JavaScript is disabled in your browser. Please enable JavaScript to view this website.
AB185082

Anti-Naked1 antibody

Be the first to review this product! Submit a review

|

(3 Publications)

Rabbit Polyclonal Naked1 antibody. Suitable for IHC-P, ICC/IF and reacts with Human samples. Cited in 3 publications. Immunogen corresponding to Recombinant Fragment Protein within Human NKD1 aa 150-300.

View Alternative Names

NKD, PP7246, NKD1, Protein naked cuticle homolog 1, Naked-1, hNkd, hNkd1

2 Images
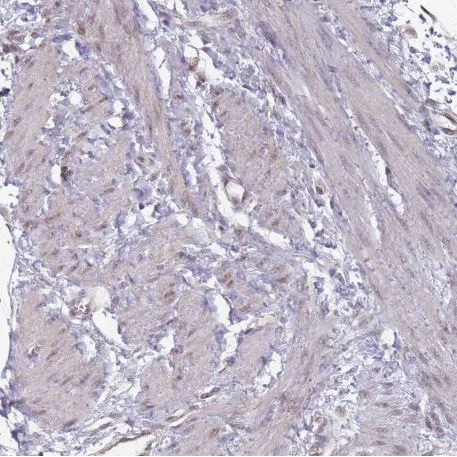
Immunohistochemistry (Formalin/PFA-fixed paraffin-embedded sections) - Anti-Naked1 antibody (AB185082)
  • IHC-P

Supplier Data

Immunohistochemistry (Formalin/PFA-fixed paraffin-embedded sections) - Anti-Naked1 antibody (AB185082)

Immunohistochemistry analysis human smooth muscle tissue labeling Naked1 at the cytoplasm and nucleus of smooth muscle cells with ab185082 at a 1/50 dilution.

Performed heat mediated antigen retrieval with citrate buffer pH 6 before commencing with IHC staining protocol.

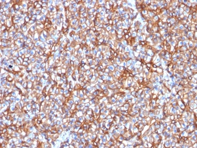
Immunocytochemistry/ Immunofluorescence - Anti-Naked1 antibody (AB185082)
  • ICC/IF

Supplier Data

Immunocytochemistry/ Immunofluorescence - Anti-Naked1 antibody (AB185082)

Immunocytochemistry analysis HepG2 (human liver hepatocellular carcinoma cell line) whole cells labeling Naked1 at the nucleoli fibrillar center and cytosol with ab185082 at 2 μg/ml.

Key facts

Host species

Rabbit

Clonality

Polyclonal

Isotype

IgG

Carrier free

No

Reacts with

Human

Applications

IHC-P, ICC/IF

applications

Immunogen

Recombinant Fragment Protein within Human NKD1 aa 150-300. The exact immunogen used to generate this antibody is proprietary information.

Q969G9

Reactivity data

{ "title": "Reactivity Data", "filters": { "stats": ["", "Species", "Dilution Info", "Notes"], "tabs": { "all-applications": {"fullname" : "All Applications", "shortname": "All Applications"}, "IHCP" : {"fullname" : "Immunohistochemistry (Formalin/PFA-fixed paraffin-embedded sections)", "shortname":"IHC-P"}, "ICCIF" : {"fullname" : "Immunocytochemistry/ Immunofluorescence", "shortname":"ICC/IF"} }, "product-promise": { "all": "all", "testedAndGuaranteed": "tested", "guaranteed": "expected", "predicted": "predicted", "notRecommended": "not-recommended" } }, "values": { "Human": { "IHCP-species-checked": "testedAndGuaranteed", "IHCP-species-dilution-info": "1/50 - 1/200", "IHCP-species-notes": "<p></p> Perform heat-mediated antigen retrieval with citrate buffer pH 6 before commencing with IHC staining protocol.", "ICCIF-species-checked": "testedAndGuaranteed", "ICCIF-species-dilution-info": "0.25-2 µg/mL", "ICCIF-species-notes": "<p>Fixation/Permeabilization: PFA/Triton X-100</p>" } } }

Properties and storage information

Form
Liquid
Purification technique
Affinity purification Immunogen
Storage buffer
pH: 7.2 Preservative: 0.02% Sodium azide Constituents: PBS, 40% Glycerol (glycerin, glycerine)
Shipped at conditions
Blue Ice
Appropriate short-term storage duration
1-2 weeks
Appropriate short-term storage conditions
+4°C
Appropriate long-term storage conditions
-20°C
Aliquoting information
Upon delivery aliquot
Storage information
Avoid freeze / thaw cycle

Supplementary information

This supplementary information is collated from multiple sources and compiled automatically.

Naked1 also known as Nkd1 is a protein with a mass of approximately 48 kDa. It acts as an antagonist in the Wnt signaling pathway by binding to Dishevelled an intracellular protein that transmits Wnt signals. Naked1 is expressed in various tissues including the heart brain and muscles. In addition to its role in the Wnt pathway Naked1 serves as a regulatory protein providing significant control over signal transduction that influences cell fate decisions.
Biological function summary

The function of Naked1 involves modulating the activity of the Wnt/β-catenin signaling pathway. It forms part of a negative feedback loop that prevents excessive pathway activation. Naked1 dynamically interacts with components of this pathway to inhibit or fine-tune signaling transduction ensuring that cellular processes such as proliferation differentiation and migration occur correctly. This interaction is critical in developing tissues and maintaining homeostasis in adult organisms.

Pathways

Naked1 functions within the Wnt/β-catenin pathway which is significant for cell and tissue development and homeostasis. It helps regulate this pathway by interacting with Dishevelled proteins and it also closely influences the activity of Casein kinase 1 another important component of the pathway. This regulatory role ensures a balanced signaling environment which is necessary to prevent pathological conditions associated with dysregulated Wnt signaling.

Improper regulation or expression of Naked1 associates with cancer and developmental abnormalities. Naked1 interacts with and affects proteins like β-catenin which when unregulated contributes to oncogenesis. Studies suggest that abnormalities in Naked1 expression levels may lead to tumorigenesis through unchecked cellular proliferation and migration particularly in colorectal cancer. Furthermore variations in Naked1 function may contribute to congenital disorders by disrupting the tightly controlled Wnt signaling pathway during fetal development.

Product protocols

For this product, it's our understanding that no specific protocols are required. You can visit:

Target data

Cell autonomous antagonist of the canonical Wnt signaling pathway. May activate a second Wnt signaling pathway that controls planar cell polarity.
See full target information NKD1

Publications (3)

Recent publications for all applications. Explore the full list and refine your search

Genetics research 2023:1184101 PubMed36969985

2023

Clinical Significance of NKD Inhibitor of WNT Signaling Pathway 1 (NKD1) in Glioblastoma.

Applications

Unspecified application

Species

Unspecified reactive species

Lijun Li,Ruiying Gao,Weizhong Huangfu,Fang Zhang,Ruixia Wang

Cancer medicine 10:7383-7394 PubMed34547189

2021

Identification of colon tumor marker NKD1 via integrated bioinformatics analysis and experimental validation.

Applications

Unspecified application

Species

Unspecified reactive species

Yue Wang,Chunxia Yang,Wenjing Li,Ying Shen,Jianzhong Deng,Wenbin Lu,Jianhua Jin,Yongping Liu,Qian Liu

Osteoarthritis and cartilage 27:140-147 PubMed30223022

2018

CRISPR-Cas9 targeting of MMP13 in human chondrocytes leads to significantly reduced levels of the metalloproteinase and enhanced type II collagen accumulation.

Applications

Unspecified application

Species

Unspecified reactive species

C I Seidl,T A Fulga,C L Murphy
View all publications

Product promise

We are committed to supporting your work with high-quality reagents, and we're here for you every step of the way. In the unlikely event that one of our products does not perform as expected, you're protected by our Product Promise.
For full details, please see our Terms & Conditions

Please note: All products are 'FOR RESEARCH USE ONLY. NOT FOR USE IN DIAGNOSTIC OR THERAPEUTIC PROCEDURES'.

For licensing inquiries, please contact partnerships@abcam.com