JavaScript is disabled in your browser. Please enable JavaScript to view this website.
AB308250

Anti-NALP12/NLRP12 antibody [EPR26985-39]

  • BOND RX™ Validated
  • 20ul selling size
  • RabMAb
  • Recombinant
  • What is this?

Be the first to review this product! Submit a review

|

(0 Publication)

Rabbit Recombinant Monoclonal NALP12/NLRP12 antibody. Suitable for IHC-P and reacts with Transfected cell line - Human, Human samples.

View Alternative Names

NALP12, PYPAF7, RNO, NLRP12, Monarch-1, PYRIN-containing APAF1-like protein 7, Regulated by nitric oxide

4 Images
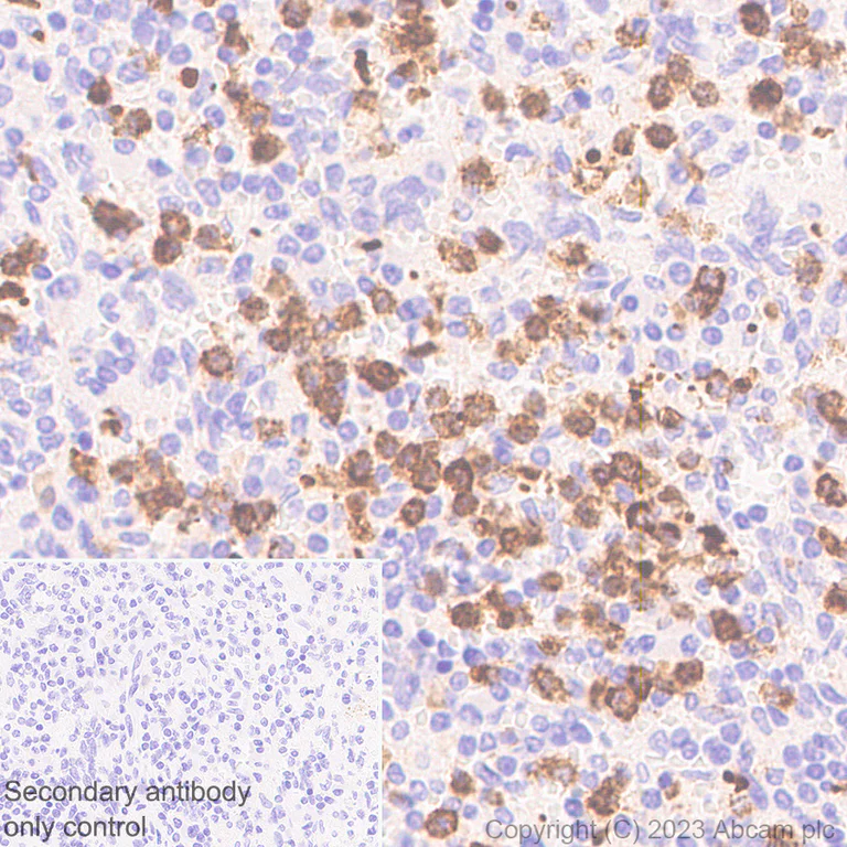
Immunohistochemistry (Formalin/PFA-fixed paraffin-embedded sections) - Anti-NALP12/NLRP12 antibody [EPR26985-39] (AB308250)
  • IHC-P

Supplier Data

Immunohistochemistry (Formalin/PFA-fixed paraffin-embedded sections) - Anti-NALP12/NLRP12 antibody [EPR26985-39] (AB308250)

Immunohistochemical analysis of paraffin-embedded Human spleen tissue labelling NALP12/NLRP12 with ab308250 at 1/5000 (0.1 ug/ml) followed by a ready to use LeicaDS9800 (Bond™ Polymer Refine Detection). Positive staining on human spleen (PMID : 12759408). The section was incubated with ab308250 for 30 mins at room temperature. The immunostaining was performed on a Leica Biosystems BOND® RX instrument. Counterstained with Hematoxylin. Secondary antibody only control : Secondary antibody is a ready to use LeicaDS9800 (Bond™ Polymer Refine Detection). Heat mediated antigen retrieval with Tris-EDTA buffer (pH 9.0, epitope retrieval solution2) for 20 mins

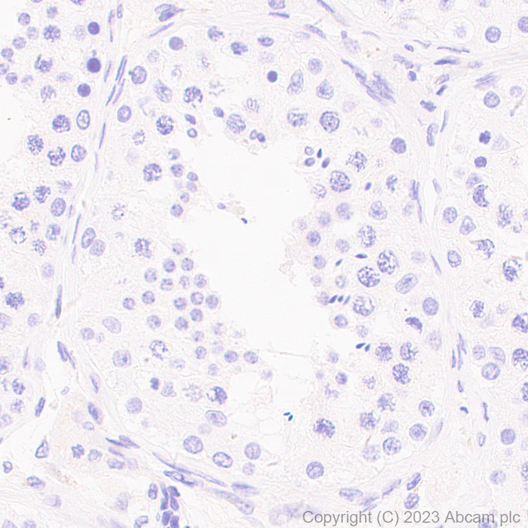
Immunohistochemistry (Formalin/PFA-fixed paraffin-embedded sections) - Anti-NALP12/NLRP12 antibody [EPR26985-39] (AB308250)
  • IHC-P

Supplier Data

Immunohistochemistry (Formalin/PFA-fixed paraffin-embedded sections) - Anti-NALP12/NLRP12 antibody [EPR26985-39] (AB308250)

Immunohistochemical analysis of paraffin-embedded Human testis tissue labelling NALP12/NLRP12 with ab308250 at 1/5000 (0.1 ug/ml) followed by a ready to use LeicaDS9800 (Bond™ Polymer Refine Detection). Negative control : no staining on human testis. The section was incubated with ab308250 for 30 mins at room temperature. The immunostaining was performed on a Leica Biosystems BOND® RX instrument. Counterstained with Hematoxylin. Secondary antibody only control : Secondary antibody is a ready to use LeicaDS9800 (Bond™ Polymer Refine Detection). Heat mediated antigen retrieval with Tris-EDTA buffer (pH 9.0, epitope retrieval solution2) for 20 mins

Immunohistochemistry (Formalin/PFA-fixed paraffin-embedded sections) - Anti-NALP12/NLRP12 antibody [EPR26985-39] (AB308250)
  • IHC-P

Supplier Data

Immunohistochemistry (Formalin/PFA-fixed paraffin-embedded sections) - Anti-NALP12/NLRP12 antibody [EPR26985-39] (AB308250)

Immunohistochemical analysis of paraffin-embedded Human colon tissue labelling NALP12/NLRP12 with ab308250 at 1/5000 (0.1 ug/ml) followed by a ready to use LeicaDS9800 (Bond™ Polymer Refine Detection). Positive staining on immune cells in human colon. The section was incubated with ab308250 for 30 mins at room temperature. The immunostaining was performed on a Leica Biosystems BOND® RX instrument. Counterstained with Hematoxylin. Secondary antibody only control : Secondary antibody is a ready to use LeicaDS9800 (Bond™ Polymer Refine Detection). Heat mediated antigen retrieval with Tris-EDTA buffer (pH 9.0, epitope retrieval solution2) for 20 mins

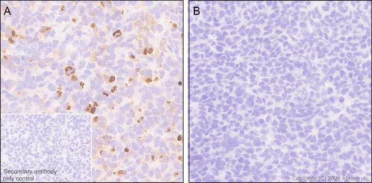
Immunohistochemistry (Formalin/PFA-fixed paraffin-embedded sections) - Anti-NALP12/NLRP12 antibody [EPR26985-39] (AB308250)
  • IHC-P

Supplier Data

Immunohistochemistry (Formalin/PFA-fixed paraffin-embedded sections) - Anti-NALP12/NLRP12 antibody [EPR26985-39] (AB308250)

Immunohistochemical analysis of paraffin-embedded (A) HEK-293T (human tissue labelling NALP12/NLRP12 with ab308250 at 1/5000 (0.1 ug/ml) followed by a ready to use LeicaDS9800 (Bond™ Polymer Refine Detection). Positive staining on HEK293T cells co-transfected with a human NLRP12 expression vector containing a Myc-his tag, no staining on HEK-293T cells transfected with empty vector containing a Myc-his tag. The section was incubated with ab308250 for 30 mins at room temperature. The immunostaining was performed on a Leica Biosystems BOND® RX instrument. Counterstained with Hematoxylin. Secondary antibody only control : Secondary antibody is a ready to use LeicaDS9800 (Bond™ Polymer Refine Detection). Heat mediated antigen retrieval with Tris-EDTA buffer (pH 9.0, epitope retrieval solution2) for 20 mins

  • 665 Alexa Fluor® 647

    Alexa Fluor® 647 Anti-NALP12/NLRP12 antibody [EPR26985-39]

  • 519 Alexa Fluor® 488

    Alexa Fluor® 488 Anti-NALP12/NLRP12 antibody [EPR26985-39]

  • Carrier free

    Anti-NALP12/NLRP12 antibody [EPR26985-39] - BSA and Azide free

Key facts

Host species

Rabbit

Clonality

Monoclonal

Clone number

EPR26985-39

Isotype

IgG

Carrier free

No

Reacts with

Human

Applications

IHC-P

applications

Immunogen

The exact immunogen used to generate this antibody is proprietary information.

Reactivity data

{ "title": "Reactivity Data", "filters": { "stats": ["", "Species", "Dilution Info", "Notes"], "tabs": { "all-applications": {"fullname" : "All Applications", "shortname": "All Applications"}, "IHCP" : {"fullname" : "Immunohistochemistry (Formalin/PFA-fixed paraffin-embedded sections)", "shortname":"IHC-P"}, "WB" : {"fullname" : "Western blot", "shortname":"WB"}, "ICCIF" : {"fullname" : "Immunocytochemistry/ Immunofluorescence", "shortname":"ICC/IF"}, "IP" : {"fullname" : "Immunoprecipitation", "shortname":"IP"} }, "product-promise": { "all": "all", "testedAndGuaranteed": "tested", "guaranteed": "expected", "predicted": "predicted", "notRecommended": "not-recommended" } }, "values": { "Human": { "IHCP-species-checked": "testedAndGuaranteed", "IHCP-species-dilution-info": "1/5000", "IHCP-species-notes": "<p></p>", "WB-species-checked": "notRecommended", "WB-species-dilution-info": "", "WB-species-notes": "", "ICCIF-species-checked": "notRecommended", "ICCIF-species-dilution-info": "", "ICCIF-species-notes": "<p></p>", "IP-species-checked": "notRecommended", "IP-species-dilution-info": "", "IP-species-notes": "<p></p>" }, "Mouse": { "IHCP-species-checked": "notRecommended", "IHCP-species-dilution-info": "", "IHCP-species-notes": "<p></p>", "WB-species-checked": "notRecommended", "WB-species-dilution-info": "", "WB-species-notes": "", "ICCIF-species-checked": "notRecommended", "ICCIF-species-dilution-info": "", "ICCIF-species-notes": "", "IP-species-checked": "notRecommended", "IP-species-dilution-info": "", "IP-species-notes": "" }, "Rat": { "IHCP-species-checked": "notRecommended", "IHCP-species-dilution-info": "", "IHCP-species-notes": "<p></p>", "WB-species-checked": "notRecommended", "WB-species-dilution-info": "", "WB-species-notes": "", "ICCIF-species-checked": "notRecommended", "ICCIF-species-dilution-info": "", "ICCIF-species-notes": "", "IP-species-checked": "notRecommended", "IP-species-dilution-info": "", "IP-species-notes": "" }, "Transfected cell line - Human": { "IHCP-species-checked": "testedAndGuaranteed", "IHCP-species-dilution-info": "1/5000", "IHCP-species-notes": "<p></p>", "WB-species-checked": "notRecommended", "WB-species-dilution-info": "", "WB-species-notes": "", "ICCIF-species-checked": "notRecommended", "ICCIF-species-dilution-info": "", "ICCIF-species-notes": "", "IP-species-checked": "notRecommended", "IP-species-dilution-info": "", "IP-species-notes": "" }, "Transfected cell lysate - Human": { "IHCP-species-checked": "notRecommended", "IHCP-species-dilution-info": "", "IHCP-species-notes": "", "WB-species-checked": "notRecommended", "WB-species-dilution-info": "1/1000", "WB-species-notes": "<p></p>", "ICCIF-species-checked": "notRecommended", "ICCIF-species-dilution-info": "", "ICCIF-species-notes": "", "IP-species-checked": "notRecommended", "IP-species-dilution-info": "", "IP-species-notes": "" } } }

Product details

Patented technology
Our RabMAb® technology is a patented hybridoma-based technology for making rabbit monoclonal antibodies. For details on our patents, please refer to RabMAb® patents.

What are the advantages of a recombinant monoclonal antibody?
This product is a recombinant monoclonal antibody, which offers several advantages including:

  • - High batch-to-batch consistency and reproducibility
  • - Improved sensitivity and specificity
  • - Long-term security of supply
  • - Animal-free batch production

For more information, read more on recombinant antibodies.

Properties and storage information

Form
Liquid
Purification technique
Affinity purification Protein A
Storage buffer
pH: 7.2 - 7.4 Preservative: 0.01% Sodium azide Constituents: PBS, 40% Glycerol (glycerin, glycerine), 0.05% BSA
Shipped at conditions
Blue Ice
Appropriate short-term storage duration
1-2 weeks
Appropriate short-term storage conditions
+4°C
Appropriate long-term storage conditions
-20°C
Aliquoting information
Upon delivery aliquot
Storage information
Avoid freeze / thaw cycle

Supplementary information

This supplementary information is collated from multiple sources and compiled automatically.

NALP12 also known as NLRP12 is a member of the NLR (NOD-like receptor) family. This protein serves as an intracellular sensor important for recognizing pathogenic factors. NLRP12 has a mass of approximately 116 kDa. It is expressed predominantly in leukocytes particularly in monocytes and granulocytes. This expression pattern suggests an essential role in regulating immune responses.
Biological function summary

NLRP12 functions as part of the inflammasome complex. It contributes to the modulation of inflammatory cytokines like IL-1β. The protein plays a critical role in the innate immune system by controlling inflammatory signaling pathways. By down-regulating the NF-kB and MAPK pathways NLRP12 helps prevent excessive inflammatory responses maintaining homeostasis within the immune system.

Pathways

NLRP12 is integrally involved in the NF-kB and MAPK signaling pathways. These pathways are essential for inflammatory response and immune regulation. Related proteins include NLRP3 and IKK which also participate in these pathways. NLRP12 negatively regulates NF-kB activation assisting to keep inflammation in check. Understanding these interactions provides insights into how the immune system balances response and regulation.

NLRP12 mutations have associations with autoinflammatory disorders such as familial cold autoinflammatory syndrome and lymphoid malignancies. These conditions arise due to dysregulated inflammatory responses. Through its connection with the NF-kB pathway NLRP12 interacts with the IKK complex. Misregulation here can lead to an increased predisposition to these inflammatory disorders highlighting the importance of NLRP12 in immune homeostasis and pathology.

Product protocols

For this product, it's our understanding that no specific protocols are required. You can visit:

Target data

Plays an essential role as an potent mitigator of inflammation (PubMed : 30559449). Primarily expressed in dendritic cells and macrophages, inhibits both canonical and non-canonical NF-kappa-B and ERK activation pathways (PubMed : 15489334, PubMed : 17947705). Functions as a negative regulator of NOD2 by targeting it to degradation via the proteasome pathway (PubMed : 30559449). In turn, promotes bacterial tolerance (PubMed : 30559449). Inhibits also the RIGI-mediated immune signaling against RNA viruses by reducing the E3 ubiquitin ligase TRIM25-mediated 'Lys-63'-linked RIGI activation but enhancing the E3 ubiquitin ligase RNF125-mediated 'Lys-48'-linked RIGI degradation (PubMed : 30902577). Acts also as a negative regulator of inflammatory response to mitigate obesity and obesity-associated diseases in adipose tissue (By similarity).
See full target information NLRP12

Product promise

We are committed to supporting your work with high-quality reagents, and we're here for you every step of the way. In the unlikely event that one of our products does not perform as expected, you're protected by our Product Promise.
For full details, please see our Terms & Conditions

Please note: All products are 'FOR RESEARCH USE ONLY. NOT FOR USE IN DIAGNOSTIC OR THERAPEUTIC PROCEDURES'.

For licensing inquiries, please contact partnerships@abcam.com