sodium azide (ab109735).

All lanes:

Immunoprecipitation - Anti-NAK/TBK1 antibody [EPR2867(2)-19] (<a href='/en-us/products/primary-antibodies/nak-tbk1-antibody-epr28672-19-ab109735'>ab109735</a>)

Predicted band size: 61 kDa,84 kDa,94 kDa

Observed band size: 85 kDa

false

Western blot - Anti-NAK/TBK1 antibody [EPR2867(2)-19] - BSA and Azide free (AB186468)
  • WB

Unknown

Western blot - Anti-NAK/TBK1 antibody [EPR2867(2)-19] - BSA and Azide free (AB186468)

This data was developed using ab109735, the same antibody clone in a different buffer formulation

All lanes:

Western blot - Anti-NAK/TBK1 antibody [EPR2867(2)-19] - BSA and Azide free (ab186468) at 1/1000 dilution

Lane 1:

HeLa cell lysate at 10 µg

Lane 2:

U937 cell lysate at 10 µg

Lane 3:

HepG2 cell lysate at 10 µg

Lane 4:

293T cell lysate at 10 µg

Predicted band size: 84 kDa

false

Western blot - Anti-NAK/TBK1 antibody [EPR2867(2)-19] - BSA and Azide free (AB186468)
  • WB

Lab

Western blot - Anti-NAK/TBK1 antibody [EPR2867(2)-19] - BSA and Azide free (AB186468)

This data was developed using ab109735, the same antibody clone in a different buffer formulation :

Lane 1 : Wild-type HAP1 cell lysate (20 μg)
Lane 2 : NAK/TBK1 knockout HAP1 cell lysate (20 μg)
Lane 3 : HeLa cell lysate (20 μg)
Lane 4 : HepG2 cell lysate (20 μg)

Lanes 1 - 4 : Merged signal (red and green). Green - ab109735 observed at 90 kDa. Red - loading control, ab8245, observed at 37 kDa.

ab109735 was shown to recognize NAK/TBK1 when NAK/TBK1 knockout samples were used, along with additional cross-reactive bands. Wild-type and NAK/TBK1 knockout samples were subjected to SDS-PAGE. ab109735 and ab8245 (loading control to GAPDH) were diluted at 1/1000 and 1/10 000 respectively and incubated overnight at 4°C. Blots were developed with Goat anti-Rabbit IgG H&L (IRDye® 800CW) preadsorbed (ab216773) and Goat anti-Mouse IgG H&L (IRDye® 680RD) preadsorbed (ab216776) secondary antibodies at 1/10 000 dilution for 1 h at room temperature before imaging.

All lanes:

Western blot - Anti-NAK/TBK1 antibody [EPR2867(2)-19] - BSA and Azide free (ab186468)

Predicted band size: 84 kDa

false

Western blot - Anti-NAK/TBK1 antibody [EPR2867(2)-19] - BSA and Azide free (AB186468)
  • WB

Unknown

Western blot - Anti-NAK/TBK1 antibody [EPR2867(2)-19] - BSA and Azide free (AB186468)

This data was developed using ab109735, the same antibody clone in a different buffer formulation :

ab109735 was shown to react with TBK1 in wild-type U2OSn cells in Western blot with loss of signal observed in a TBK1 knockout cell line. Wild-type U2OSn and TBK1 knockout cell lysates were subjected to SDS-PAGE. Membranes were blocked in 5% milk in TBST for 1 hr before incubation with ab109735 overnight at 4 °C at a 1/10000 dilution. Blots were incubated with goat anti-rabbit HRP secondary antibodies at 1/5000 before imaging. These data were provided by YCharOS Inc., an open science company with the mission of characterizing commercially available antibody reagents for all human proteins. Abcam and YCharOS are working together to help address the reproducibility crisis by enabling the life science community to better evaluate commercially available antibodies.

All lanes:

Western blot - Anti-NAK/TBK1 antibody [EPR2867(2)-19] - BSA and Azide free (ab186468)

Predicted band size: 84 kDa

false

Key facts

Host species

Rabbit

Clonality

Monoclonal

Clone number

EPR2867(2)-19

Isotype

IgG

Carrier free

Yes

Reacts with

Human

Applications

IHC-P, WB, IP

applications

Immunogen

The exact immunogen used to generate this antibody is proprietary information.

Specificity

This antibody may have weak cross-reactivity with IKBKE (IKKε).

Reactivity data

{ "title": "Reactivity Data", "filters": { "stats": ["", "Species", "Dilution Info", "Notes"], "tabs": { "all-applications": {"fullname" : "All Applications", "shortname": "All Applications"}, "IP" : {"fullname" : "Immunoprecipitation", "shortname":"IP"}, "FlowCyt" : {"fullname" : "Flow Cytometry", "shortname":"Flow Cyt"}, "WB" : {"fullname" : "Western blot", "shortname":"WB"}, "IHCP" : {"fullname" : "Immunohistochemistry (Formalin/PFA-fixed paraffin-embedded sections)", "shortname":"IHC-P"} }, "product-promise": { "all": "all", "testedAndGuaranteed": "tested", "guaranteed": "expected", "predicted": "predicted", "notRecommended": "not-recommended" } }, "values": { "Human": { "IP-species-checked": "testedAndGuaranteed", "IP-species-dilution-info": "", "IP-species-notes": "<p></p>", "FlowCyt-species-checked": "notRecommended", "FlowCyt-species-dilution-info": "", "FlowCyt-species-notes": "<p><a href='/en-us/products/primary-antibodies/rabbit-igg-monoclonal-epr25a-isotype-control-low-endotoxin-azide-free-ab199376'>ab199376</a> - Rabbit monoclonal IgG, is suitable for use as an isotype control with this antibody.</p>", "WB-species-checked": "testedAndGuaranteed", "WB-species-dilution-info": "", "WB-species-notes": "<p><strong>For unpurified use at 1/1000 - 1/2000.</strong></p>", "IHCP-species-checked": "testedAndGuaranteed", "IHCP-species-dilution-info": "", "IHCP-species-notes": "<p></p> Perform heat-mediated antigen retrieval with Tris/EDTA buffer pH 9.0 before commencing with IHC staining protocol." }, "Rat": { "IP-species-checked": "predicted", "IP-species-dilution-info": "", "IP-species-notes": "", "FlowCyt-species-checked": "notRecommended", "FlowCyt-species-dilution-info": "", "FlowCyt-species-notes": "", "WB-species-checked": "predicted", "WB-species-dilution-info": "", "WB-species-notes": "", "IHCP-species-checked": "predicted", "IHCP-species-dilution-info": "", "IHCP-species-notes": "" } } }

Product details

ab186468 is the carrier-free version of ab109735.

Patented technology
Our RabMAb® technology is a patented hybridoma-based technology for making rabbit monoclonal antibodies. For details on our patents, please refer to RabMAb® patents.

What are the advantages of a recombinant monoclonal antibody?
This product is a recombinant monoclonal antibody, which offers several advantages including:

  • - High batch-to-batch consistency and reproducibility
  • - Improved sensitivity and specificity
  • - Long-term security of supply
  • - Animal-free batch production

For more information, read more on recombinant antibodies.

Conjugation ready
Our carrier-free antibodies are typically supplied in a PBS-only formulation, purified and free of BSA, sodium azide and glycerol. This conjugation-ready format is designed for use with fluorochromes, metal isotopes, oligonucleotides, and enzymes, which makes them ideal for antibody labelling, functional and cell-based assays, flow-based assays (e.g. mass cytometry) and Multiplex Imaging applications.

Use our conjugation kits for antibody conjugates that are ready-to-use in as little as 20 minutes with 1 minute hands-on-time and 100% antibody recovery: available for fluorescent dyes, HRP, biotin and gold.

Compatibility
This product is compatible with the Maxpar® Antibody Labeling Kit from Fluidigm, without the need for antibody preparation. Maxpar® is a trademark of Fluidigm Canada Inc.

Properties and storage information

Form
Liquid
Purification technique
Affinity purification Protein A
Storage buffer
pH: 7.2 - 7.4 Constituents: PBS
Shipped at conditions
Blue Ice
Appropriate short-term storage conditions
+4°C
Appropriate long-term storage conditions
+4°C
Storage information
Do Not Freeze

Supplementary information

This supplementary information is collated from multiple sources and compiled automatically.

The NAK/TBK1 also known as TANK-binding kinase 1 is a fundamental protein kinase in various cellular processes. It weighs approximately 84 kDa and is expressed in many tissues including lymphoid organs and the brain. NAK acts as a serine/threonine-protein kinase which transfers a phosphate group to specific substrates modulating their function and activity. Phosphorylation by TBK1 initiates several signaling events making it an important regulator in immune responses and inflammatory signaling pathways.
Biological function summary

This kinase plays a significant role in antiviral defense and autophagy. NAK/TBK1 is also involved in innate immune signaling and cell survival. TBK1 forms part of a larger signaling complex interacting with adaptors like TRAF3 and TANK which are important for its proper localization and function. Phospho-NAK its phosphorylated form can activate other molecules driving various downstream immune and stress responses.

Pathways

The protein is integral to the type I interferon signaling pathway and NF-kB pathway. NAK/TBK1 interacts closely with IRF3 a transcription factor important for antiviral activity and plays a role alongside other proteins like IKKε. These interactions permit activation of genes necessary for defense mechanisms against viral pathogens and control of inflammation. In the NF-kB pathway TBK1 helps regulate cellular responses to stress and inflammatory signals.

NAK/TBK1 has associations with amyotrophic lateral sclerosis (ALS) and various cancers. Research shows connections between TBK1 mutations and ALS indicating its importance in neuronal function and health. Additionally aberrations in TBK1 activity contribute to oncogenesis as it can affect cell proliferation and survival. The protein's relation with signaling proteins such as p62/SQSTM1 highlights its diverse role in disease mechanisms making it a potential therapeutic target.

Product protocols

For this product, it's our understanding that no specific protocols are required. You can visit:

Target data

Serine/threonine kinase that plays an essential role in regulating inflammatory responses to foreign agents (PubMed : 10581243, PubMed : 11839743, PubMed : 12692549, PubMed : 12702806, PubMed : 14703513, PubMed : 15367631, PubMed : 15485837, PubMed : 18583960, PubMed : 21138416, PubMed : 23453971, PubMed : 23453972, PubMed : 23746807, PubMed : 25636800, PubMed : 26611359, PubMed : 32404352, PubMed : 34363755). Following activation of toll-like receptors by viral or bacterial components, associates with TRAF3 and TANK and phosphorylates interferon regulatory factors (IRFs) IRF3 and IRF7 as well as DDX3X (PubMed : 12692549, PubMed : 12702806, PubMed : 14703513, PubMed : 15367631, PubMed : 18583960, PubMed : 25636800). This activity allows subsequent homodimerization and nuclear translocation of the IRFs leading to transcriptional activation of pro-inflammatory and antiviral genes including IFNA and IFNB (PubMed : 12702806, PubMed : 15367631, PubMed : 25636800, PubMed : 32972995). In order to establish such an antiviral state, TBK1 form several different complexes whose composition depends on the type of cell and cellular stimuli (PubMed : 23453971, PubMed : 23453972, PubMed : 23746807). Plays a key role in IRF3 activation : acts by first phosphorylating innate adapter proteins MAVS, STING1 and TICAM1 on their pLxIS motif, leading to recruitment of IRF3, thereby licensing IRF3 for phosphorylation by TBK1 (PubMed : 25636800, PubMed : 30842653). Phosphorylated IRF3 dissociates from the adapter proteins, dimerizes, and then enters the nucleus to induce expression of interferons (PubMed : 25636800). Thus, several scaffolding molecules including FADD, TRADD, MAVS, AZI2, TANK or TBKBP1/SINTBAD can be recruited to the TBK1-containing-complexes (PubMed : 21931631). Under particular conditions, functions as a NF-kappa-B effector by phosphorylating NF-kappa-B inhibitor alpha/NFKBIA, IKBKB or RELA to translocate NF-Kappa-B to the nucleus (PubMed : 10783893, PubMed : 15489227). Restricts bacterial proliferation by phosphorylating the autophagy receptor OPTN/Optineurin on 'Ser-177', thus enhancing LC3 binding affinity and antibacterial autophagy (PubMed : 21617041). Phosphorylates SMCR8 component of the C9orf72-SMCR8 complex, promoting autophagosome maturation (PubMed : 27103069). Phosphorylates ATG8 proteins MAP1LC3C and GABARAPL2, thereby preventing their delipidation and premature removal from nascent autophagosomes (PubMed : 31709703). Phosphorylates and activates AKT1 (PubMed : 21464307). Seems to play a role in energy balance regulation by sustaining a state of chronic, low-grade inflammation in obesity, wich leads to a negative impact on insulin sensitivity (By similarity). Attenuates retroviral budding by phosphorylating the endosomal sorting complex required for transport-I (ESCRT-I) subunit VPS37C (PubMed : 21270402). Phosphorylates Borna disease virus (BDV) P protein (PubMed : 16155125). Plays an essential role in the TLR3- and IFN-dependent control of herpes virus HSV-1 and HSV-2 infections in the central nervous system (PubMed : 22851595). Acts both as a positive and negative regulator of the mTORC1 complex, depending on the context : activates mTORC1 in response to growth factors by catalyzing phosphorylation of MTOR, while it limits the mTORC1 complex by promoting phosphorylation of RPTOR (PubMed : 29150432, PubMed : 31530866). Involved in the regulation of TNF-induced RIPK1-mediated cell death, probably acting via CYLD phosphorylation that in turn controls RIPK1 ubiquitination status (PubMed : 34363755). Participates also in the differentiation of T follicular regulatory cells together with the receptor ICOS (PubMed : 27135603).
See full target information TBK1

Publications (1)

Recent publications for all applications. Explore the full list and refine your search

Journal of dairy science 105:5420-5434 PubMed35469640

2022

Role of sortilin 1 (SORT1) on lipid metabolism in bovine liver.

Applications

Unspecified application

Species

Unspecified reactive species

Wei Yang,Shuang Wang,Juan J Loor,Qianming Jiang,Changhong Gao,Mingmao Yang,Yan Tian,Wenwen Fan,Yingying Zhao,Bingbing Zhang,Chuang Xu
View all publications

Product promise

We are committed to supporting your work with high-quality reagents, and we're here for you every step of the way. In the unlikely event that one of our products does not perform as expected, you're protected by our Product Promise.
For full details, please see our Terms & Conditions

Please note: All products are 'FOR RESEARCH USE ONLY. NOT FOR USE IN DIAGNOSTIC OR THERAPEUTIC PROCEDURES'.

For licensing inquiries, please contact partnerships@abcam.com